

お悩み
前歯のガタガタが気になる。
年齢
35歳
性別
女性
治療に用いた装置
インビザライン
治療期間
1年3ヵ月
治療にかかった費用
治療詳細

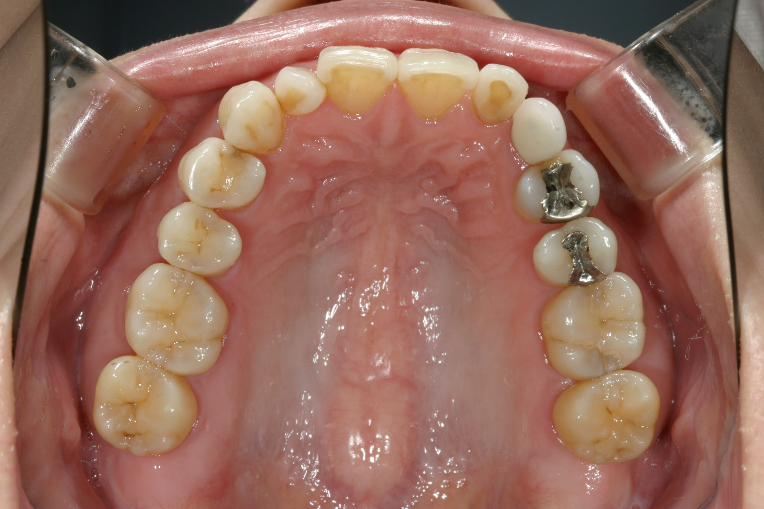
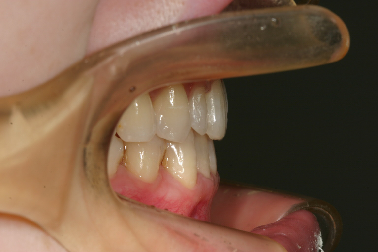
右上の2番目が少しねじれてる位でさほど乱れは有りません。

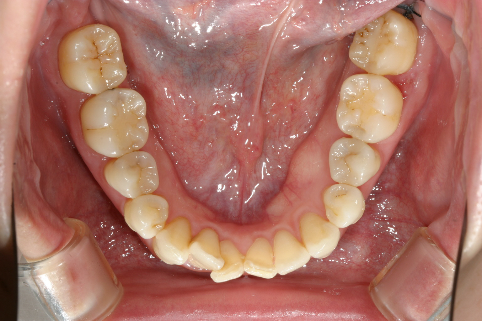
下顎も少し前歯に乱れを確認できます。

オーバージェット感は問題なさそうです。

二番目の歯も綺麗に整列しました。

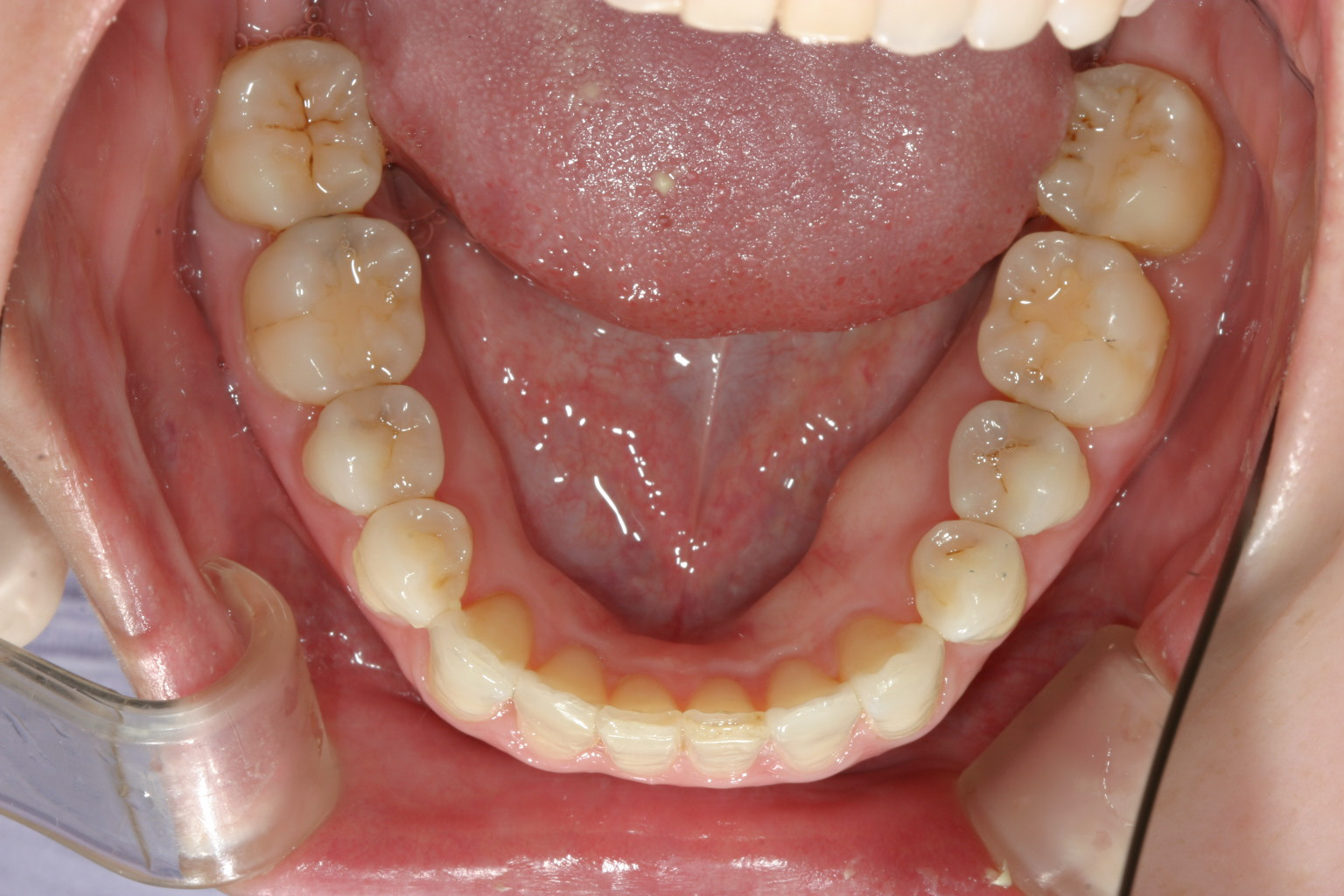
下顎も凄く綺麗です。

オーバージェット感も問題無いです。
当院からのコメント
全体的に大した乱れの有るケースでは無いですが前歯部に少しの叢生と正面から見ると咬み合わせが少し深いように見えますのでそれを修正させて頂きました。
これくらいのケースは一番インビザラインに最適な症例です。

