

お悩み
前歯のガタガタと真ん中の歯が傾いている。
年齢
33歳
性別
女性
治療に用いた装置
インビザライン
治療期間
1年5ヵ月
治療にかかった費用
治療詳細

前歯のガタつきが目立ちますね。

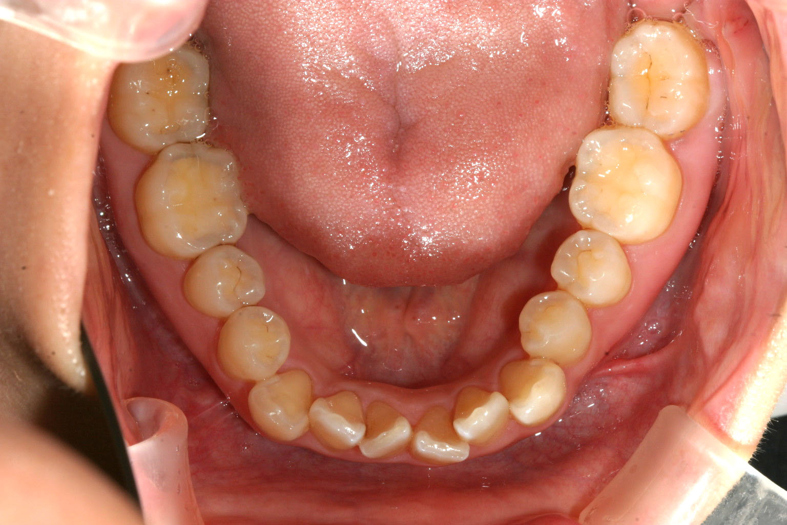
下顎もアーチが狭い為に前歯部に叢生が見られます。

前歯部の歯が傾いている為に少し出ているような感じがします。

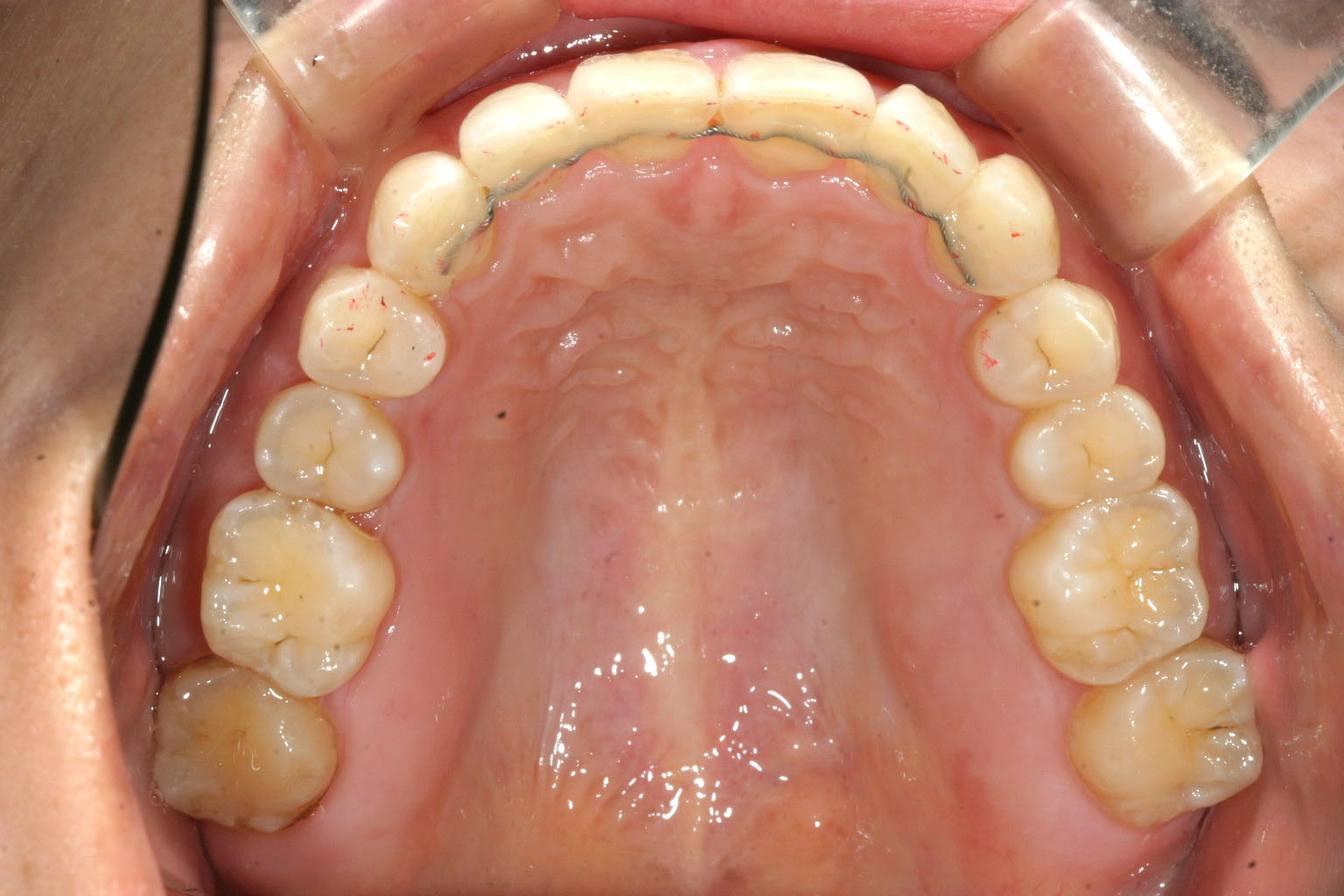
アーチを広げる事により綺麗に改善しました。

下顎もアーチを拡大し綺麗に叢生改善しました。

側面観も綺麗に改善しました。
当院からのコメント
こちらのケースは典型的な叢生でアーチの前歯部が狭い為に起きている症例です。
この様な場合全体的にアーチを拡大するだけでインビザラインを使用する事でこの様に短期間で綺麗に改善する事が出来ます。
この様な状態でお悩みの患者様が居られましたら一度相談にお越しください。

