

お悩み
奥歯が無い為咬み合わせが崩れてきた。
年齢
45歳
性別
男性
治療に用いた装置
臼歯部補綴による。
治療期間
6ヵ月
治療にかかった費用
治療詳細

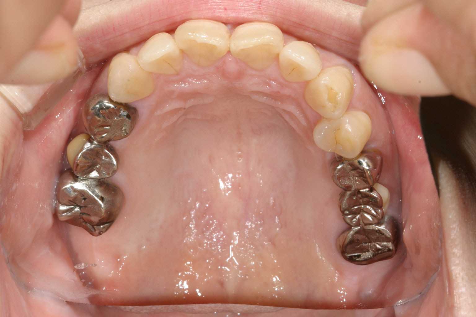
奥歯に金属のブリッジが両サイドに入ってますがかなり高さが低いです。

下の奥歯は歯抜け状態で上と上手く噛めてません。

奥歯が低いとこの様に出っ歯状態になります。

奥歯の両サイドのブリッジを適切な高さを与えてやり直しました。

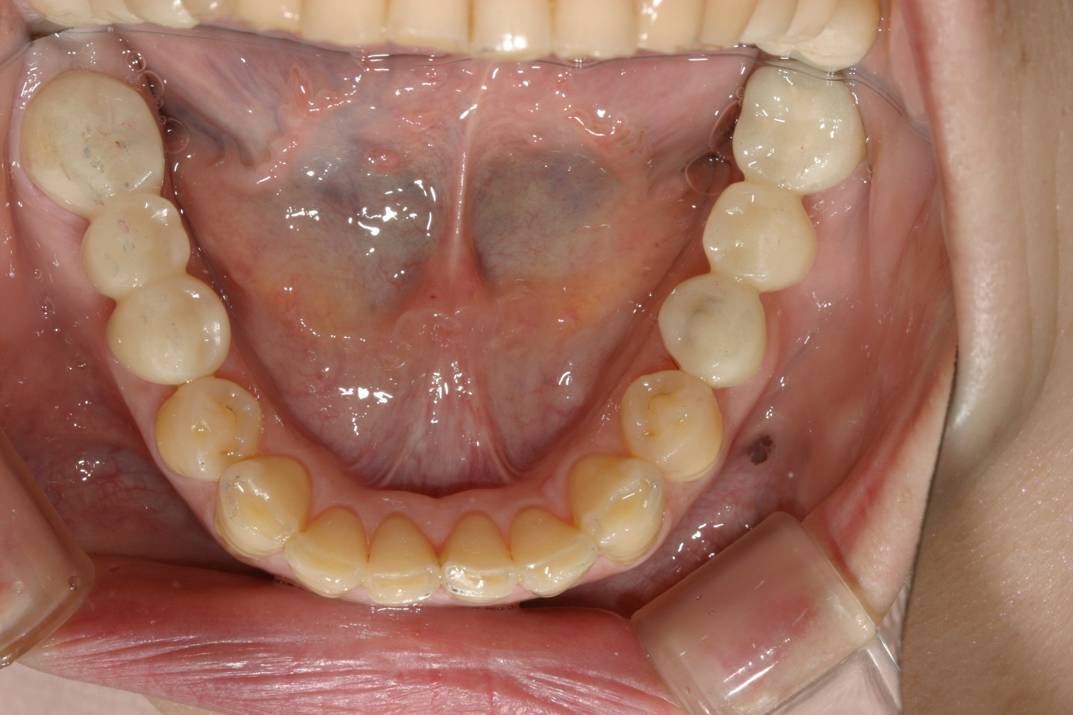
下顎も奥歯の両サイドを適切な高さを与えてブリッジにしました。

上下臼歯部のブリッジで高さを調節するとこの様に下顎が前に出て来る為この様に出っ歯観が改善します。 臼歯部のブリッジ触っただけですよ! 矯正治療は一切してないです。
当院からのコメント
人の咬み合わせって言うものは低い方にズレる傾向があります。
つまり奥に歯が無くなり奥が低くなると下顎は後退します。その為見かけは出っ歯観になります。そこで奥歯を適切な高さに改善してあげると顎は前方に移動し出っ歯観はなくなります。
もちろん右側が低いと顎は右にズレてきます。
特に長年あちこちの歯医者で色んな治療したお陰でかみ合わせや高さがアンバランスった為
顎が右や左にズレている症例をよく見かけます。
そのお陰で顎がカクカク鳴りだし顎関節症を誘発します。
この様な症状にお心当たりが有りましたら一度当医院にご相談ください。

