

お悩み
かみ合わせが深く歯が出て見える。
年齢
27歳
性別
女性
治療に用いた装置
インビザライン
治療期間
1年4カ月
治療にかかった費用
治療詳細

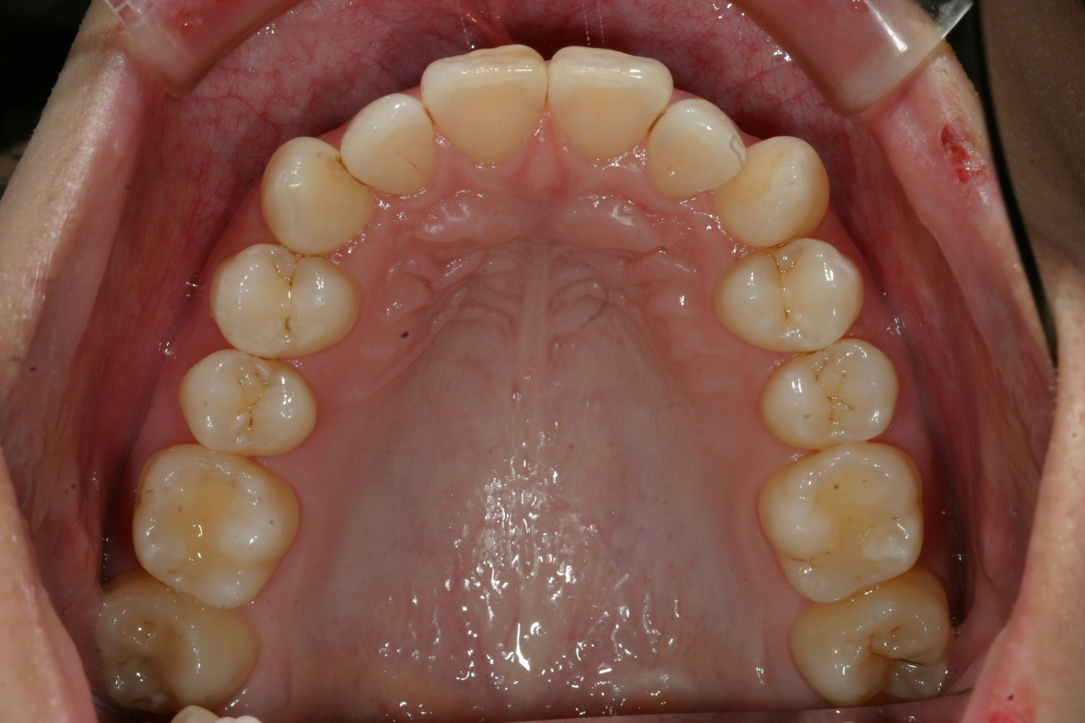
全体的な歯列は綺麗ですが左右の犬歯が少し捻転しています。

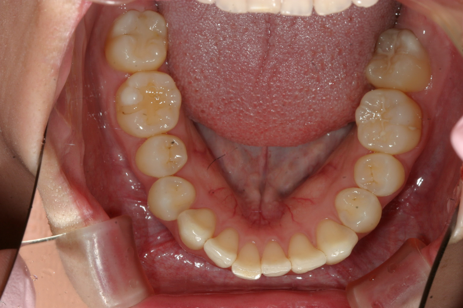
下顎もアーチは問題無いです。

横から見ますと少し出てますね!

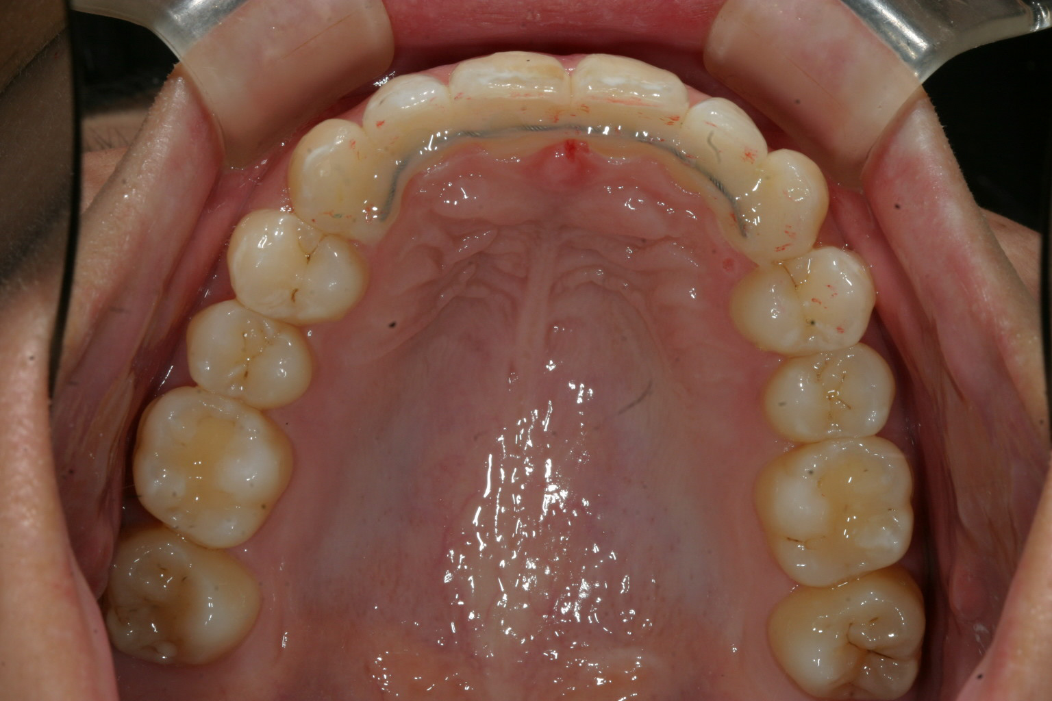
犬歯のローテーションを取り綺麗に並べてみました。

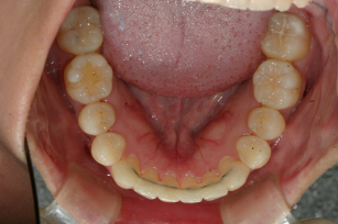
下顎も綺麗になっています。

歯の出加減もいいですね~ 深い咬み合わせも改善してます。
当院からのコメント
前からの写真見て頂ければ良く判るのですが、前歯が出て少し下に下がって下の歯の見え具合がよく無いです。
この状態を改善する為にIPRと言う方法で歯と歯の間を少し削って奥に引っ込めるのと上に押し込めるのとを同時に行いました。
この程度の深い咬み合わせなら見た目の悪いワイヤー矯正じゃなくても、インビザラインにて
ここまで綺麗に改善できると言ういい症例です。
この様な症状でお悩みでしたらいつでも遠慮無く当院にご相談下さい。

