

お悩み
出っ歯の為下唇に上の前歯の型がつくのと見た目が悪い。
年齢
20歳
性別
男性
治療に用いた装置
インビザライン
治療期間
2年6ヵ月
治療にかかった費用
治療詳細

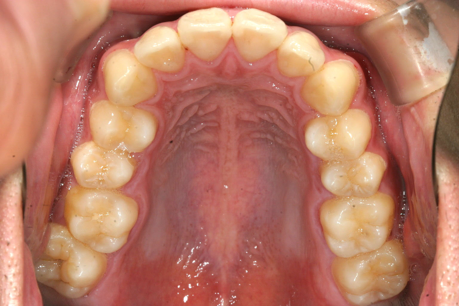
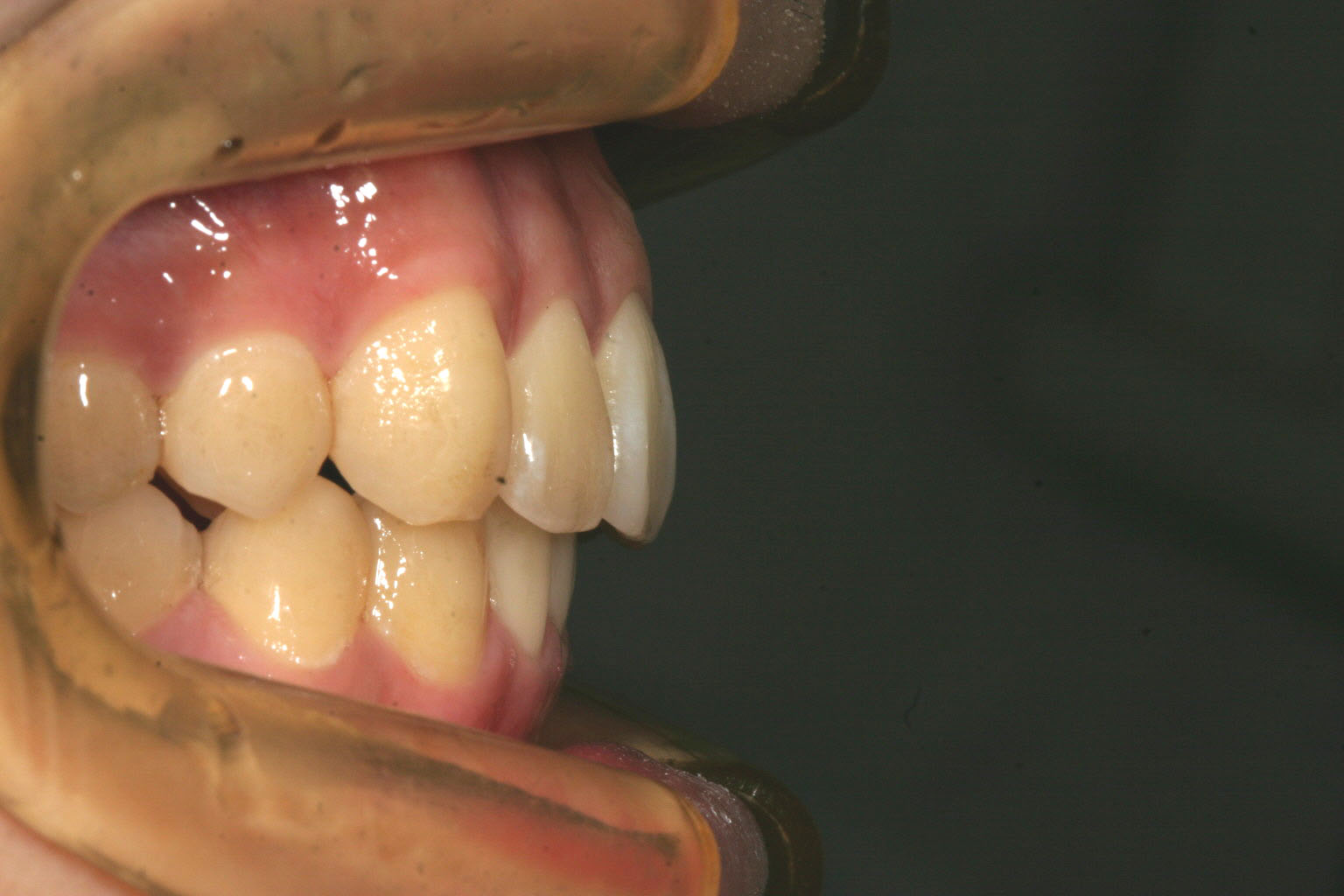
歯列が狭くなっている為前歯が出ています・

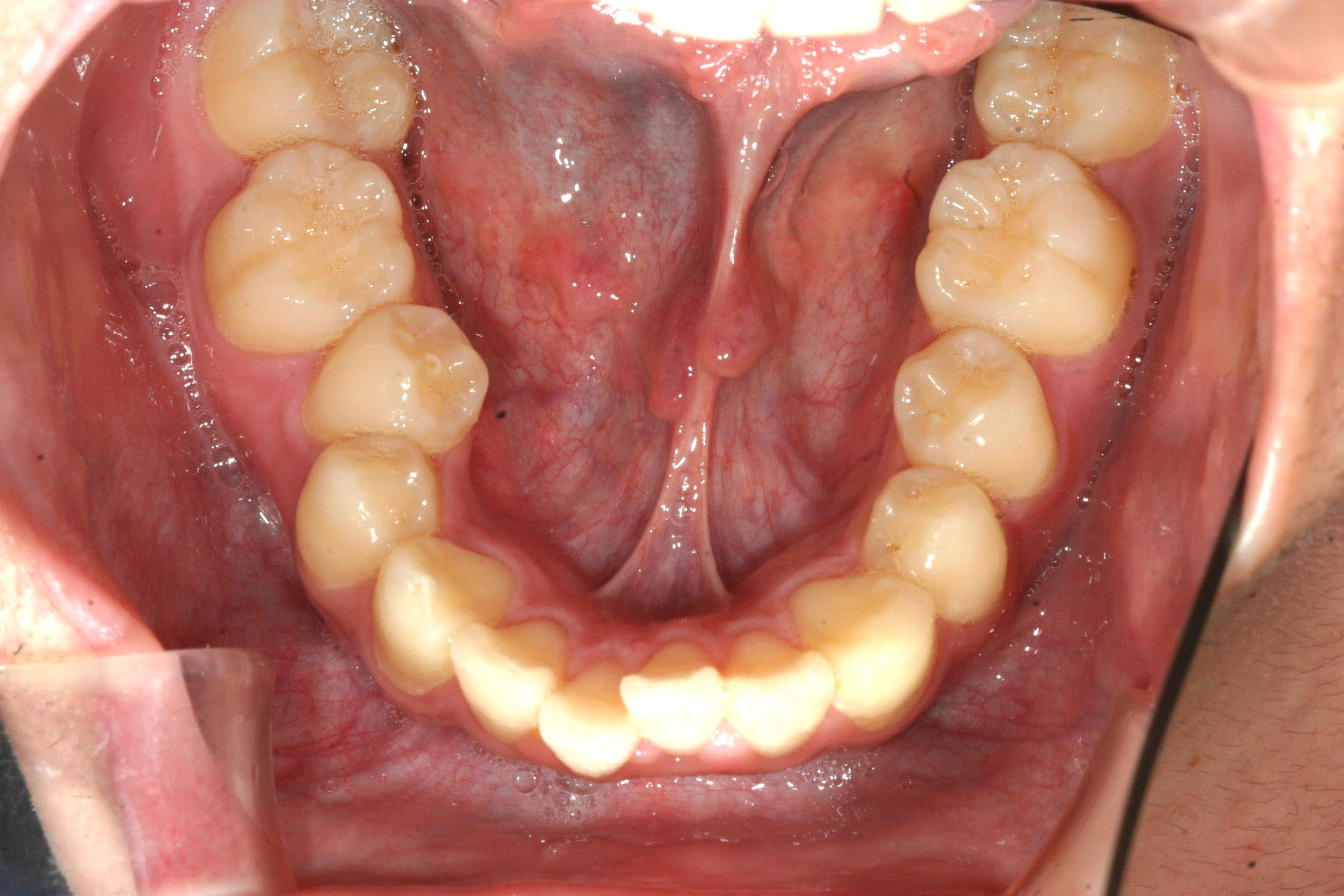
下顎も小臼歯部が狭くなり前歯が突出しています。

かなりの前突が見られます。

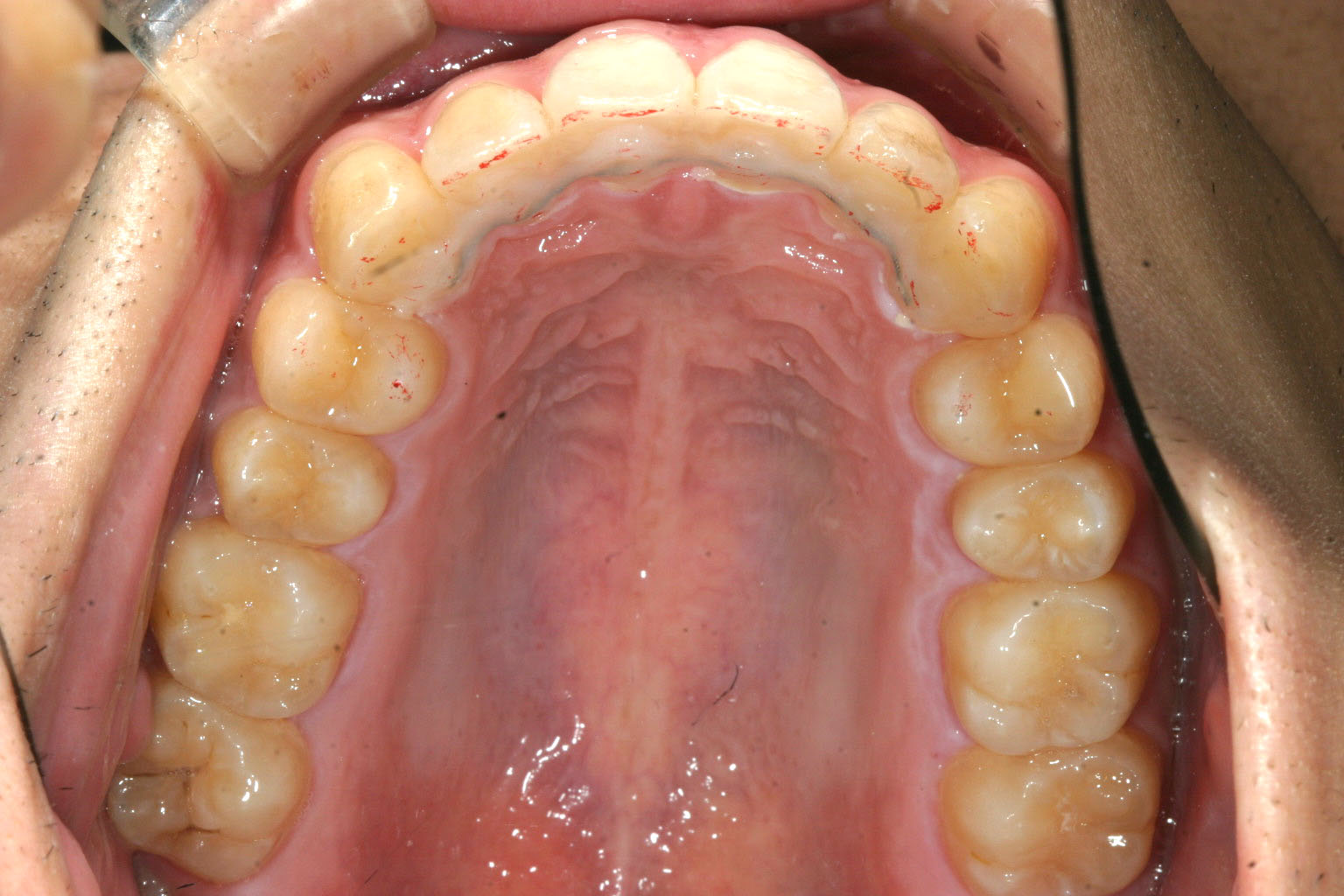
非抜歯で歯列のを広げました。

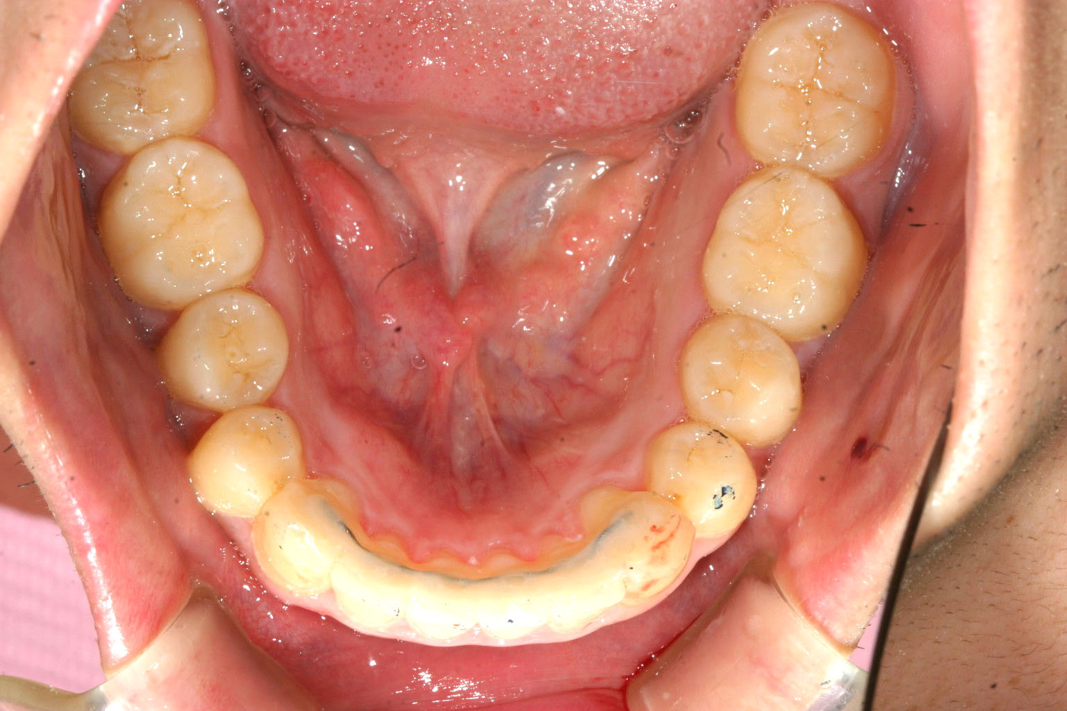
下顎も小臼歯部を広げました。

かなり入りました。
当院からのコメント
今回のケースは患者様の希望で抜歯せずに最大限に出っ歯を改善しました。
狭くなったアーチフォームの改善とインビザラインの得意技であるIPR(歯と歯の隙間を削る)を行う事によりここまで非抜歯でも改善できると言う症例です。
今回のケースはかなり以前の為、加速矯正装置は使用しませんでしたので結構な日数がかかりました。
でも抜歯せずにここまで改善出来れば抜かれるべき歯が救われたと考えれば成功だと思いませんか?
後はどこまで求めるかと言う問題です。
その辺は患者様のご希望次第でどの様にでもさせて頂きます。

