

お悩み
歯が前に出て真ん中がすいているのが気になる。
年齢
26歳
性別
女性
治療に用いた装置
インビザライン+自家製バイトアップジグ
治療期間
1年2ヵ月
治療にかかった費用
治療詳細

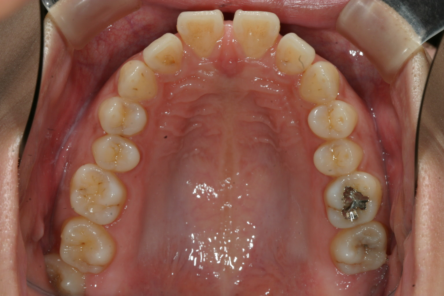
ここまで出てると本人的に気になりますね~ 真ん中もすきっぱですから。

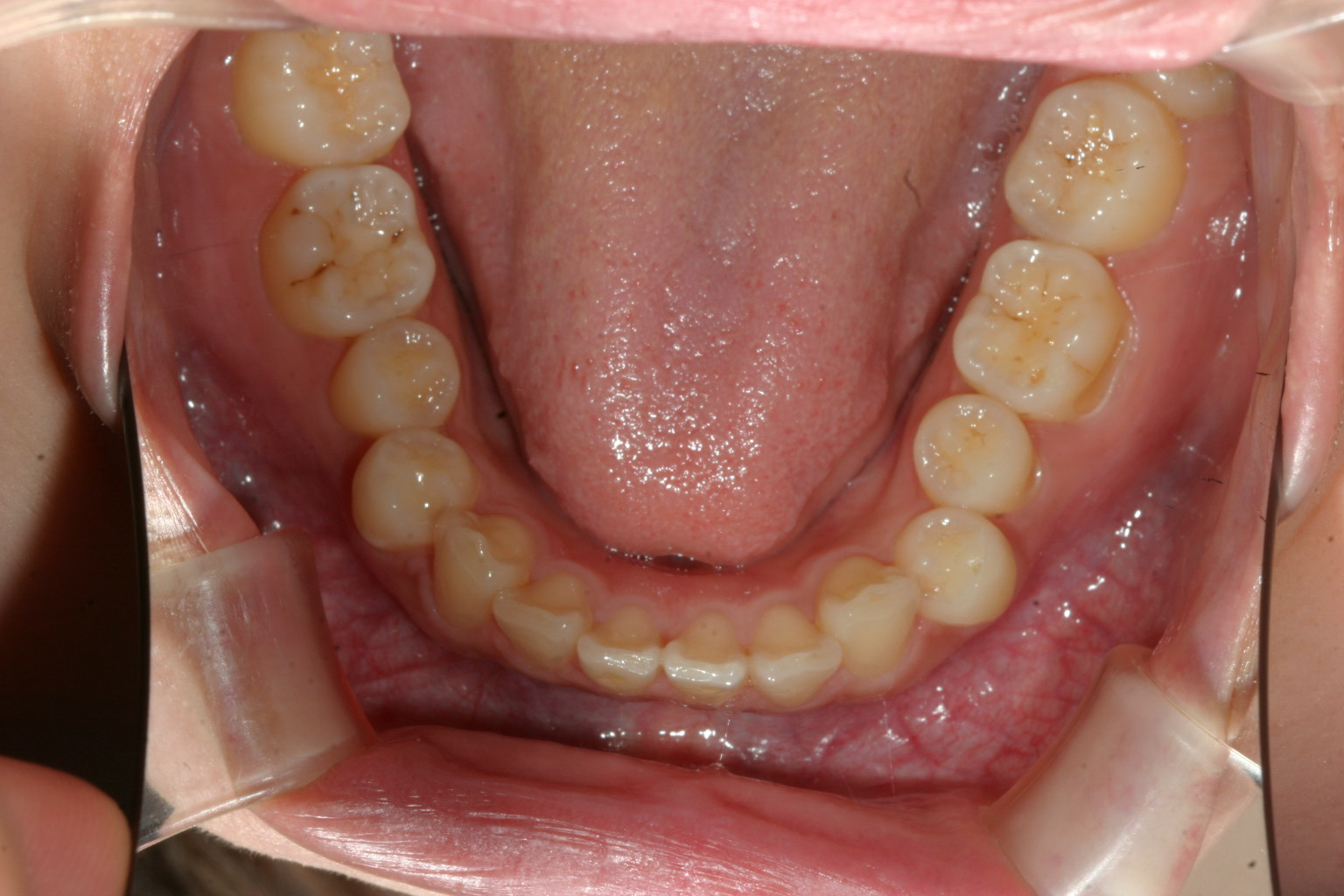
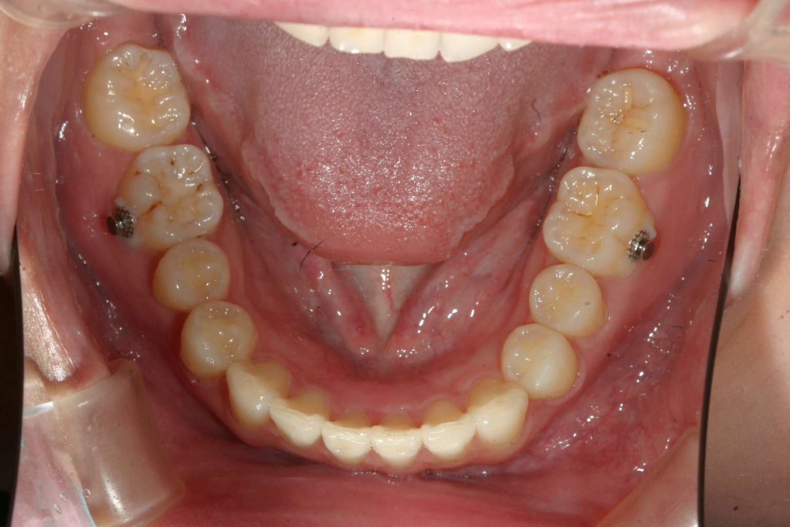
下顎は綺麗な歯並びですね~

咬み合わせが深い為に前歯の歯茎を咬みこんでいる為前歯が前に出て隙間があいているという状態です。

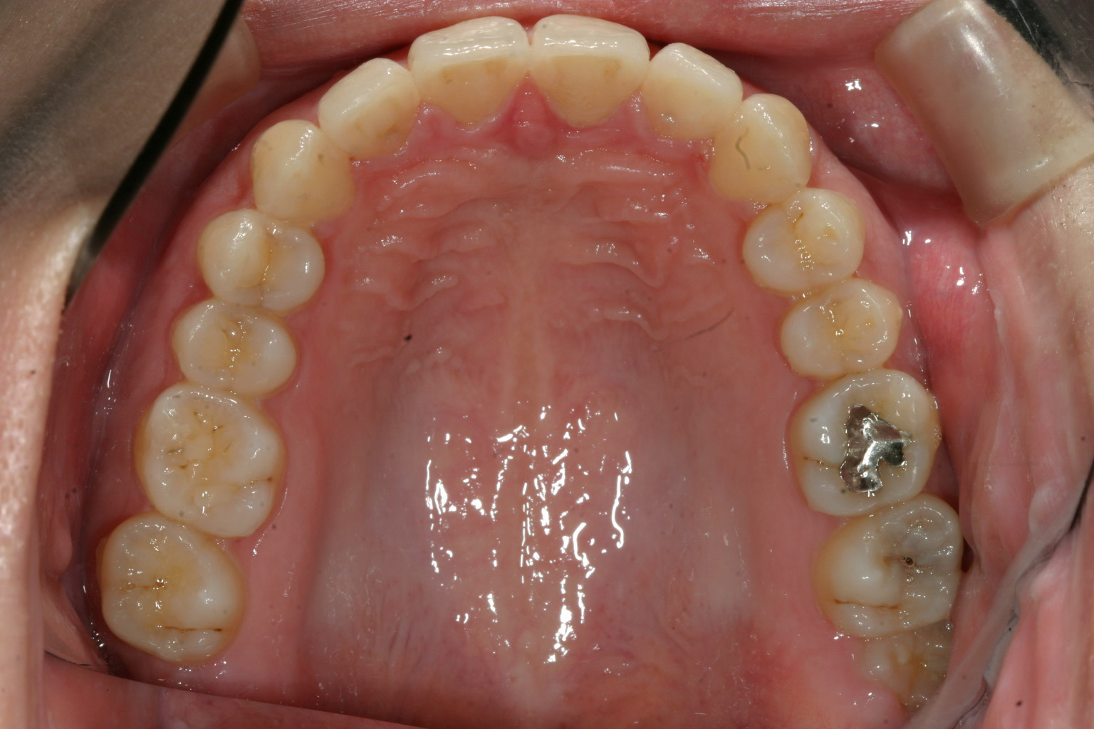
インビザラインで綺麗に治しました。

下顎は元からそんなに乱れてませんから治療前とさほど変わりません。

僅か1年2ヵ月で抜歯もせずここまで治りました。 如何でしょうか?

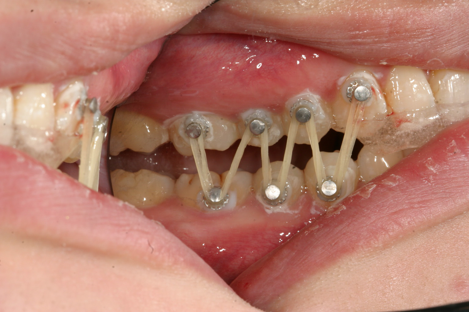
前歯部に自家製のジグ咬ませて左側にアップダウンエラスティックを使用してます。

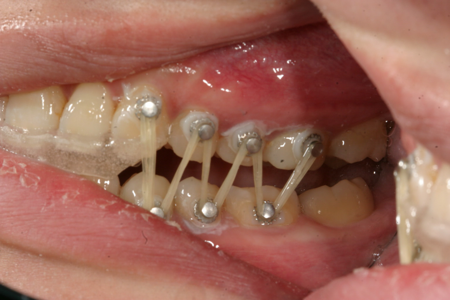
前歯部に自家製のジグ咬ませて右側にアップダウンエラスティックを使用してます。
当院からのコメント
このケースは臼歯部の歯が低い為に下顎が後ろに下がり、出っ歯 すきっ歯を生じています。この様な症例には顎関節症が付き物です。
通常矯正だけしかされてない歯科では当たり前のように上顎の小臼歯を抜歯して治療しようとします。しかしこういったケースで抜歯すると余計に手間と時間を費やすだけで、いい結果に終わりません。
当医院では出来るだけ抜歯を避けて治療する事を優先に考え日夜励んでいます。
他院で抜歯と言われたが抜かないで治療したいとお考えの患者様がおられましたら抜歯するまでに一度当医院に御相談にお越しください。

