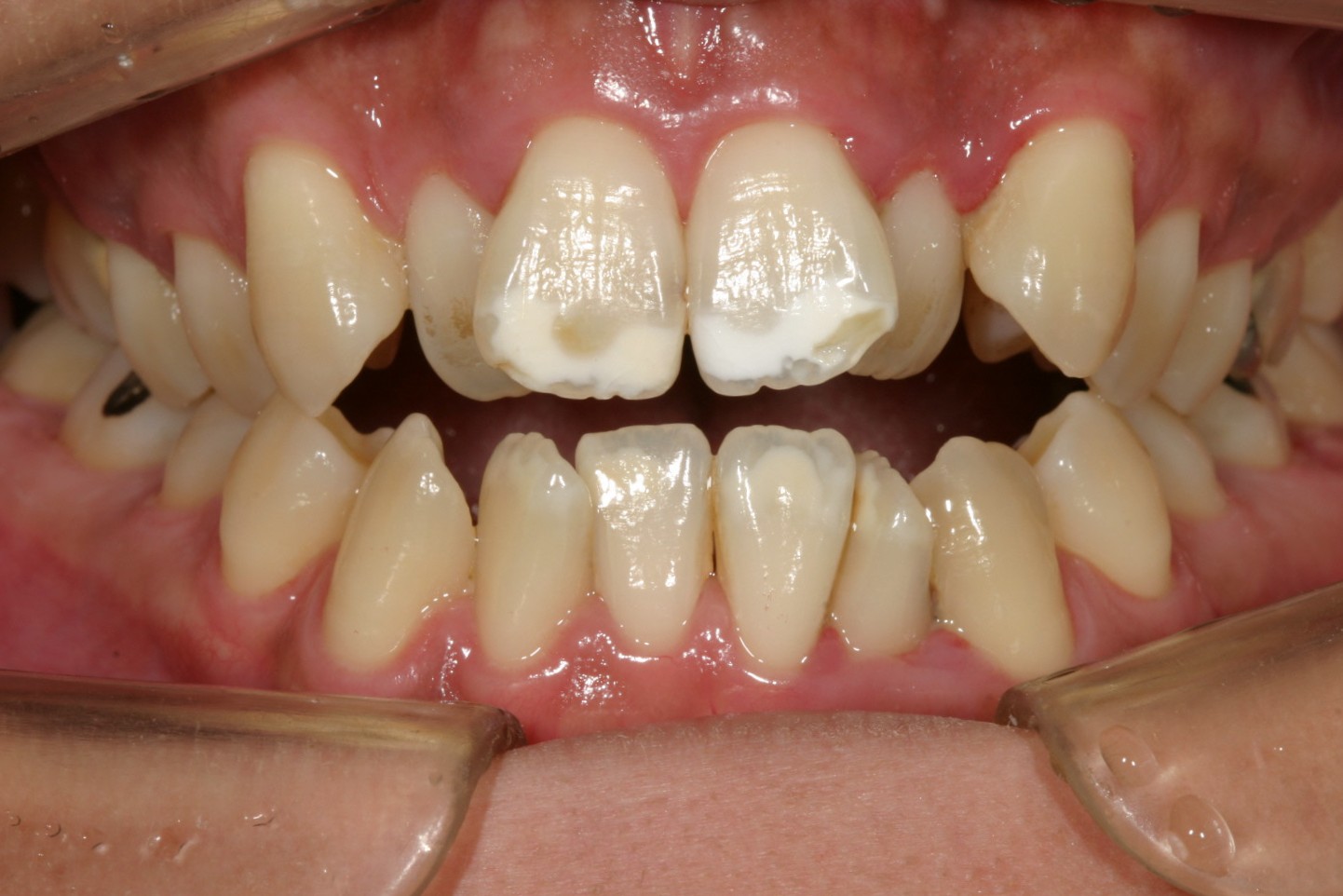
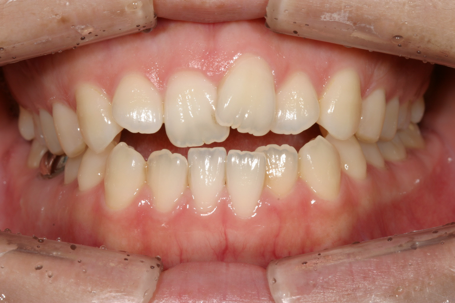
カテゴリー: 開咬
インビザライン 開咬 出っ歯 加速矯正装置 痛くない


お悩み
前歯が閉じ無い事でずっと悩んでました。
年齢
27歳
性別
女性
治療に用いた装置
インビザライン+加速矯正装置
治療期間
1年6ヵ月
治療にかかった費用
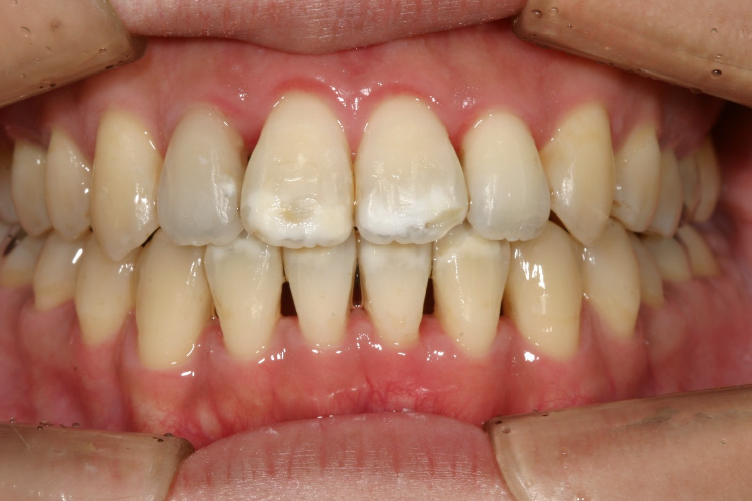
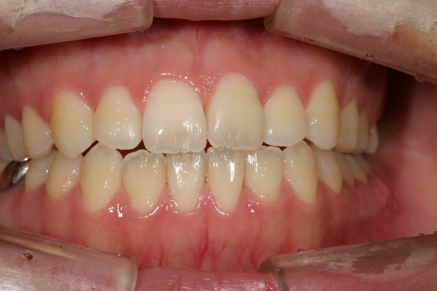
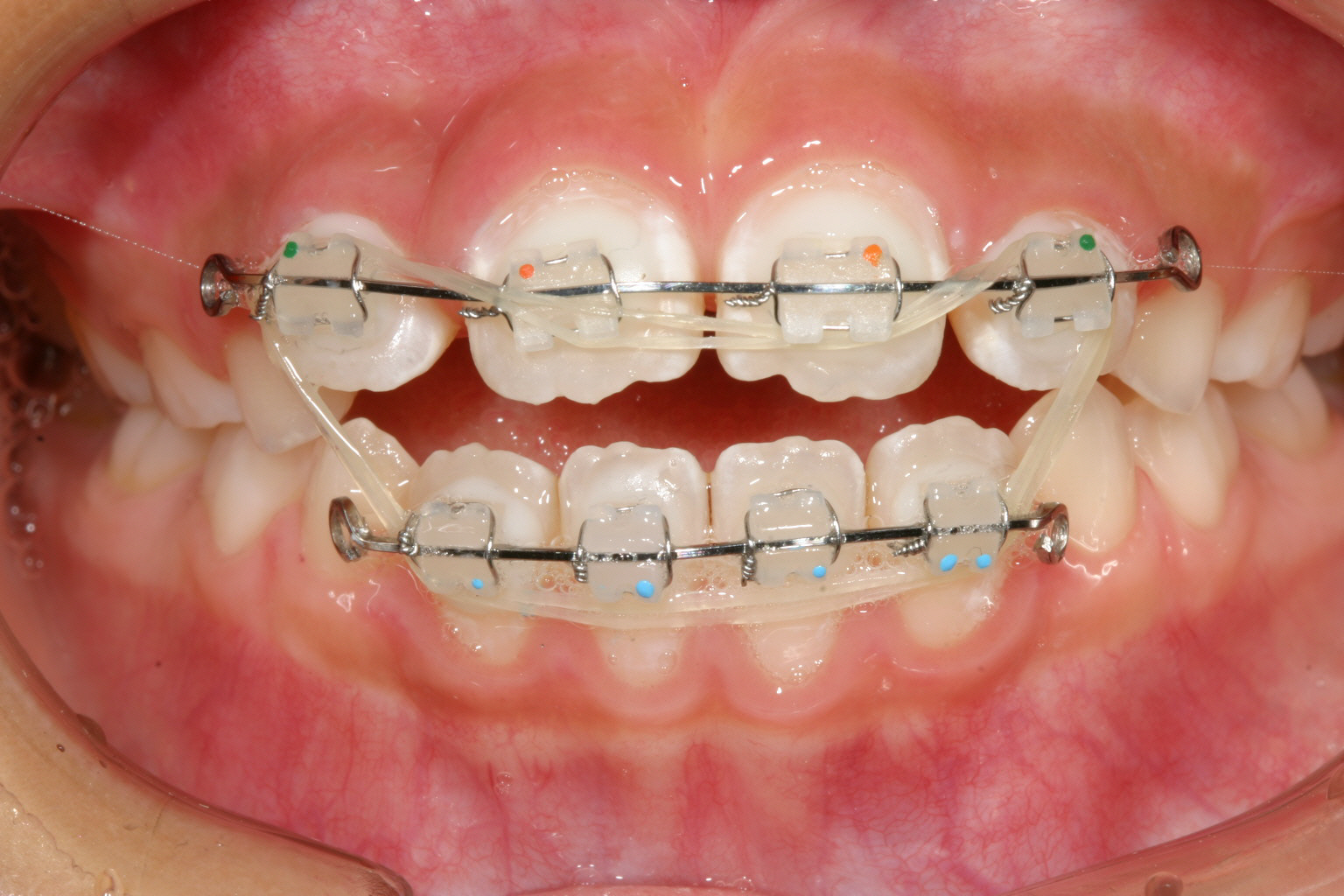
前歯 開咬 (オープンバイト 前歯が閉じない) マルチループワイヤー マリガンワイヤー


お悩み
前歯で羊羹をパクリと食べてみたい。
年齢
50歳
性別
女性
治療に用いた装置
マルチループワイヤー
治療期間
1年7か月
治療にかかった費用
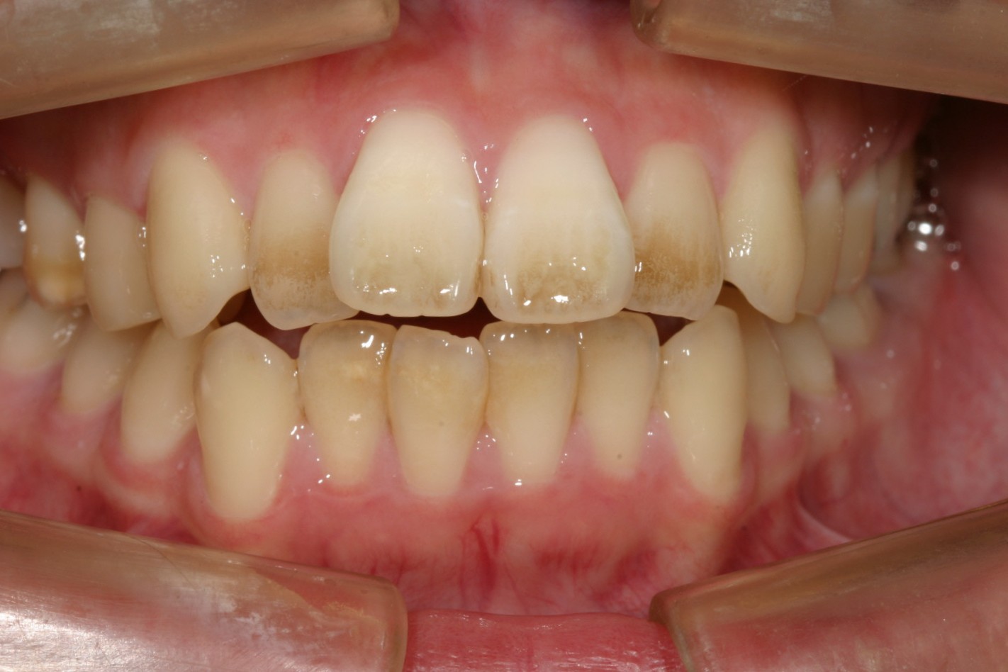
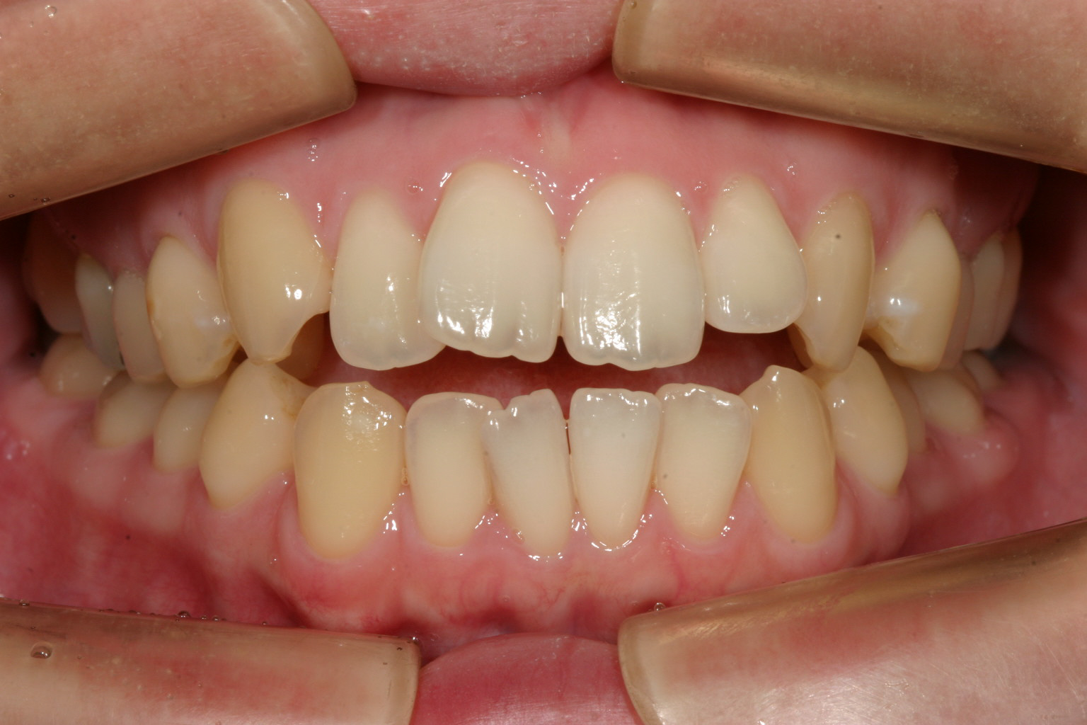
開咬 前歯 マルチループワイヤー がちゃ 口閉じない


お悩み
口が閉じないのとガタガタを治したい。
年齢
32歳
性別
女性
治療に用いた装置
マルチループワイヤー
治療期間
1年9カ月
治療にかかった費用
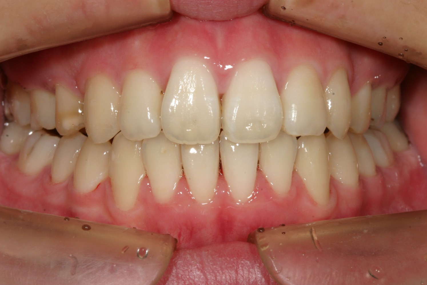
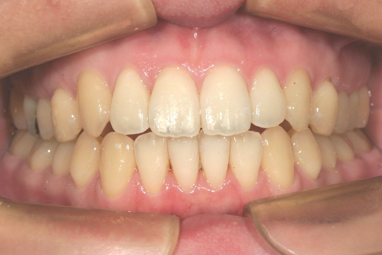
出っ歯 口ゴボ 開咬 ガタガタ ガチャ 抜歯 インビザライン


お悩み
前歯が出て口が塞がらず上手く噛めない。
年齢
18歳
性別
女性
治療に用いた装置
インビザライン+加速矯正装置
治療期間
1年7か月
治療にかかった費用
前歯 開咬 叢生 ガタガタ ガチャ ワイヤー part3


お悩み
口が閉まらない、前歯のガタガタが気になる。
年齢
21歳
性別
女性
治療に用いた装置
ワイヤー矯正
治療期間
11ヵ月
治療にかかった費用
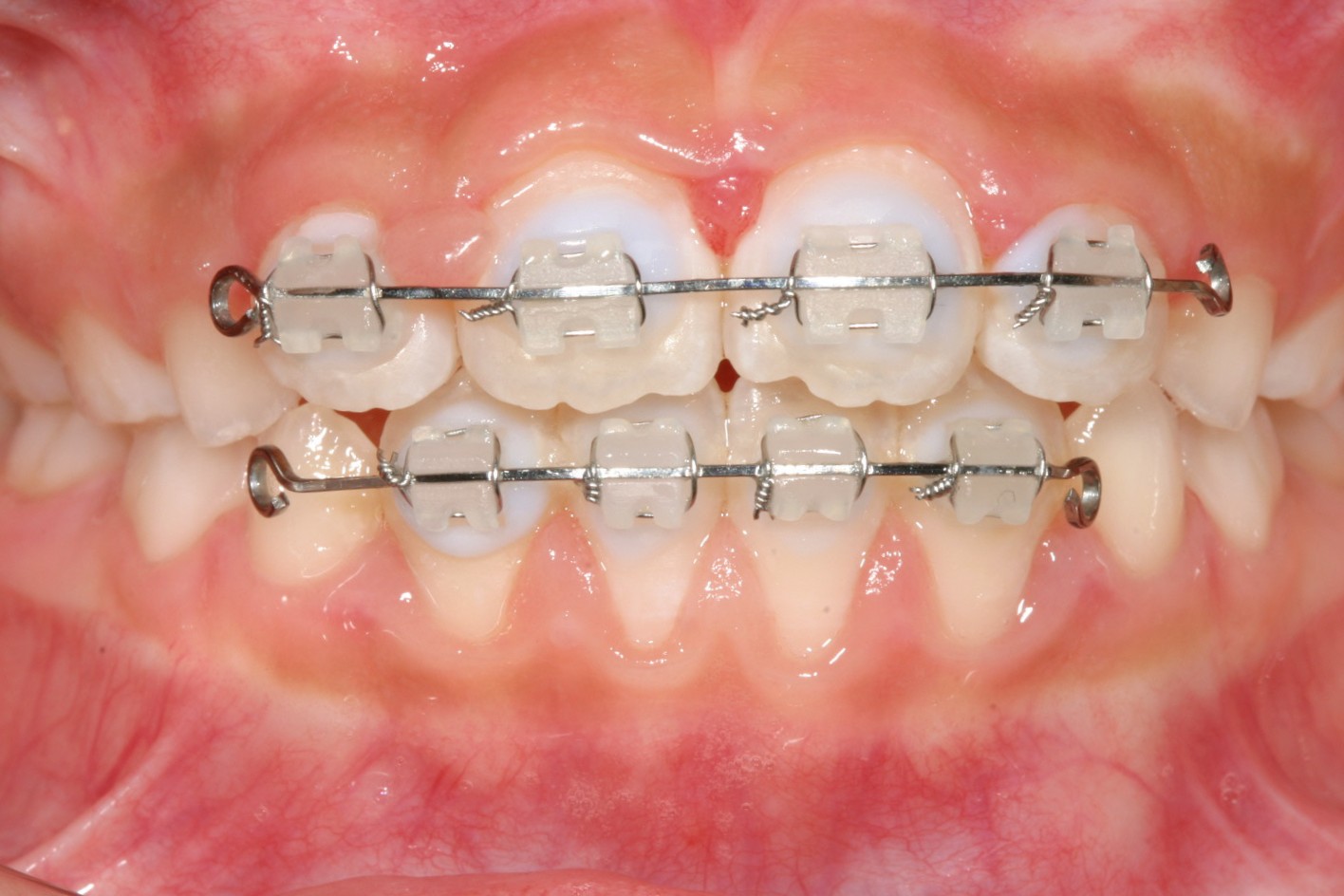
開咬 (オープンバイト 前歯 開いてる) part2 マリガンワイヤー


お悩み
前歯でラーメンをかみ切りたい。
年齢
42歳
性別
女性
治療に用いた装置
マルチループワイヤー
治療期間
2年
治療にかかった費用





