

お悩み
前歯で麺類を噛めるようになりたい。
年齢
27歳
性別
女性
治療に用いた装置
インビザライン
治療期間
1年3か月
治療にかかった費用
治療詳細

右側前歯が少し乱れているだけで全体的に綺麗です。

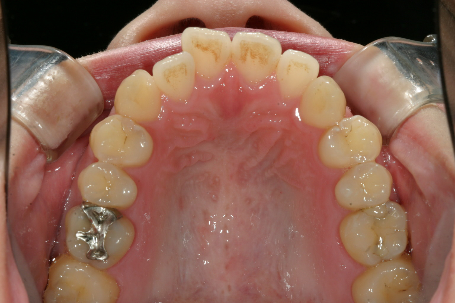
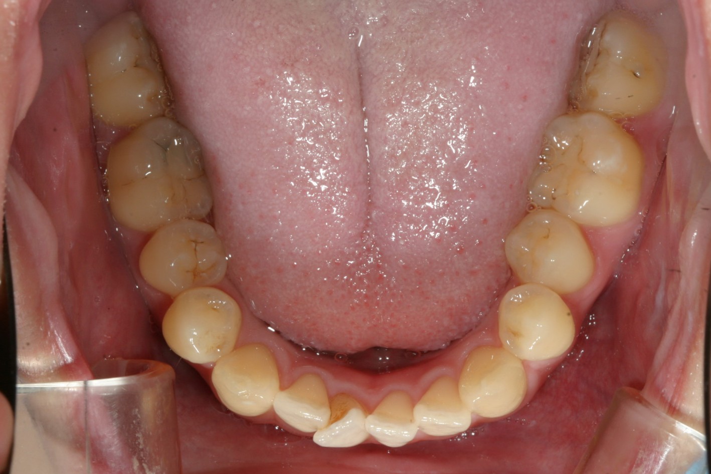
前歯部に少し叢生が見受けられます。

パックリと開咬です。

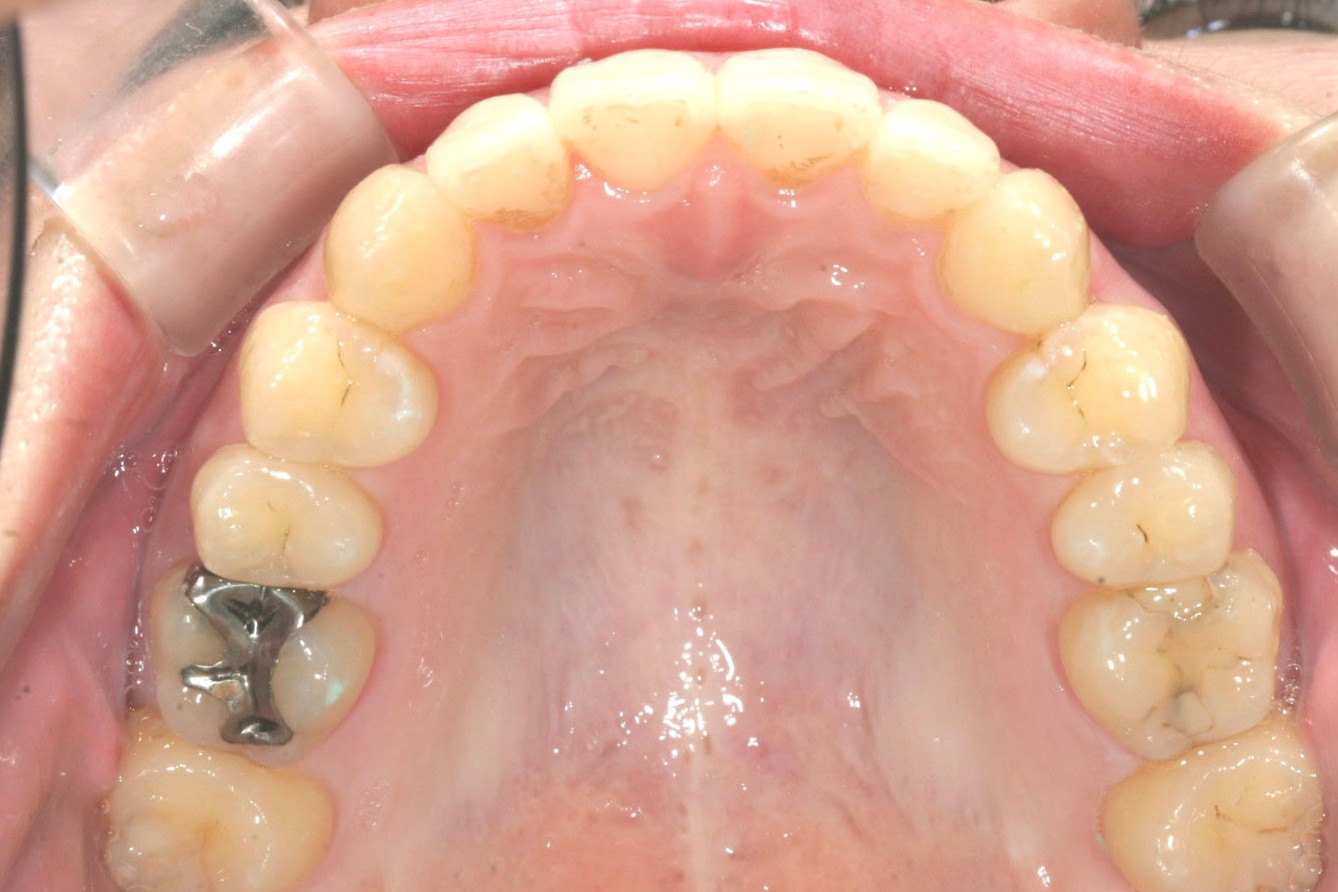
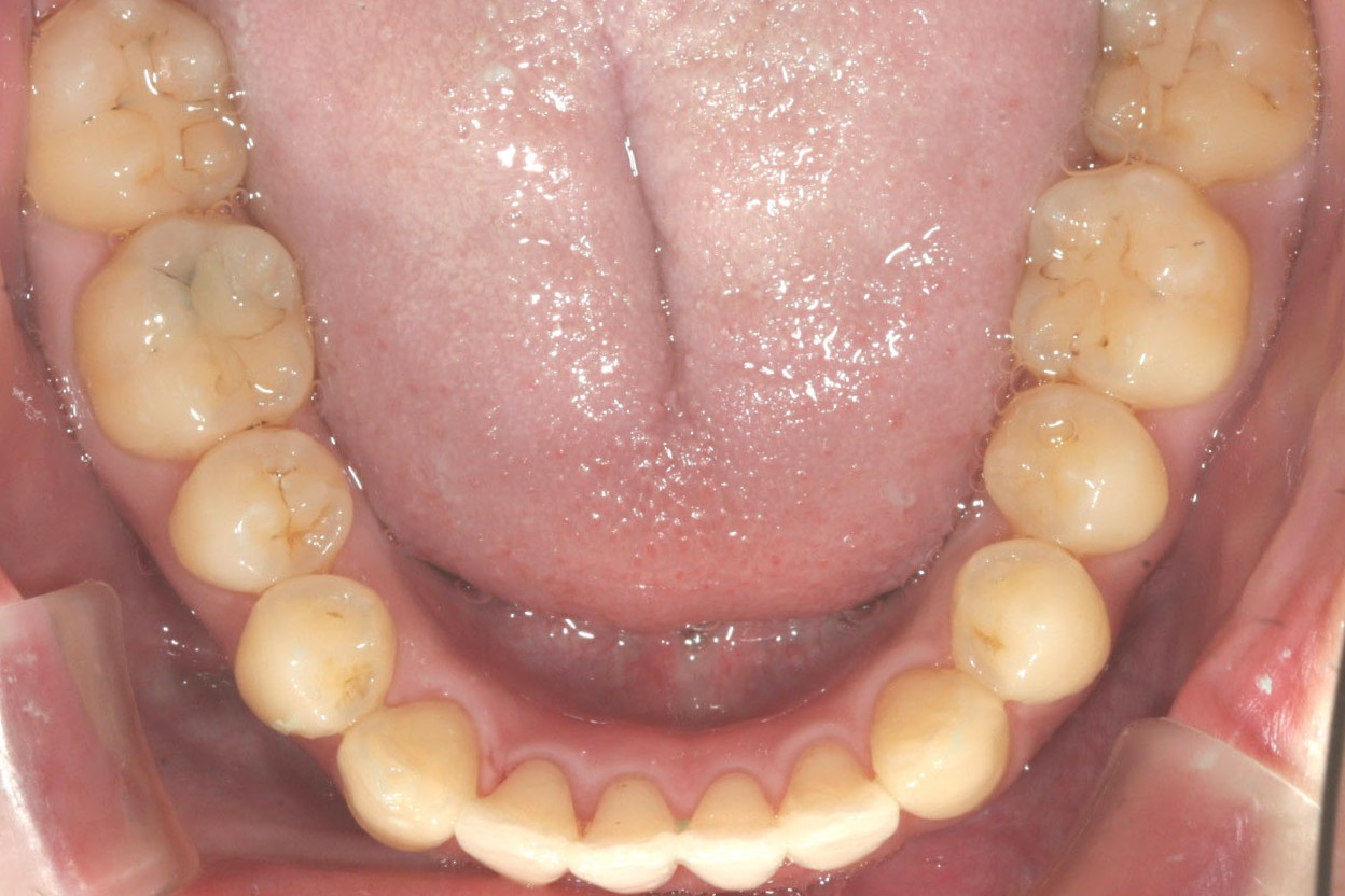
綺麗に治療が完了しました。

下顎も綺麗に叢生が取れました。

前歯も閉じてこれなら何でも咬み切れます。
当院からのコメント
今回は開咬のケースです。
この程度の開咬ならインビザラインでも何とかなるかなって言う限界症例です。
皆さんやはりなんでも前歯で咬み切りたいですよね~
僅か1年余りでここまで改善できるなら私もやりたいって患者様も居られると思います。
参考になさって下さい。

