

お悩み
前歯のガタガタと受け口を改善したい。
年齢
29歳
性別
女性
治療に用いた装置
インビザライン
治療期間
2年5ヵ月
治療にかかった費用
治療詳細

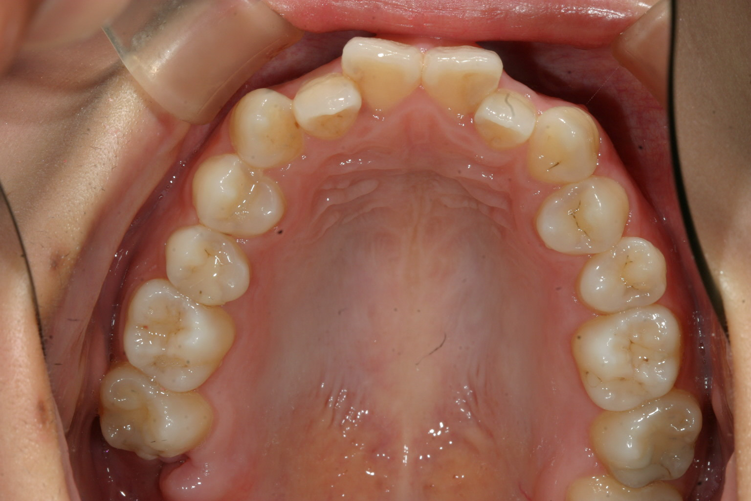
アーチが狭い為に前歯が並びきらずガタガタしてます。

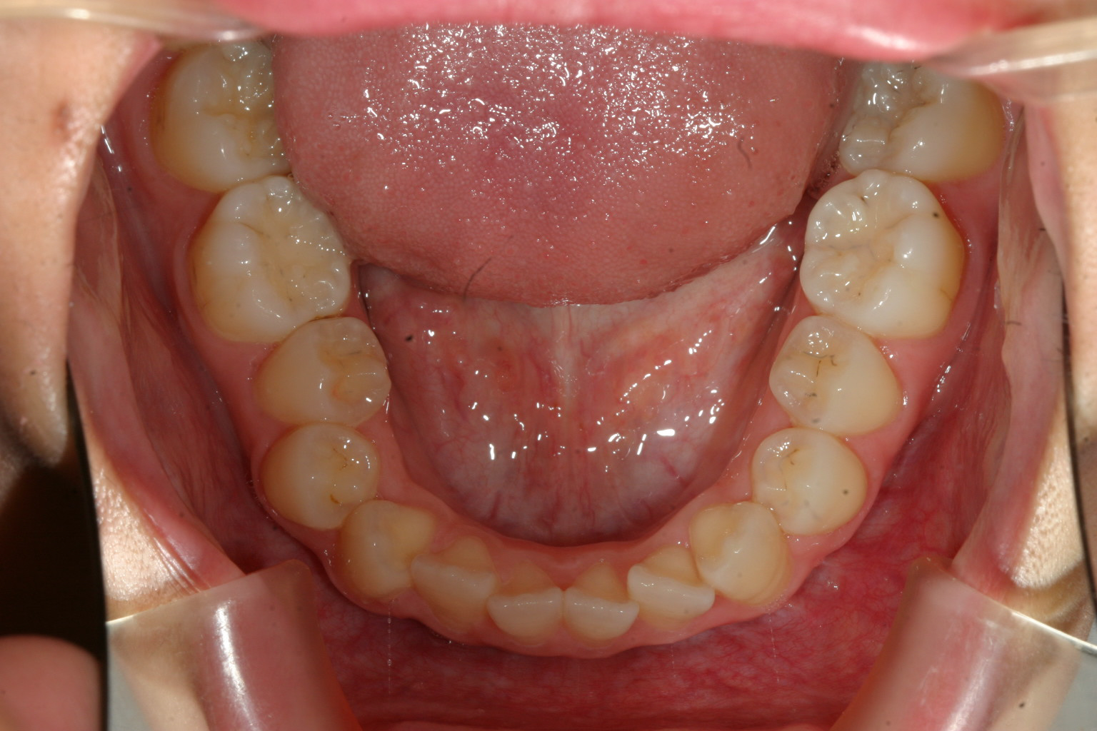
下顎の少し叢生が有ります。

少し受け口ですね!

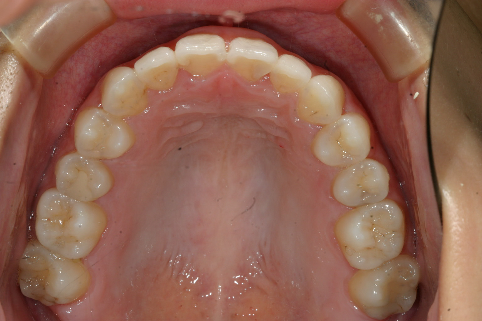
アーチを広げ綺麗に改善しました。

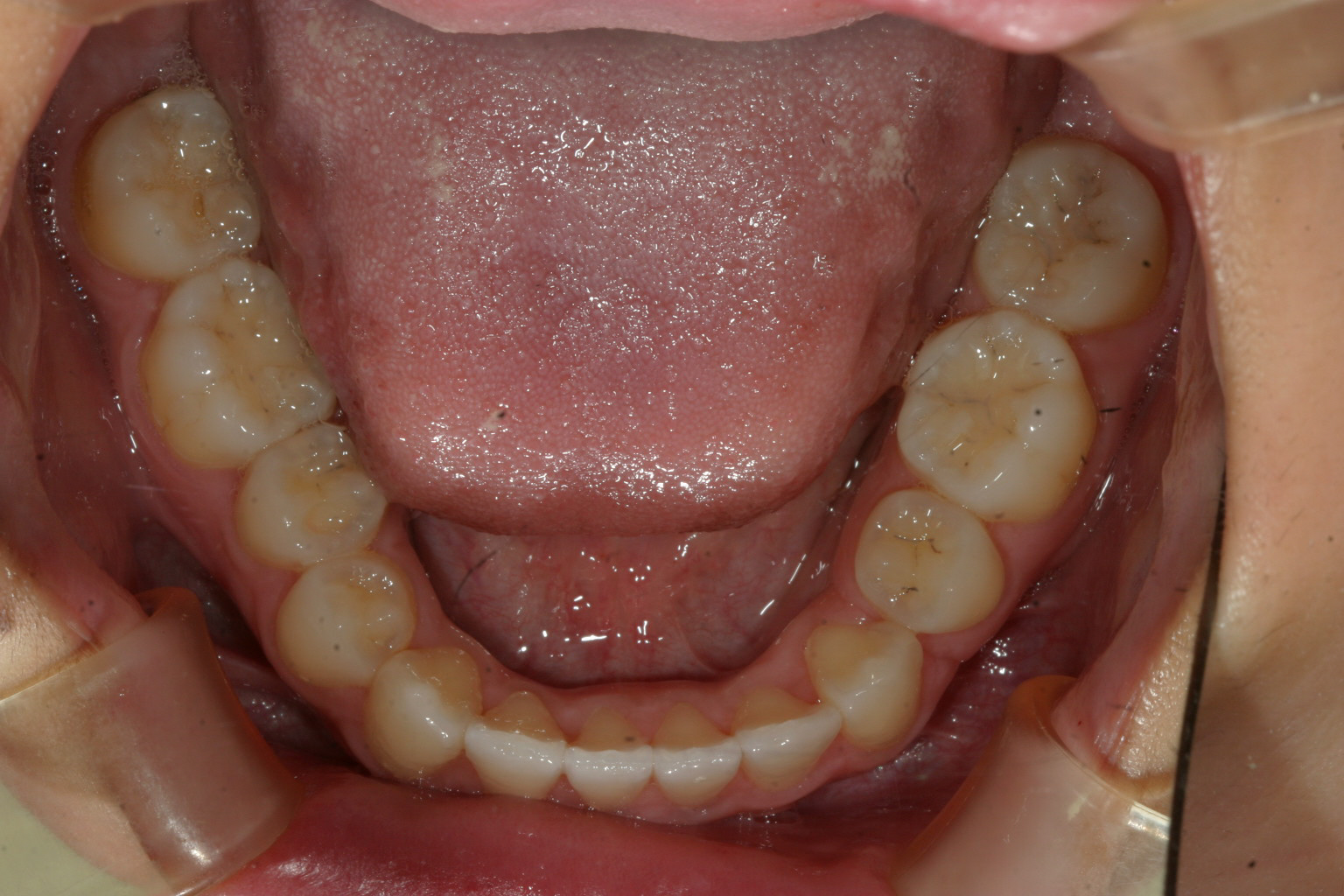
下顎は左側小臼歯1本抜歯する事で改善しました。

綺麗に被蓋関係も出来受け口改善しました。
当院からのコメント
今回のインビザラインケースは小臼歯1歯抜歯する事で受け口の改善を試みました。
思ったより歯の動きが悪く少し時間を要しましたが結果的には綺麗に改善出来て私も
満足しています。
私としましては出来るだけ抜歯せずに治療したい派なんですが必要最小限の1歯で何とか
治療出来て良かったと思っています。
当医院では顎関節症患者の矯正治療も行ってますが当院に顎の状態がおかしくて来られる
患者様の結構な頻度で抜歯矯正をされた経験をお持ちの方が来られます。
と言う事もあり私としましては抜歯は必要最小限にしたいと考えています。

