

お悩み
前歯がグチャグチャで傾いている。
年齢
30
性別
女性
治療に用いた装置
インビザライン
治療期間
2年
治療にかかった費用
治療詳細

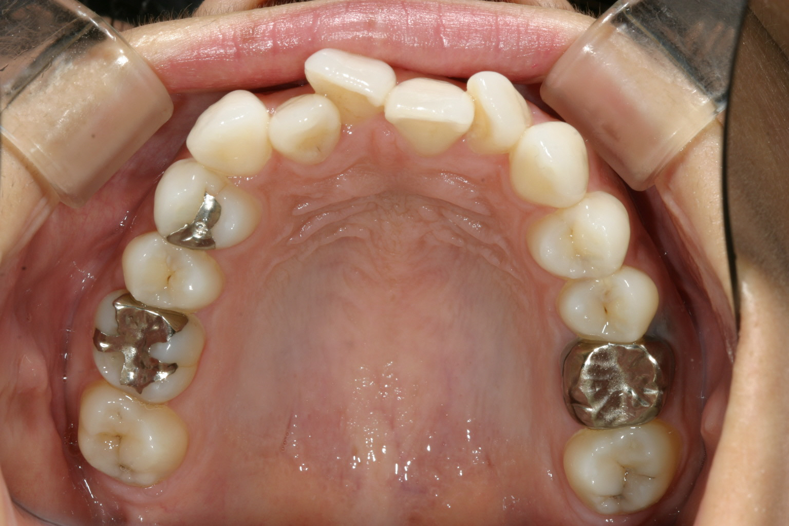
前歯がかなりグチャグチャしています。

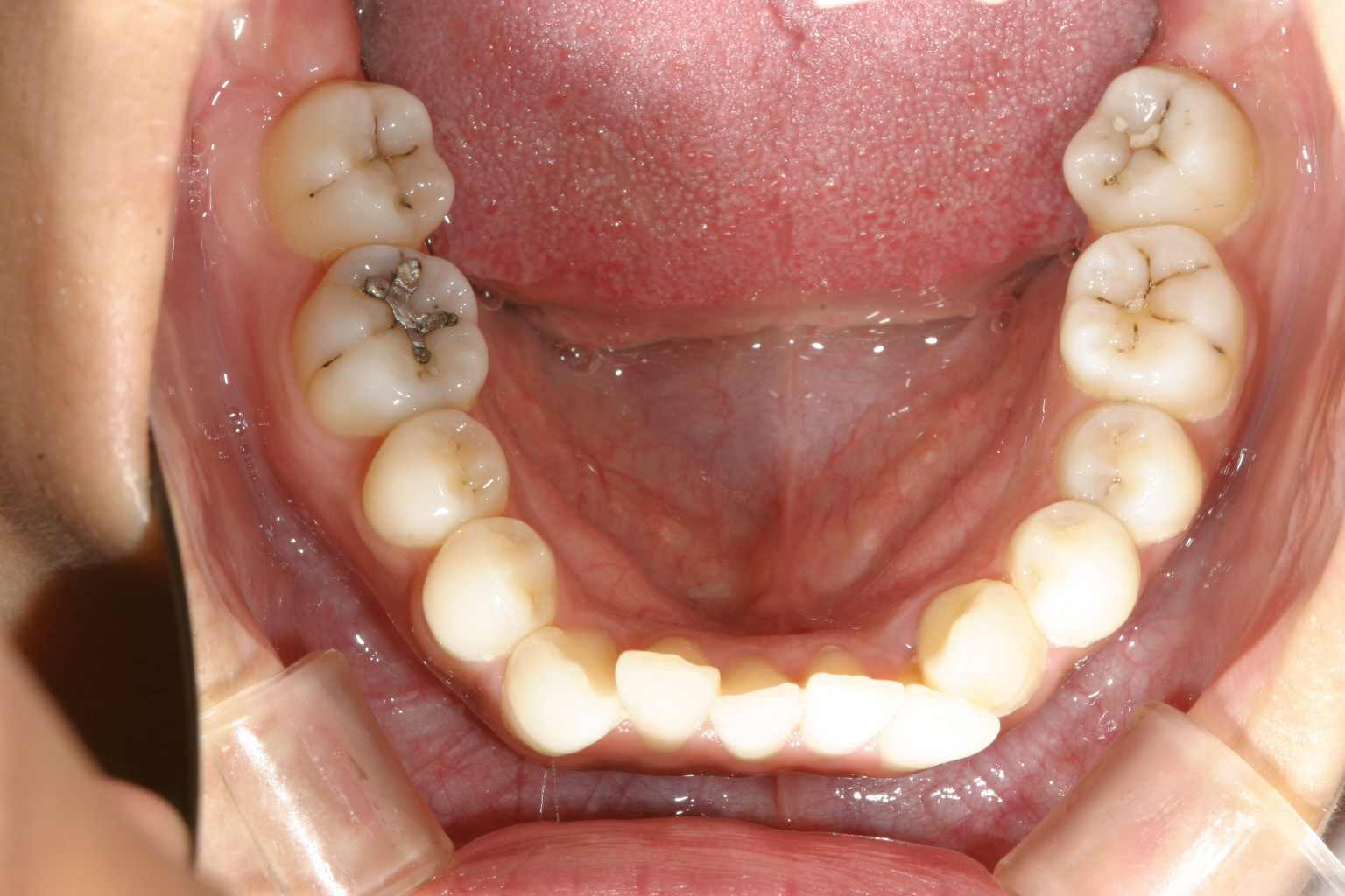
下顎は上顎程では無いですが少し叢生になっています。

側面観も結構バラバラです。

アーチを拡大し綺麗に改善しました。

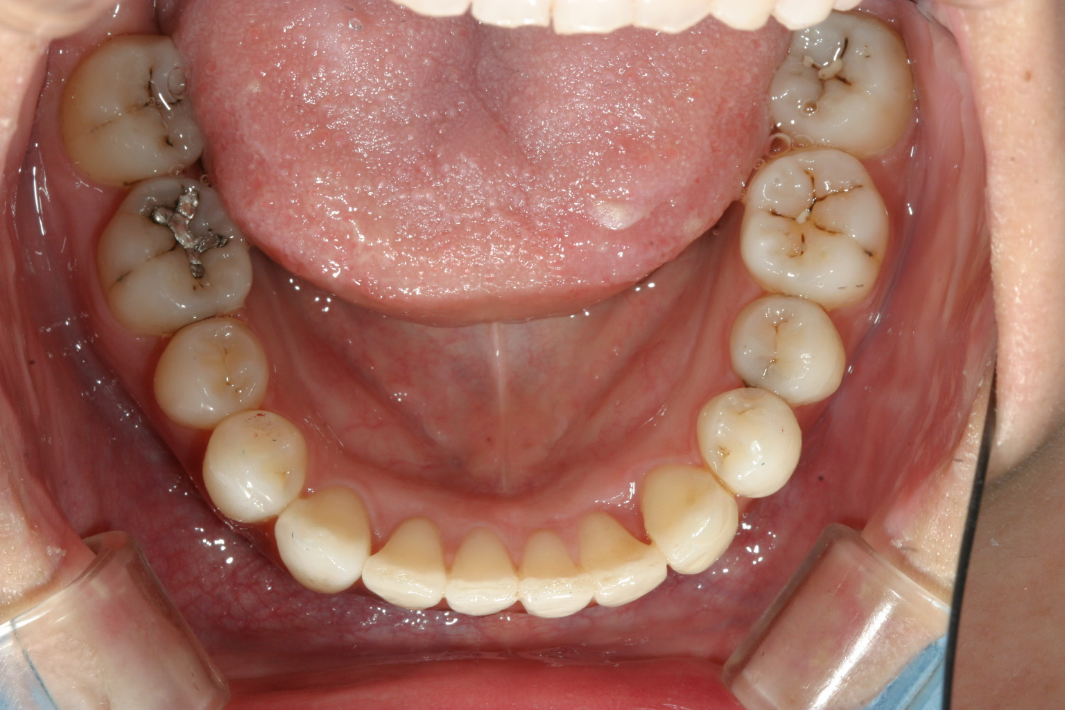
下顎も綺麗ですね~

側面観もいい感じです。
当院からのコメント
今回のケースはかなり前歯があちこち捻転、前歯が傾斜しています。
インビザラインと言う矯正装置はこの様な捻転、傾斜の改善はあまり得意な方ではなくて結構地道な時間を要します。
結局チューイーをどれだけ毎日時間をかけて噛むかと言う事に尽きると思います。
こちらの症例では現在では加速矯正装置と言うものが在りますから一通り短期間で終了し、そこで再度スキャナーで型を取りなおしその位置から再度修正すると言う方法を取りました。
キッチリ約束事を守って頂ければたいていの場合一度の型取りだけで終了するのですが
今回の症例は結構てこずりました。

