

お悩み
前歯が飛び出て審美的にも悪く気になる。
年齢
19歳
性別
女性
治療に用いた装置
インビザライン
治療期間
1年2ヵ月
治療にかかった費用
治療詳細

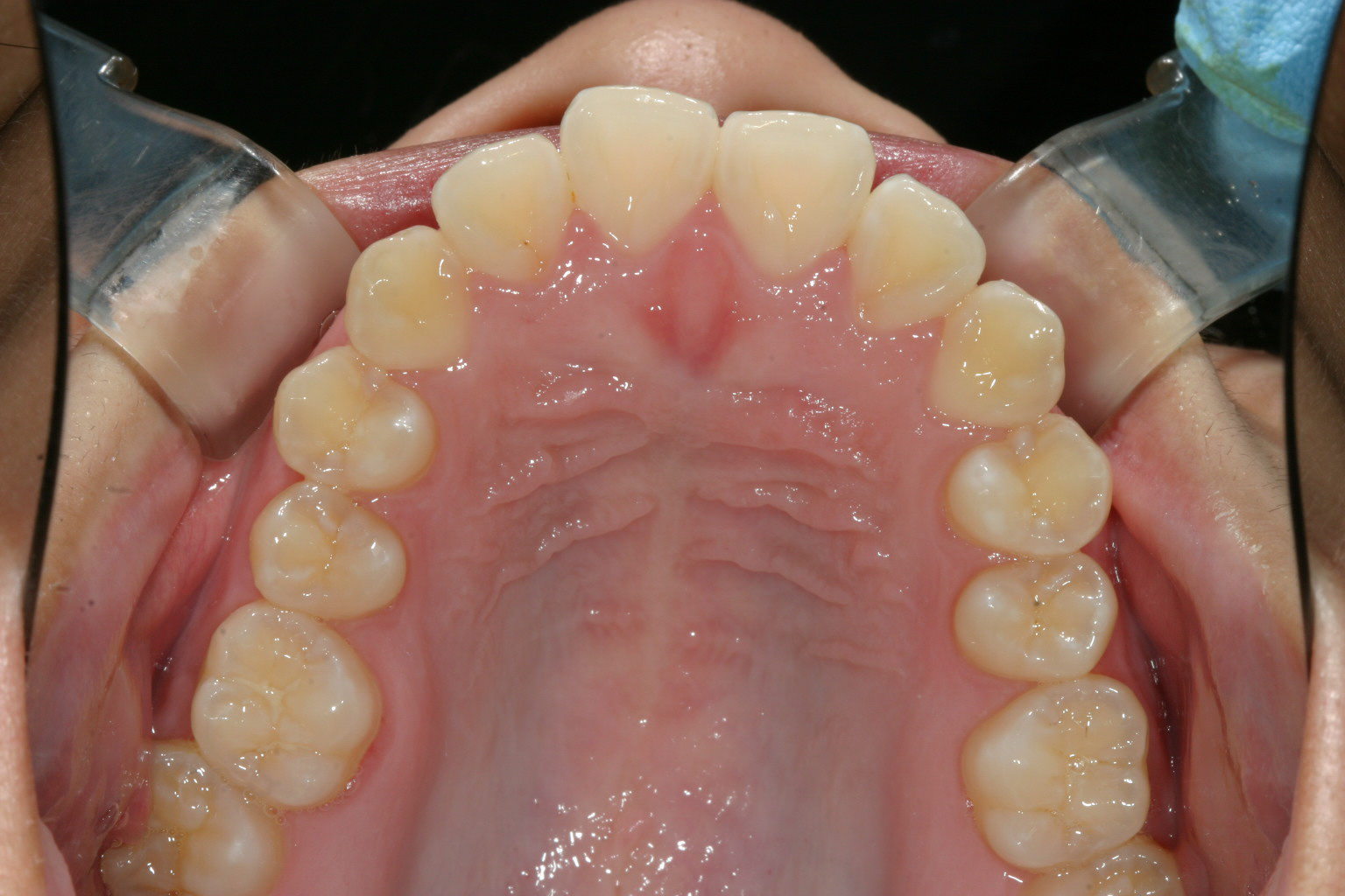
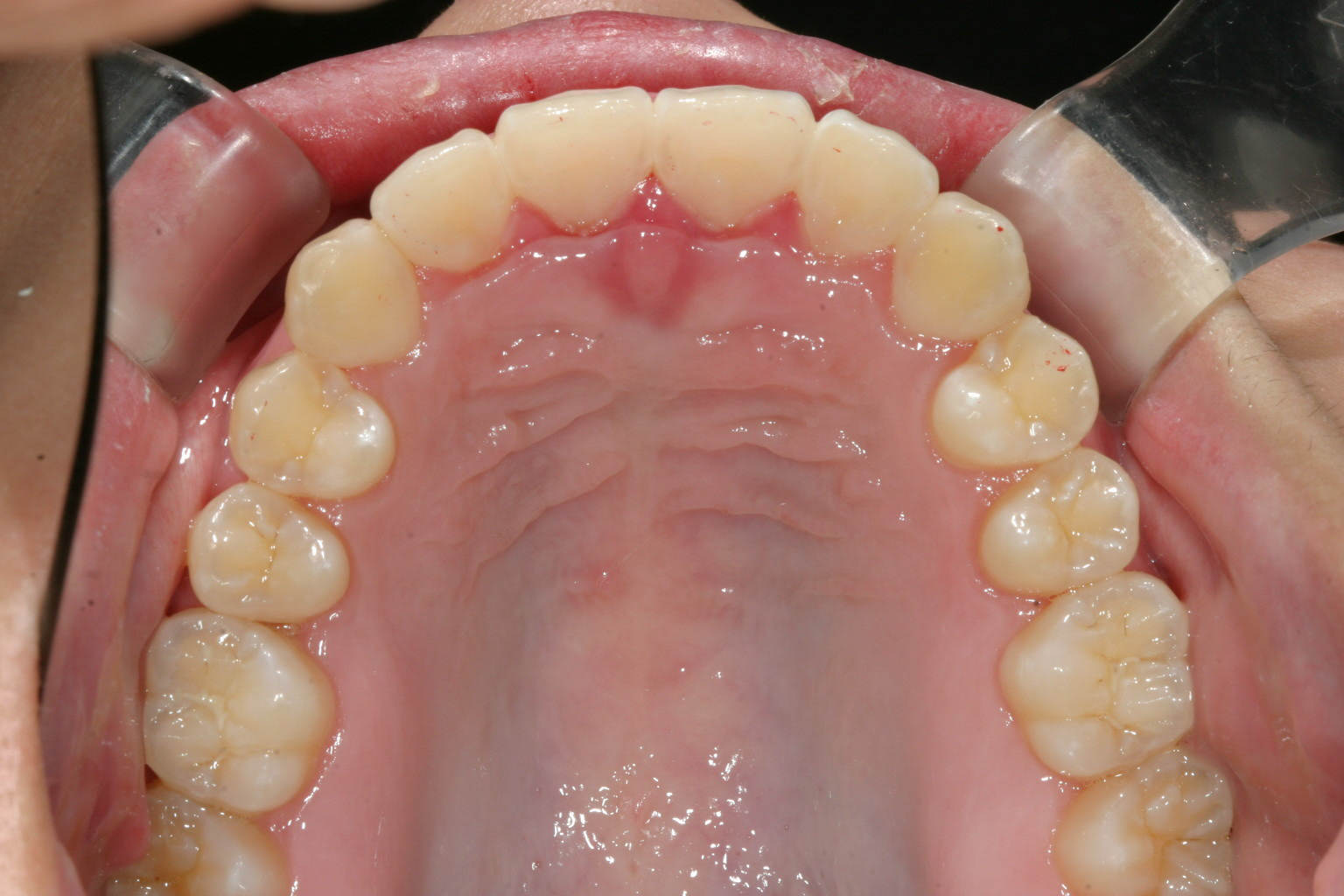
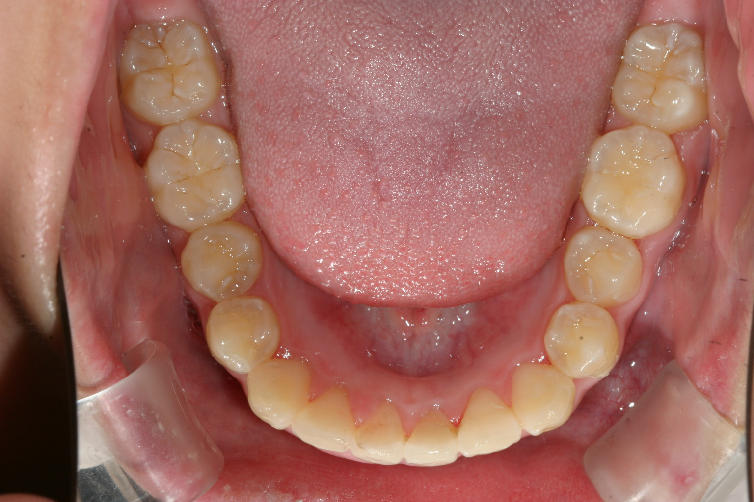
咬合面観はさほど悪く無いように見えます。

前歯部に少し乱れが有ります。

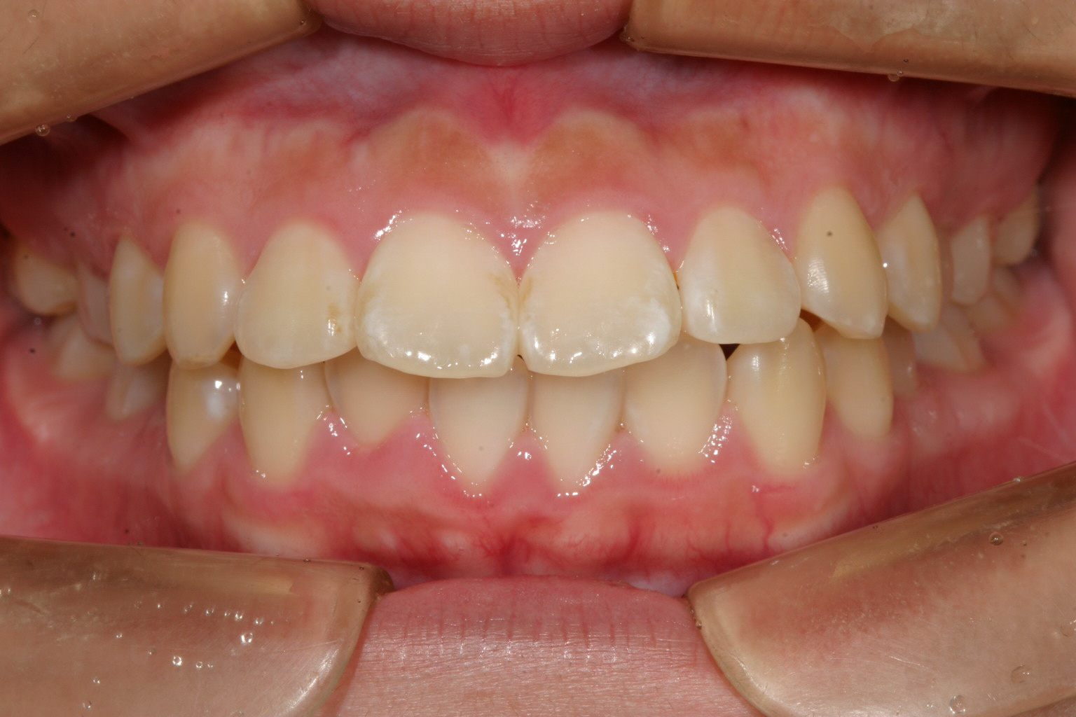
かなり前歯がでっぱってます。

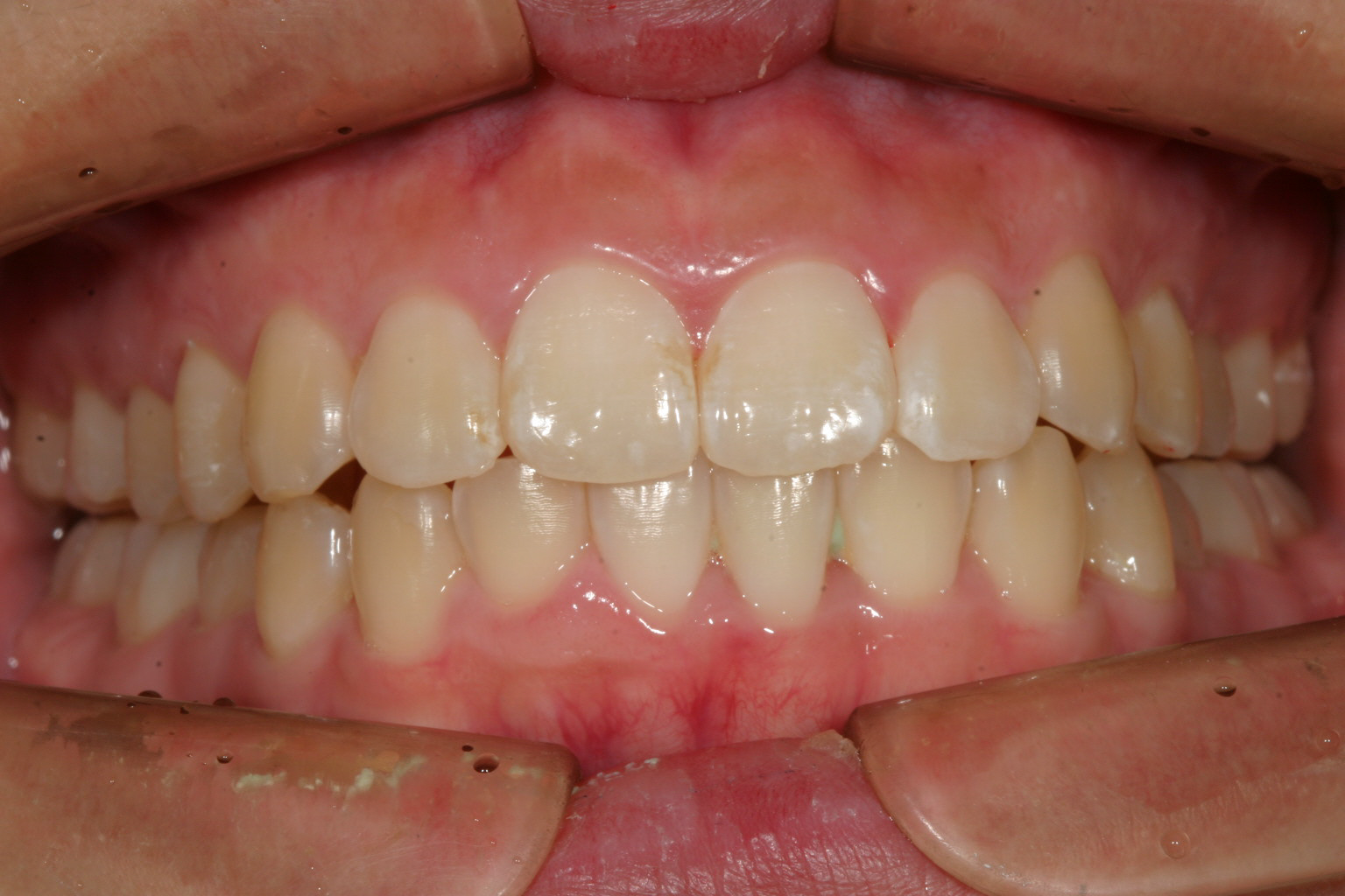
術前と比べるとだいぶ前歯が引っ込みました。

下顎前歯も綺麗に配列し前突感も無くなりました。

横から見ると一目瞭然です。
当院からのコメント
こちらのケースは上下顎前突の改善です。
上下顎とも臼歯部から前歯部にかけて最大限にIPR(歯と歯の間を削合)を行いました。
結果としてここまで出っ歯が引き込みました。
この様なケースにはインビザライン矯正で前もってどこにどれだけの隙間を開ければいいかをコンピューターで計測出来るのがいいですね~
この様な問題を抱えてられる患者様がおられましたらどうぞ相談にお越しください。

