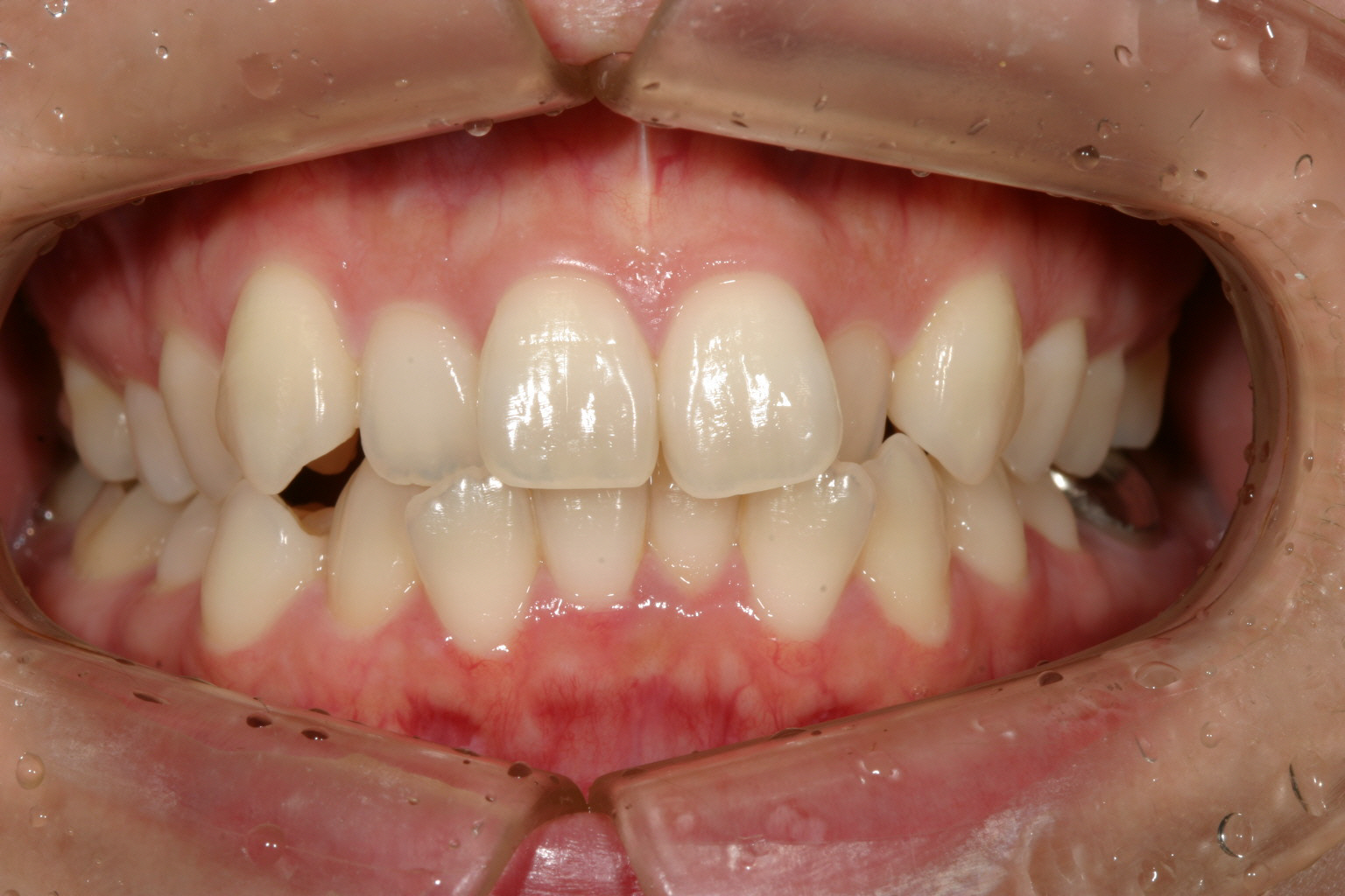
カテゴリー: でこぼこの歯・叢生(そうせい)の症例(非抜歯)
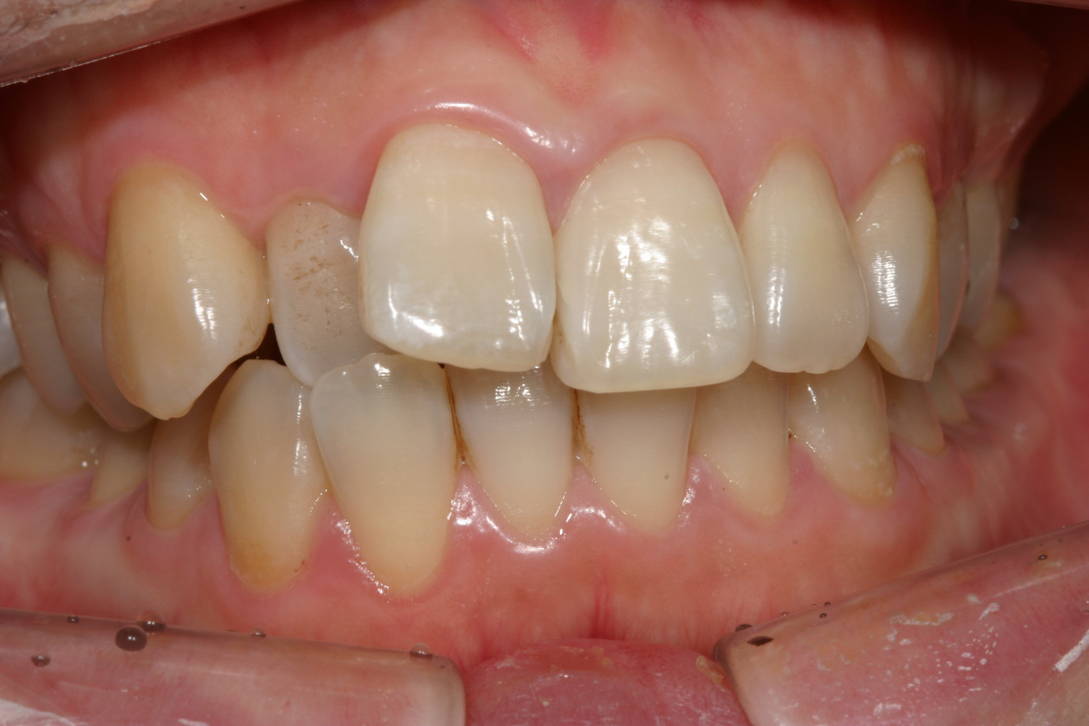
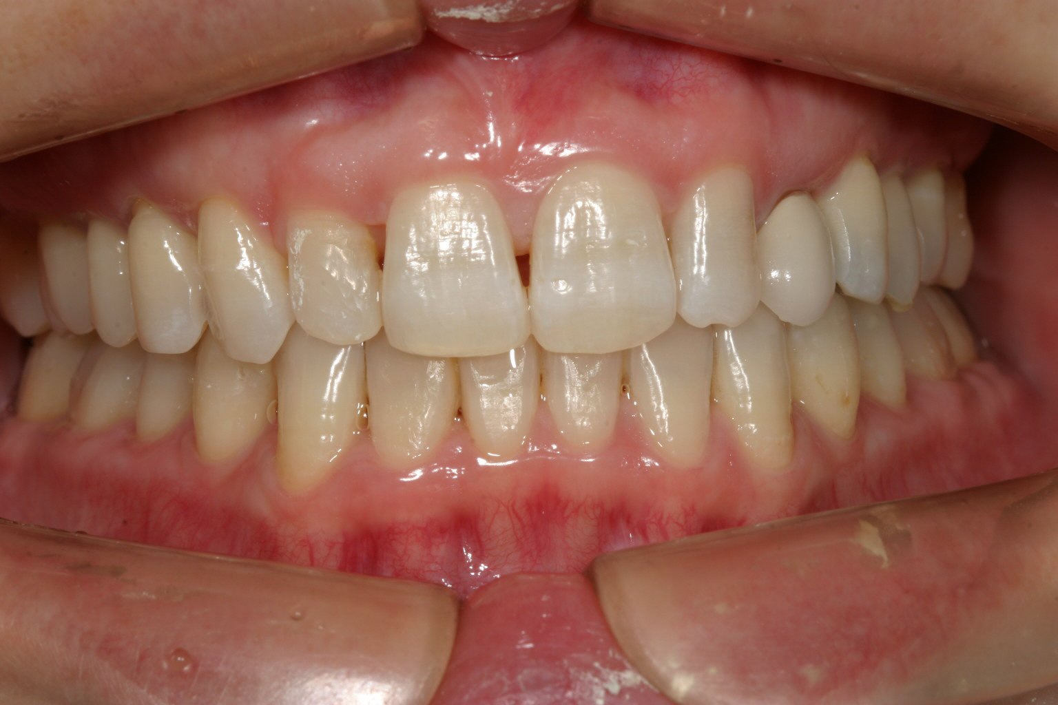
顎関節症 臼歯部倒れてる マルチループワイヤー マリガンワイヤー


お悩み
顎の調子が悪く、顎がカクカク音がする。
年齢
33歳
性別
女性
治療に用いた装置
マルチループワイヤー+マリガンワイヤー
治療期間
1ねん11ヵ月
治療にかかった費用
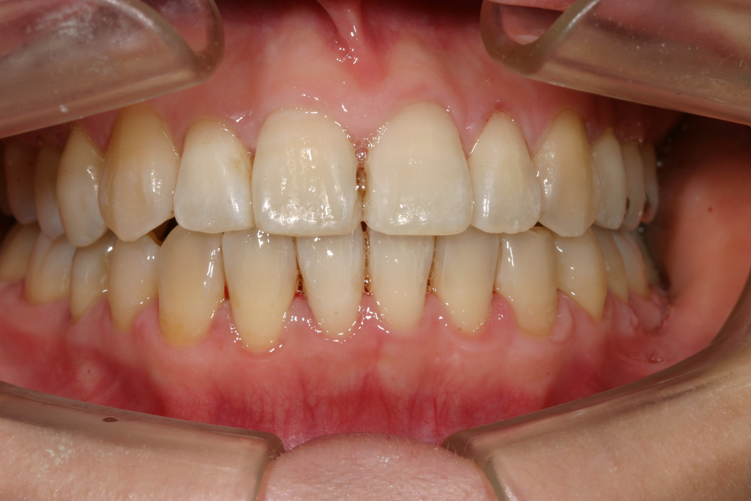
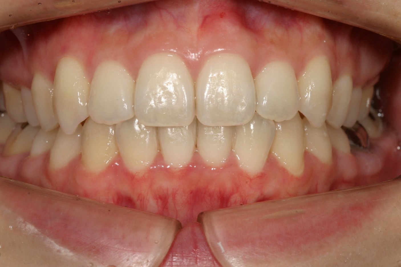
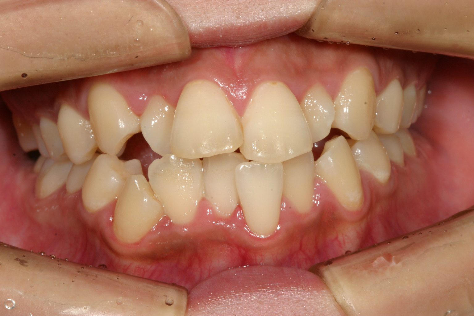
前歯 ねじれ 叢生 曲がり 出っ歯 インビザライン


お悩み
下顎歯並びがガタガ タ前歯のねじれ 出っ歯も気になる。
年齢
29歳
性別
女性
治療に用いた装置
インビザライン
治療期間
1年1か月
治療にかかった費用
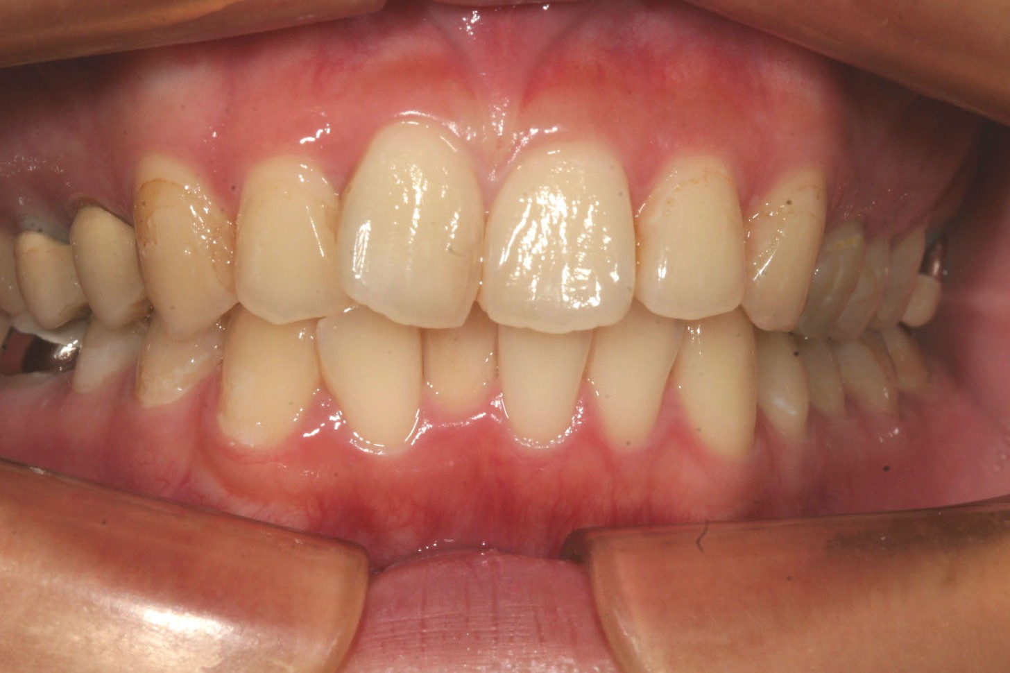
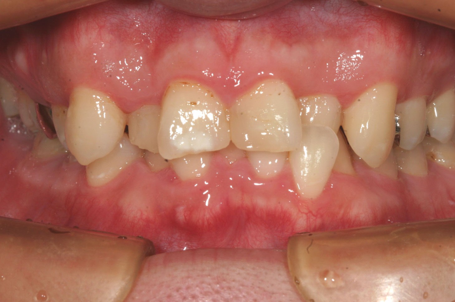
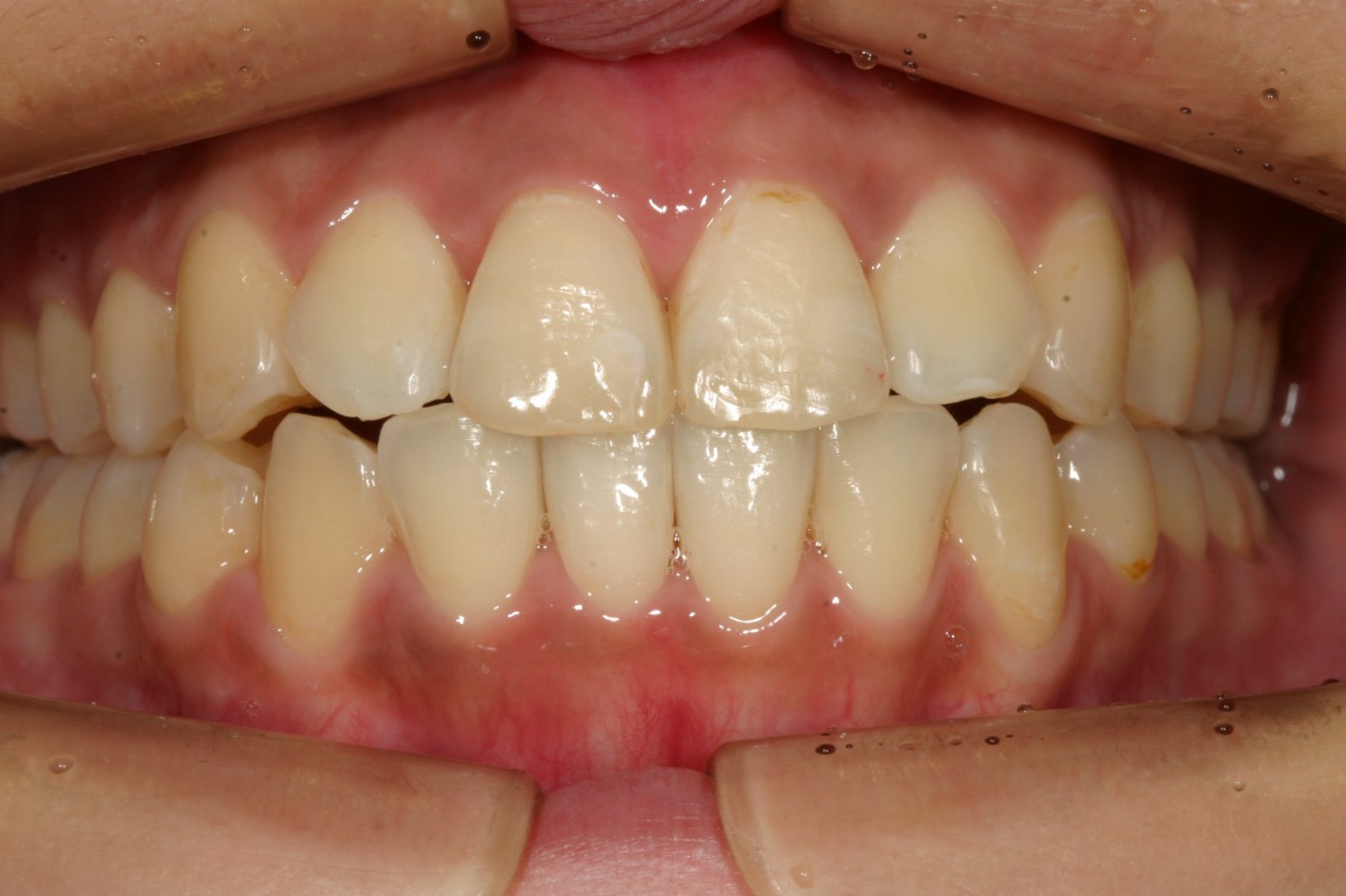
リンガルアーチ 部分矯正 叢生 時間短縮 インビザライン


お悩み
前のデコボコが気になる。
年齢
24歳
性別
女性
治療に用いた装置
インビザライン+リンガルアーチ
治療期間
リンガルアーチ3ヵ月+インビザライン7か月
治療にかかった費用
682500円
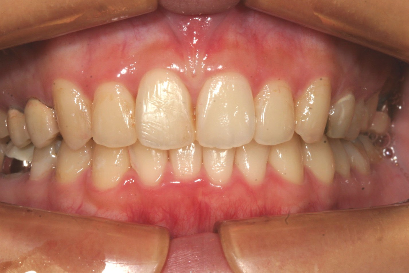
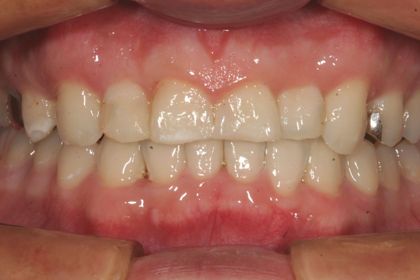
前歯 歯並び ガチャ ガタガタ 叢生 インビザライン


お悩み
前歯がガタガタしていて見た目も悪く、又食べ物がつまる。
年齢
25歳
性別
男性
治療に用いた装置
インビザライン
治療期間
1年7か月
治療にかかった費用







