

お悩み
咬み合わせが深くて前歯が斜めになってる。
年齢
28歳
性別
女性
治療に用いた装置
インビザライン
治療期間
2年5か月
治療にかかった費用
治療詳細

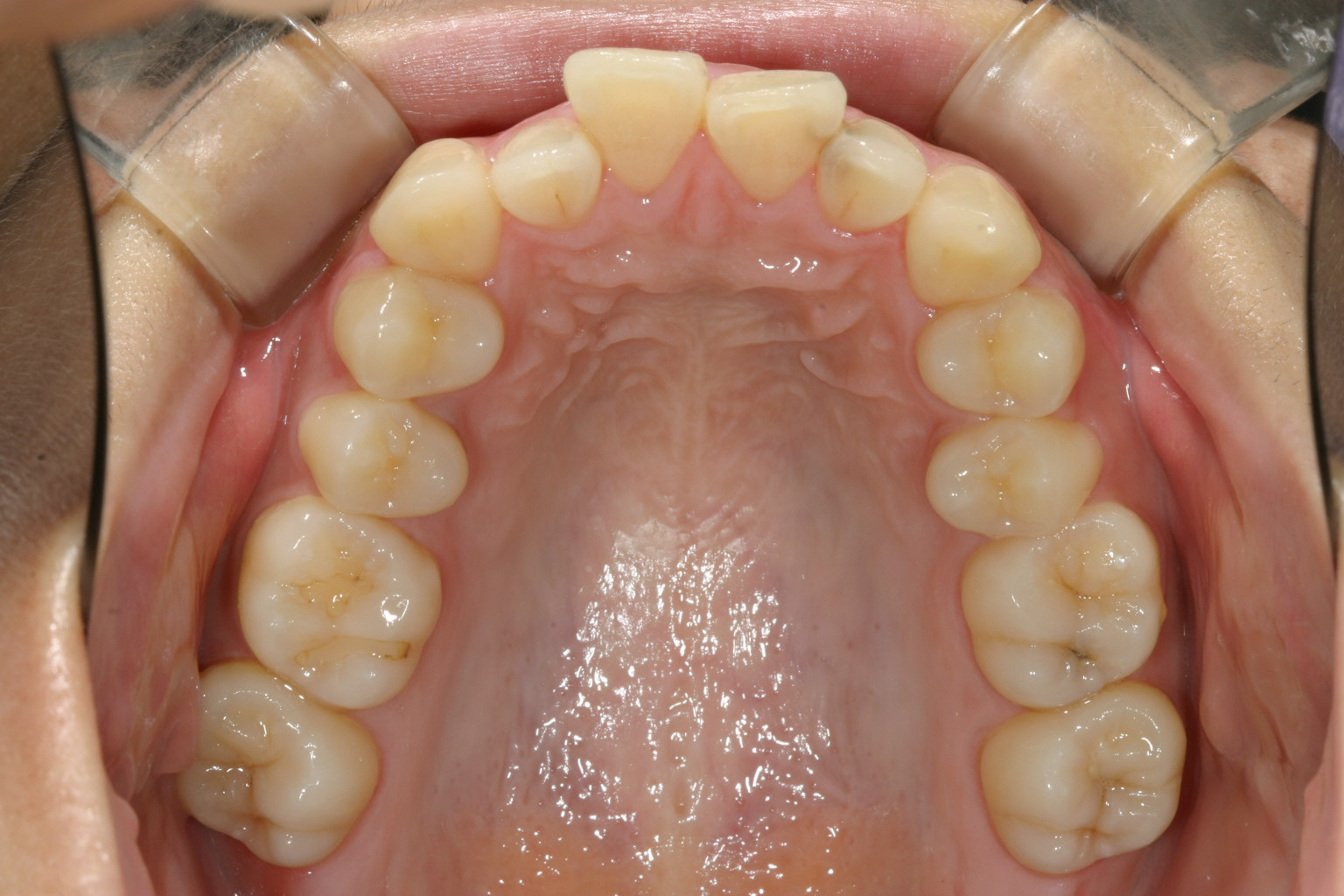
前歯に少しガタガタが見られます。

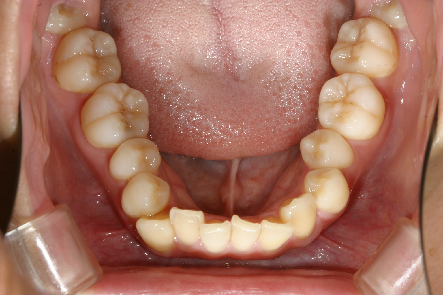
下顎にもガタガタが見受けられます。奥歯が全体的に内方へ倒れ歯列がV字形になってる為前歯がガタガタしているのです。

少し出っ歯観があり、咬み合わせがが深いです。

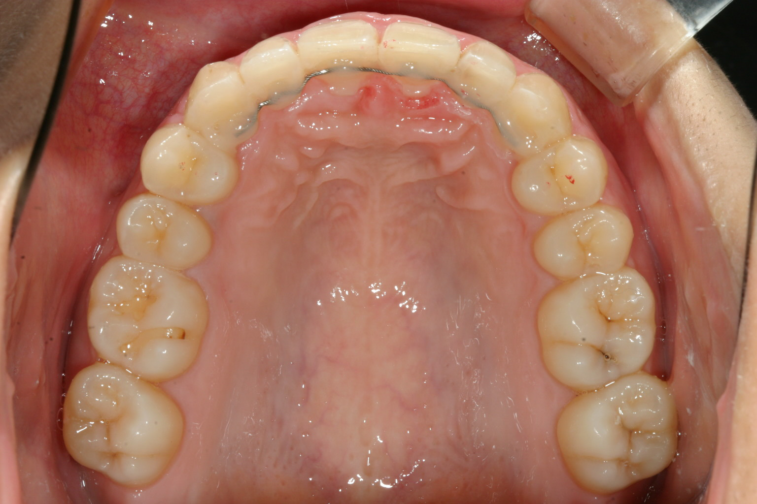
綺麗な歯並びが得られました。

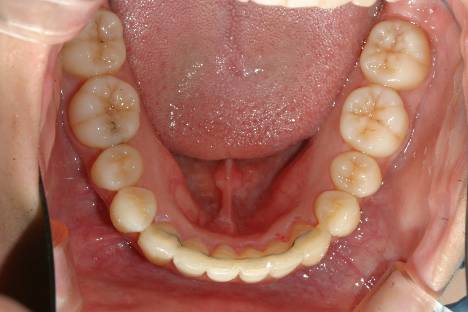
下顎も凄い綺麗です。 beforeと比べてください。 U字形になってるのが分かります。 つまり犬歯と犬歯の間が開いたと言う事です。

オーバージェットもオーバーバイトも完璧です。
当院からのコメント
今回の症例は歯列の形態が悪い為に全体的に突出し、犬歯間が狭くなった為に
前歯に叢生が生じてました。
歯列形態の修正と上顎に多くIPR行う事により小臼歯の抜歯せずに終了しました。
これがインビザラインの得意とする症例です。
ワイヤー矯正でしたら先ず上顎の小臼歯を抜く事からスタートしますが、インビザラインでは
これくらいのオーバージェットならIPRを行う事で解消されます。
これがデジタル矯正でしか出来ない事です。
この様な症状でお悩みでしたらいつでも遠慮無く当院にご相談下さい。

