

お悩み
右上の八重歯が気になる。
年齢
26
性別
女性
治療に用いた装置
インビザライン+リンガルアーチ+マルチループワイヤー
治療期間
1年8ヵ月
治療にかかった費用
治療詳細

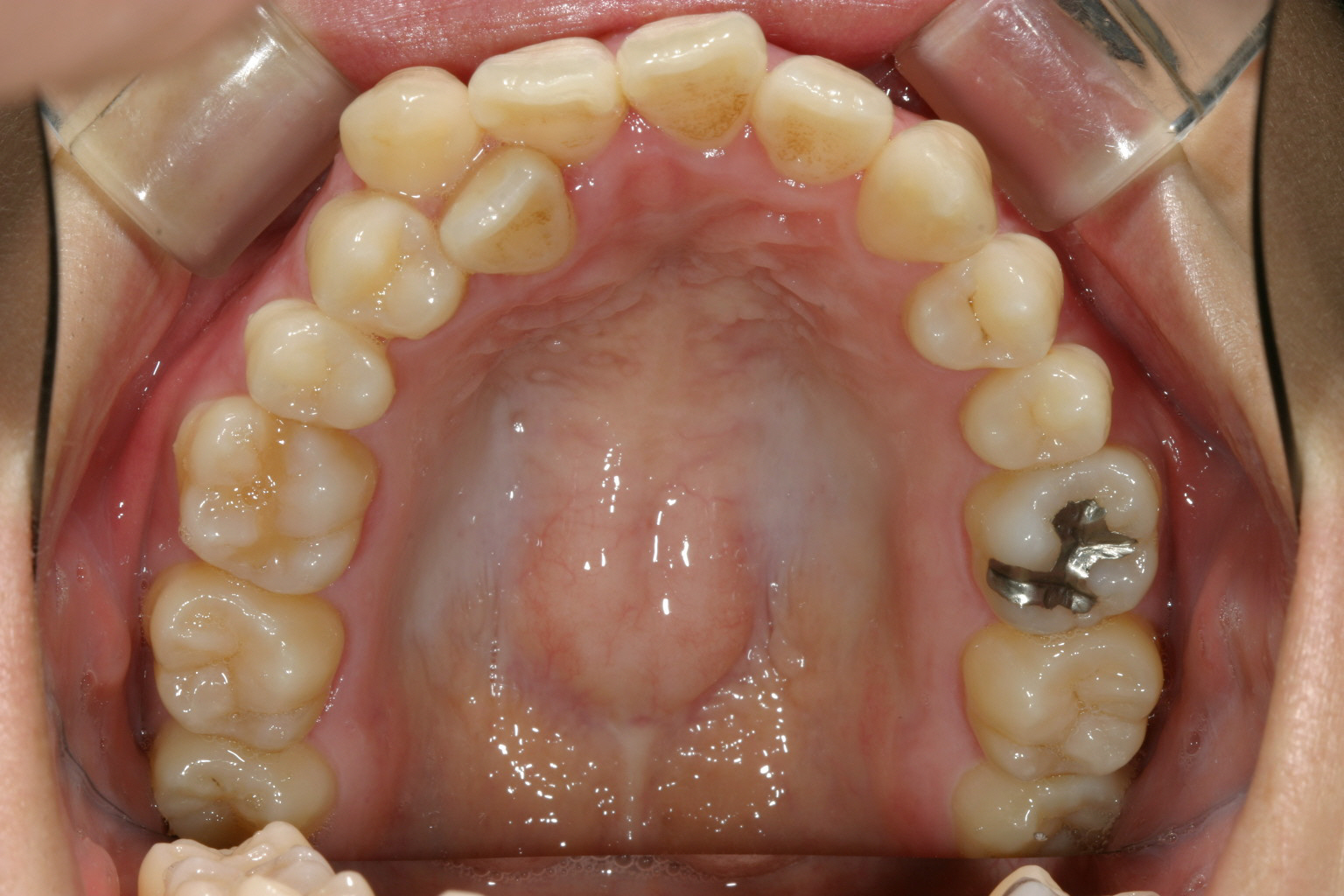
右上の犬歯が完全にはじき出されてます。 こういった場合右上の犬歯の後ろの小臼歯を抜歯してそのスペースに 犬歯を入れようと思います。

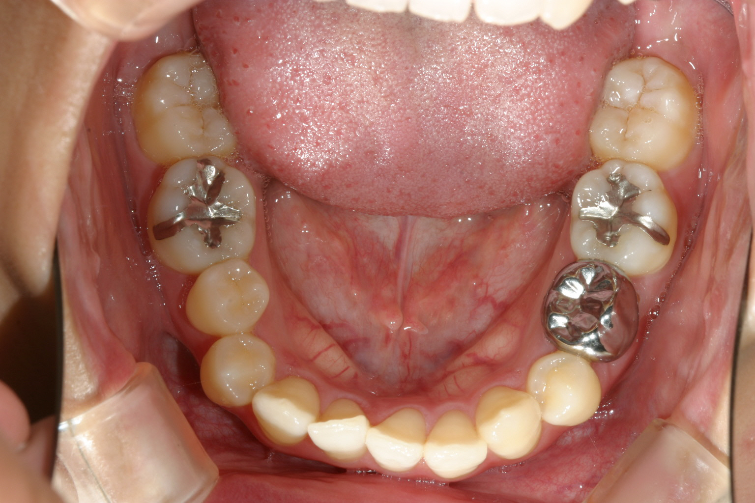
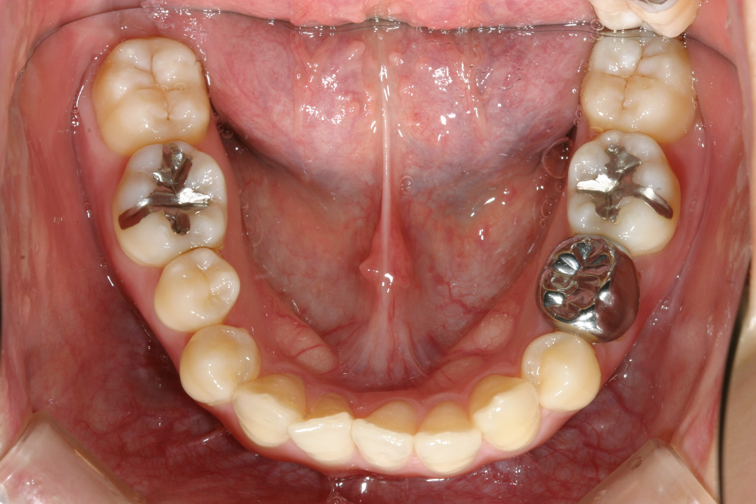
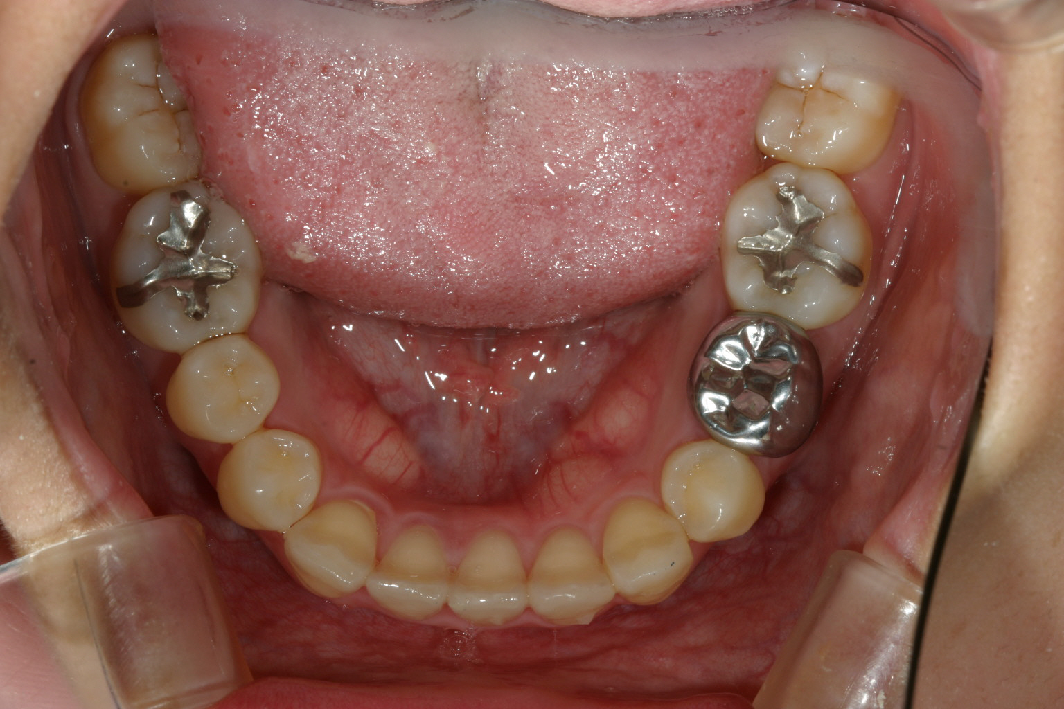
下顎はさほど乱れは感じません。

こんな感じです。

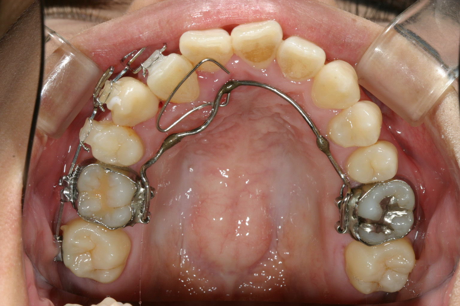
内側からリンガルアーチで前に押し外側からマルチループワイヤーで引っ張り整列です。

インビザラインにてさほど問題なく治療を行います。

マルチループワイヤーを使用してます。

綺麗に犬歯がアーチに乗りました。

下顎も多少のバラつきが有りましたが難なく改善しました。

犬歯も綺麗に治まってます。
当院からのコメント
今回の症例は犬歯の唇側転移を小臼歯抜歯する事によりアーチ上に戻した症例です。
内側からはリンガルアーチで外に押し出し、外側からはマルチループワイヤーにて引っ張り出すと同時に整列させる方法を取りました。
それと併用してインビザラインのマウスピースをワイヤーのブラケットが付いているところを切り抜いて全体的な矯正を行うために使用してます。
この3つの装置を同時進行させる事により治療期間を最大限に短縮しました。
こちらの症例はインビザラインを初めて初期の頃の症例ですが、今なら加速矯正装置って物が有りますからもっと期間を短縮することが出来ます。

