

お悩み
前歯のガタガタが気になるのと物がつまり易い。
年齢
31歳
性別
女性
治療に用いた装置
マルチループワイヤー
治療期間
1年2か月
治療にかかった費用
治療詳細

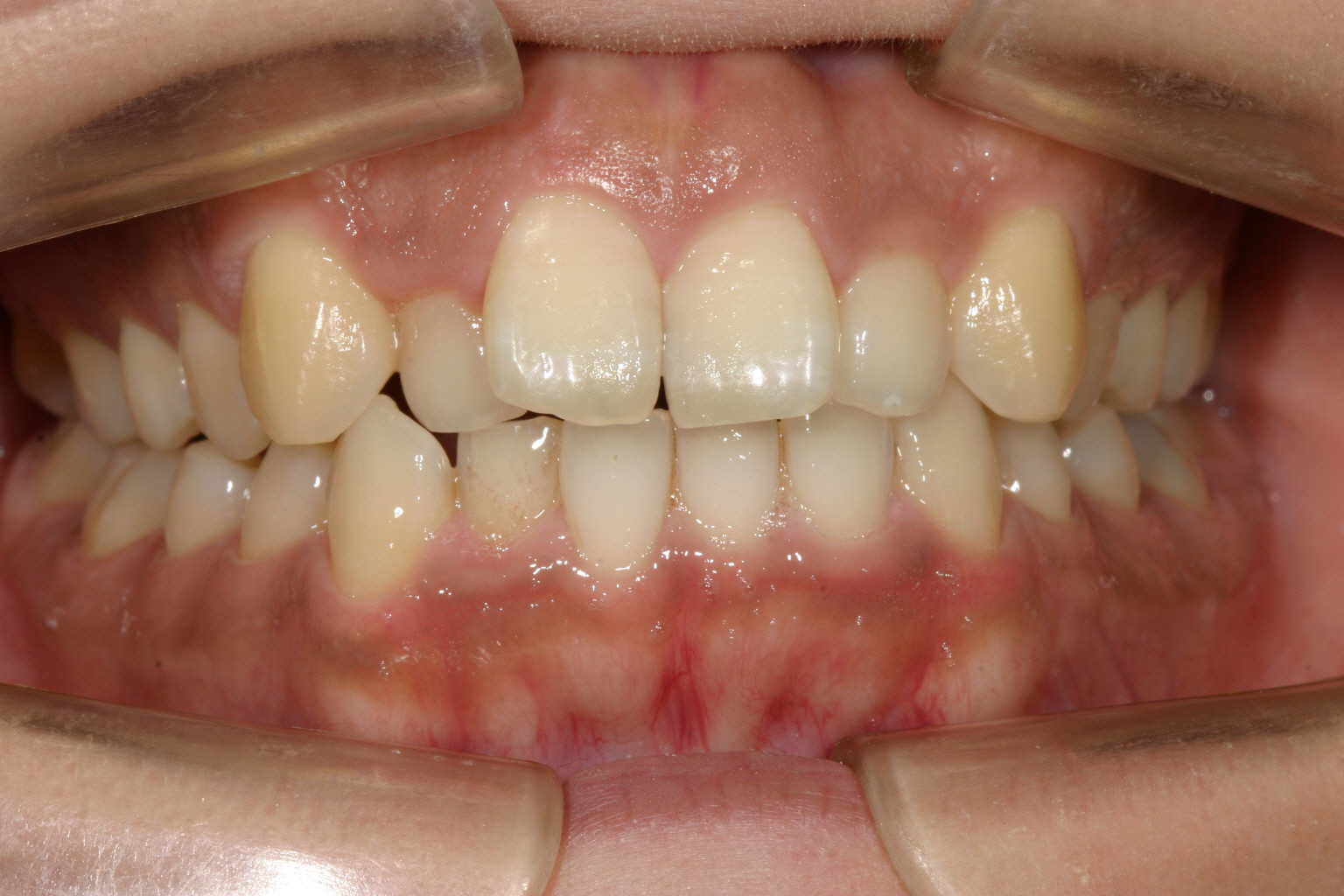
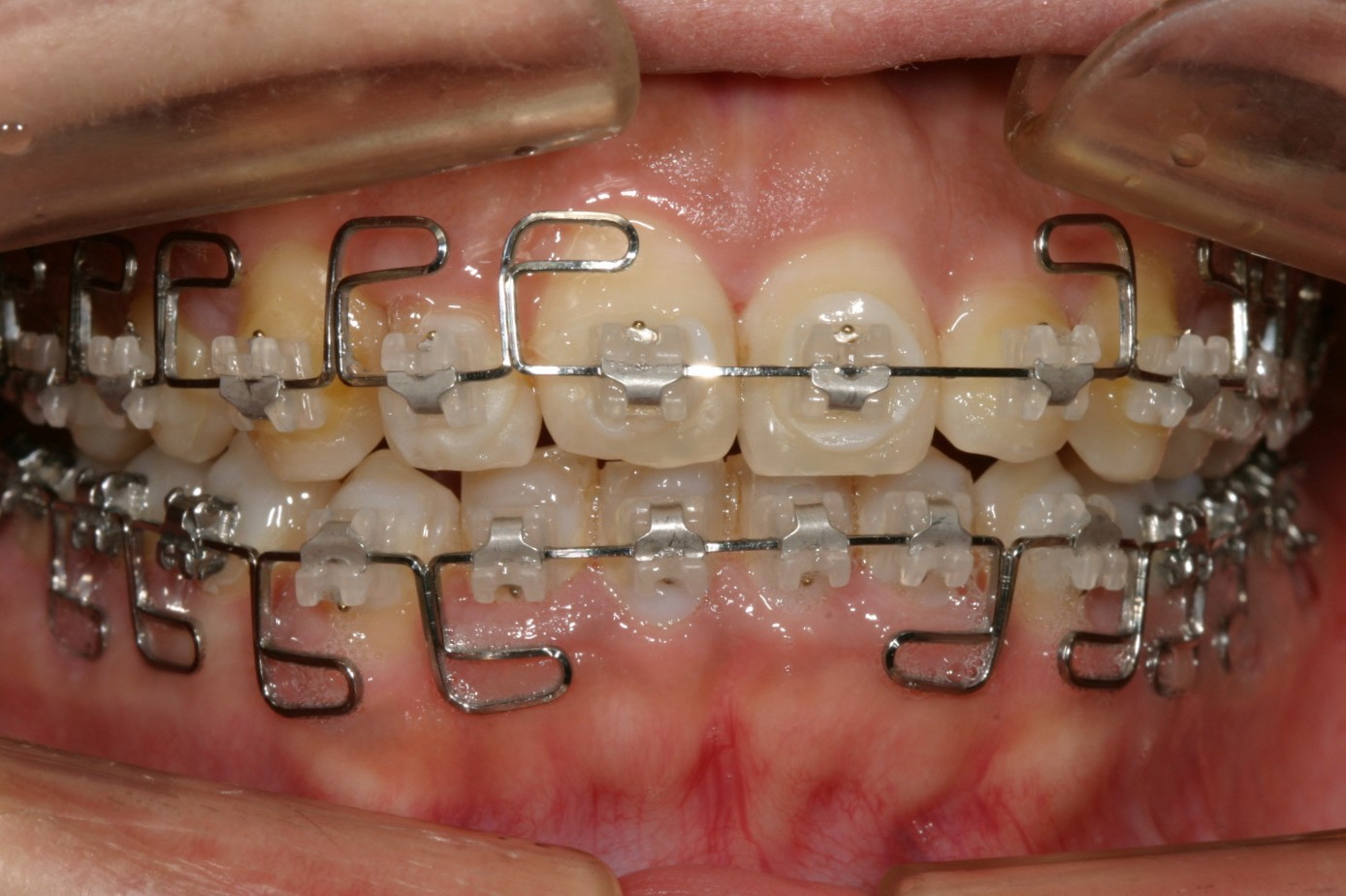
前歯が飛び出して少し翼状捻転しています。

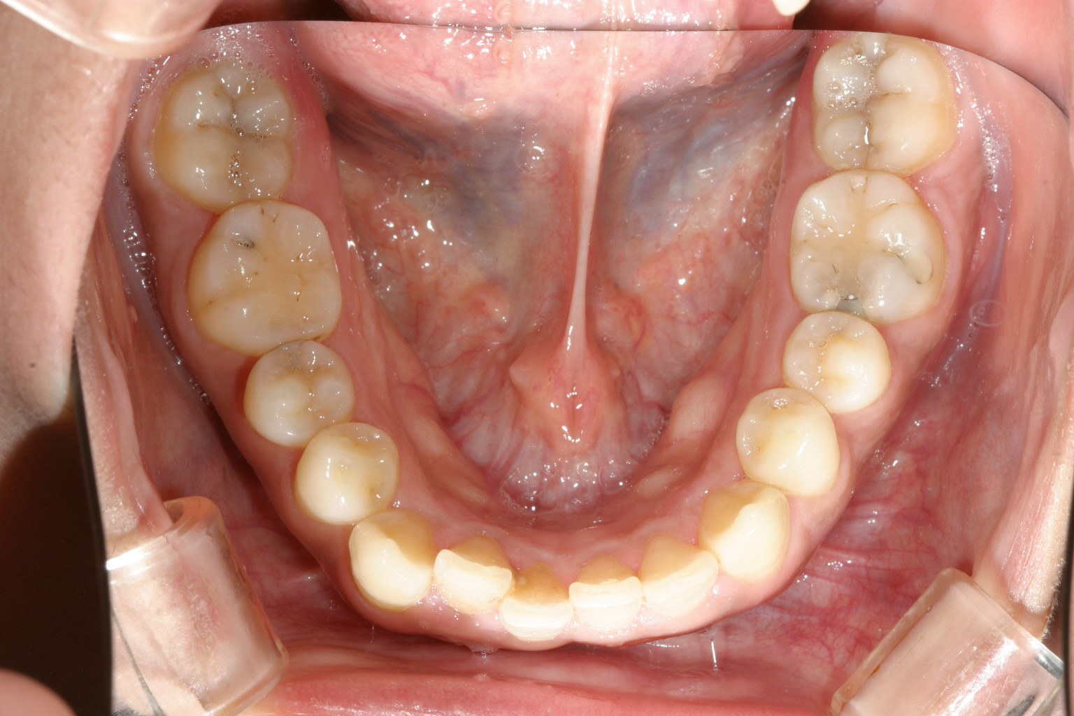
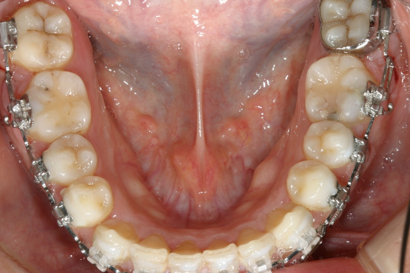
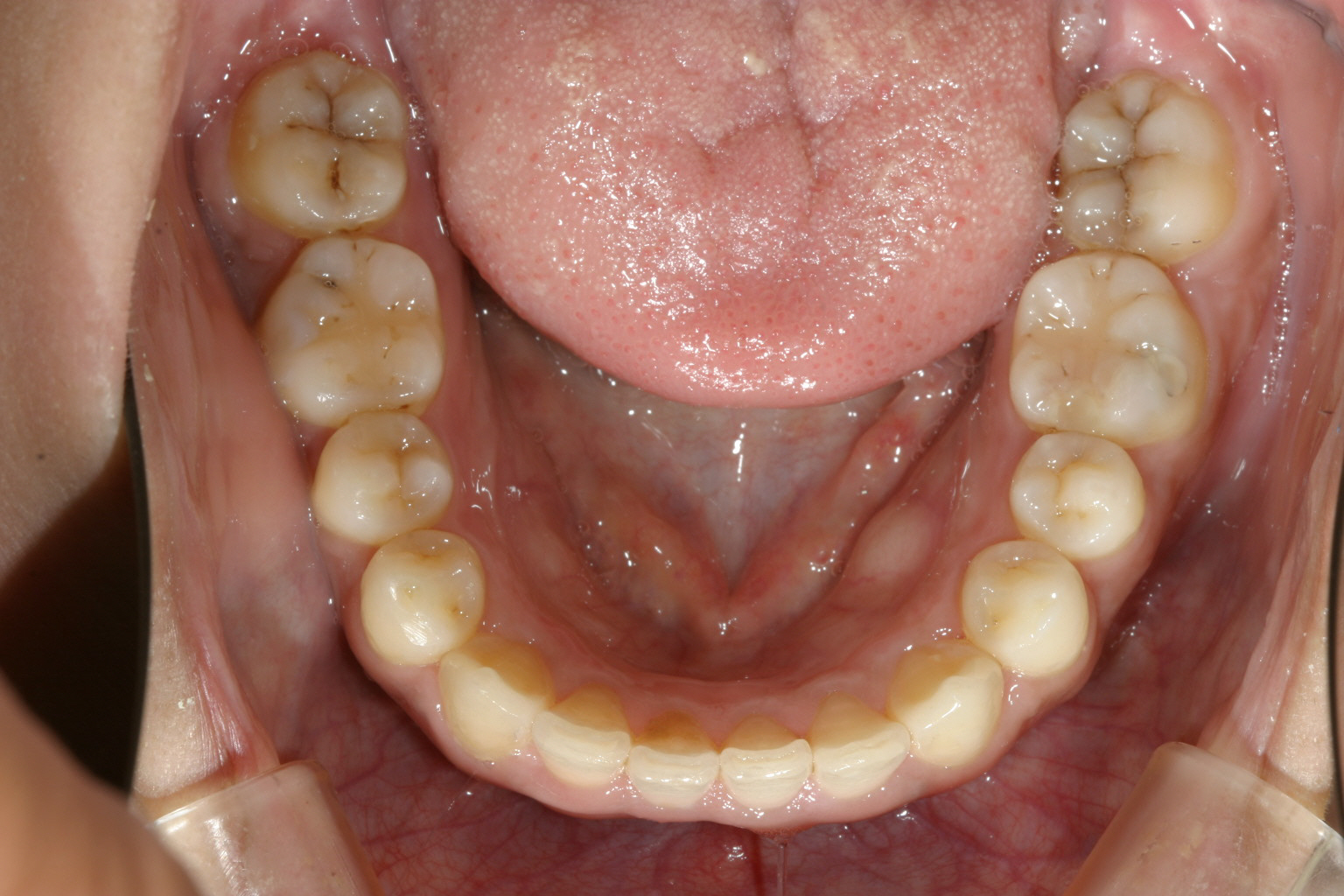
下顎は少しの叢生です。

少しオーバージェットが大きいですね~

マルチループを装着5ヵ月後です。殆ど綺麗に改善しています。

下顎は殆どすでに改善しています。

症面観です。 見栄えは悪いですが、ゆっくりとした力がかかるため歯には優しい装置です。

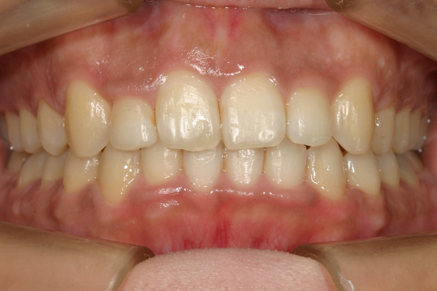
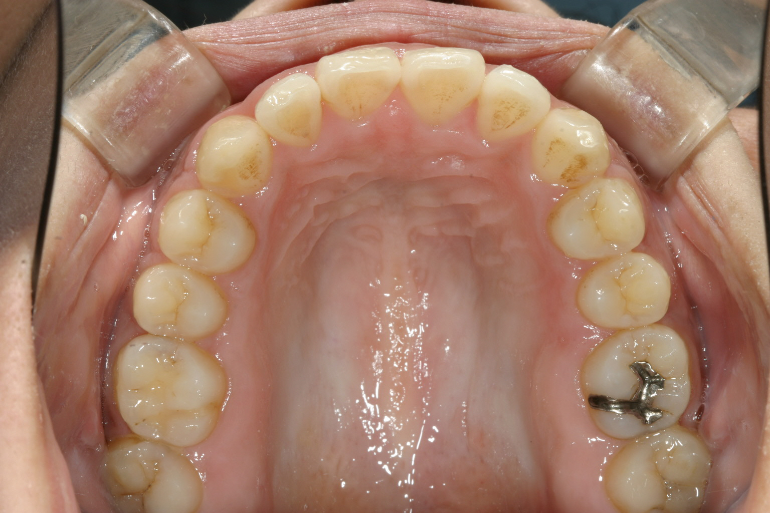
この様に綺麗に改善致しました。

下顎もこんな感じです。綺麗でしょ?

オーバージェットも綺麗に改善しました。
当院からのコメント
このケースはあまりヘビーなケースでは無いですがこの当時インビザラインがまだこの世になかった時代の患者様でマルチループワイヤーを使用して治療致しました。
今なら典型的なインビザラインケースですね!

