

お悩み
口が閉じないのとガタガタを治したい。
年齢
32歳
性別
女性
治療に用いた装置
マルチループワイヤー
治療期間
1年9カ月
治療にかかった費用
治療詳細

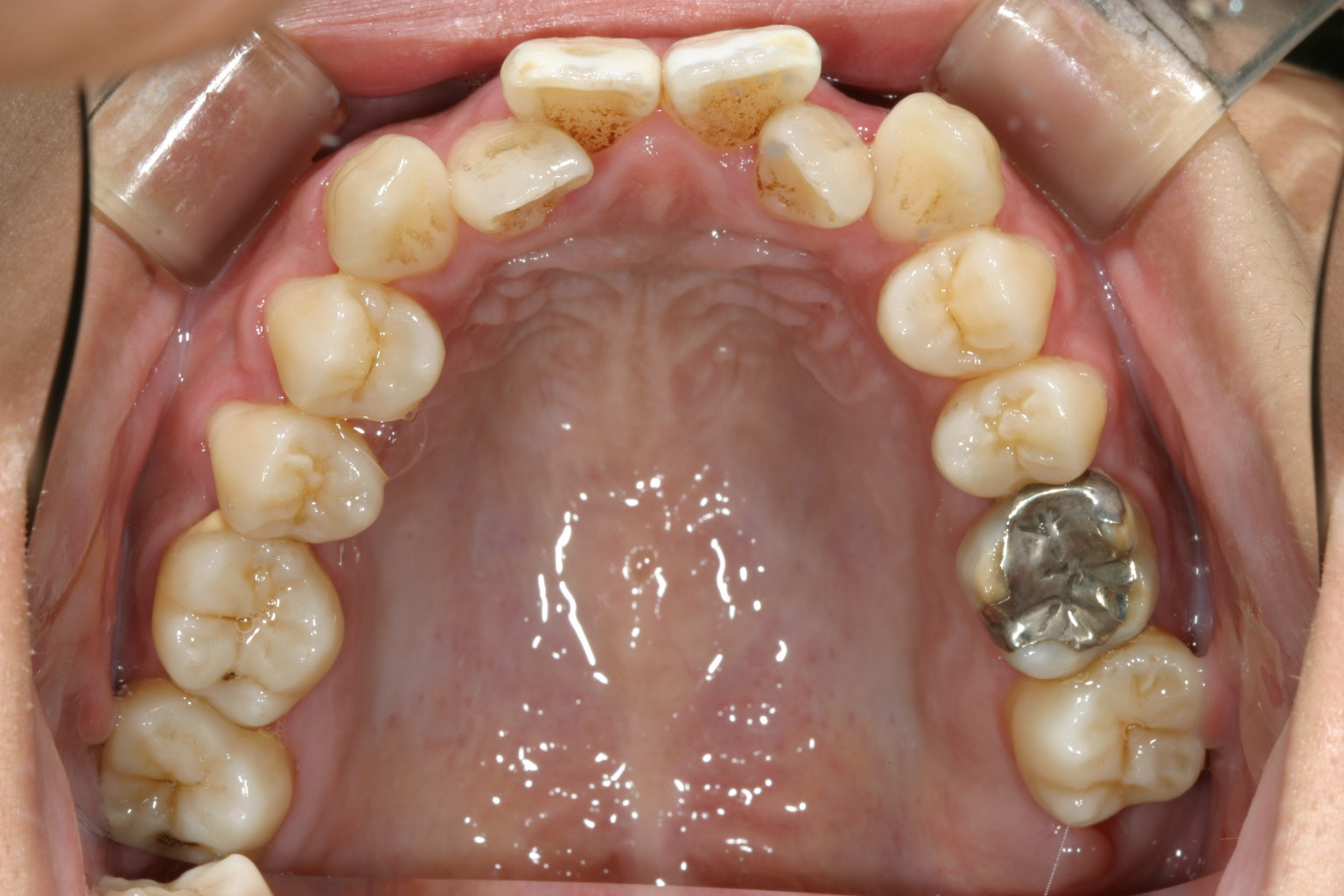
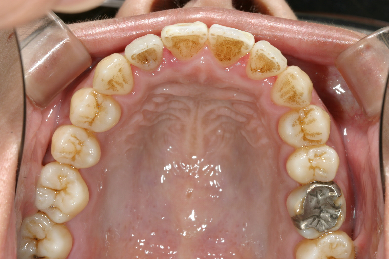
犬歯間が狭い為に上顎前歯が乱れています。

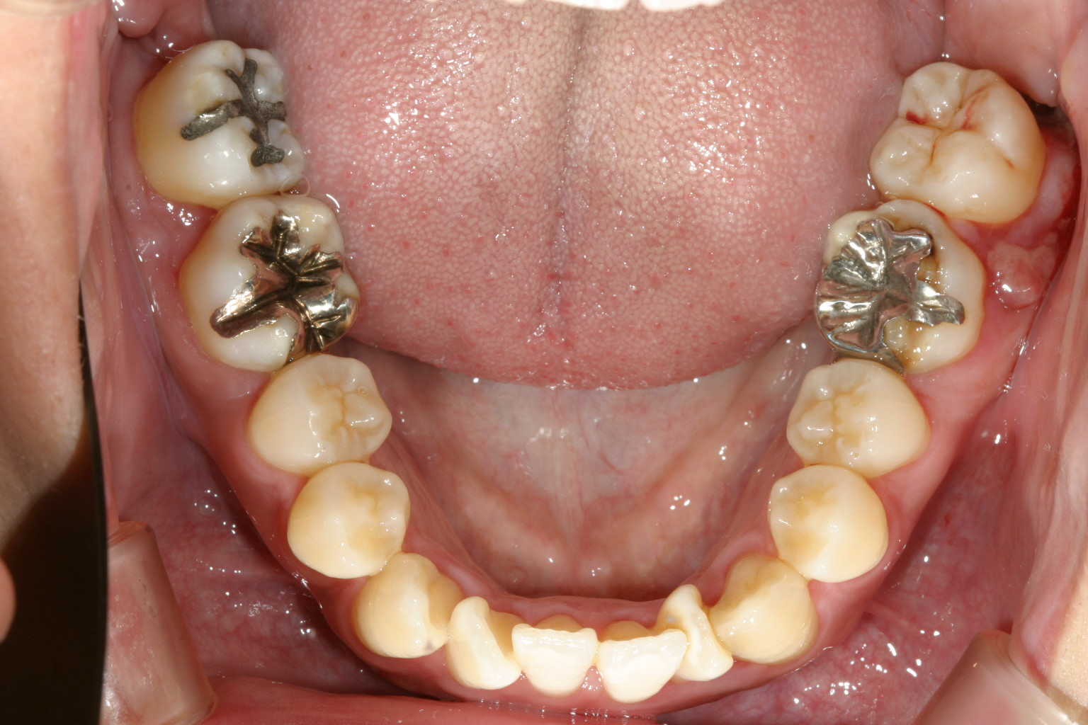
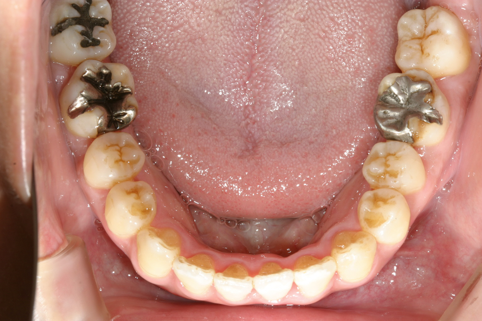
下顎の両側切歯が90度回転しています。 これが難儀なんです。 ワイヤーを留める為のブラケットを何度か貼りなおす必要が有ります。

上と下の歯が閉じず開咬状態です。

8か月後です。 結構綺麗に並んできています。

下顎はこの90度回転した歯に悪戦苦闘しています。笑

開咬は殆ど閉じてきています。

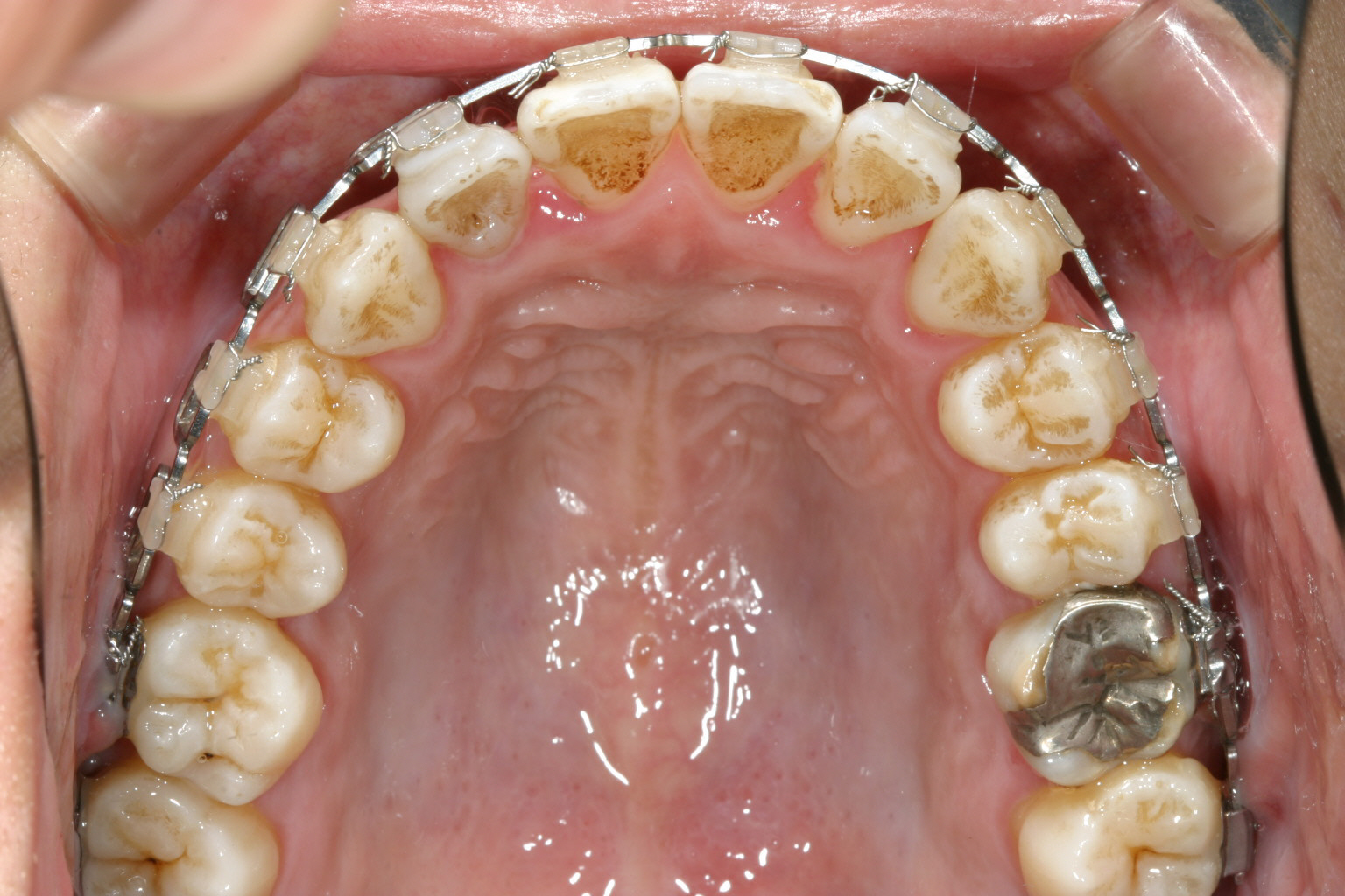
1年9カ月後です。 前回の写真よりもアーチがU字になってきているのが分かります。

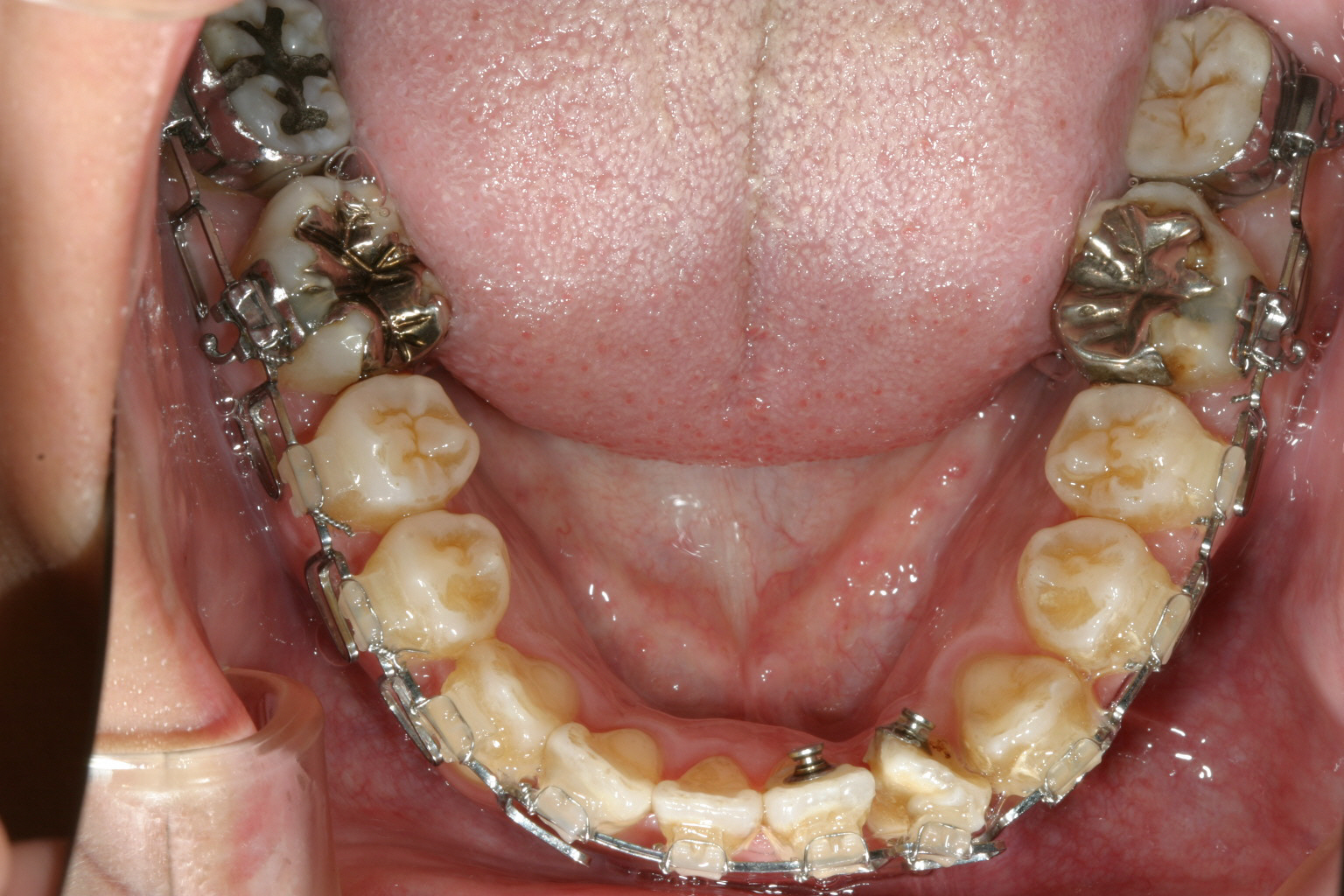
下顎の綺麗なU字になりました。

側面観も抜群です。
当院からのコメント
今回のケースは下顎の前歯の90度回転を戻すのに難儀しました。
何度かブラケットを貼り替えてリンガルにボタンをつけゴムの力で回転を助け
やっとの事で綺麗なアーチに仕上げました。
開咬閉じるより下顎前歯を整列させる方が難しかったです。
この様な開咬ケースにはやはりマルチループワイヤーに限ります。
毎回の調整に少し手間と時間がかかりますが確実に綺麗になります。
この様なケースでお悩みの方が居られましたら勇気を出して先ずは相談にお越しください。

