

お悩み
すきっ歯が気になる。
年齢
26歳
性別
女性
治療に用いた装置
インビザライン
治療期間
1年8か月
治療にかかった費用
治療詳細

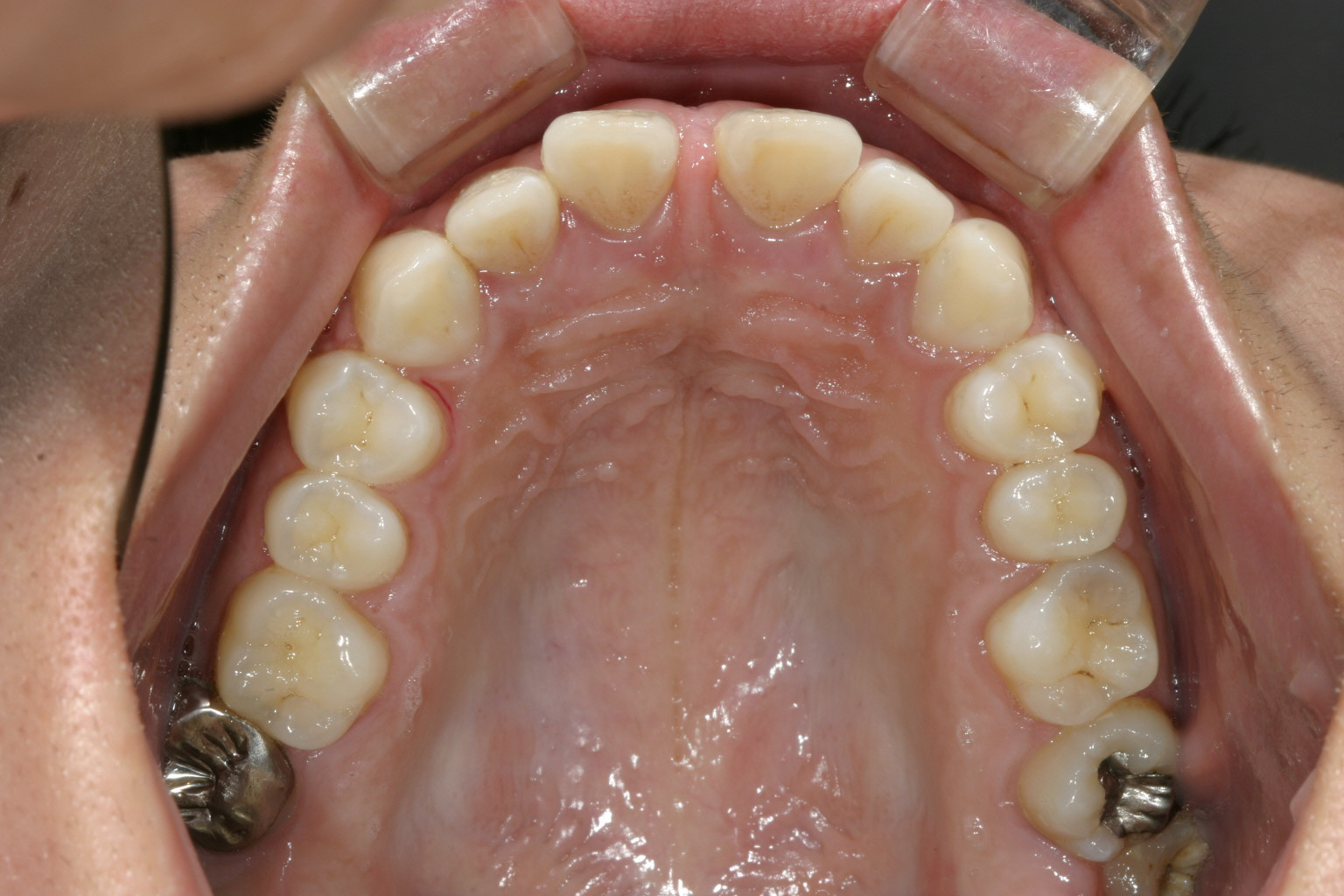
歯列のど真ん中が開いてますね~

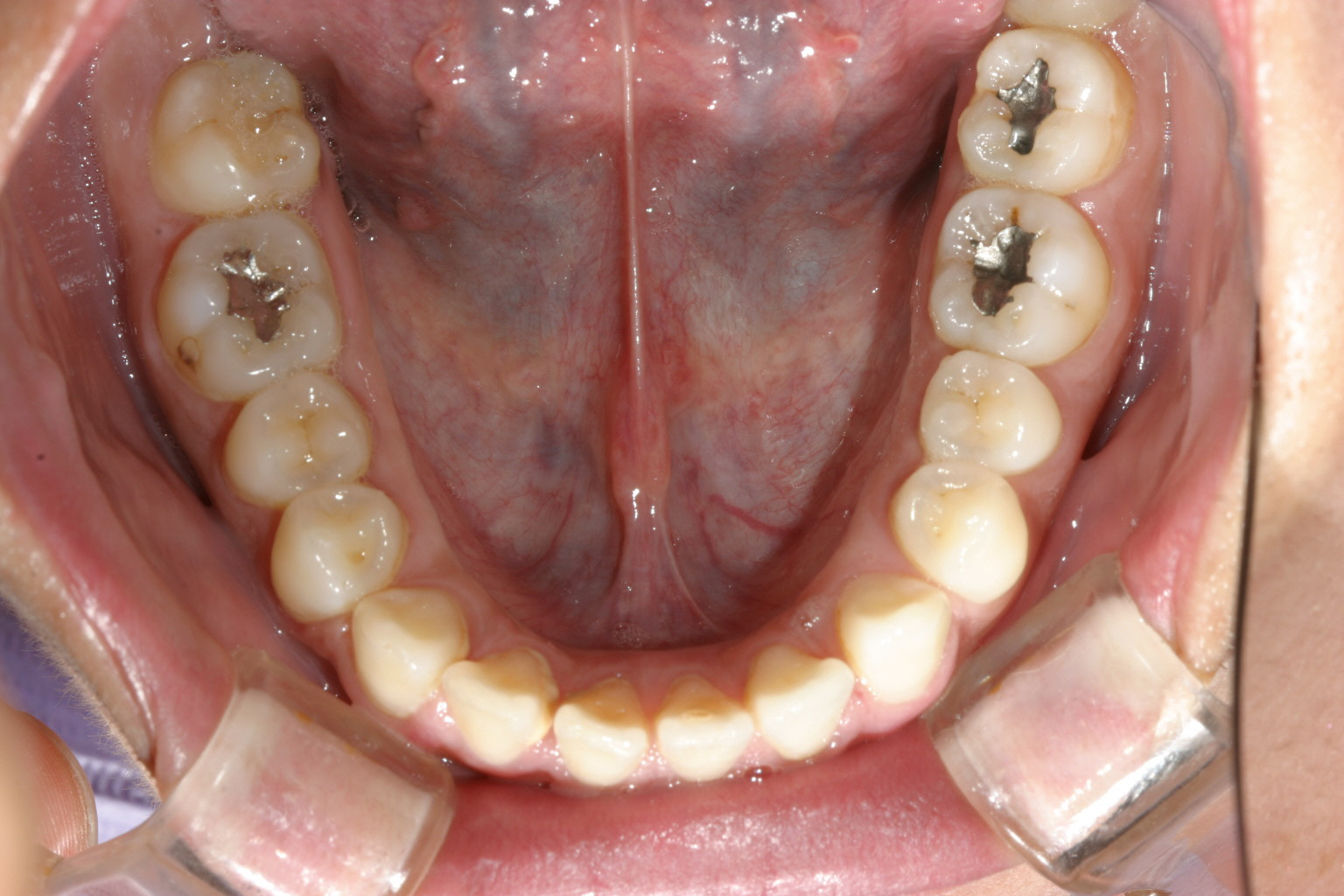
下顎も歯と歯の間が微妙に開いてます。

少し出っ歯気味です。

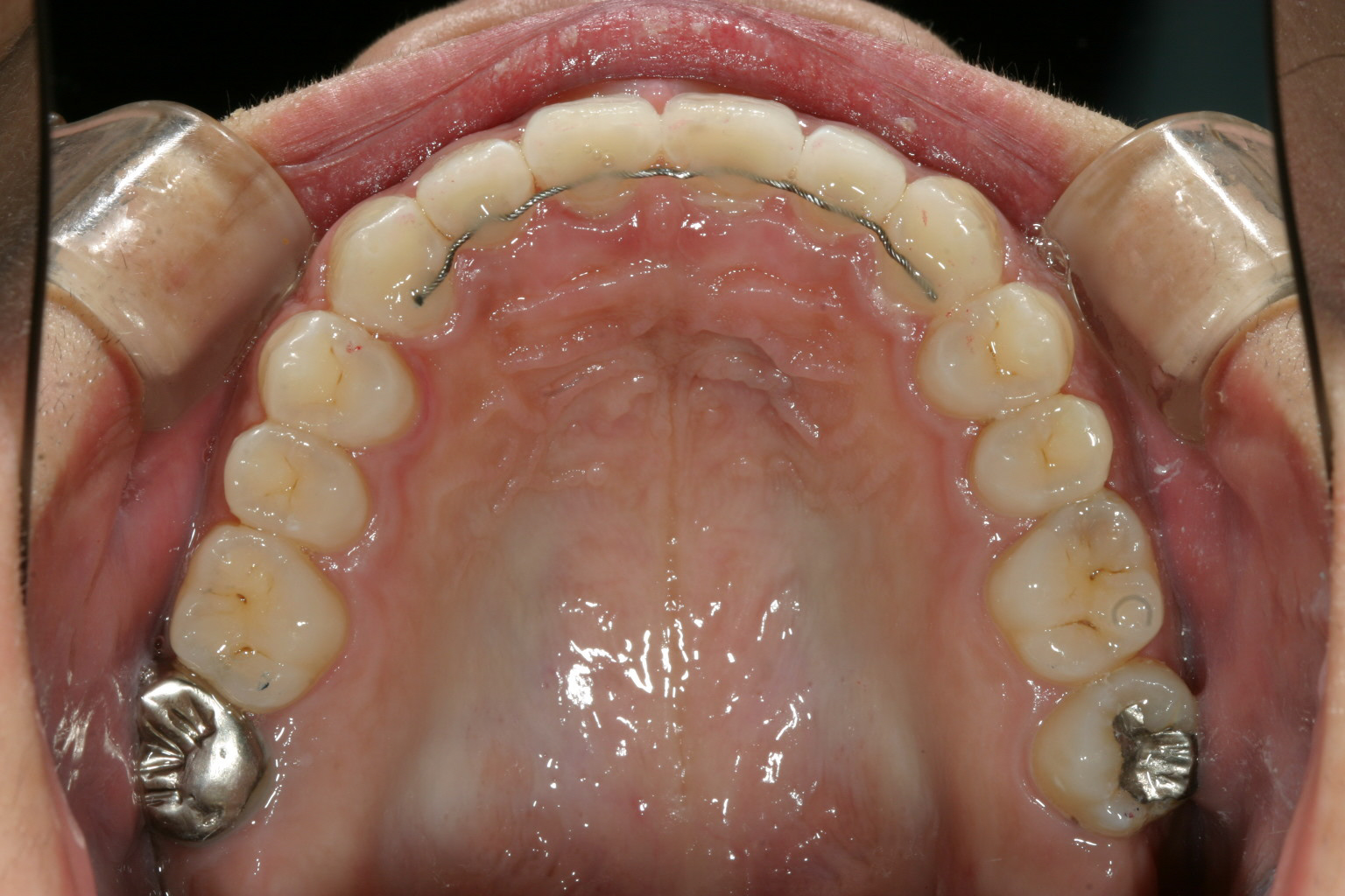
綺麗に隙間を閉じて開かないようにワイヤーで固定しました。

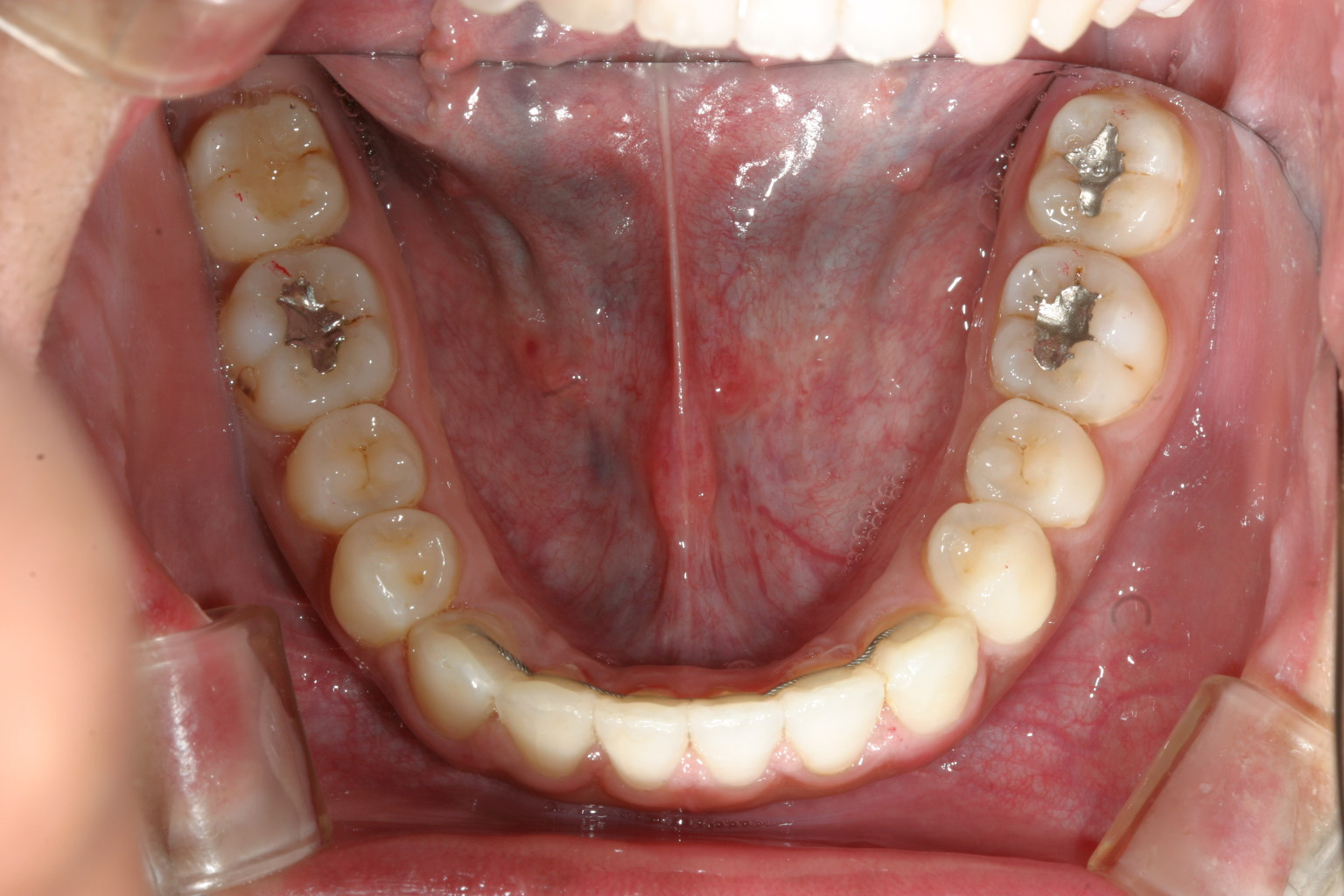
同じ事を下顎にも行いました。

少しですがIPRを行い上下のアーチのバランスを整えました。
当院からのコメント
隙間症例はインビザラインの中で一番得意な分野です。隙間症例と言えどもただ閉じるだけでなく歯と歯の隙間を削って上下のアーチのバランスを整えると言う事も必要です。
上顎の真ん中すいてるすきっ歯は簡単に処置出来ますのでご心配なさらずにいつでも相談にお越し下さい。
この様な症状でお悩みでしたらいつでも遠慮無く当院にご相談下さい。

