

お悩み
前歯が閉じず受け口も気になる。
年齢
33歳
性別
女性
治療に用いた装置
インビザライン
治療期間
2年
治療にかかった費用
治療詳細

少し前歯が翼状捻転してますがそんなに悪くないですね~

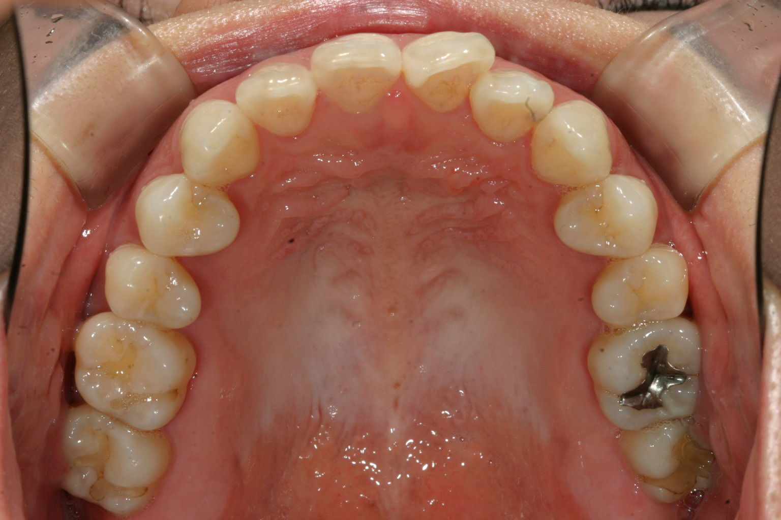
全体的に綺麗な歯列ですが1歯だけ気になりますね~

少し受けてますね~ 上顎の歯列もさほど乱れがなく受け口と言うのは少し厄介でガタガタなら綺麗に並べれば全体的に歯列は前に出ますが、綺麗な歯並びだと前には出てくれません。

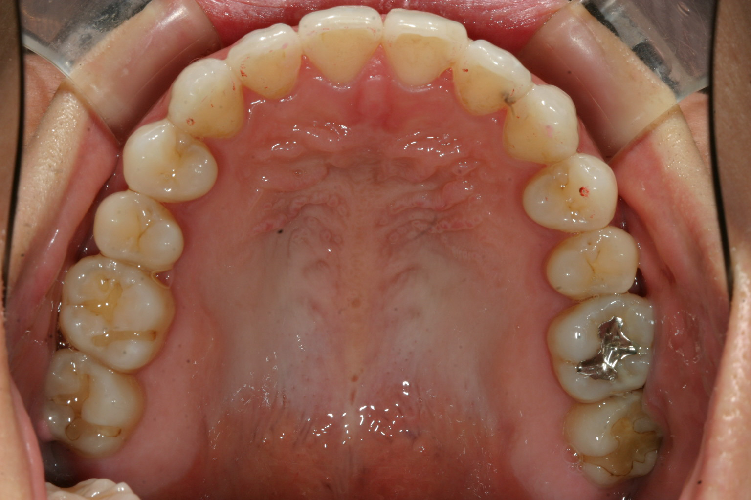
上顎綺麗に並びました。

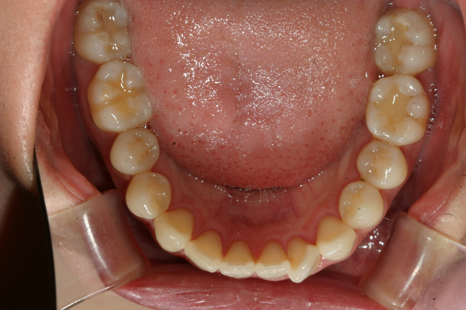
下顎もバッチリです。

綺麗な被蓋関係に改善されました。
当院からのコメント
今回の症例ではインビザライン矯正で得意とする手法でIPRって事メインに行いました。IPRと言う方法は上下の歯と歯の間を少し削り上下の歯のバランスを変えると言う方法です。(最大でも隙間に0.5mm程です。)
下顎の歯の隙間を沢山削り上顎は少し削って全体的にアーチを締め付ける事により下顎のアーチを小さくして上顎より内方に入れ、上顎前歯を少し下に下げれば綺麗な被蓋関係が出来上がります。
この様な症状でお悩みでしたらいつでも遠慮無く当院にご相談下さい。

