

お悩み
矯正治療後の後戻りを何とかしたい。
年齢
30歳
性別
女性
治療に用いた装置
インビザライン
治療期間
1年6ヵ月
治療にかかった費用
治療詳細

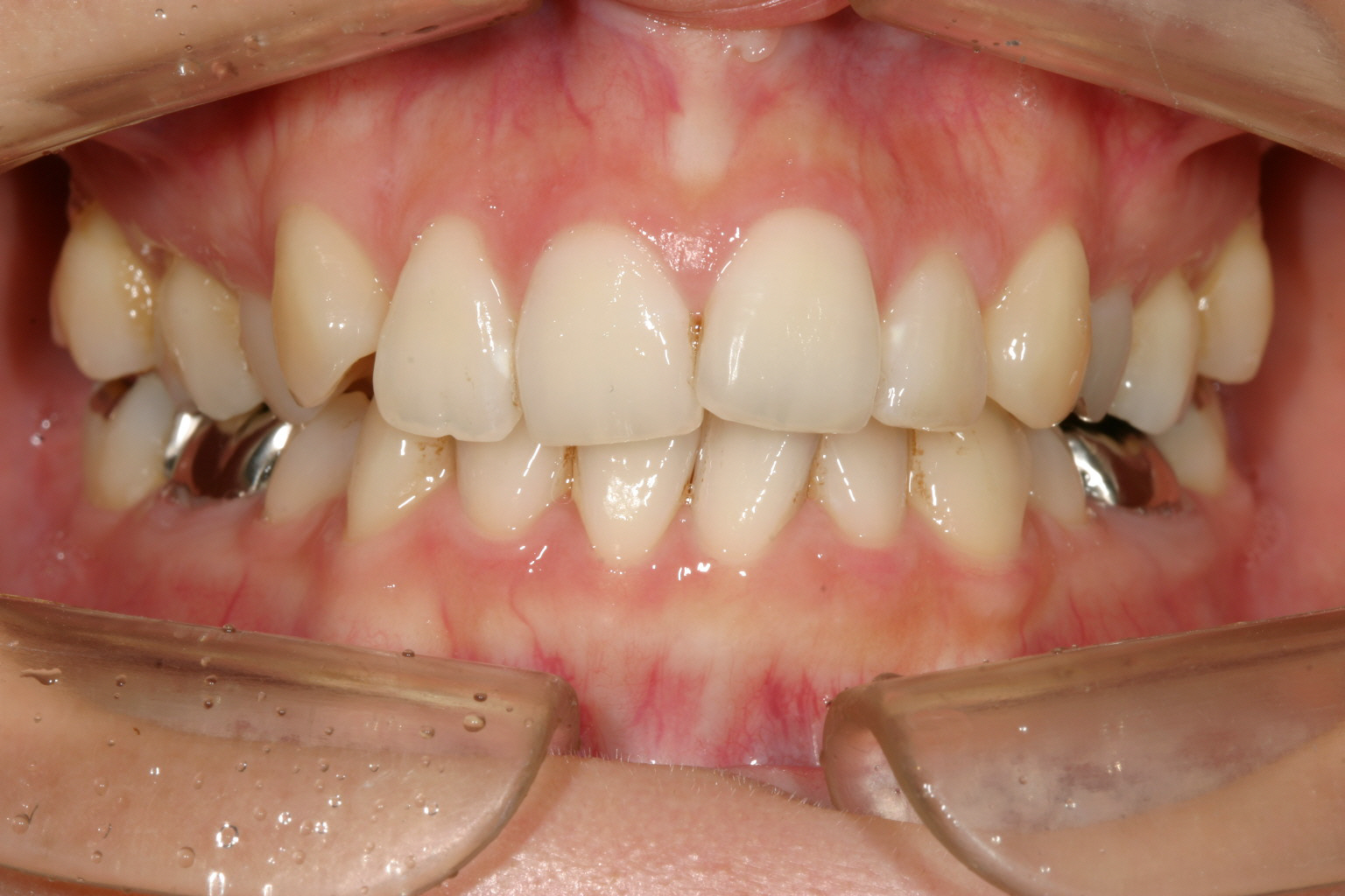
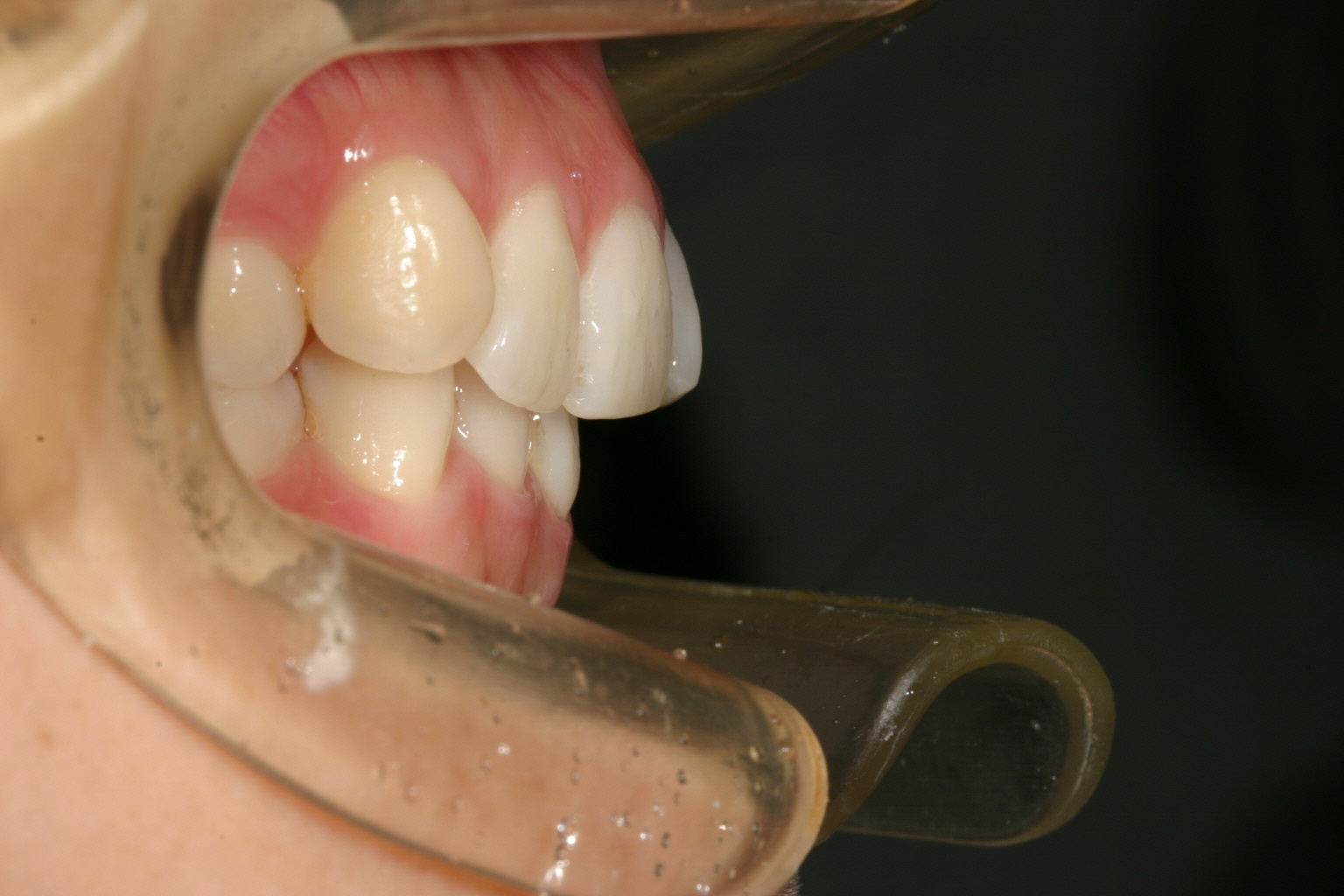
以前に矯正治療されたらしいですが後戻りしています、

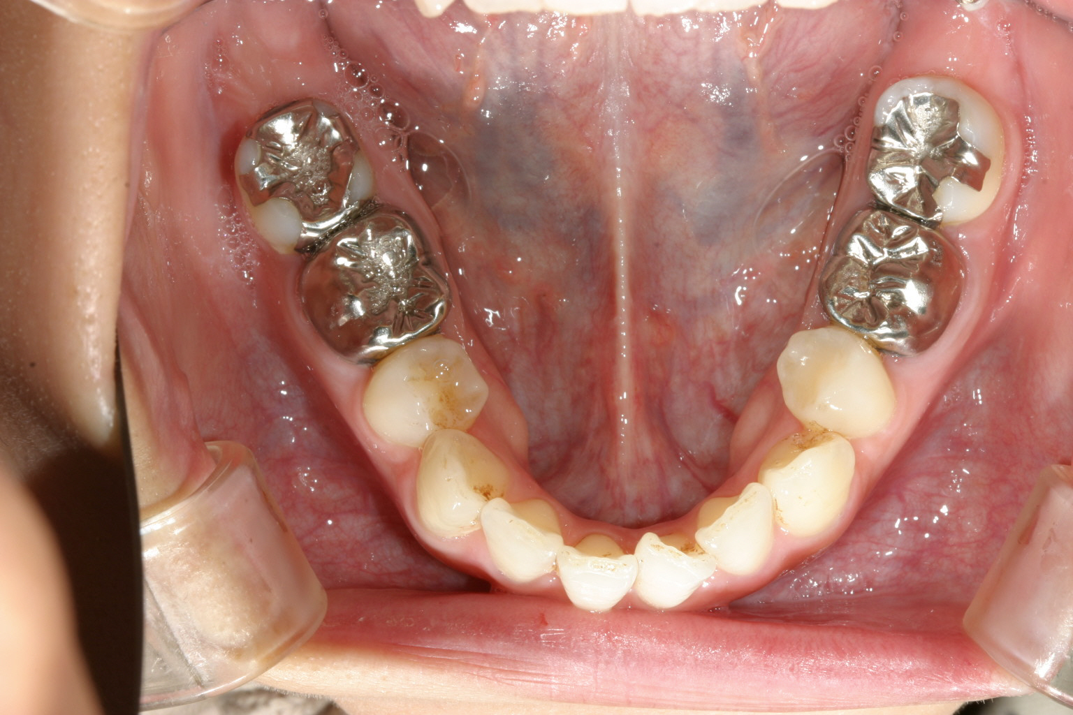
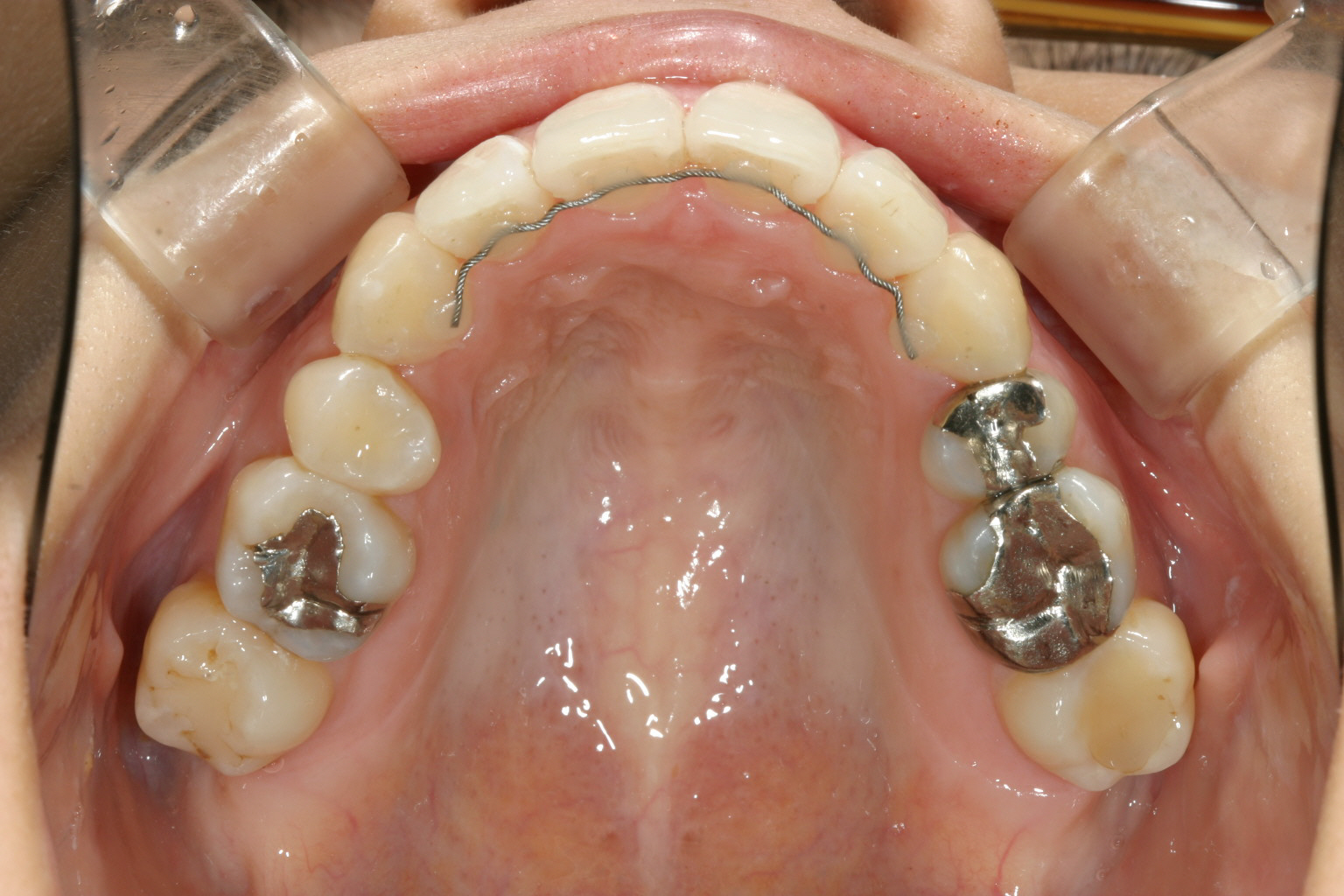
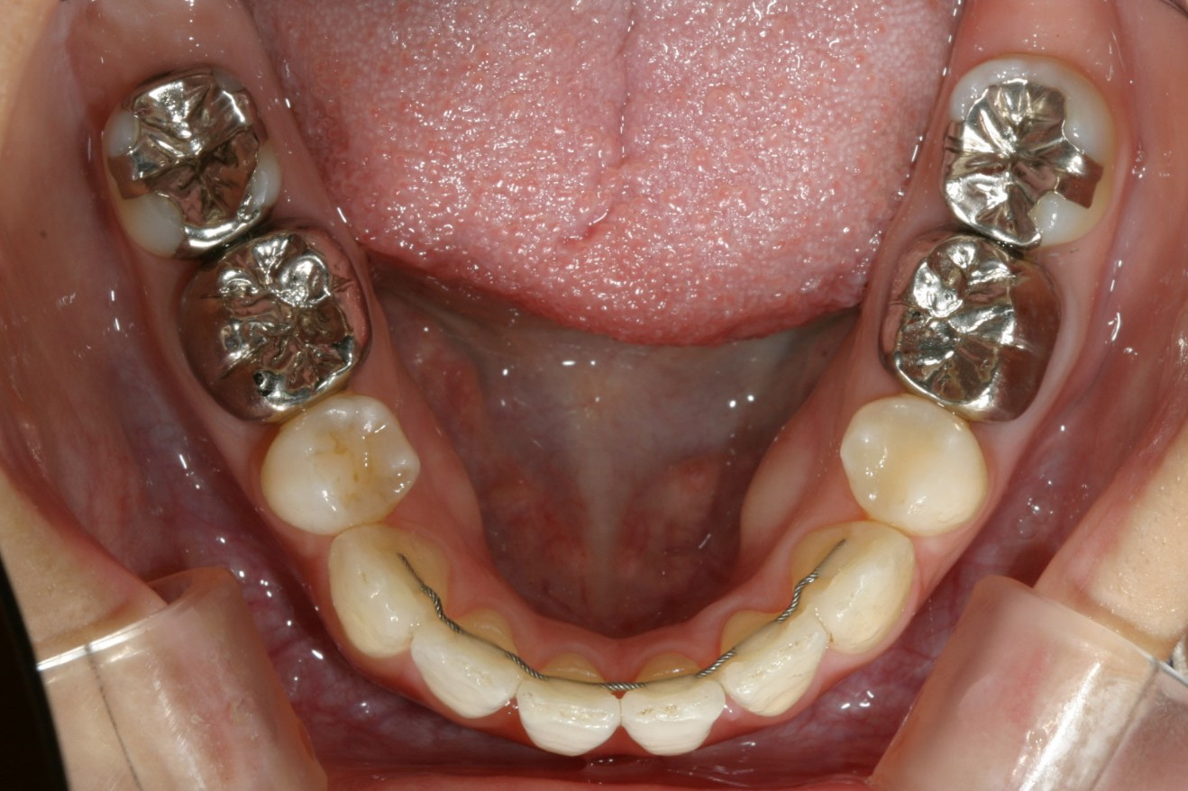
下顎も叢生が出てきています。

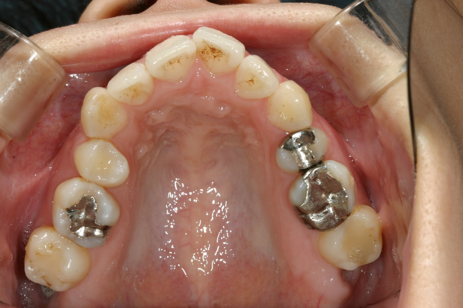
少し上顎出ていますね~

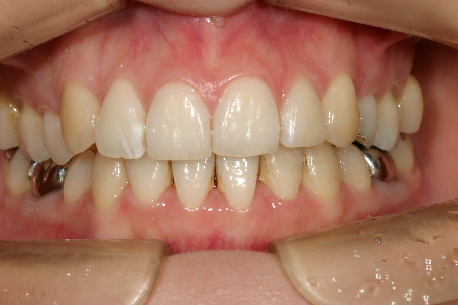
前歯のアーチの尖りを丸く仕上げました。

下顎も叢生を改善しました。

オーバージェットを綺麗に改善しました。
当院からのコメント
今回のケースは他院にて矯正後何十年も経ってからの後戻り改善希望で来院されました。
以前にワイヤー矯正された患者様はたいていの場合再度ワイヤ矯正は敬遠される傾向が有り、今患者様もマウスピース矯正でやって欲しいとの希望でインビザライン矯正を行いました。
特に上顎のアーチが狭くなり先が尖って、それに合わせて下顎も叢生が再発していました。
この様な後戻りケースはインビザラインの最適な適応症で患者様が時間守って使用して頂ければ難なく改善致します。
以前に矯正治療されて後戻りは気になるが再度ワイヤー矯正はと、お悩みの患者様は一度インビザライン治療されては如何でしょうか?

