

お悩み
前の歯が内向いていて顎がカクカクする。
年齢
18歳
性別
女性
治療に用いた装置
インビザライン+自家製バイトアップジグ+アップダウンエラスティック
治療期間
1年4ヵ月
治療にかかった費用
治療詳細

前歯が完全に内向いて萌えているのが分かります。

下顎の歯は綺麗に並んでいます。

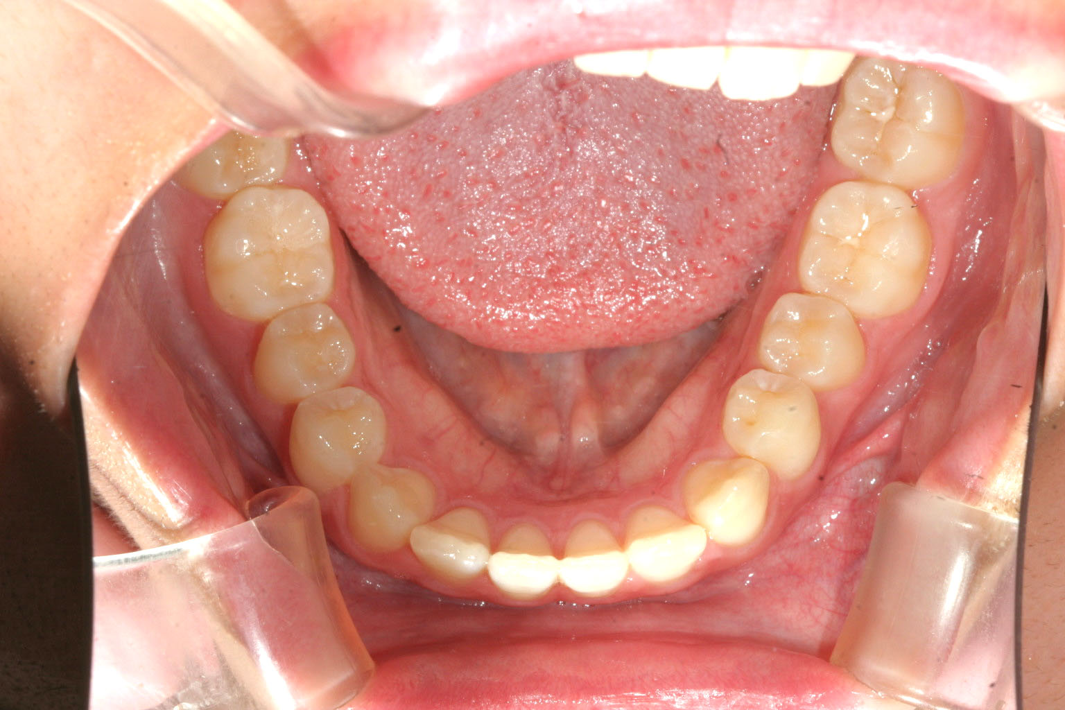
前歯がでっぱになっていると言うか下顎が後ろに凹んでいます。

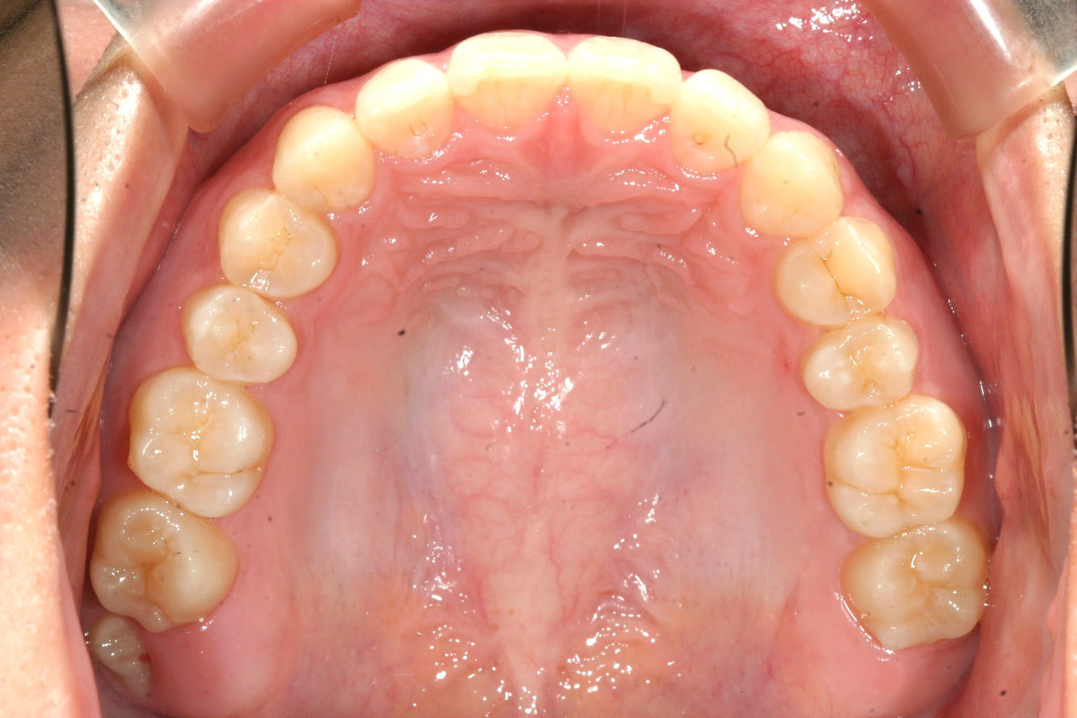
上顎が綺麗に並びました。

下顎は元から綺麗だったのであまり触るとこが無いです。

出っ歯観も無くなり綺麗に並びました。

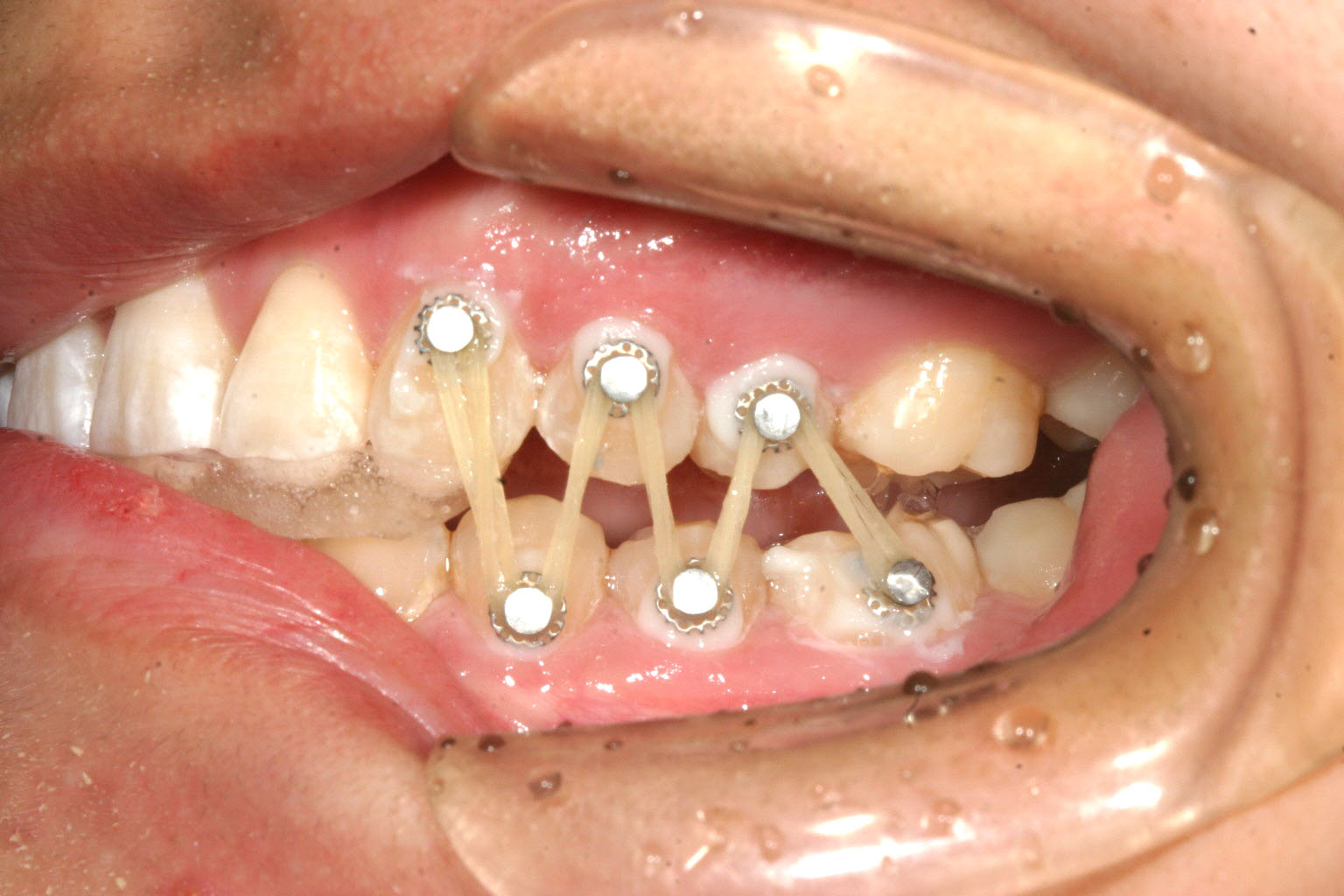
当院独自の自家製装置です。 前歯にジグを噛ませて臼歯に開いた隙間をゴムで閉じます。 この様にする事により結果的に下顎が前方移動し顎関節症が改善します。

当院独自の自家製装置です。 前歯にジグを噛ませて臼歯に開いた隙間をゴムで閉じます。 この様にする事により結果的に下顎が前方移動し顎関節症が改善します。
当院からのコメント
今回のケースは顎関節症を伴う不正咬合でよく見かけるかみ合わせですが、上顎前歯が内に入っている為に下顎が後方へ押しやられその結果として顎関節に障害を生じていました。
この様な場合まずインビザラインにて上顎前歯をアーチ上に並べて下顎が前方に移動できる用意が出来たら正常咬合の位置で前歯部を固定する為、ジグを作成しそこで出来た臼歯の隙間をアップダウンエラスティックにて閉じると言う治療を行えば簡単に顎関節症の治療を行う事が出来ます。

