でこぼこの歯・叢生(そうせい)の症例(非抜歯) 大阪で矯正歯科40年 橋本矯正歯科 4のページです。
\お問い合わせはお気軽に/
診療時間9:00~15:00(土曜は17:00)
休診日木曜・日曜・祝日

カテゴリー: でこぼこの歯・叢生(そうせい)の症例(非抜歯)

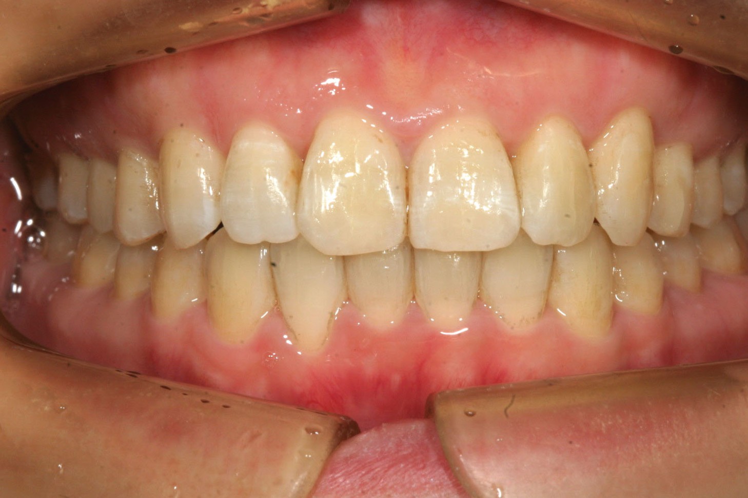
前歯 前突 出っ歯 でっぱ 非抜歯 インビザライン   

お悩み
前歯が出っ張ってるのを改善したい。
年齢
19歳
性別
女性
治療に用いた装置
インビザライン
治療期間
11ヵ月
治療にかかった費用
詳細はこちら

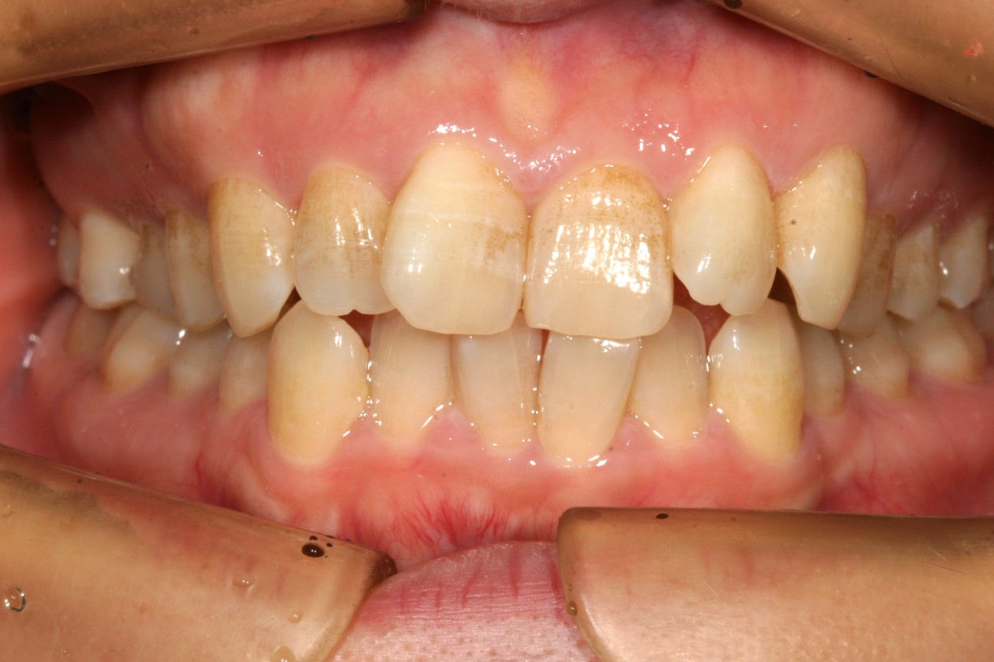
マルチループワイヤー でっぱ 犬歯 飛び出し 八重歯 時間短縮    

お悩み
前歯が飛び出しガタガタしている。
年齢
26歳
性別
男性
治療に用いた装置
マルチループワイヤー
治療期間
11ヵ月
治療にかかった費用
詳細はこちら

八重歯(やえば)犬歯 ガチャ歯 叢生 ゴム使用 インビザライン   

お悩み
前歯のガタガタを何とかして欲しい。
年齢
24歳
性別
女性
治療に用いた装置
インビザライン+アップダウンエラスティック
治療期間
2年3ヵ月
治療にかかった費用
詳細はこちら

前歯 叢生 傾き 傾斜 ガチャ インビザライン     

お悩み
前歯のガタガタと真ん中の歯が傾いている。
年齢
33歳
性別
女性
治療に用いた装置
インビザライン
治療期間
1年5ヵ月
治療にかかった費用
詳細はこちら

前歯 ガチャ アップダウンエラスティック インビザライン 叢生 しゃくれ  

お悩み
前歯のガタガタが気になるのと物がつまり易い。
年齢
19歳
性別
男性
治療に用いた装置
インビザライン+アップダウンエラスティック
治療期間
1年3ヵ月
治療にかかった費用
詳細はこちら

前歯 叢生 乱くい歯 ガタガタ インビザライン  

お悩み
前歯のガタつきが気になる。
年齢
24歳
性別
女性
治療に用いた装置
インビザライン
治療期間
1年3ヵ月
治療にかかった費用
詳細はこちら

インビザライン 上下顎前突 非抜歯 犬歯 飛び出し ガチャ 口ゴボ     

お悩み
前歯のガタガタの改善希望
年齢
20歳
性別
女性
治療に用いた装置
インビザライン
治療期間
1年3ヵ月
治療にかかった費用
詳細はこちら

深い咬み合わせ 捻転 ねじれ インビザライン オーバーバイト ディープバイト   

お悩み
前歯のねじれとかみ合わせが深い。
年齢
38歳
性別
女性
治療に用いた装置
インビザライン
治療期間
1年2ヵ月
治療にかかった費用
詳細はこちら

小臼歯 ガタガタ 飛び出し 叢生 翼状捻転 インビザライン 

お悩み
臼歯部のガタガタが気になる。
年齢
26歳
性別
女性
治療に用いた装置
インビザライン
治療期間
1年9カ月
治療にかかった費用
詳細はこちら

インビザライン 上下 前歯 出てる 出っ歯    

お悩み
上下顎の出っ歯が気になる。
年齢
22歳
性別
女性
治療に用いた装置
インビザライン
治療期間
1年2か月
治療にかかった費用
詳細はこちら
電話メールアクセス