

お悩み
受け口を改善したい。
年齢
17歳
性別
男性
治療に用いた装置
マルチループワイヤー
治療期間
1年6ヵ月
治療にかかった費用
治療詳細

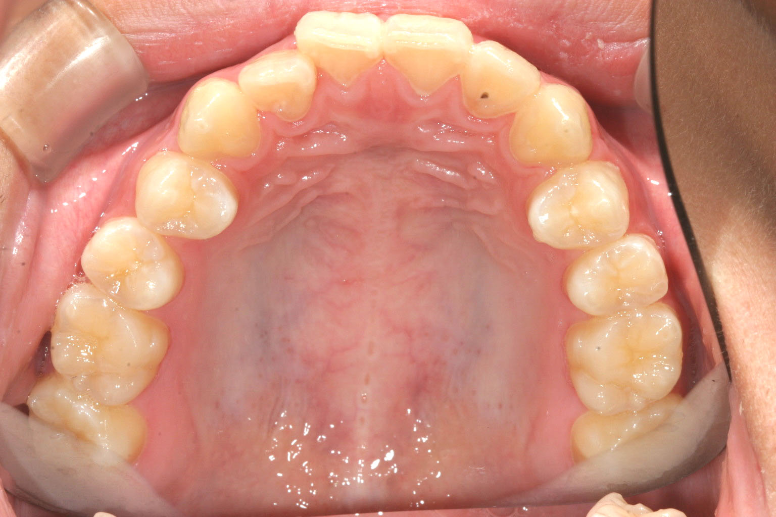
歯列はさほど乱れてませんが少し前歯が出ています。

歯列に問題は無さそうです。

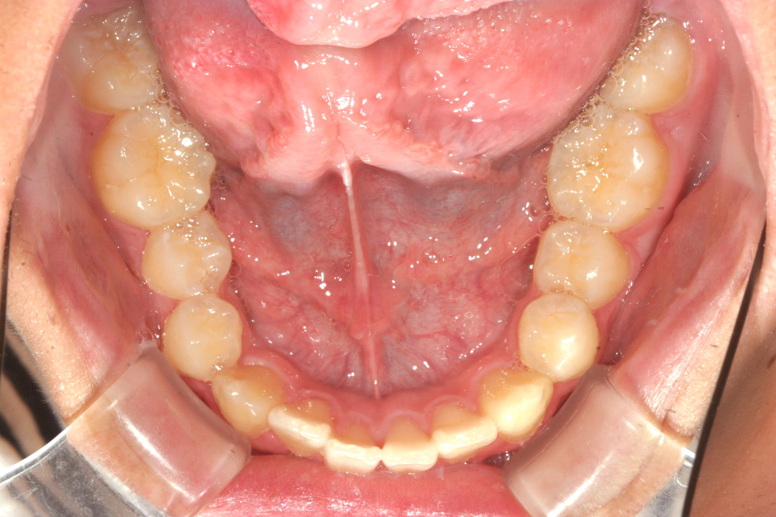
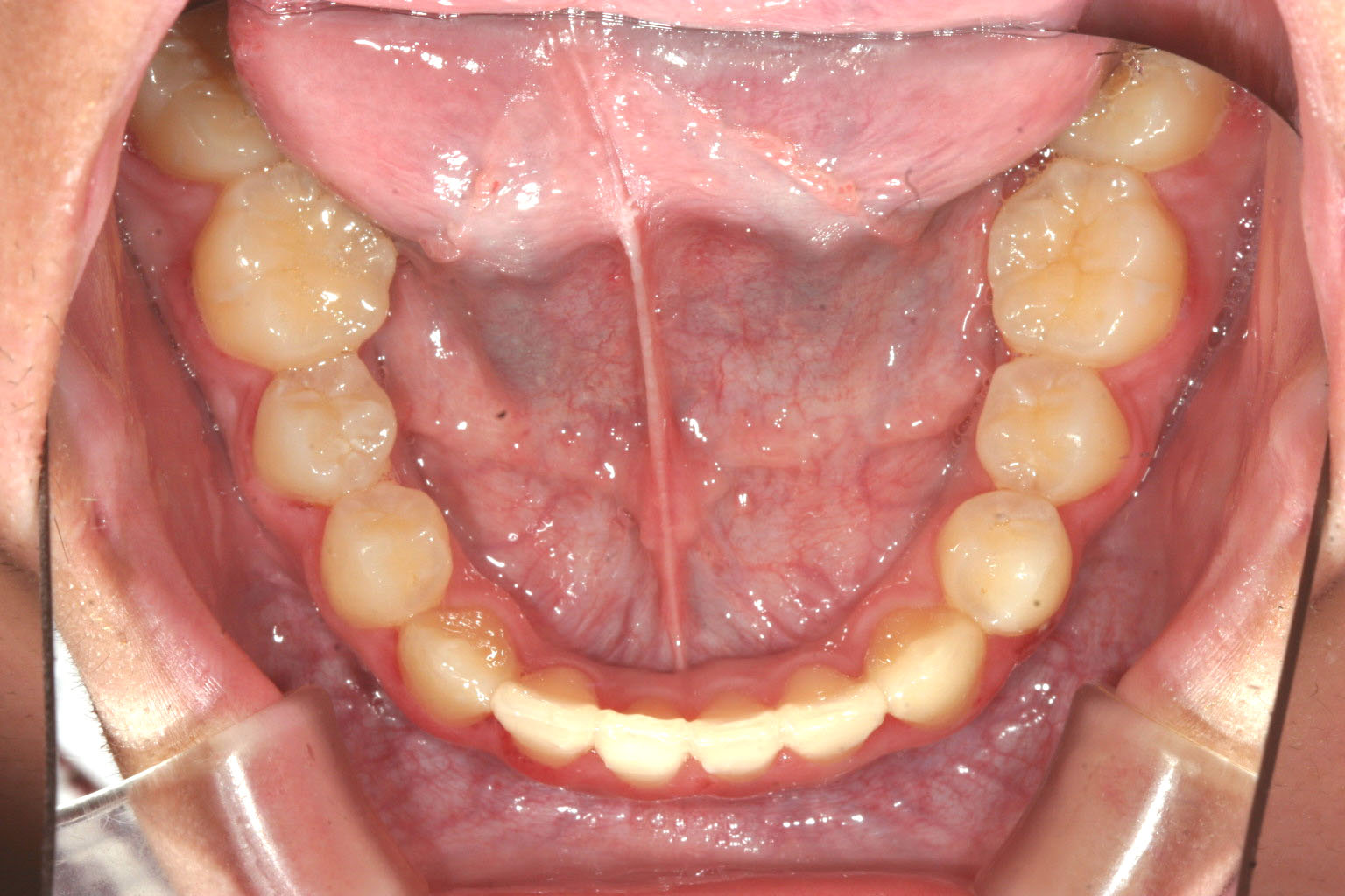
前歯が切端咬合です。

綺麗に並びました。

少しアーチが広がりました。

少し被蓋が出来受け口が改善致しました。
当院からのコメント
こちらのケースは受け口の改善でお越しになりました。
受け口、開咬と言えば当医院ではマルチループワイヤーを使用いたします。
何故かと言いますと咬合平面を顕著に変化させる必要が有るからです。
これを説明し出すとこの枠では収まらないため今回は省かせて頂きます。
当医院では受け口、開咬を得意としてますのでお悩みでしたら、先ずは相談だけでもお気軽にお越し下さい。

