

お悩み
前歯のガタガタと翼状捻転を改善したい。
年齢
29歳
性別
女性
治療に用いた装置
インビザライン+クワッドヘリックスワイヤー
治療期間
2年8か月
治療にかかった費用
治療詳細

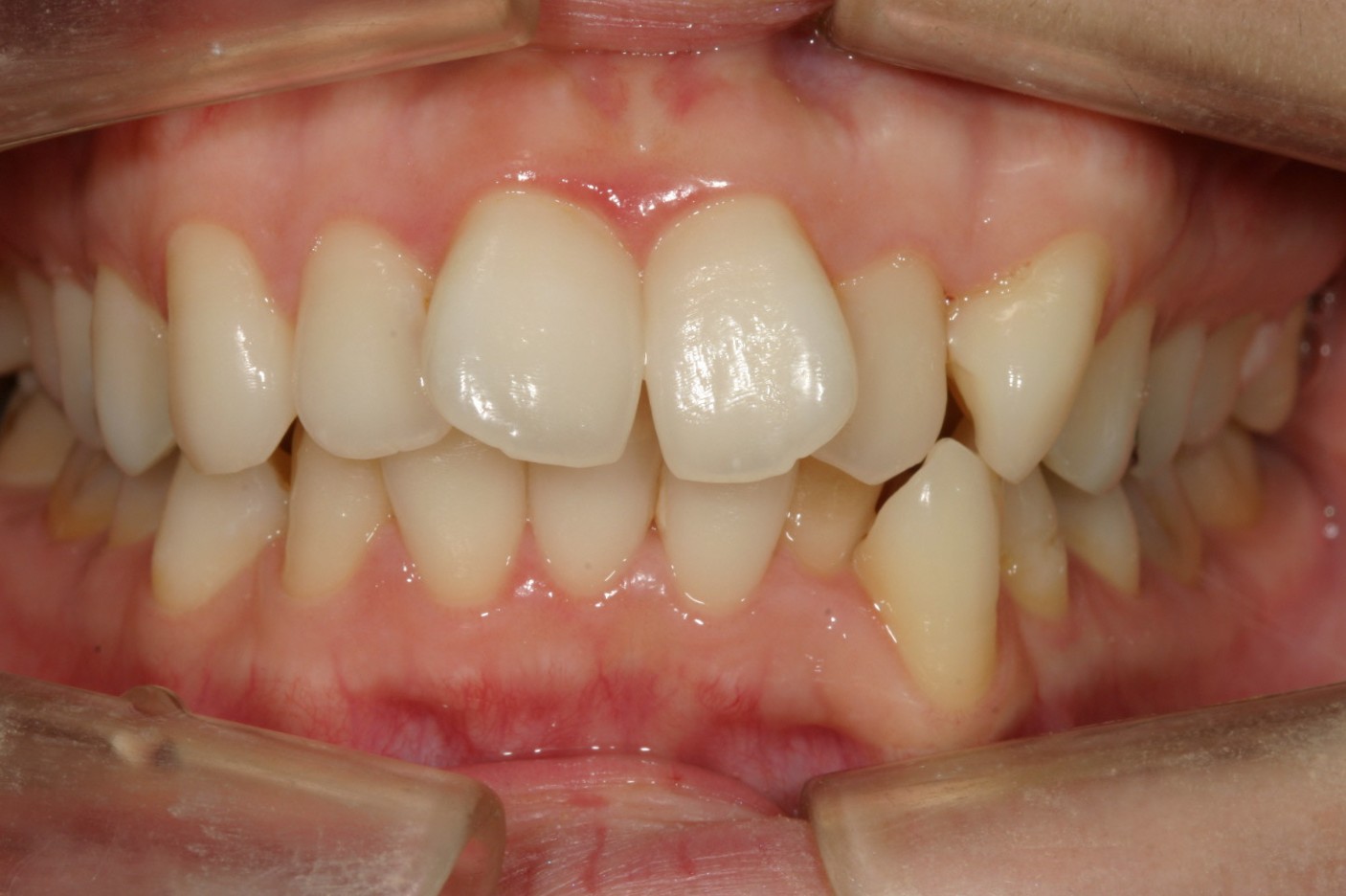
翼状捻転がきついですね~

左側犬歯の飛び出しが目立ちます。

少し出っ歯感が気になります。

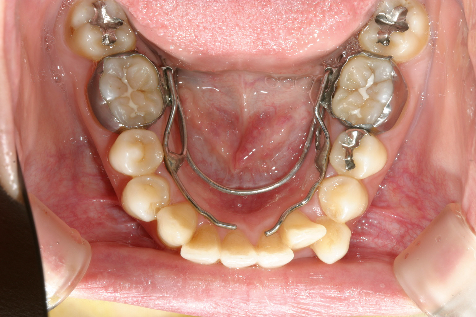
インビザライン初期はこの様な装置でアーチを拡大してからインビザラインを使用していた時期もありました。 現在はこの様な装置は使っていませんが!

特に下顎のアーチが狭い為にクワッドヘリックスって言う装置を使って拡大しています。 現在はインビザラインも進化しこの様な装置を使わずインビザライン単独で拡大できるようになりました。

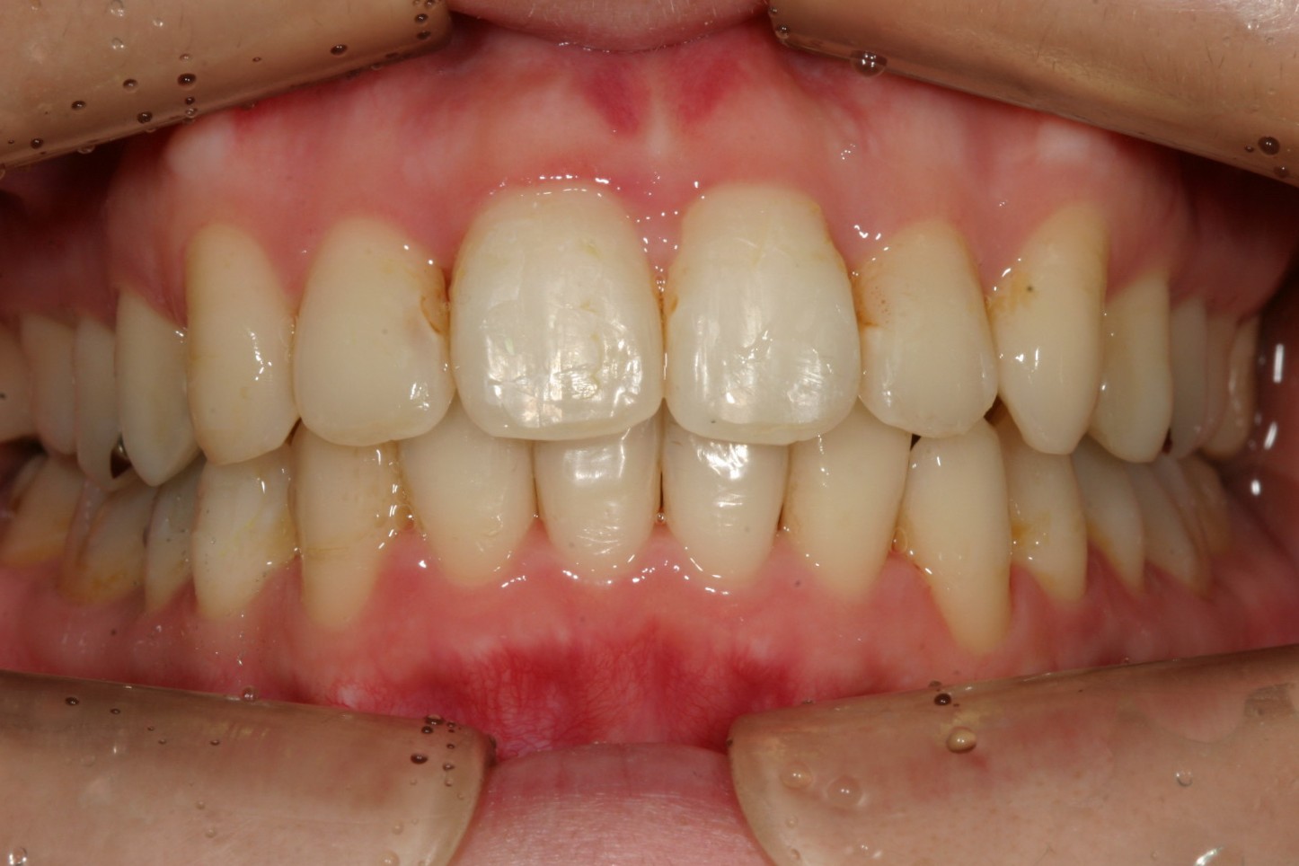
出っ歯感は残ったままです。

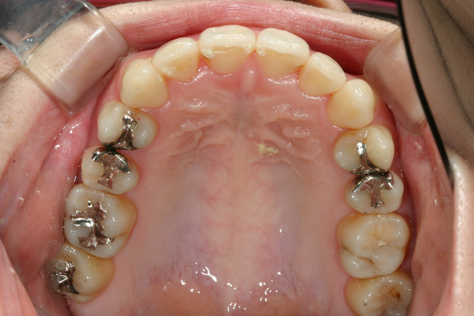
非抜歯でアーチも拡大され翼状捻転も改善しました。

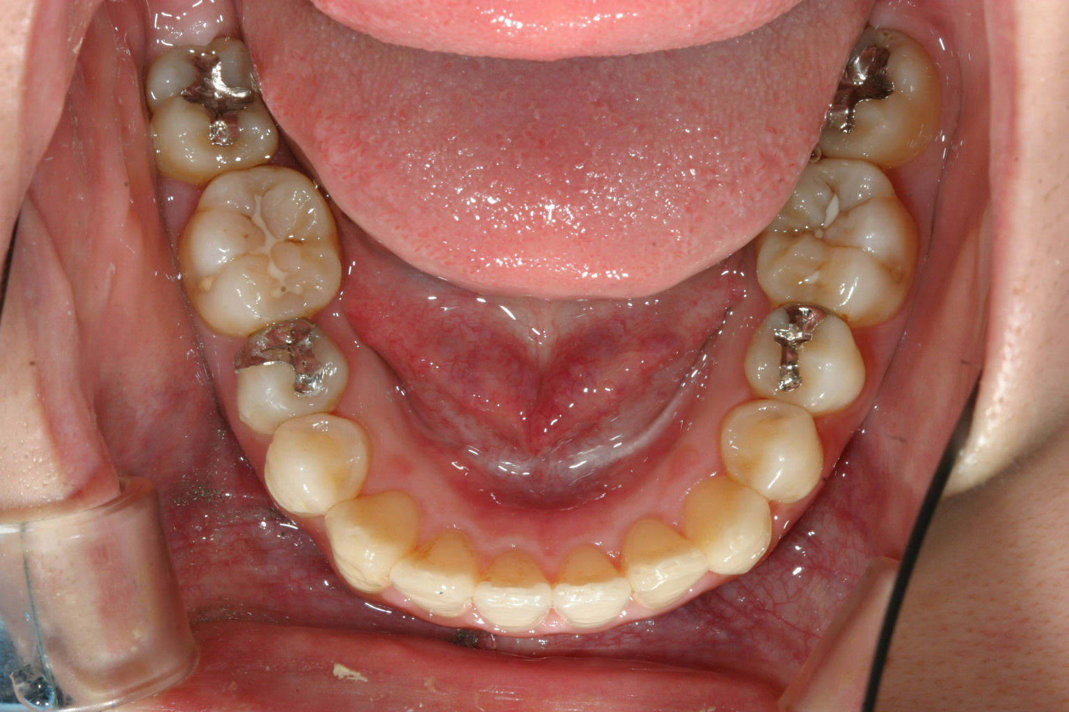
下顎も非抜歯でこの様に綺麗なアーチになりました。

抜群のオーバージェットが得られました。
当院からのコメント
こちらのケースは当院がインビザラインを導入して初期の頃の症例です。
当時はこの様なアーチの拡大や過度の叢生や翼状捻転がインビザラインだけで改善できるか不安が有りこの様なヘビーな補助装置(クワッドヘリックス)を最初に使ってからインビザラインを使用してました、現在はこの様な違和感の強い装置は使いませんが、、、
インビザラインも年々進化し出来る限り補助装置無しでもかなりの所迄到達出来るようになりました。

