

お悩み
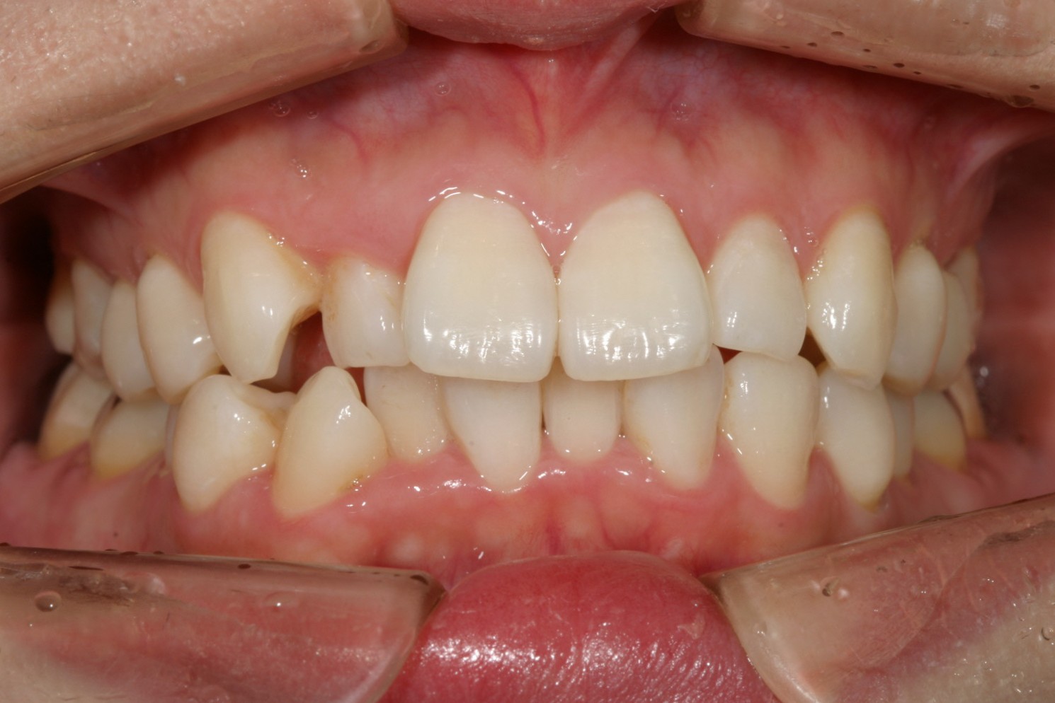
右上の犬歯が飛び出て審美的にも悪く、又ガタガタも気になる。
年齢
38歳
性別
女性
治療に用いた装置
インビザライン+マルチループワイヤー
治療期間
1年11ヵ月
治療にかかった費用
治療詳細

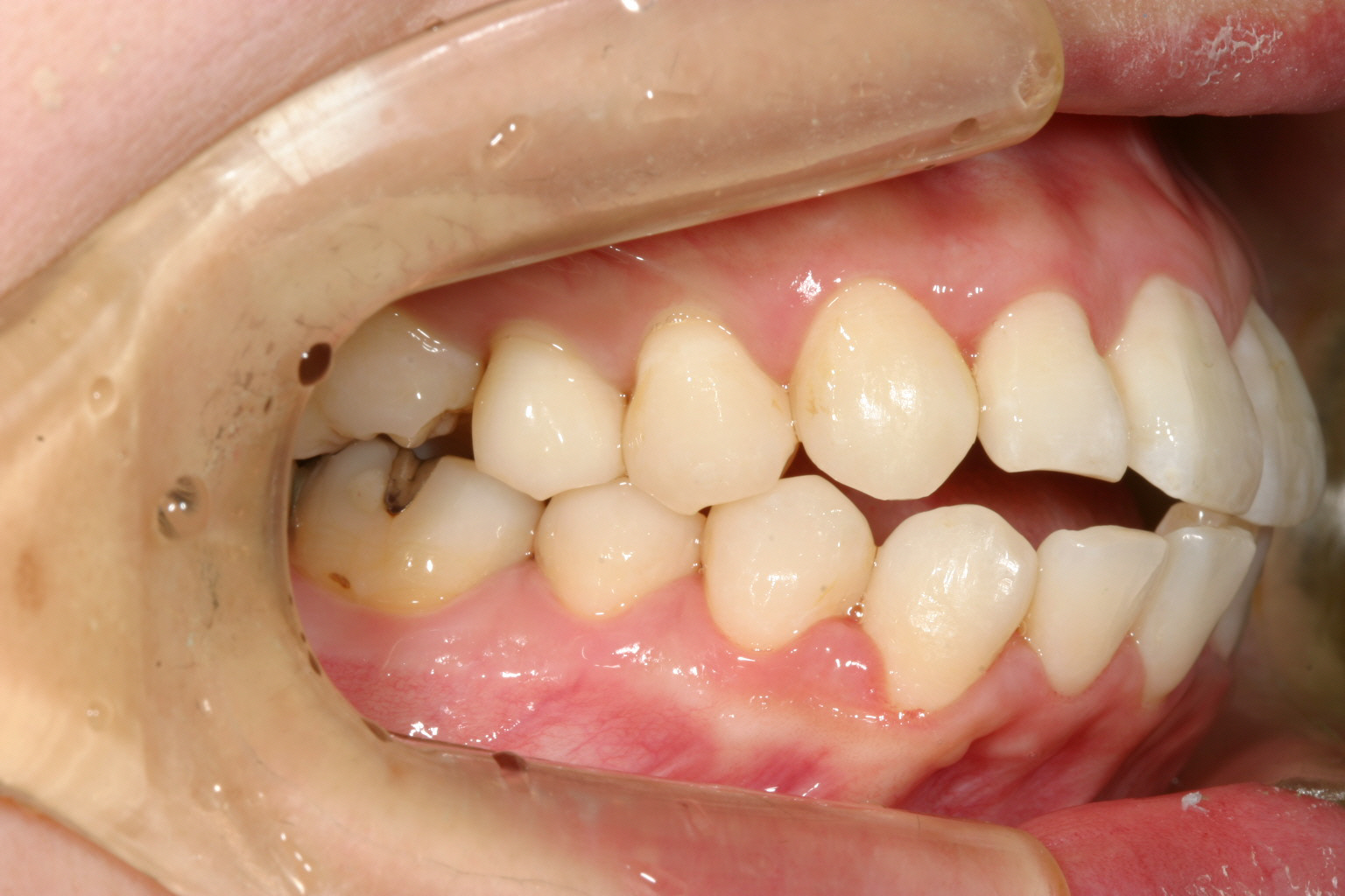
右側の犬歯の飛び出しが少し気になりますね~

下顎前歯は犬歯間幅径が狭い為ヘビーなガタガタです。

上下顎のオーバージェットが気になります。

治療1年半後にマルチループにて咬合の修正を行っています。 特に下顎の犬歯の歪みを早く改善したいです。

マルチループワイヤー入れて2ヵ月でここまで修正完了です。 下顎犬歯の歪みも改善しました。

その後半年でここまで改善です。 前から見るとこんな感じです。 ここから再度インビザラインで最終調整です。

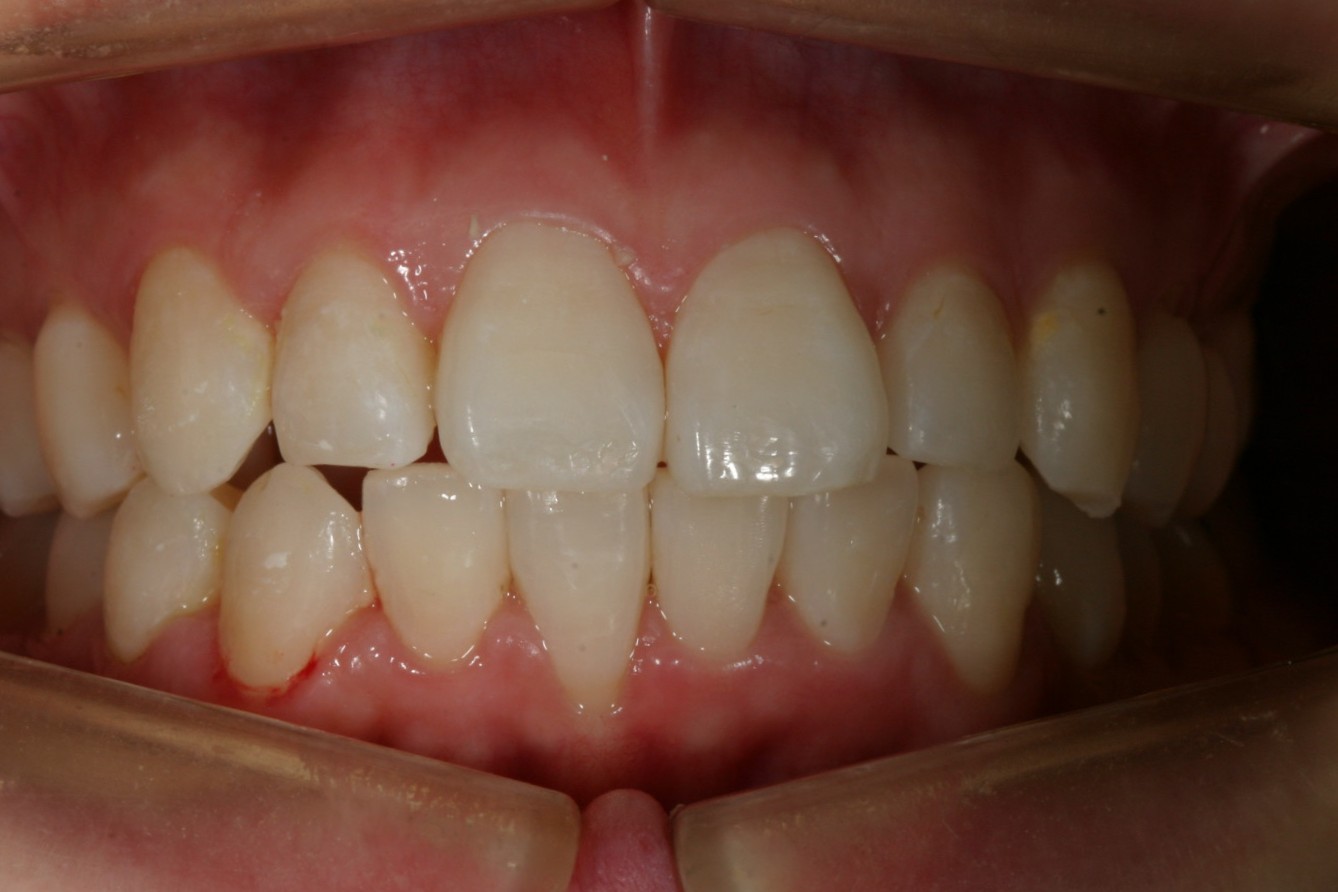
綺麗に改善しました。

下顎のガタガタも綺麗に改善しました。

オーバージェットも綺麗になっています。
当院からのコメント
こちらのケースは八重歯の矯正と下顎のガタガタの矯正で治療始めますと思わぬ事が起こり
右側がぱっくり開いて来たのと下顎の犬歯が取り残され、この修正に困り2ヵ月程得意のマルチループワイヤーに頼りました。
この様なケースでも当院では別途の費用は頂戴いたしません。
インビザラインって装置は決して万能装置じゃなく必要あれば補助装置を使う方が治療をスムースにすすめる事が出来ます。

