

お悩み
前歯のガタガタが特に八重歯が気になる。
年齢
25歳
性別
女性
治療に用いた装置
マルチループワイヤー
治療期間
6ヵ月
治療にかかった費用
治療詳細

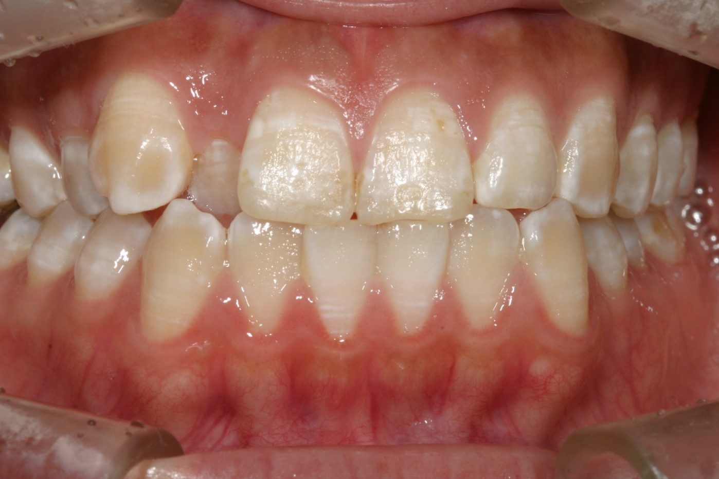
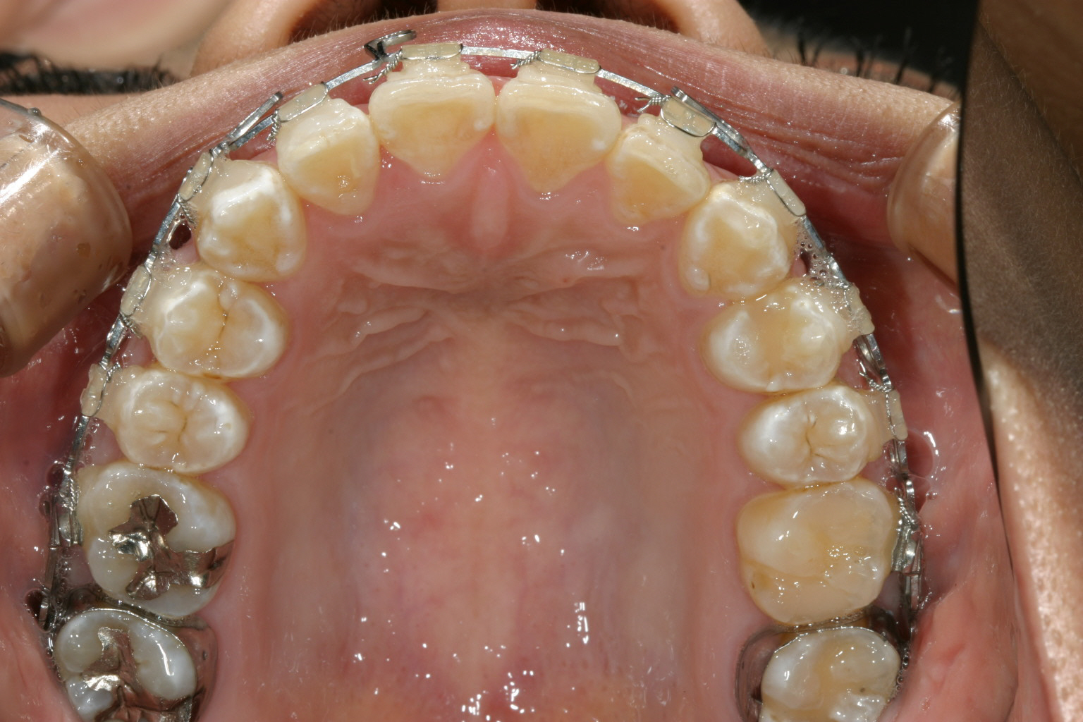
右上の犬歯が飛び出しているのが気になります。

下顎前歯が翼状捻転しています。

オーバージェットが少なく切端咬合になっています。

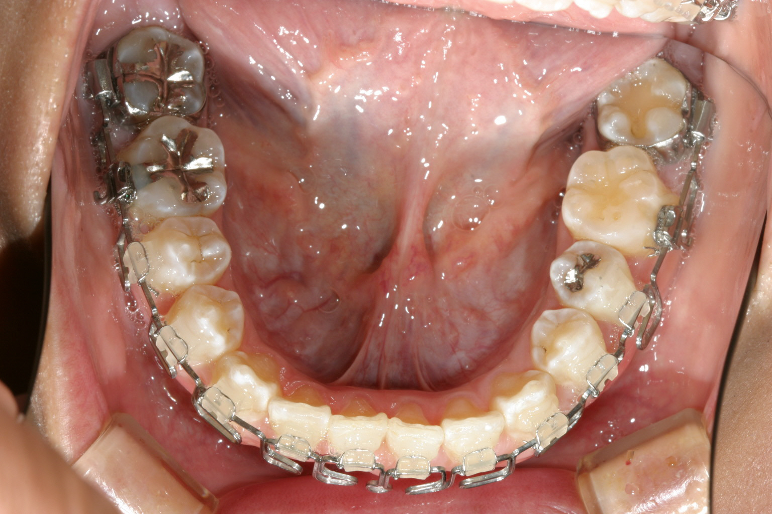
マルチループワイヤー使用で3ヵ月です。 もう殆ど犬歯の飛び出し改善してます。

下顎もマルチループワイヤーしています。

前から見るとこんな感じです。 ちょっと見栄え悪すぎですかね~

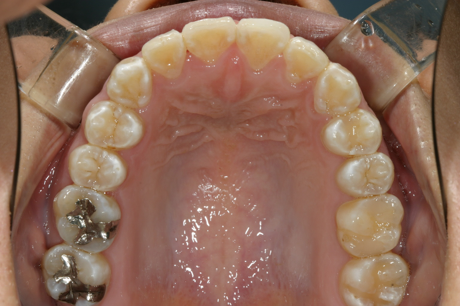
僅か半年でこんなに綺麗に改善しました。

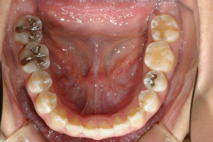
下顎もバッチリ改善しています・

オーバージェットも出来ています。
当院からのコメント
この患者さんは知り合いの方でどんな方法を使ってでもとにかく早く終わりたいと言う希望が有りましたので見栄えは悪いのは承知でマルチループワイヤー矯正を選択致しました。
この方法は確かに見栄えは悪いですが、個々の歯にループが付いている為、歯に対しては柔らかい力がかかり歯にやさしく、又ループにより個々の歯が独立している為ワイヤーが最初から歯のブラケットにキッチリとはいるので無駄な時間が省け期間を短縮できると言うメリットが有るのです。
マスクしてれば口元も見られない世の中ですから、僅か半年で歯並びが改善できるならやってみようと思いませんか?

