

お悩み
前歯の歪みと片前歯の下への出っ張りが気になる。
年齢
31歳
性別
女性
治療に用いた装置
インビザライン
治療期間
1年4ヵ月
治療にかかった費用
治療詳細

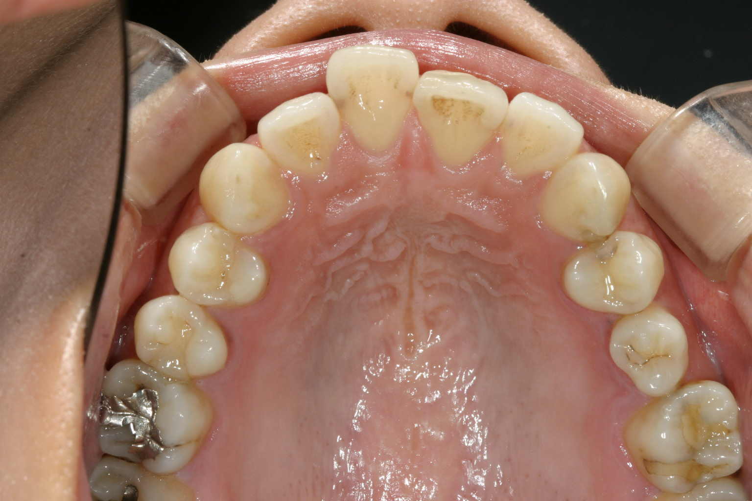
片前歯が飛び出し、又左上の5番目の歯が90度回転しているのが目立ちます。

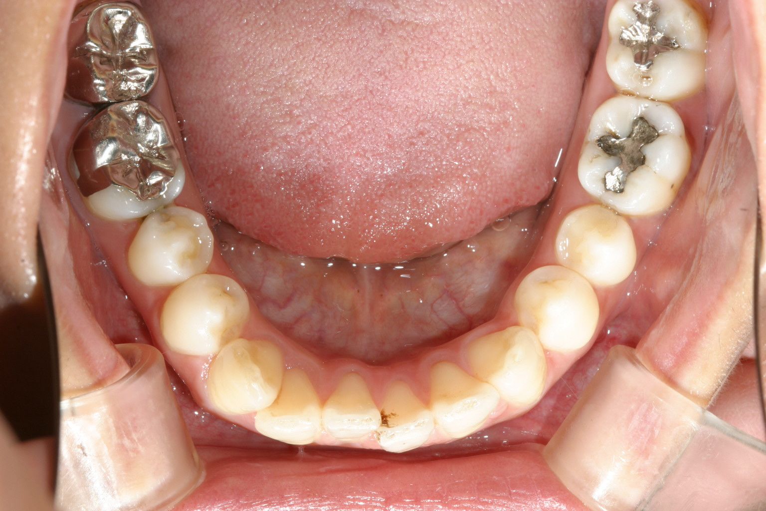
下顎は少しの叢生が有ります。

前歯が少し歪んでいます。

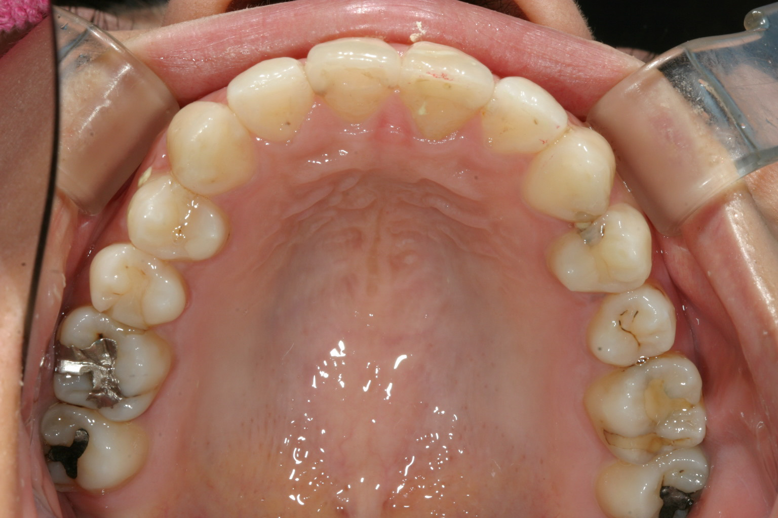
前歯も左側小臼歯も綺麗に回転戻しました。

下顎も綺麗に改善されています。

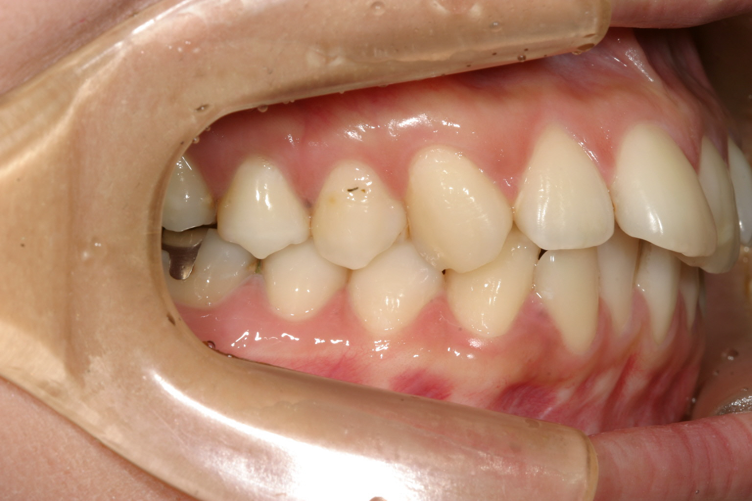
側面観も大変綺麗になりました。
当院からのコメント
今回の症例は前歯の歪みと挺出の改善と左側小臼歯の回転戻しです。
ここで一番難しいのは小臼歯の回転です。
インビザラインではなかなか回転させるのは難しくラビアルサイドにマルチループを使用する事により回転させました。
今回の様に挺出歯を押し込むのは簡単なのですが逆に引っ張り出す行為はなかなかマウスピースじゃ付いて来ないケースが多くこの様な場合もワイヤーによる補助を利用する事があります。
インビザラインと言う装置はマウスピース単独で治療が完治するケースも有りますが、
複雑なケースはマルチループワイヤー、インプラント、アップダウンエラスティック等の補助装置を使う方が短期間で綺麗に仕上げることが出来ます。

