

お悩み
顎の調子が悪く、顎がカクカク音がする。
年齢
33歳
性別
女性
治療に用いた装置
マルチループワイヤー+マリガンワイヤー
治療期間
1ねん11ヵ月
治療にかかった費用
治療詳細

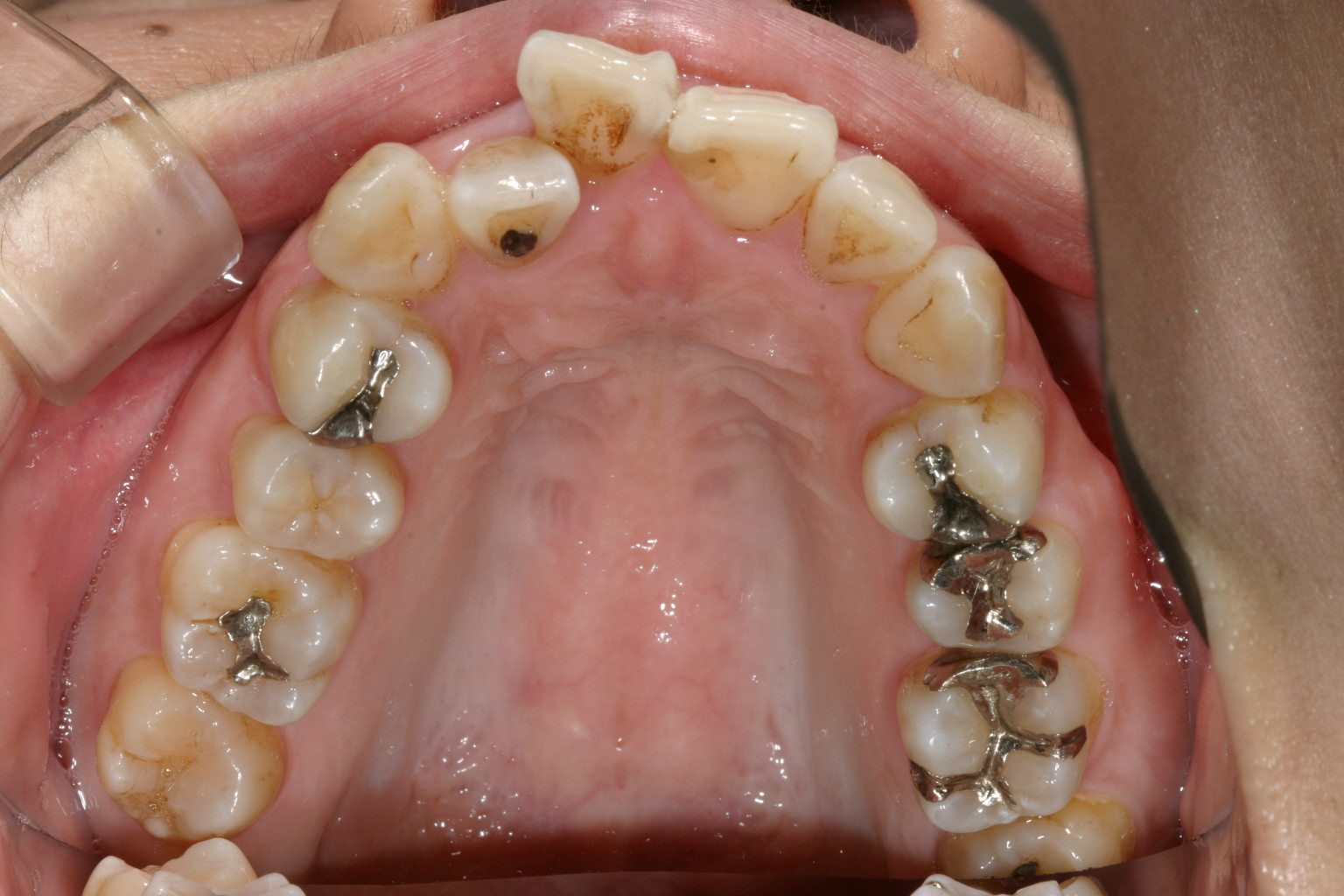
アーチの形状がV字になっている為、犬歯と犬歯の間が狭く前歯がガタガタになっています。

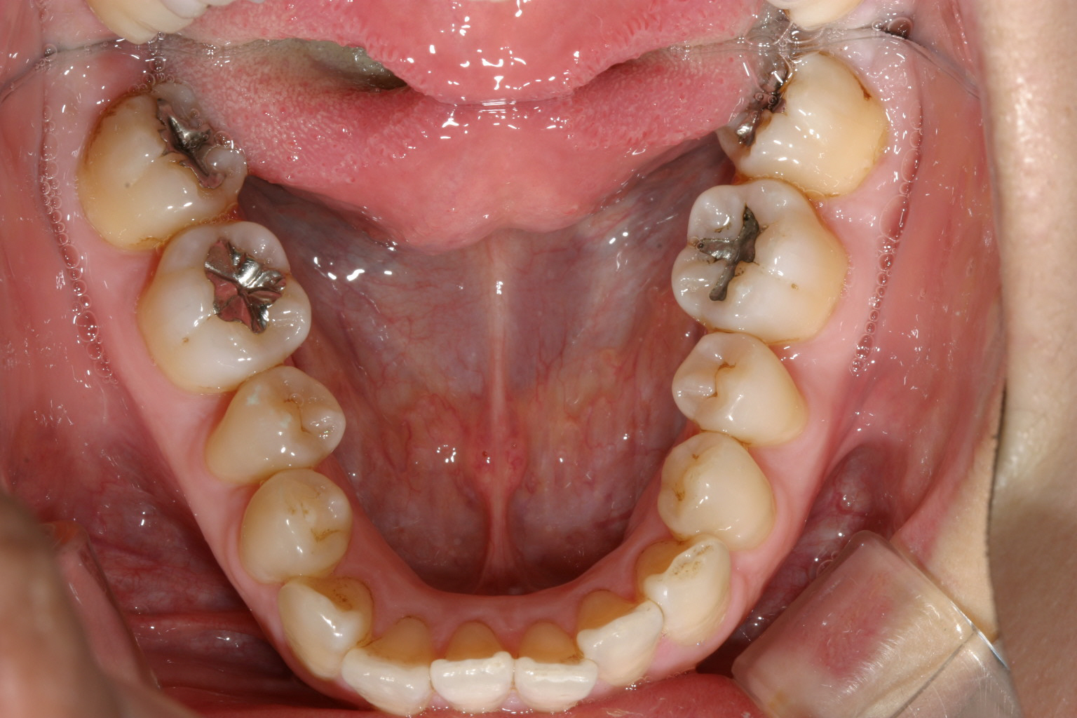
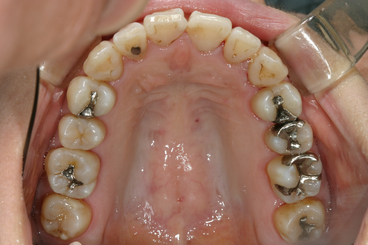
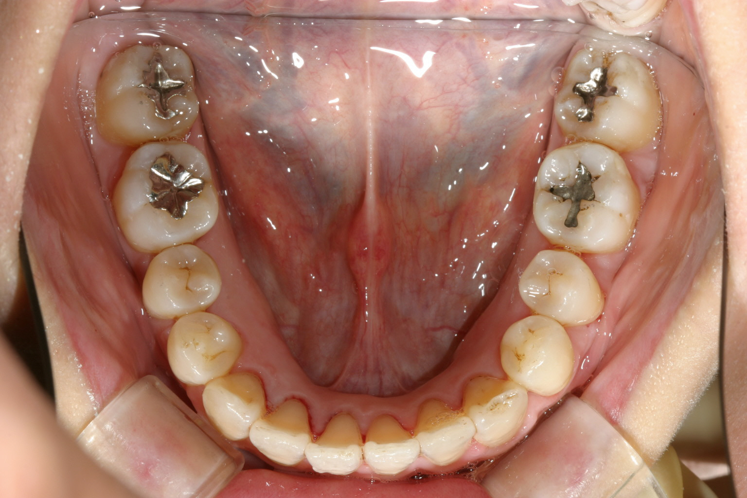
下顎もV字になっています。 又今日臼歯部が左右とも内方に傾斜しています。

上顎前歯が叢生の為、前歯が出ています。

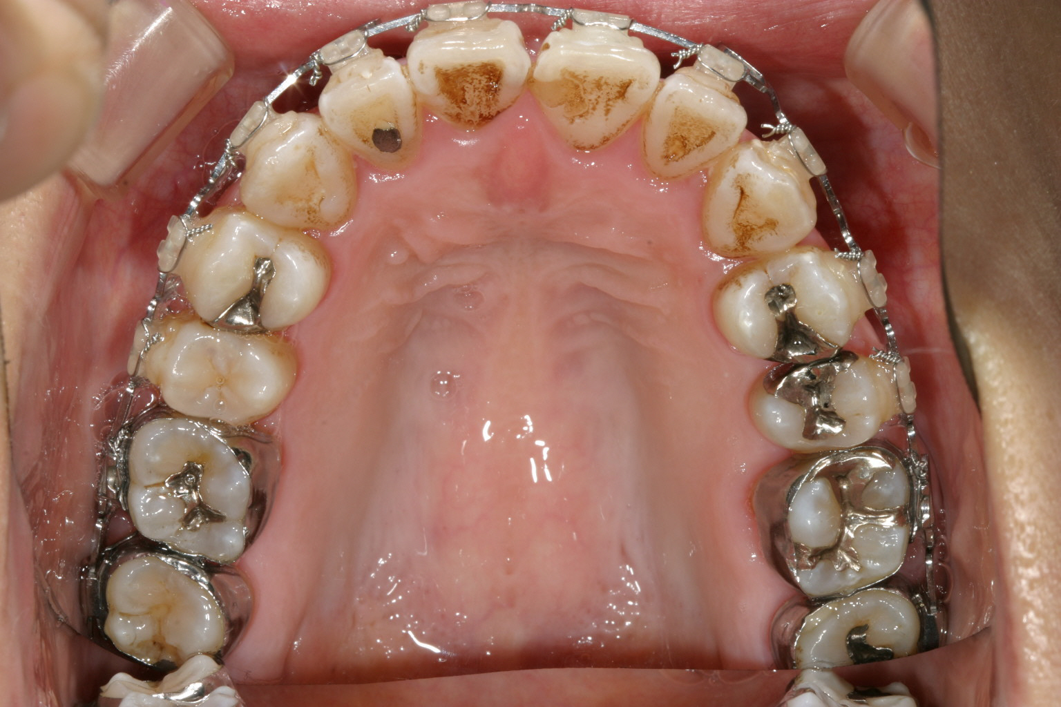
1年2か月後です。 マルチループが入っています。アーチの形状は殆ど改善致しました。

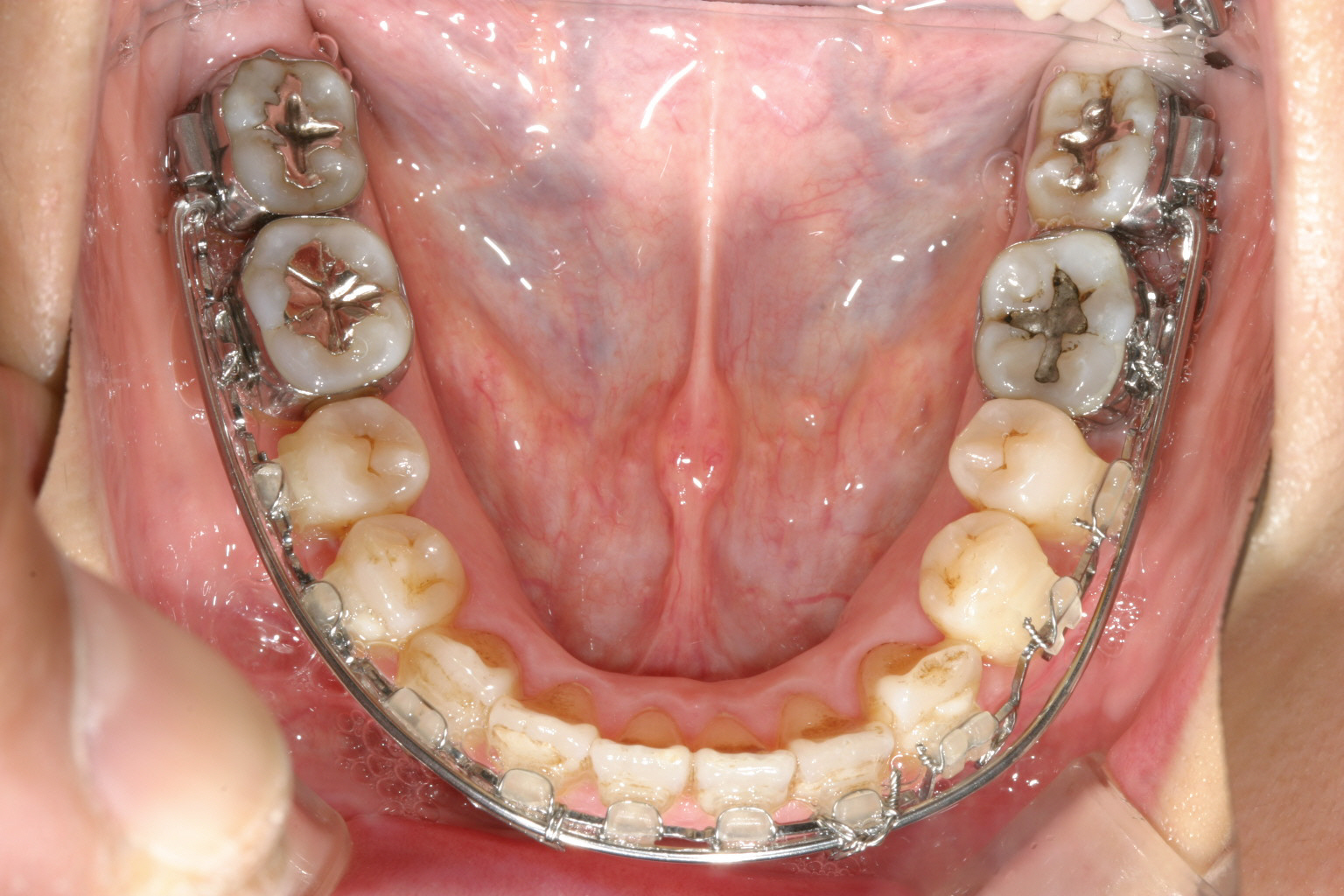
下顎もマルチループの外側に太いマリガンワイヤーが入っています、この太いワイヤーのお陰で内方に倒れていた臼歯が立ってきました。

これが横から見た上顎のマルチループワイヤーと下顎のマルチループワイヤーとマリガンワイヤーです。 上顎の前突も殆ど改善しています。

綺麗に改善しました。

下顎も申し分有りません。

オーバージェット感もバッチリです。
当院からのコメント
こちらの症例は顎関節症を訴えられて来院されました。
下顎臼歯が内方傾斜している為咬合高径が下がり顎関節症を発症していました。
そこでアーチをU字にするのと同時に傾斜していた歯を直立させ、またマルチループワイヤーで咬合高径を挙げました。
そうする事により顎関節にゆとりが出来関節音も消えました。
当医院ではこの様な顎関節症を矯正で治療したり補綴による治療を積極的に行っております。
お心当たりの患者様が居られましたら一度相談にお越しください。

