

お悩み
2番目の前歯がへこみ前歯がガタガタしてる。
年齢
26歳
性別
女性
治療に用いた装置
インビザライン
治療期間
1年8か月
治療にかかった費用
治療詳細

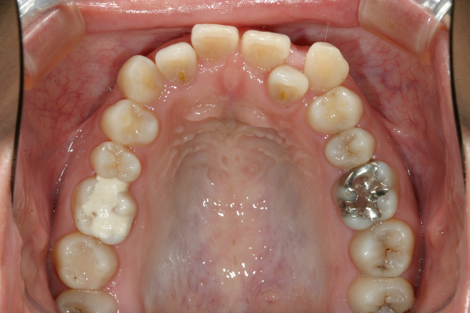
特に左側の犬歯が飛び出した感じになっています。

歯列が内側に傾斜してアーチが狭くなり前歯に ガタガタが生じています。

側面観はなんら問題無いです。

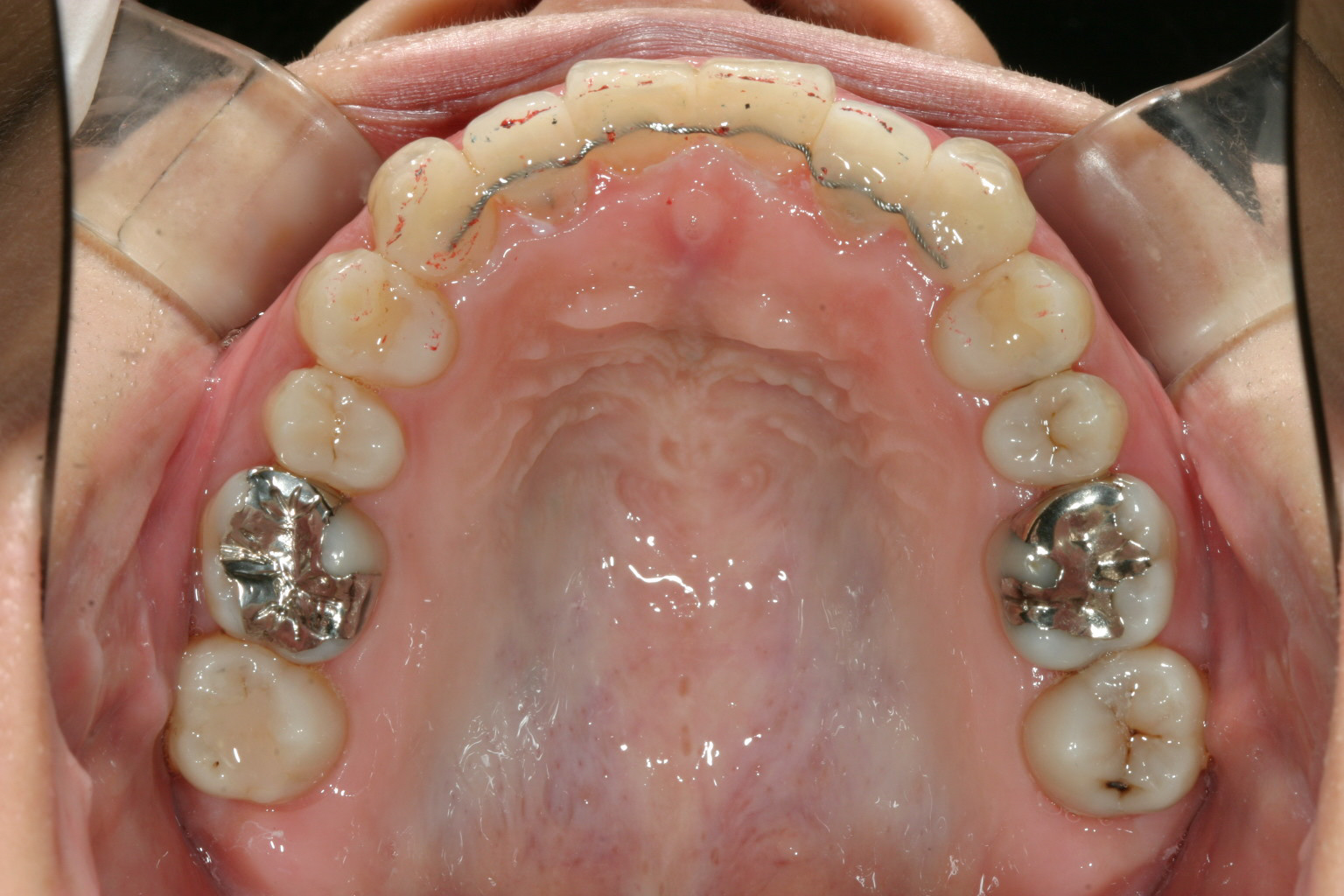
抜歯無しで綺麗に並びました。

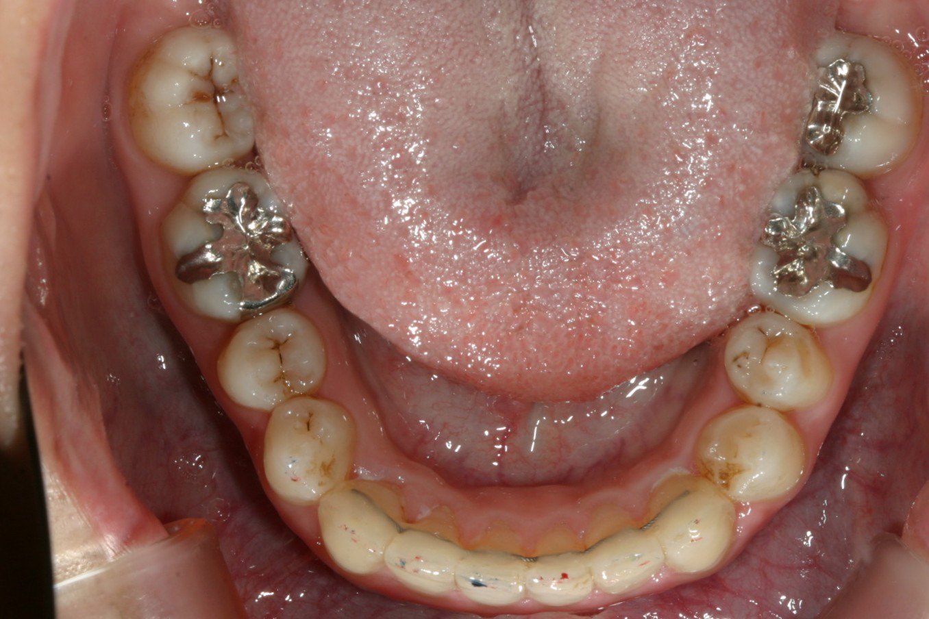
下顎の叢生も綺麗に取れています。

側面観は問題無いです。
当院からのコメント
今回のケースは上顎の2番目の前歯が内に入った為犬歯が飛び出したようになっています。
それはすべてアーチが狭い為にそのしわ寄せが前歯に影響しています。
先ずはいつものようにアーチを拡大し前歯が並ぶスペースを作る事により、でっぱも引っ込み
綺麗な歯列に改善します。
叢生の殆どはアーチが狭い事により起こっています。
アーチの拡大だけでは出っ歯感がまだ残っている場合IPR(歯間部を少し削る)する事により
抜歯無しでかなりの確率で改善出来ます。
とりあえず抜歯なんて考えの矯正はやめましょう。

