

お悩み
歯並びがガタガタ、下顎アーチが変形、出っ歯も気になる。
年齢
25歳
性別
男性
治療に用いた装置
インビザライン+ワイヤー
治療期間
1年10か月
治療にかかった費用
治療詳細

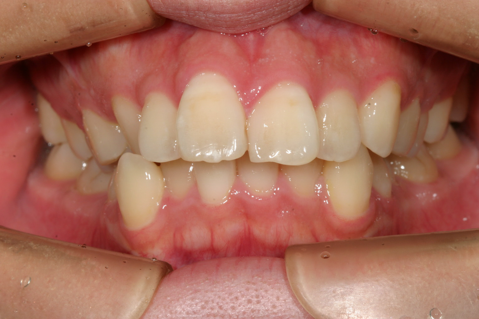
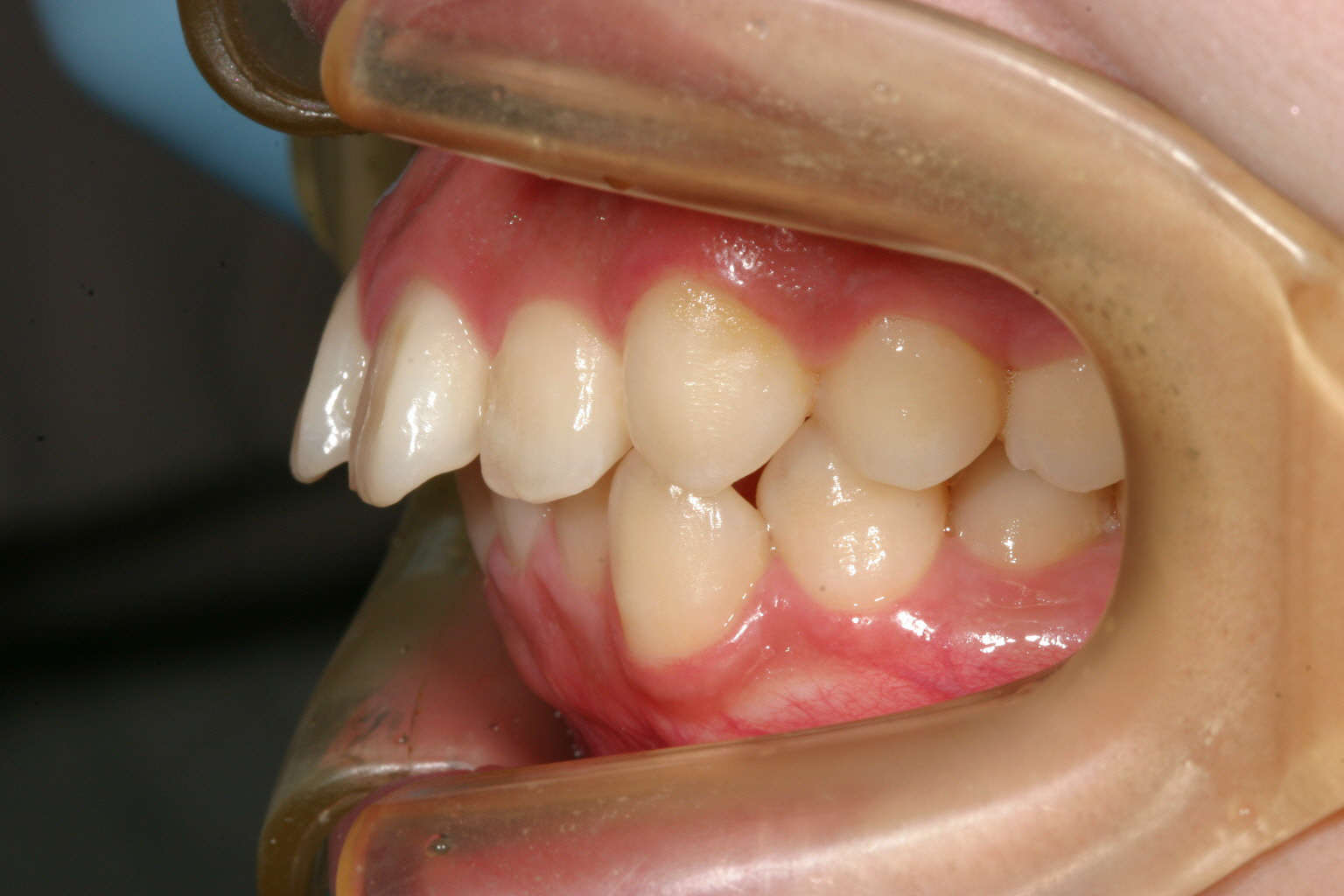
歯列がV字になっている為犬歯と犬歯の幅が狭く前歯が前に飛び出してます。

下顎はV字が特にひどく小臼歯あたりが狭くなっています。

かなりの出っ歯ですね~

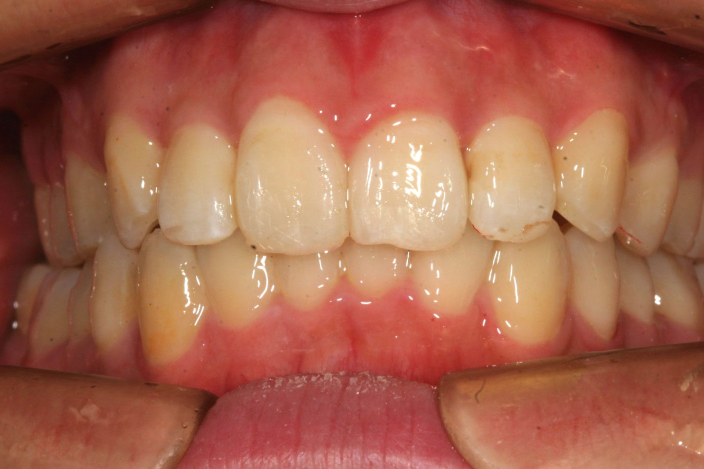
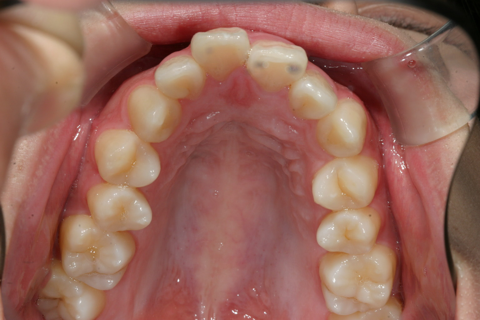
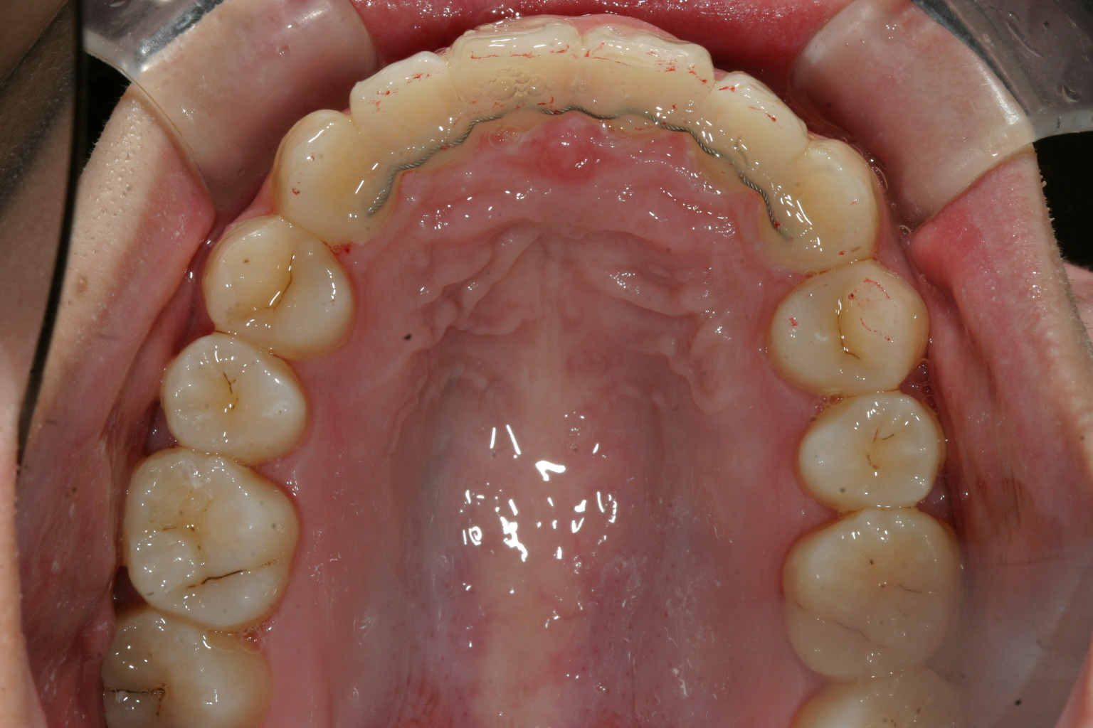
抜歯もせず綺麗なU字形に治りました。

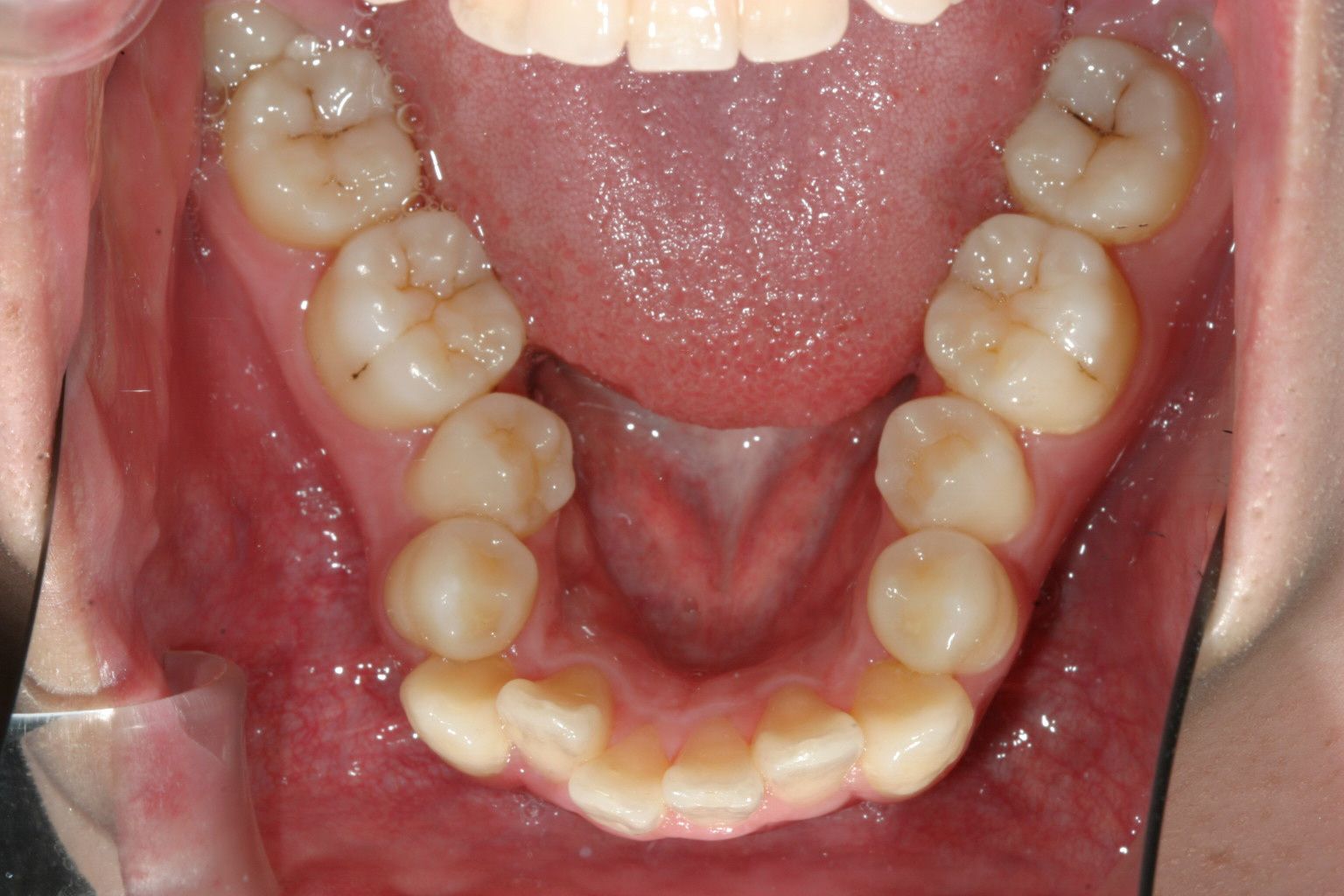
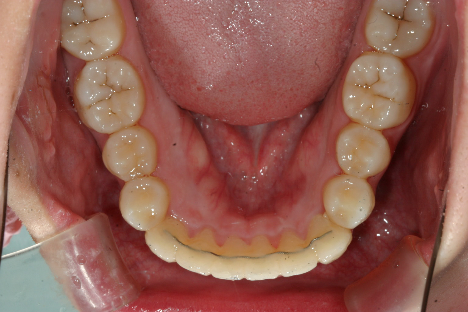
下顎も綺麗に修正出来ました。

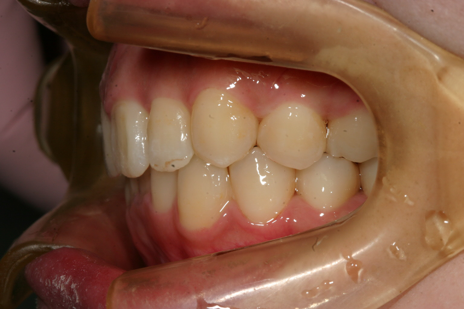
でっぱも改善出来ました。
当院からのコメント
今回の症例は稀にみる下顎のアーチフォームの乱れが激しく乱れていましたのでこれを修正するのに手間取りました。
多少下顎のアーチフォーム改善にワイヤーを使用しましたが、これだけ綺麗になれば患者様にも満足して頂けました。
気になる出っ歯観も改善しました。
この様な症状でお悩みでしたらいつでも遠慮無く当院にご相談下さい。

