お悩み
前歯が出てガタガタしているのが気になる。
年齢
26歳
性別
女性
治療に用いた装置
インビザライン
治療期間
1年8か月
治療にかかった費用

治療詳細

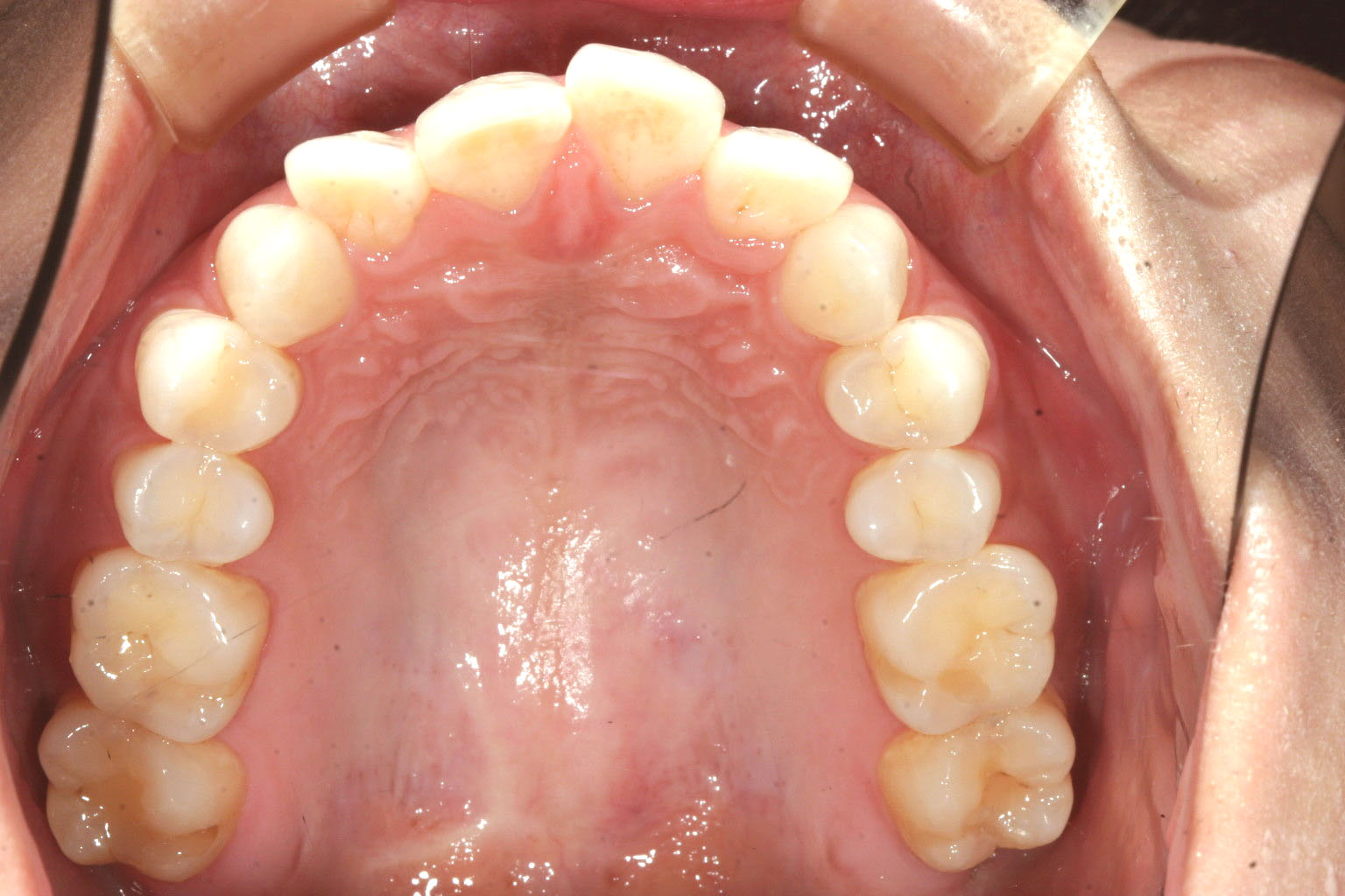
前歯に少しガタガタが見られます。

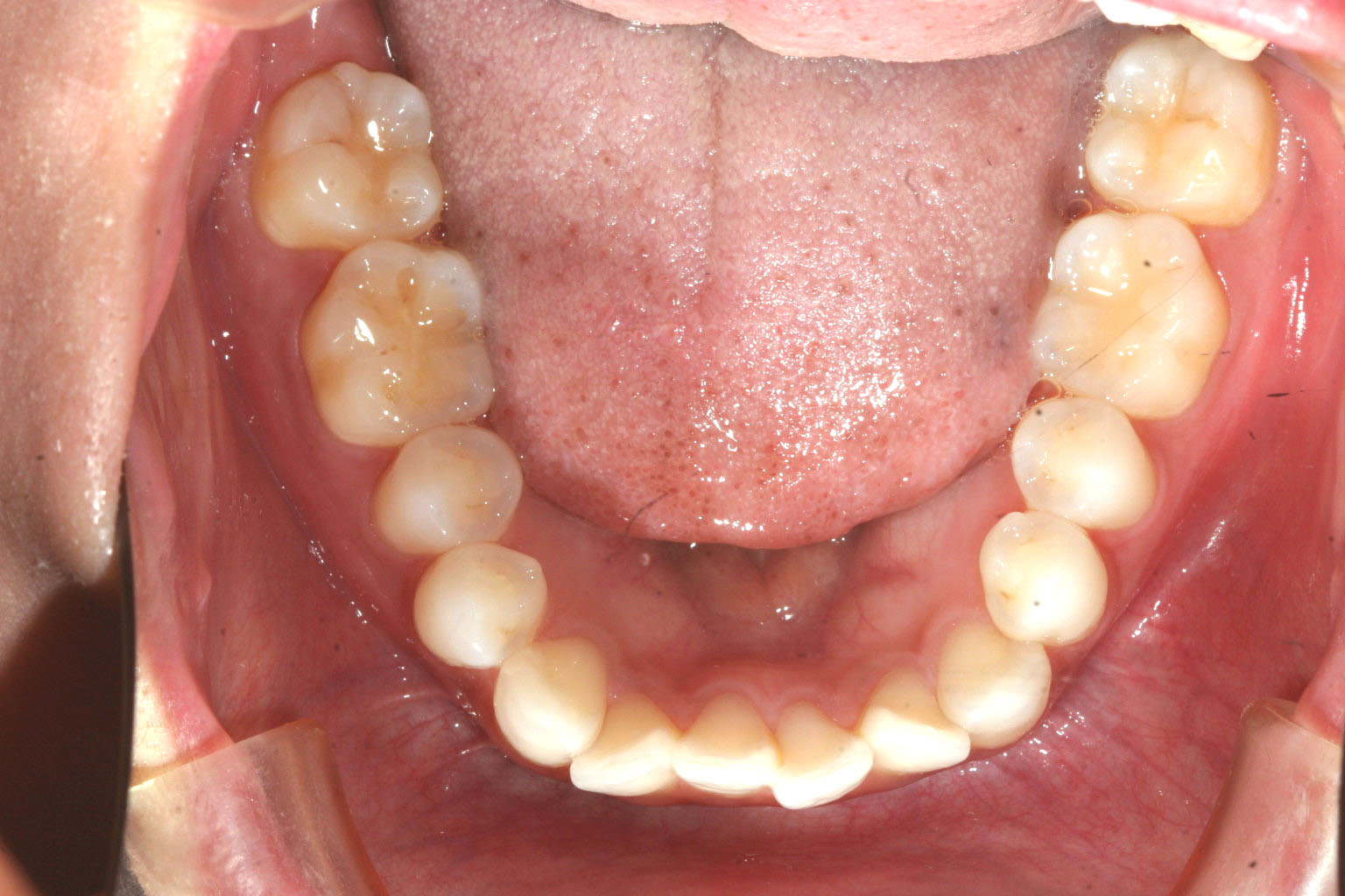
下顎にも少し叢生が見られます。

少しオーバージェットも大きいですね!

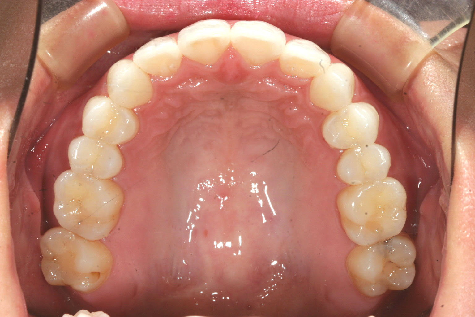
綺麗に改善してます。

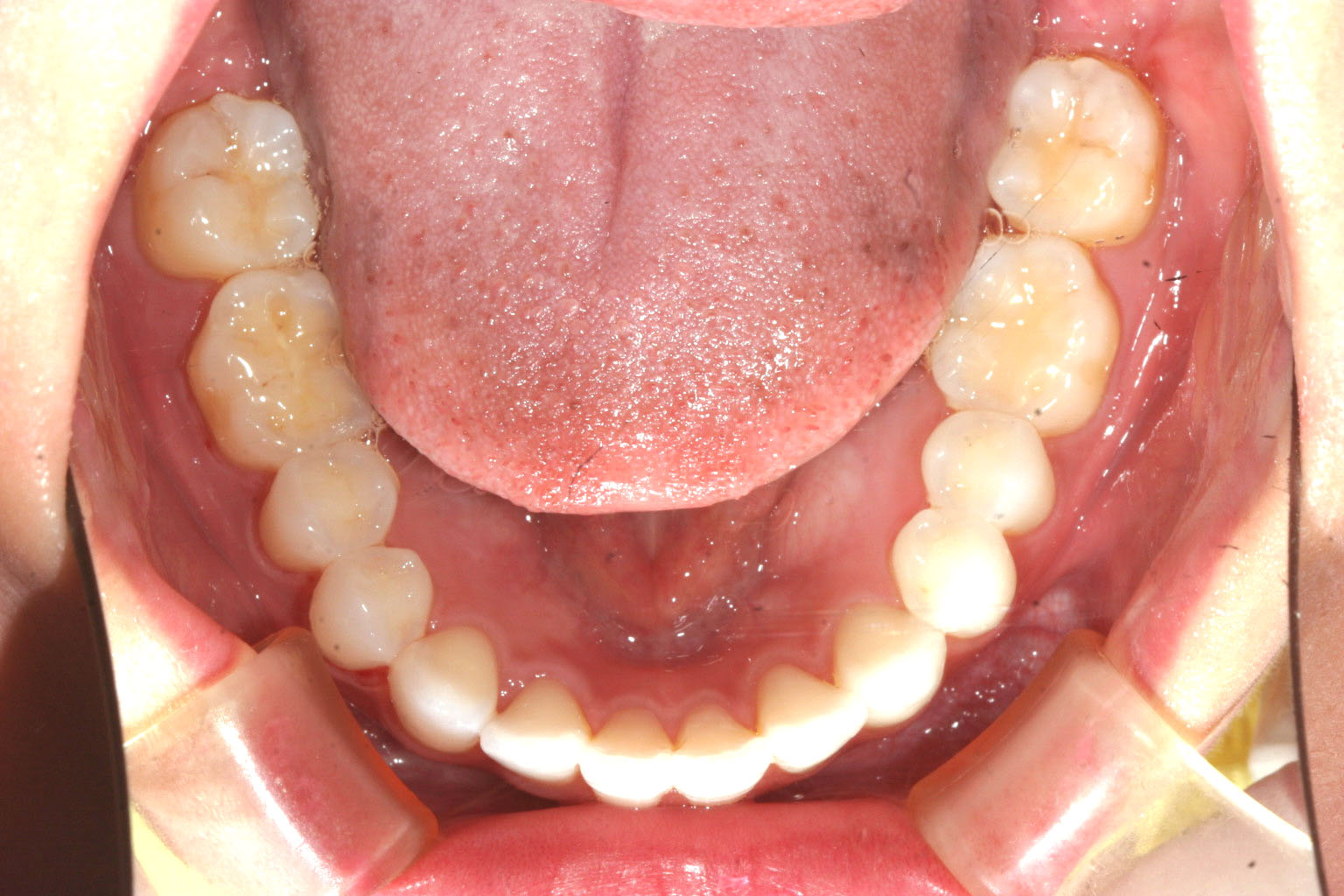
下顎もバッチリですね!

オーバージェットもこんなに綺麗に改善しました。 術前と比較してください。

当院からのコメント

こちらのケースは前歯のガタガタとオーバージェットの改善で来られました。
こちらと致しましては矯正プランを立てインビザラインのマウスピースを用意させて頂いただけで後は患者様が一生懸命自分の口にどれだけ時間をかけるかだけなんですが、この患者様は
かなり頑張って頂けたみたいで凄く綺麗になり私と致しましても感激しました。