かみ合わせが深い(オーバーバイト)すきっ歯 前歯に隙間のある症例でこぼこの歯・叢生(そうせい)の症例(非抜歯)ガチャガチャ歯、叢生 (抜歯症例)クワッドヘリックスセラミック矯正マルチループワイヤー矯正リンガルアーチ下前歯が乱れている症例入れ歯による噛み合わせ改善八重歯(やえば)の症例八重歯(やえば)の症例(抜歯症例)出っ歯(上顎前突)の症例 抜歯出っ歯(上顎前突)の症例(非抜歯)前歯の捻転(ねじれ)の症例(非抜歯)前歯部骨折の為ワイヤー固定受け口(下顎前突)の症例(非抜歯)受け口(下顎前突)抜歯症例咬み合わせ異常による顎関節症外科骨切除処置後の矯正治療小児矯正臼歯部のクロスバイト改善のエラスティック過蓋咬合改善の為の自家製バイトアップジグ使用開咬顎偏顎関節症マルチループワイヤー
症例紹介
犬歯 飛び出し 前歯 内方傾斜 ガタガタ がちゃ マルチループワイヤー


お悩み
前歯が内に傾斜し糸切り歯も飛び出ている。
年齢
50歳
性別
女性
治療に用いた装置
マルチループワイヤー
治療期間
1年2ヵ月
治療にかかった費用
前歯 パラパラ 叢生 ガチャ ガタガタ スクエア インビザライン


お悩み
前歯のガタガタとかみ合わせを治したい。
年齢
27歳
性別
女性
治療に用いた装置
インビザライン
治療期間
2年
治療にかかった費用
小臼歯 抜歯 ディープバイト 叢生 臼歯部傾斜 インビザライン


お悩み
他院で小臼歯抜歯した為臼歯部に隙間と咬み合わせが深い。
年齢
28歳
性別
女性
治療に用いた装置
インビザライン
治療期間
1年3ヵ月
治療にかかった費用
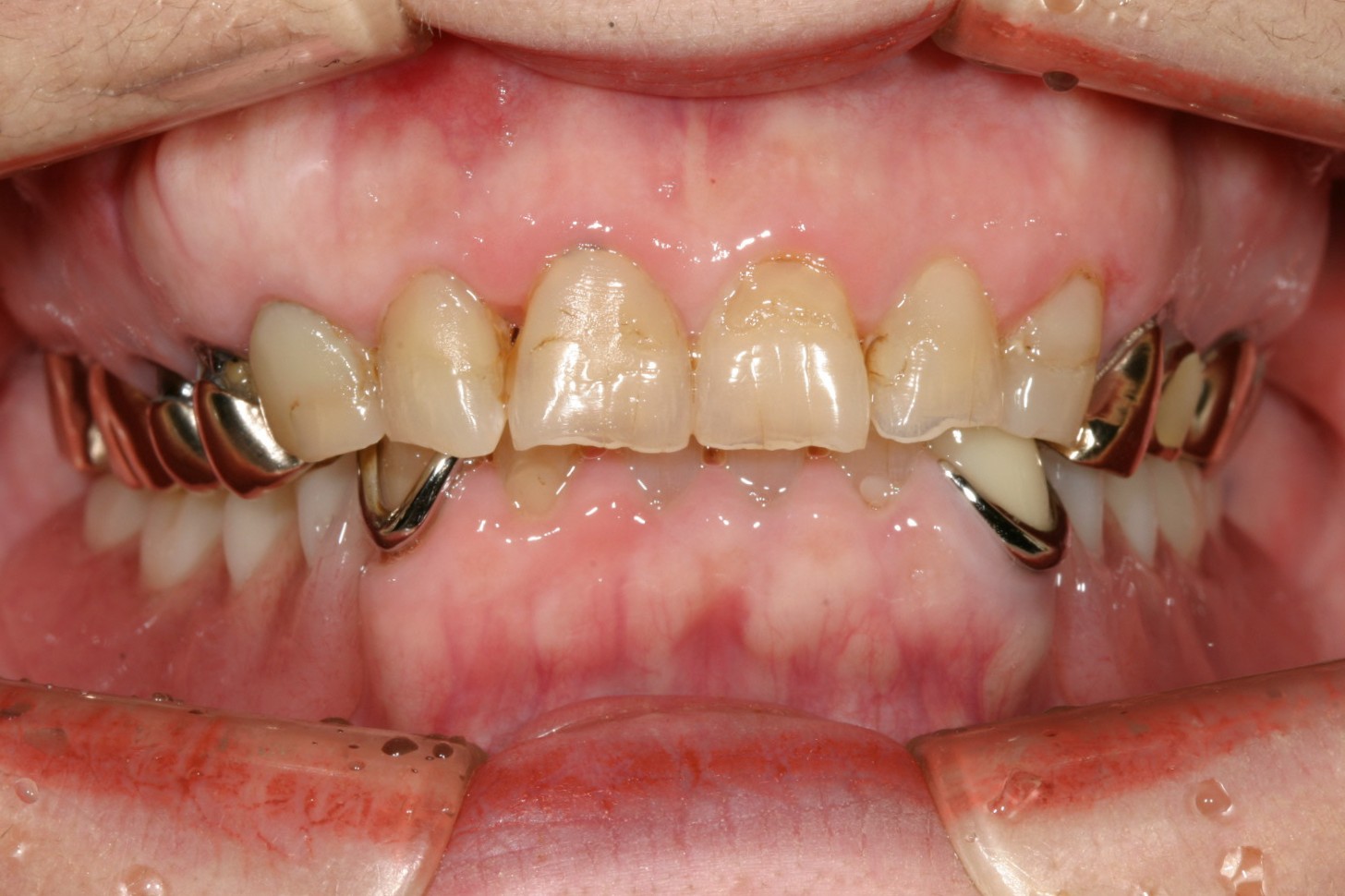
下顎部分入れ歯 かみ合わせ 矯正 ディープバイト


お悩み
下顎の義歯がすり減ってかみ合わせが深くなって見た目が悪く上手く噛めない。
年齢
62歳
性別
女性
治療に用いた装置
下顎アタッチメント義歯
治療期間
4ヵ月
治療にかかった費用
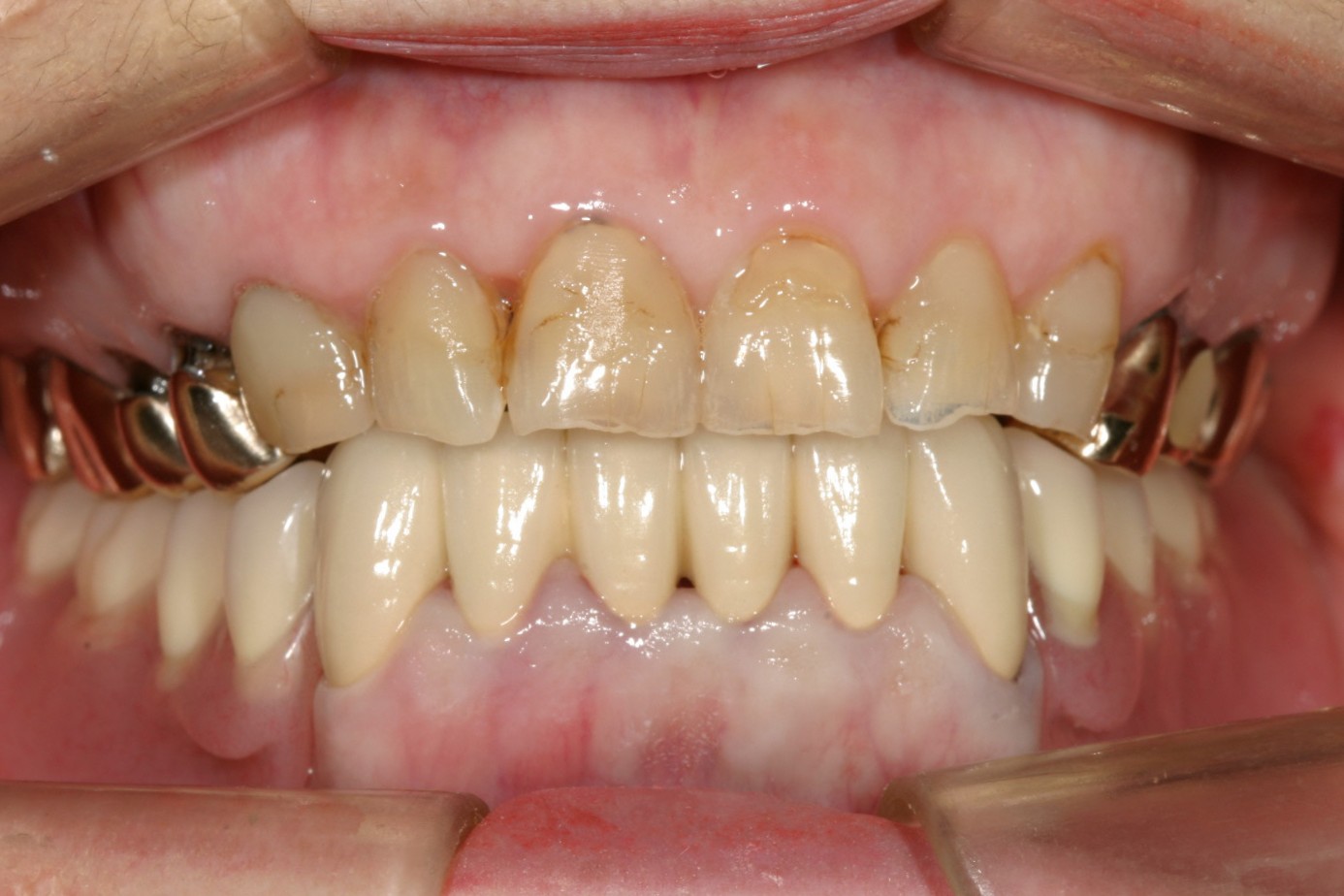
上顎総入れ歯 咬み合わせ 矯正 ディープバイト


お悩み
他院で作った入れ歯が不細工で綺麗な咬み合わせに改善してほしい。
年齢
79歳
性別
男性
治療に用いた装置
入れ歯による嚙み合わせ改善
治療期間
5ヵ月
治療にかかった費用











