

お悩み
前歯のガチャガチャを何とかしたい。
年齢
28
性別
女性
治療に用いた装置
インビザライン
治療期間
2年10か月
治療にかかった費用
治療詳細

前歯がかなり突出しています。

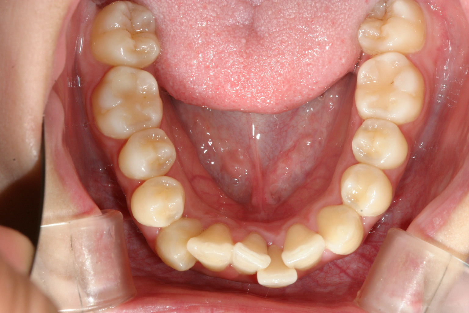
下顎の前歯もかなりのガタガタ度です。

オーバージェット感はさほどでもなく少し切端が開いてます。

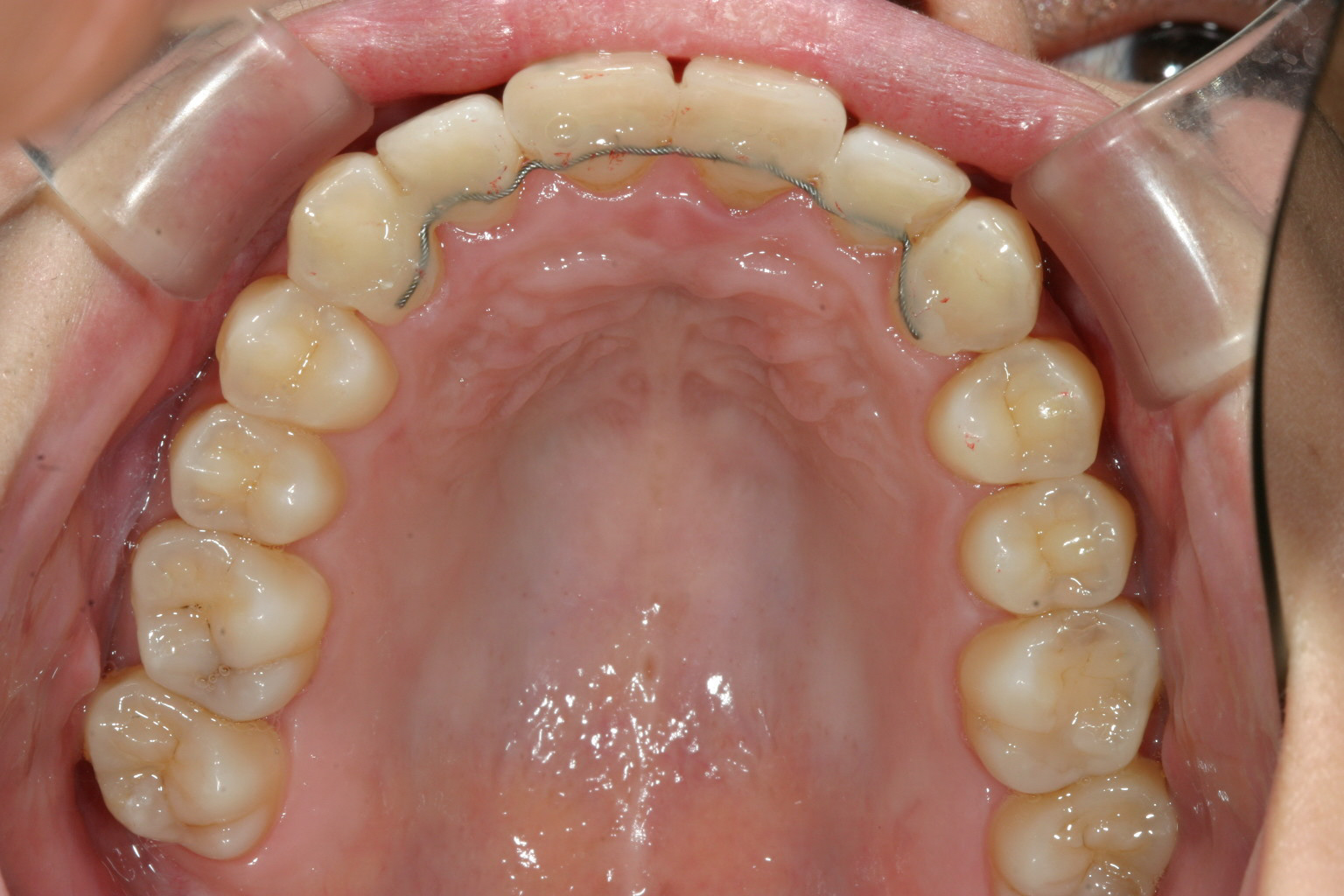
見違える程綺麗に並びましたね~

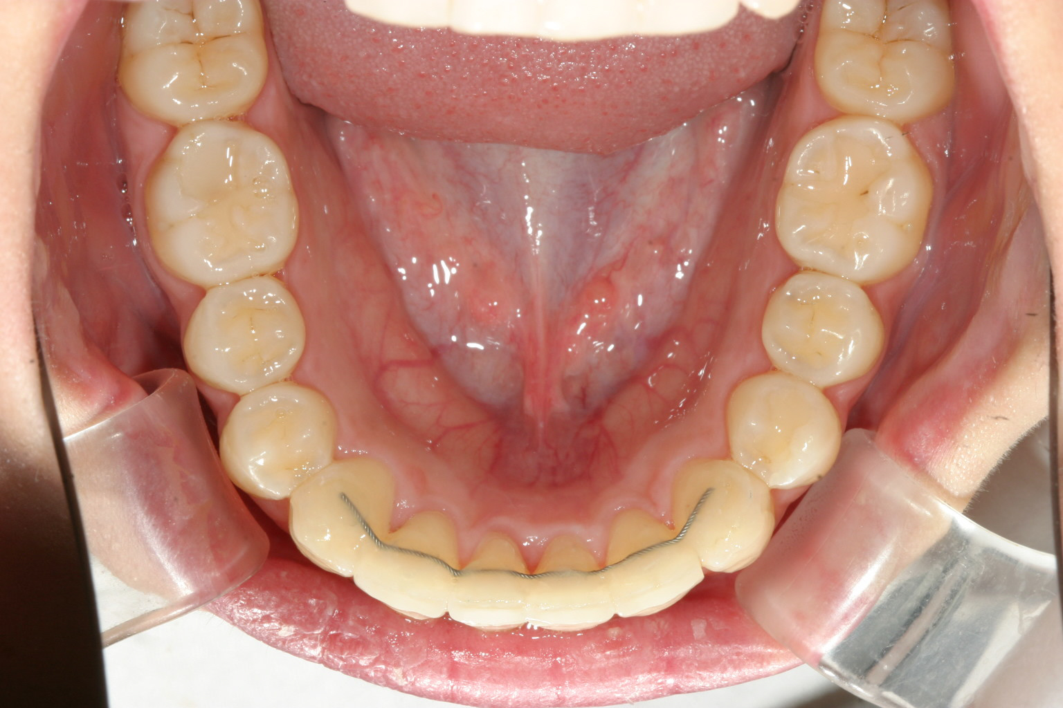
下顎も凄い綺麗です。

横からの眺めもオーバーバイトよし、上下前歯の被蓋関係も最高です。
当院からのコメント
治療前の状態ご覧ください。
かなり前歯ガタガタしてますね~
この様な状態でしたが患者様が一生懸命インビザラインを噛んで頂いたお陰で一本の歯を抜く事も無くここまで綺麗に改善する事が出来ました。
これもひとえに患者様の努力とデジタル矯正装置であるインビザラインを使用した結果です。
少し説明させて頂きますとコンピューターにて治療後の予測を立てIPRと言う方法にて何処の歯にどれだけの隙間を開ければどのような歯並びになると言う事が前もって予測する事が出来るのです。

