

お悩み
右の八重歯が気になる。
年齢
22歳
性別
女性
治療に用いた装置
インビザライン
治療期間
1年4ヵ月
治療にかかった費用
治療詳細

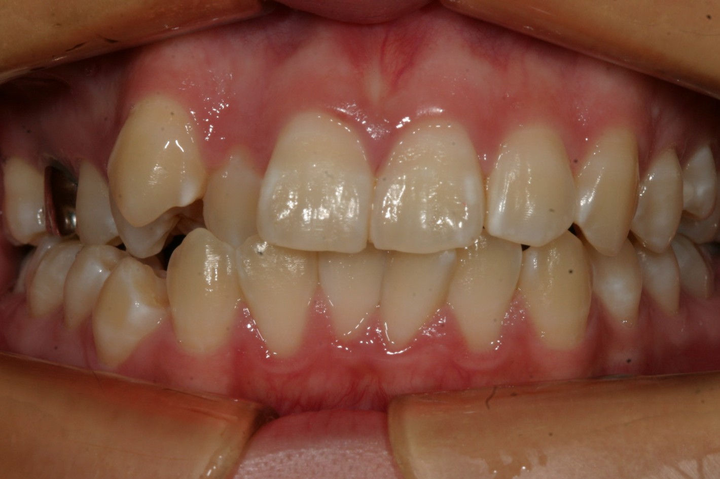
右の八重歯が飛び出してるのが気になりますね~

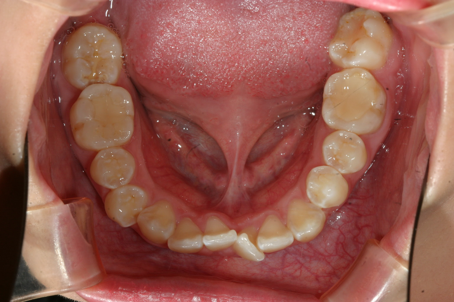
下の前歯もガタガタです。

側面観もガタガタしています。

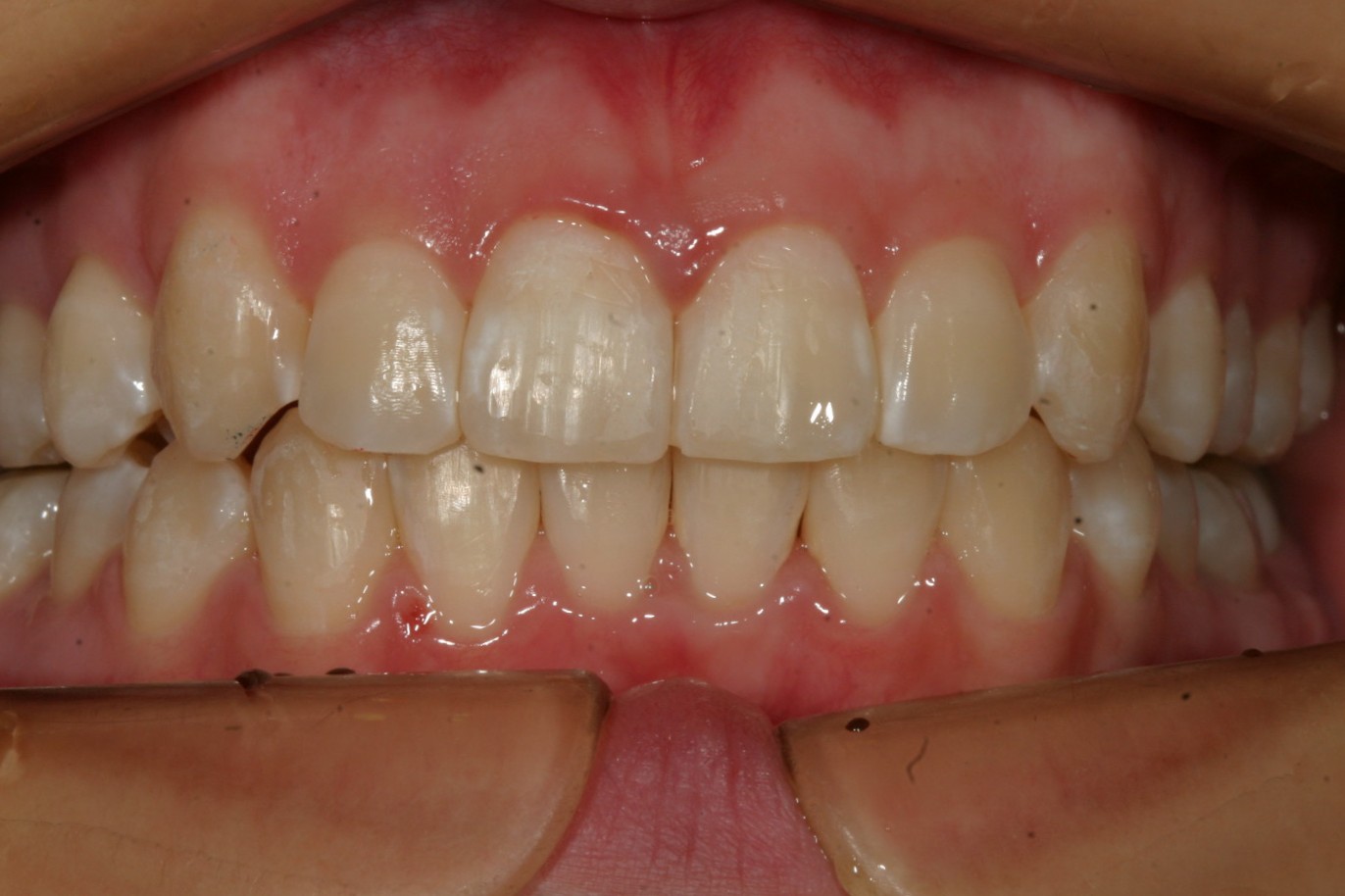
抜歯無しでここまで改善致しました。

下顎のガタガタも綺麗になりました。

最高の側面観です。
当院からのコメント
このケースは非抜歯で犬歯の唇側転移を改善致しました。
下顎も結構ガタガタしてましたが患者様の熱心な頑張りで僅か1年4カ月でこの様に綺麗に改善しました。
インビザラインは上手く治らないとおっしゃる患者様も居られるようですが患者様の頑張り次第でここまで改善できると言う証明です。
当院で過去17年間で7700症例近くインビザラインで治療行いましたが97%の患者様でいい結果を出して頂いています。

