

お悩み
下顎骨外科手術処置後の矯正治療
年齢
26歳
性別
女性
治療に用いた装置
インビザライン
治療期間
1年10か月
治療にかかった費用
治療詳細

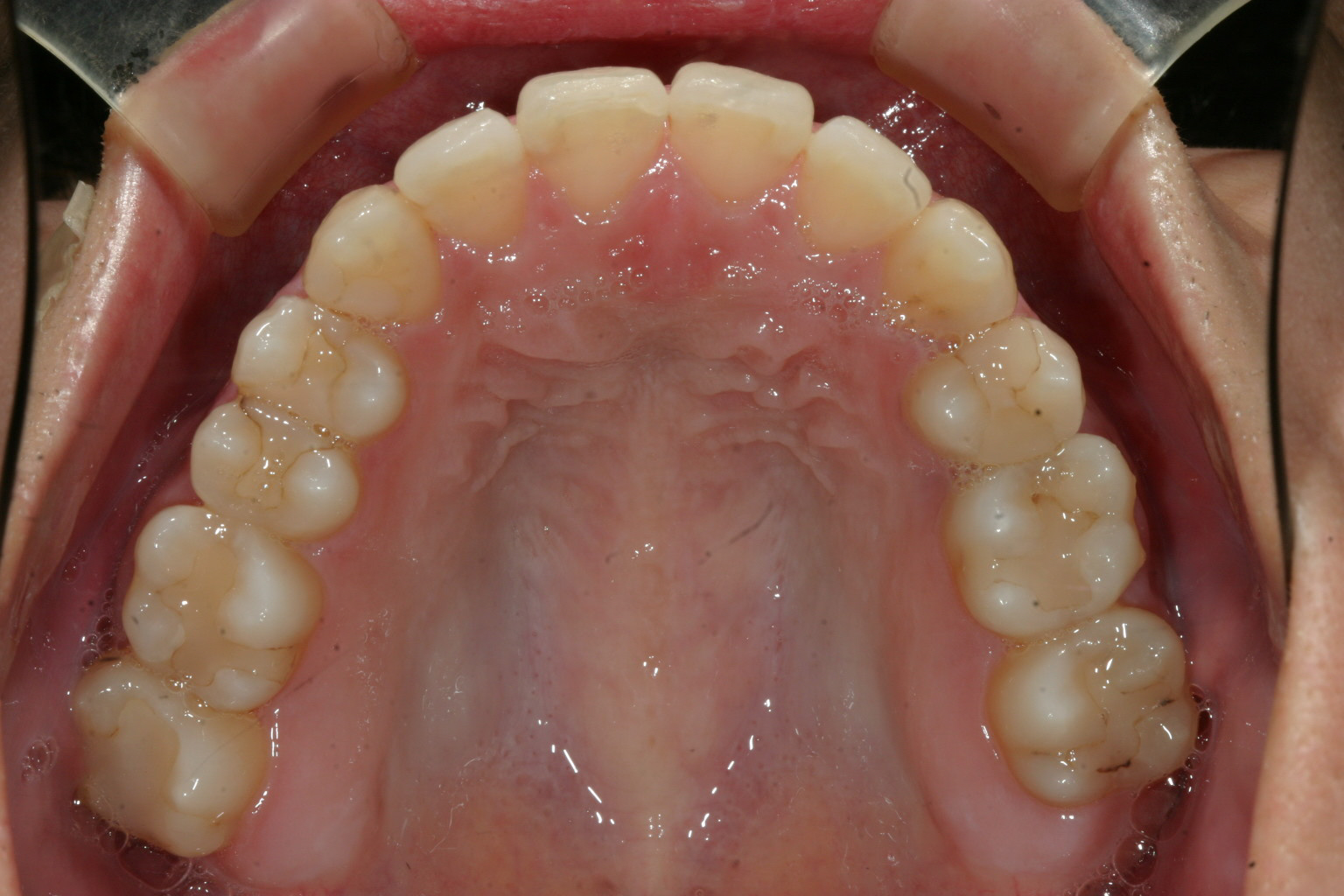
上顎には少しの叢生が有るだけです。

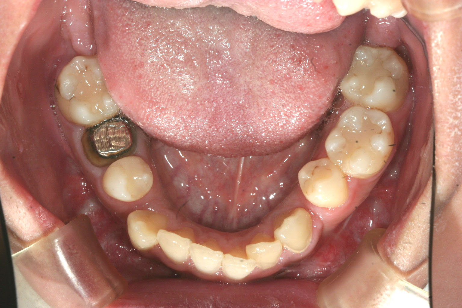
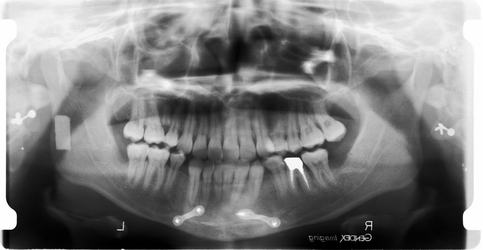
下顎には外科処置後での犬歯の後ろに少しのスペースが残っています。 もともと過度な受け口であった為下顎骨を少し削って短くしました。

横から見た感じは顎を切りましたから、もうしゃくれ感は有りません。

上顎はアーチを広げて叢生を綺麗に取りました。

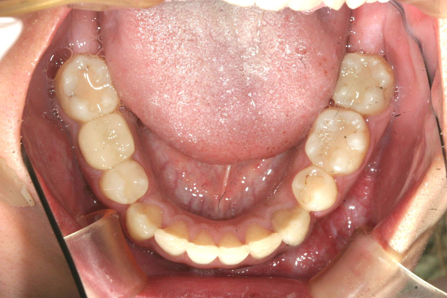
下顎も外科後に残った少しのスペースを閉じるのと叢生の治療です。 綺麗に改善してます。

側面感も綺麗な状態です。

下顎を切断してメタルでつないであるのが見受けられます。
当院からのコメント
今回のケースは下顎がしゃくれている為外科的に短く切除を行った後の術後矯正です。
ここまで綺麗に外科処置して頂いていたら後の矯正治療は楽なもんで難なく終了しました。
この様なケースもインビザラインで行う事が出来ました。
マウスピース矯正と言えどもケースを選べばかなり広範囲の治療を行う事が出来ます。

