

お悩み
前歯のガタつきが気になる。
年齢
37歳
性別
女性
治療に用いた装置
インビザライン
治療期間
2年1か月
治療にかかった費用
治療詳細

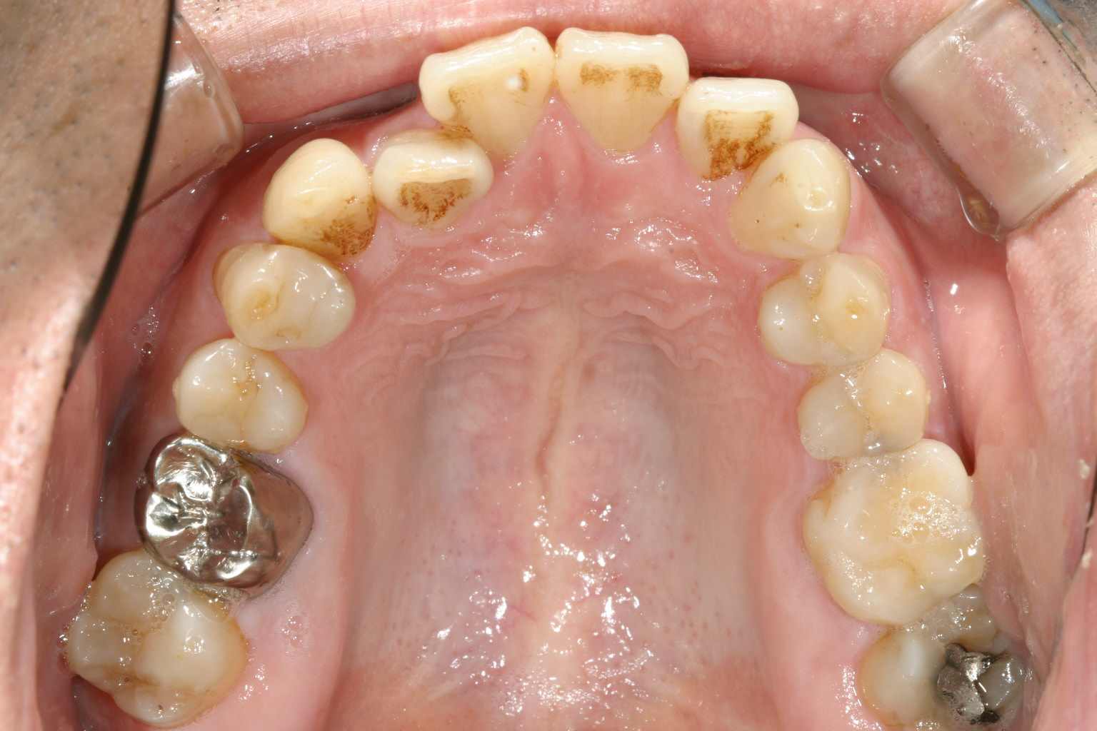
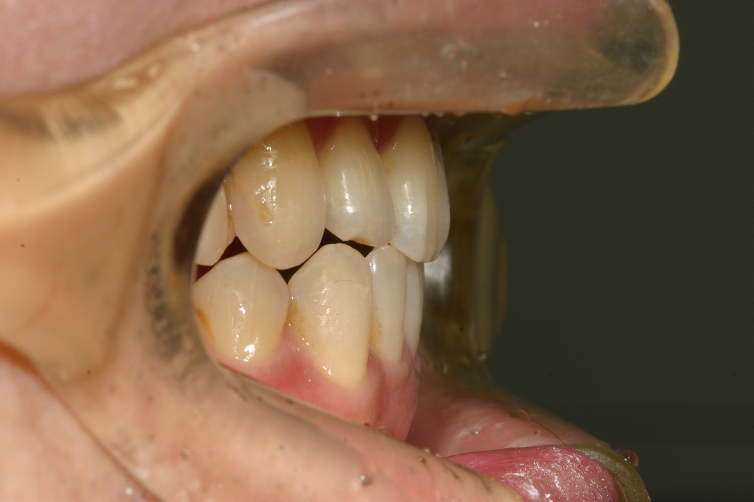
アーチが狭く前歯に叢生が目立ちます。

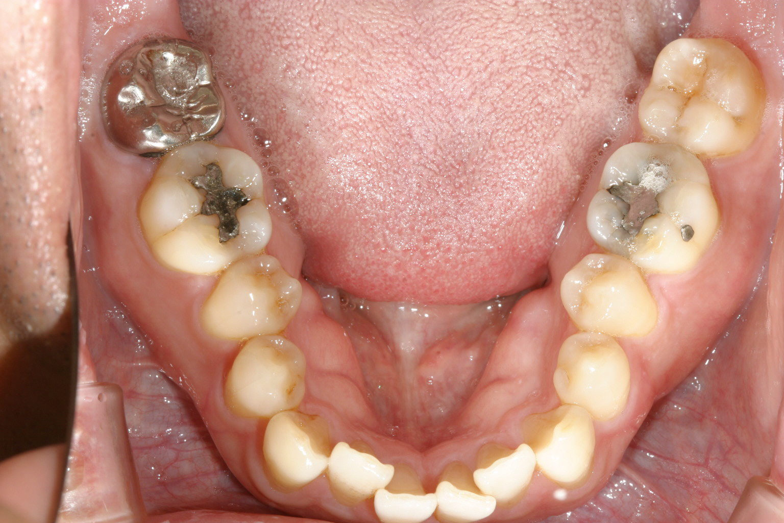
下顎もアーチが狭く叢生がきついです。

側面観ですがオーバージェットに問題無さそうですが叢生が有りますね~

アーチを拡大し綺麗に整列しました。

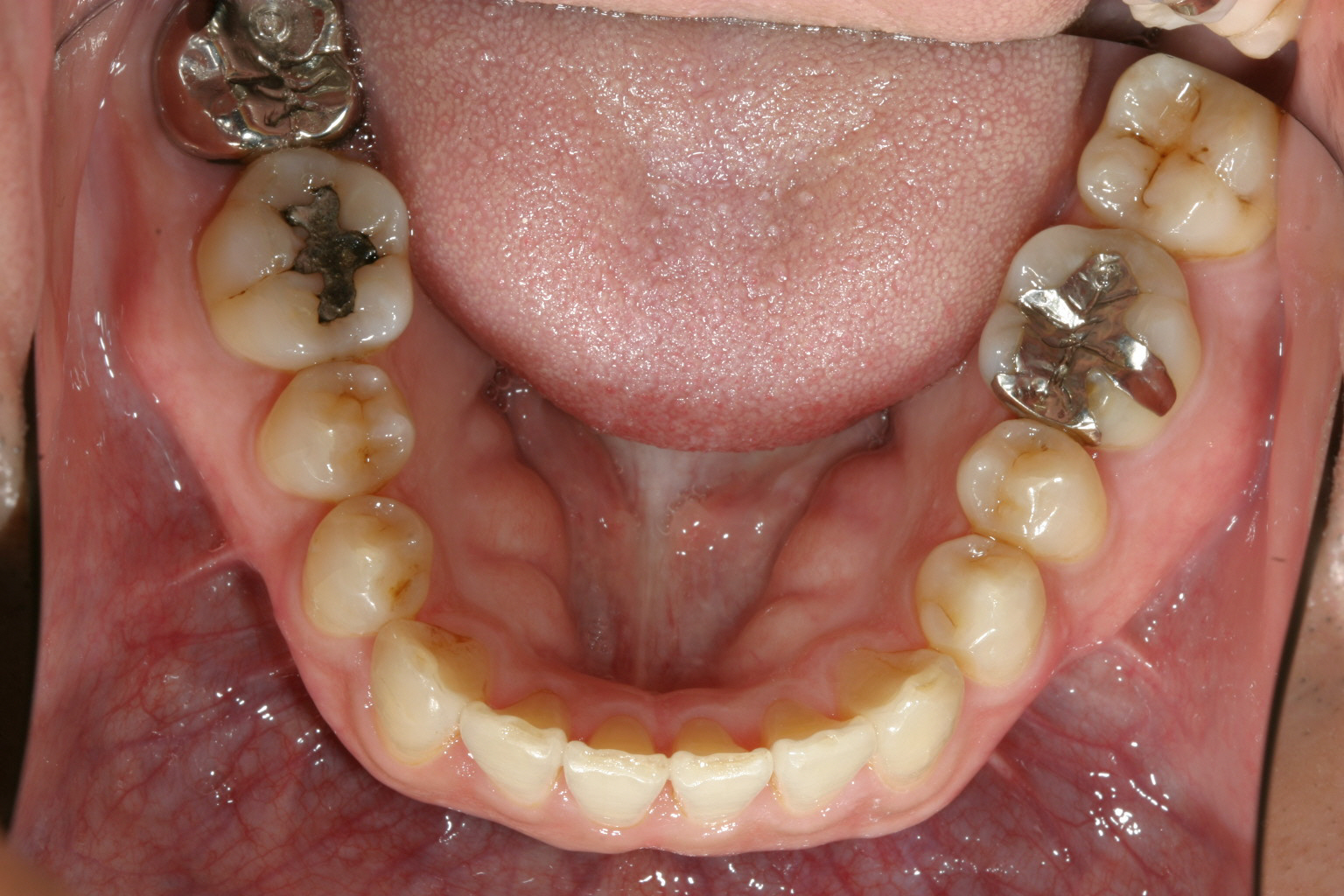
下顎も綺麗に整列しています。

側面もいい感じです。
当院からのコメント
今回のケースはよくある症例ですがアーチが全体的に狭い為前歯部にガタガタが現れるパターンです。
臼歯部に目立ったズレが見当たらないためアーチの拡大だけで叢生も取れ、出っ歯にならない様にIPR(歯と歯の隙間を削る)を行い
綺麗に整列させました。
ただアーチを拡大させただけではそのまま並べると必ず出っ歯になる為、インビザラインの得意技であるIPRを必ず行わなければなりません。
そう言うプランが立てば後は患者様が一生懸命装置を装着し、チューイーをしっかり噛みさえすれば自動的に改善します。
この様なガタガタをお持ちの患者様がいらっしゃれば頑張って綺麗な歯並びを獲得しませんか?

