

お悩み
全体的に歯が出て真ん中が隙いている。
年齢
18歳
性別
女性
治療に用いた装置
インビザライン
治療期間
1年4カ月
治療にかかった費用
治療詳細

歯列はそう悪くはないですが、真ん中に隙間が目立ちます。

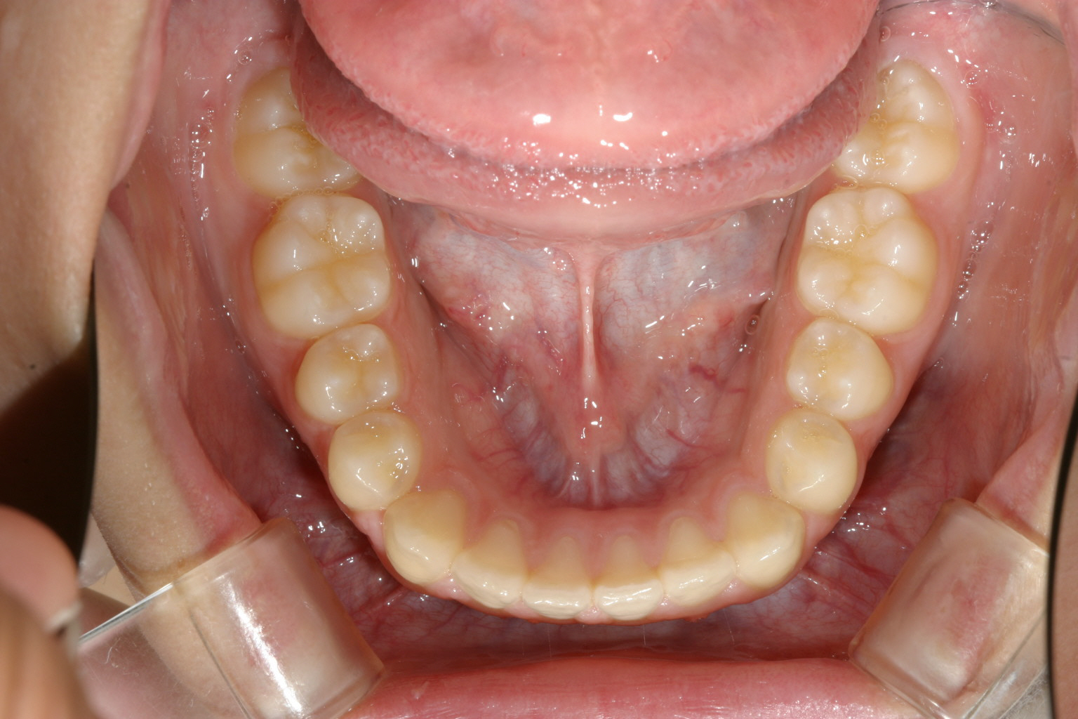
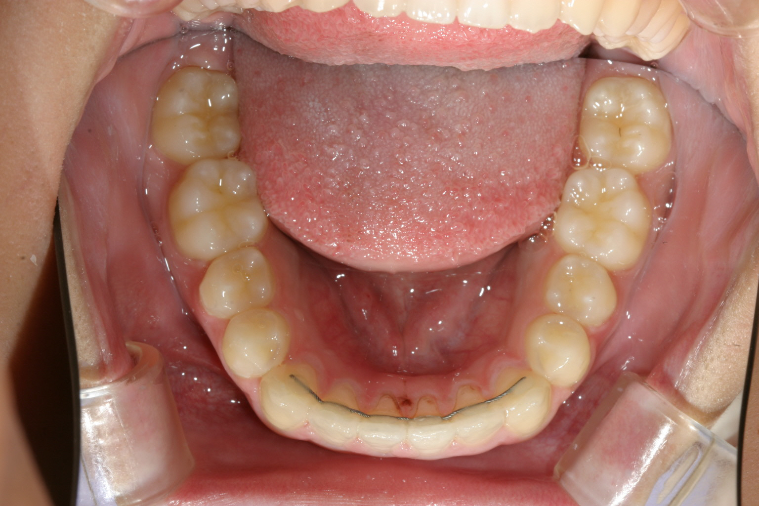
下顎の歯列は全然問題ないです。

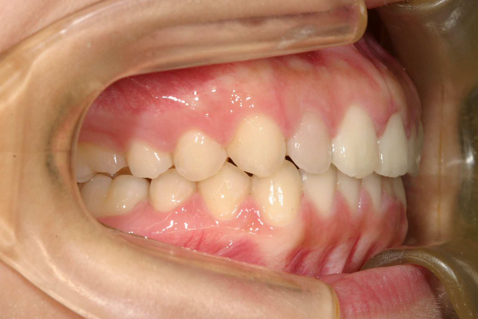
横なら見ると少し出っ歯が気になります。

上顎の隙間綺麗に閉じました。

下顎は問題なしです。

前突感も無くなり最高のオーバージェットです。
当院からのコメント
この様な隙間を閉じる症例はインビザラインにとって一番得意とする症例です。
出っ歯もIPRと言ってワザと隙間がなければ歯と歯の間に削る事により隙間を作って全体的に締め付ければいいだけですから、マウスピースタイプの矯正装置にとって最高の症例となります。
この様な症状でお悩みでしたらいつでも遠慮無く当院にご相談下さい。

