

お悩み
かみあわせが深い為下の前歯が見えない。
年齢
26歳
性別
女性
治療に用いた装置
インビザライン+自家製バイトアップジグ
治療期間
2年
治療にかかった費用
治療詳細

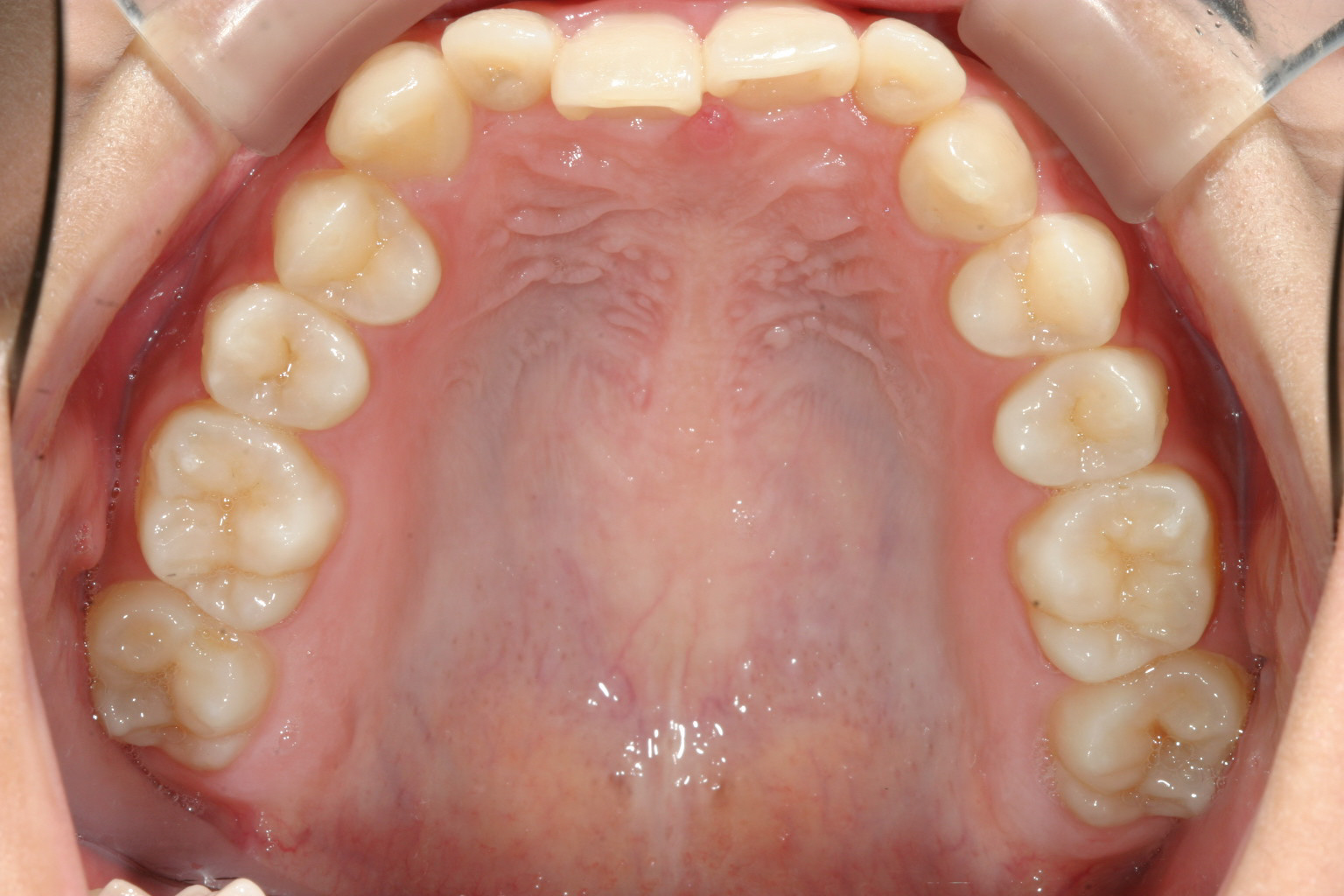
上の前歯が中に入っている為、下あごが前に出ずらく顎関節症をおこし易い咬み合わせです。

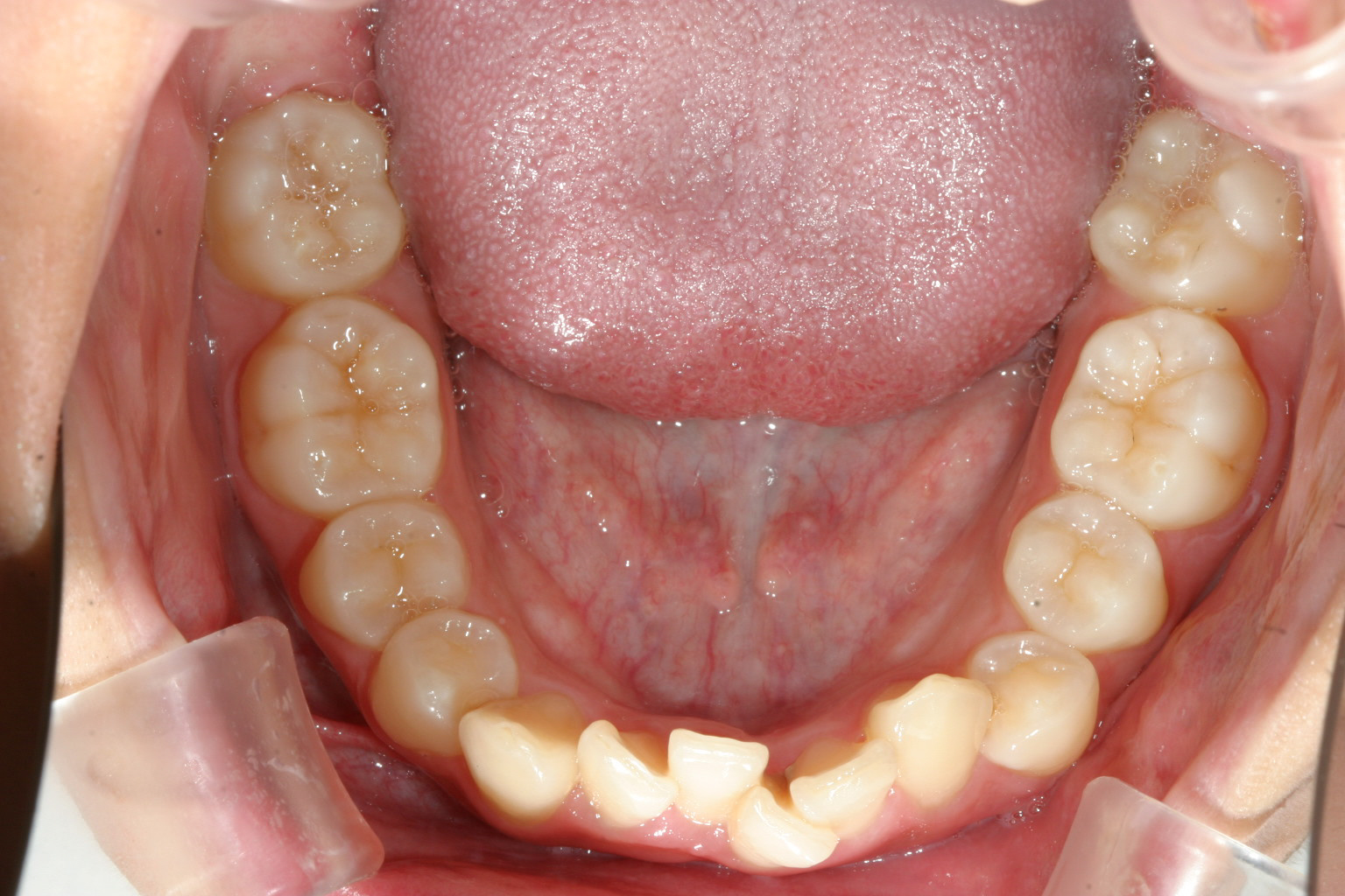
上の前歯に押されたせいで下の前歯がガタガタになっています。

かなりのオーバーバイトです。

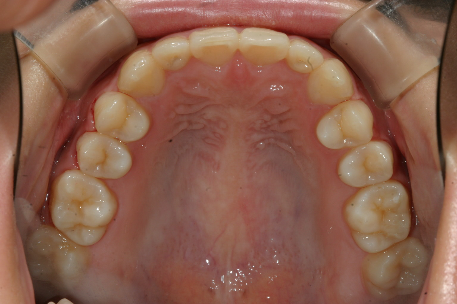
上の歯並びを綺麗なアーチにする為に前歯を出しました。

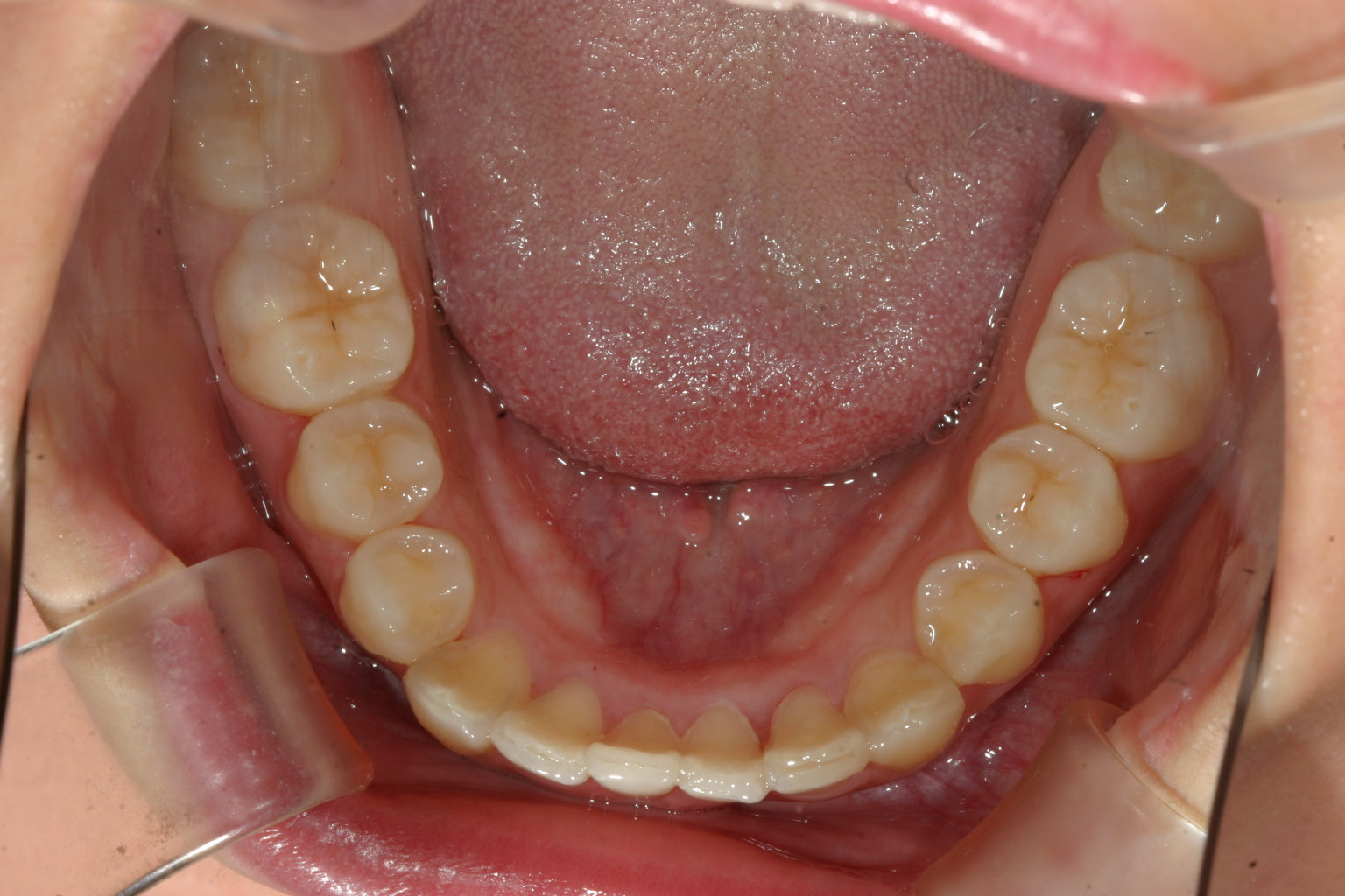
上を先に出して下の前歯も綺麗に並べました。

綺麗なオーバーバイトに改善しました。

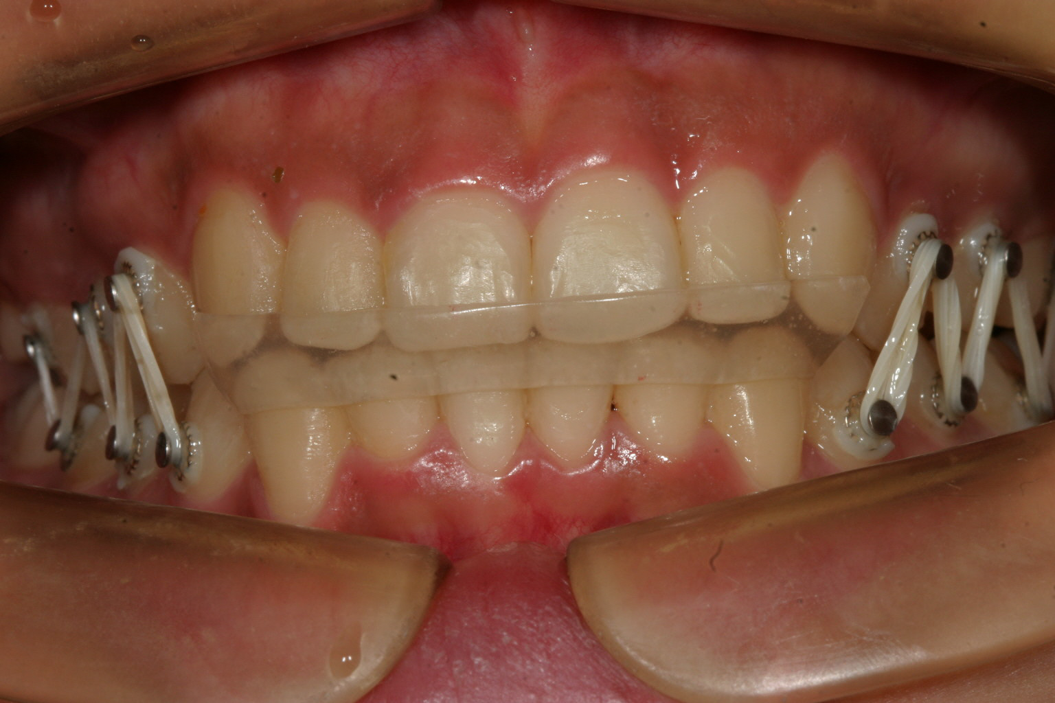
前歯に自家製のバイトアップジグを院長自ら製作しアップダウンエラスティックで臼歯の咬合を挙げてます。

右側のアップダウンエラスティックです。

左側のアップダウンエラスティックです。

前の写真で使用した前歯で噛んでる自家製ジグですがこの様な 咬合器と言う機器に上下模型をマウントし咬合器上で適正なかみ合わせに調整して前歯に手盛りでレジンを盛り付け作成します。

咬合器上の模型の拡大写真です。 この臼歯部の隙間をアップダウンエラスティックをかけて閉じます。
当院からのコメント
こちらの症例はかなりのオーバーバイトの為、自家製バイトアップジグにて咬合を挙げた症例です。
この様なかみ合わせの殆どの患者様は顎関節症を持っていると言っていい位です。
この治療法は橋本式と言っていい位の私のオリジナルです。
私は歯科医師免許以外に歯科技工士免許も持ってますから。
この様なジグの製作が得意な為この様な方法を取りました。
インビザラインだけではこれ程かみ合わせを挙げることは難しいと思います。
この様な症状でお悩みでしたらいつでも遠慮無く当院にご相談下さい。

