

お悩み
前歯がすきっぱで全体的に出ている。
年齢
32歳
性別
女性
治療に用いた装置
インビザライン
治療期間
11ヵ月
治療にかかった費用
治療詳細

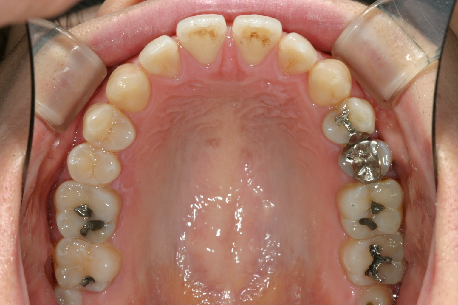
前歯部あちこちすいているのが目立ちます。

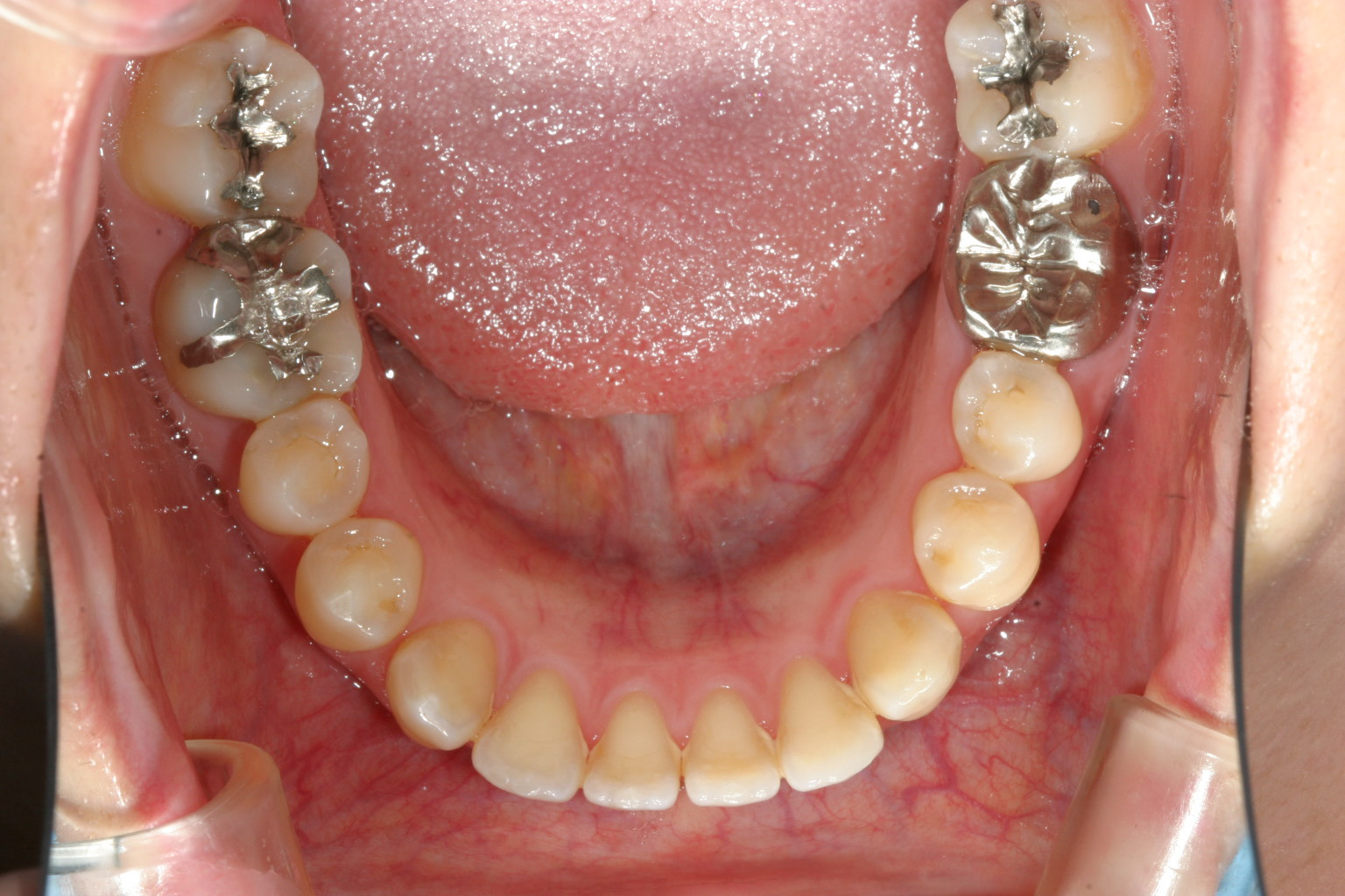
下顎もあちこちすきっ歯が目立ちます。

すきっ歯な為前に出た感じです。

全体的に隙間を締め付けました。

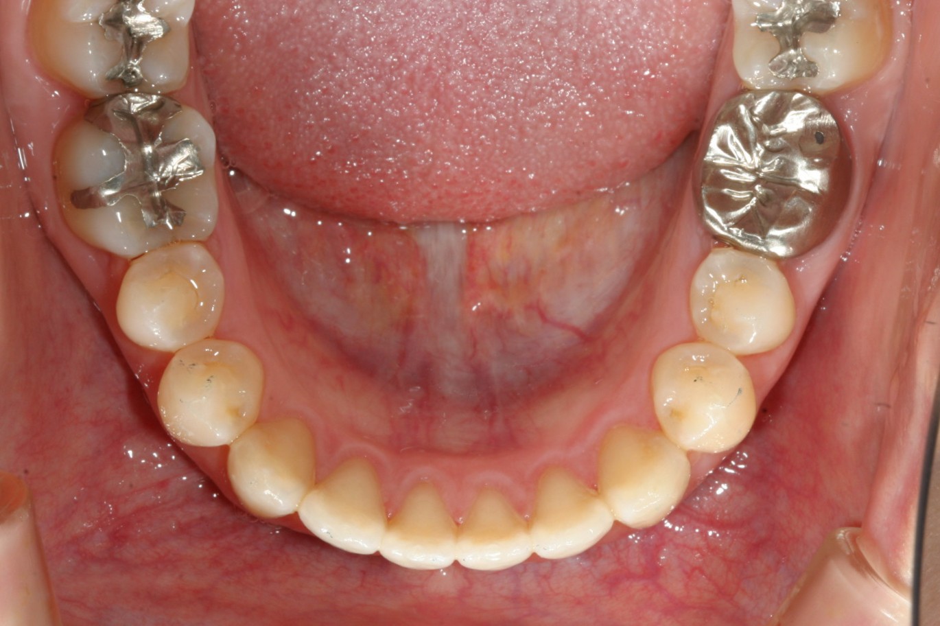
下顎も全体的に締め付けました。

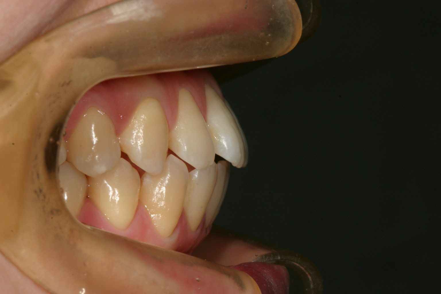
上の写真と比べてください。 かなり出っ歯が入りました。
当院からのコメント
今回のケースは全体的に歯と歯の間がすきっ歯になっている為、前方に飛び出した感じになっています。
この隙間を閉じる事によりこの様に出っ歯感を改善しました。
インビザラインでは今回のケースの様に隙間を閉じるケースが一番得意です。
ただ閉じるだけでなく多少IPRする事により隙間をさらに少し調整し出っ歯感を改善しています。
ここまで歯を入れればもう出っ歯とは言われないですね!

