

お悩み
でっぱを治してほしい。
年齢
15歳
性別
男性
治療に用いた装置
インビザライン
治療期間
1年9カ月
治療にかかった費用
治療詳細

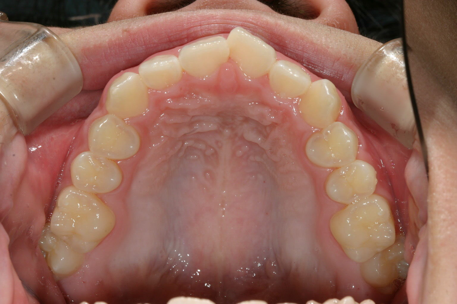
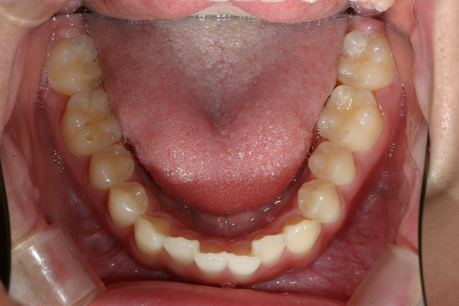
アーチが尖がり前歯が出ています。

下顎も上顎に合わせてアーチが尖がっている為前歯に叢生が有ります。

少し出っ歯感がありますね~

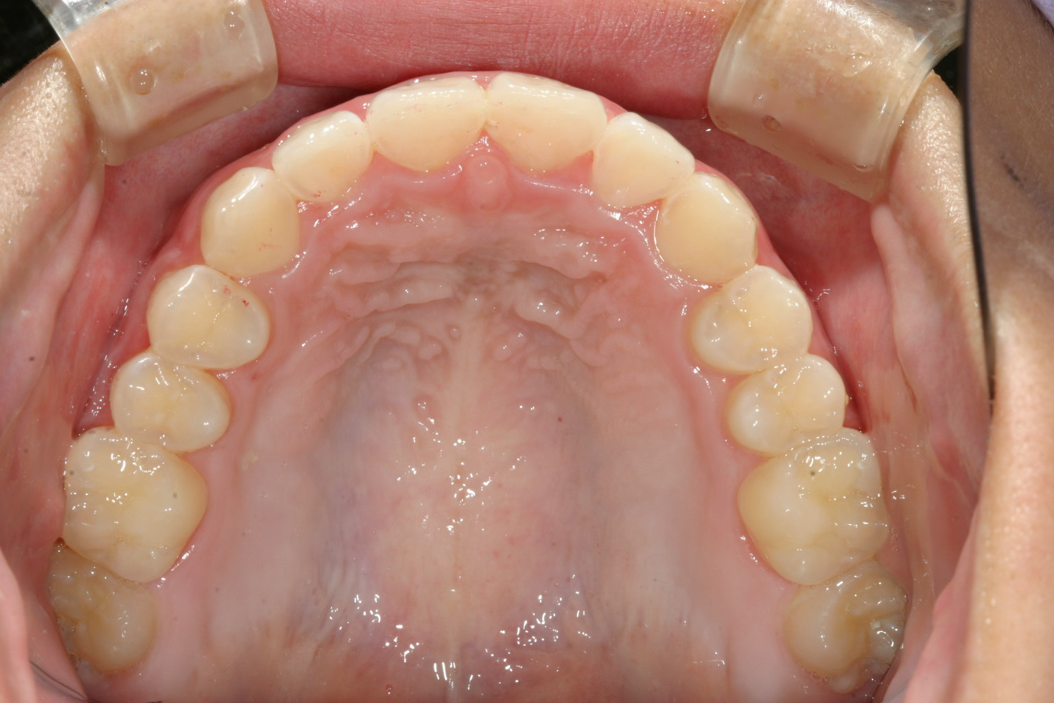
アーチフォーム前方部を丸く改善しました。

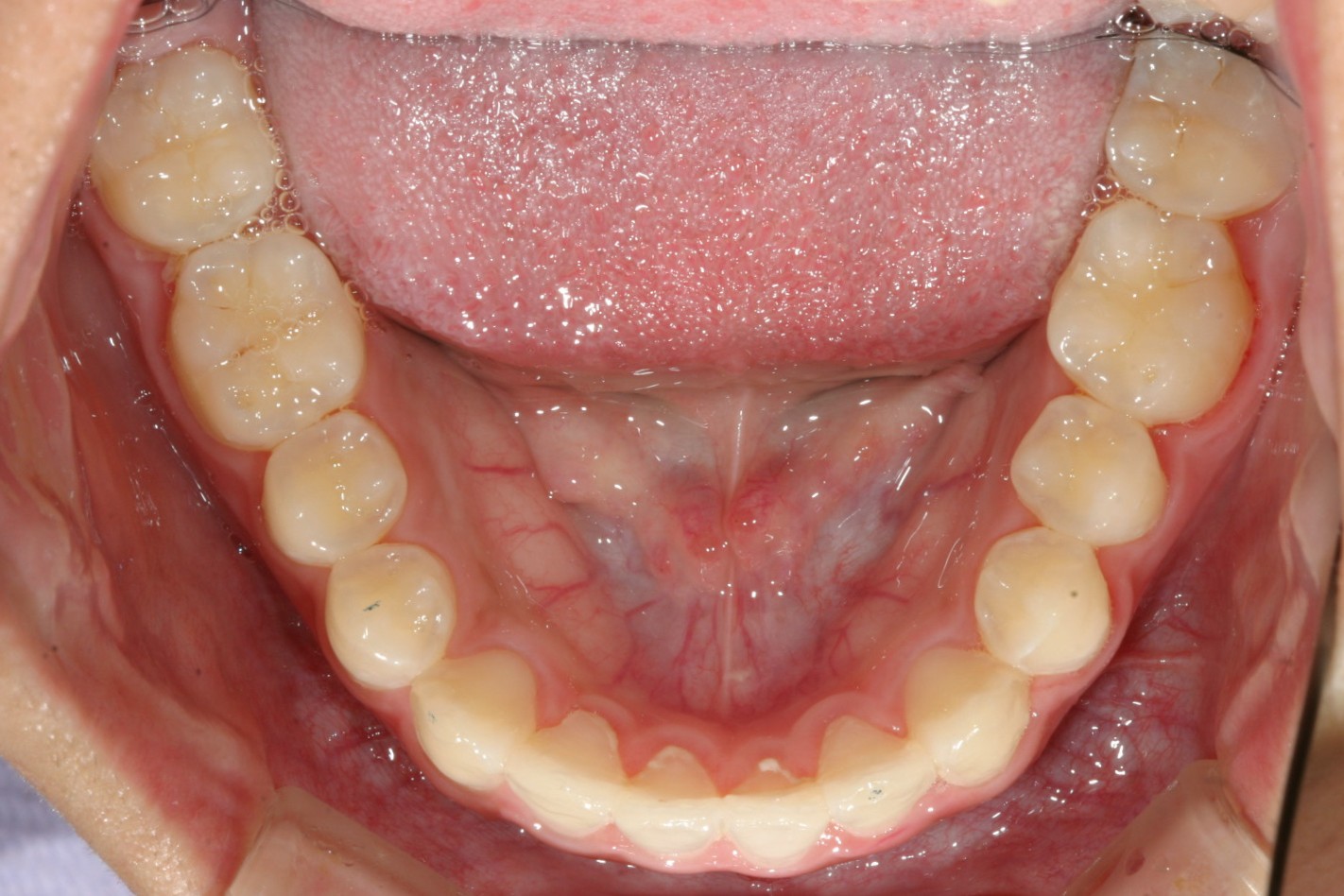
下顎も綺麗に叢生が取れました。

もう出っ歯感全然無いですね~
当院からのコメント
今回のケースはアーチフォームの前方部尖った感じの為前歯が上手く並ばず出っ歯感を表していました。
この様な場合いつものようにアーチフォームの改善とインビザラインによるIPR(歯と歯の間を少し削る事による調整)だけでここまで改善します。
当医院に来られる患者様でこの様なケースの割合は結構多いです。
インビザラインを使用しますとこのレベルの矯正でしたら装置さえ口に入れて頂ければ簡単に綺麗に並びますので矯正治療をそう難しく考えずに一度相談にお越しください。

