

お悩み
前歯がねじれて出っ張り下唇にあたり唇に傷が出来る
年齢
22歳
性別
女性
治療に用いた装置
インビザライン
治療期間
1年5か月
治療にかかった費用
治療詳細

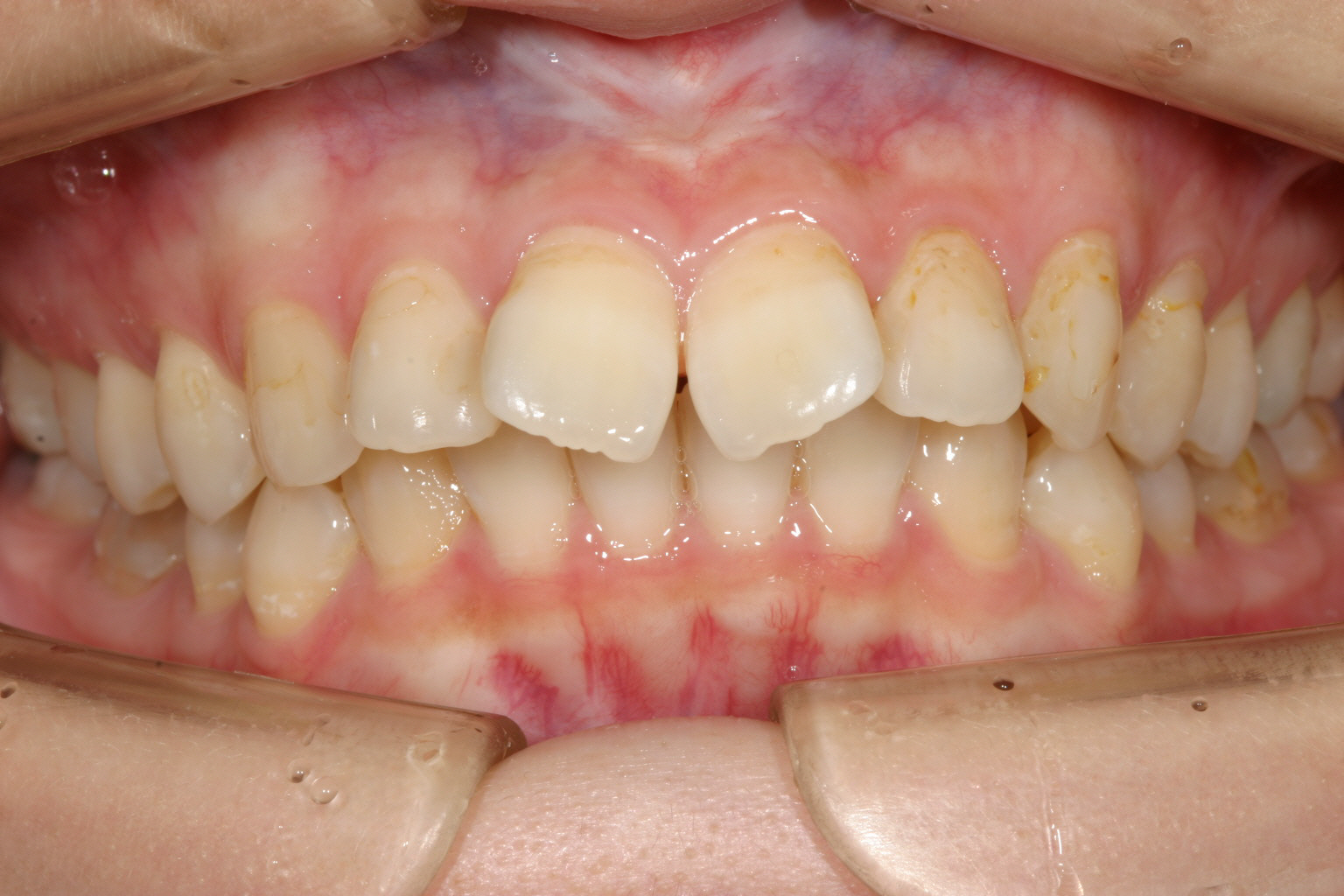
前歯かなり捻転してますね~

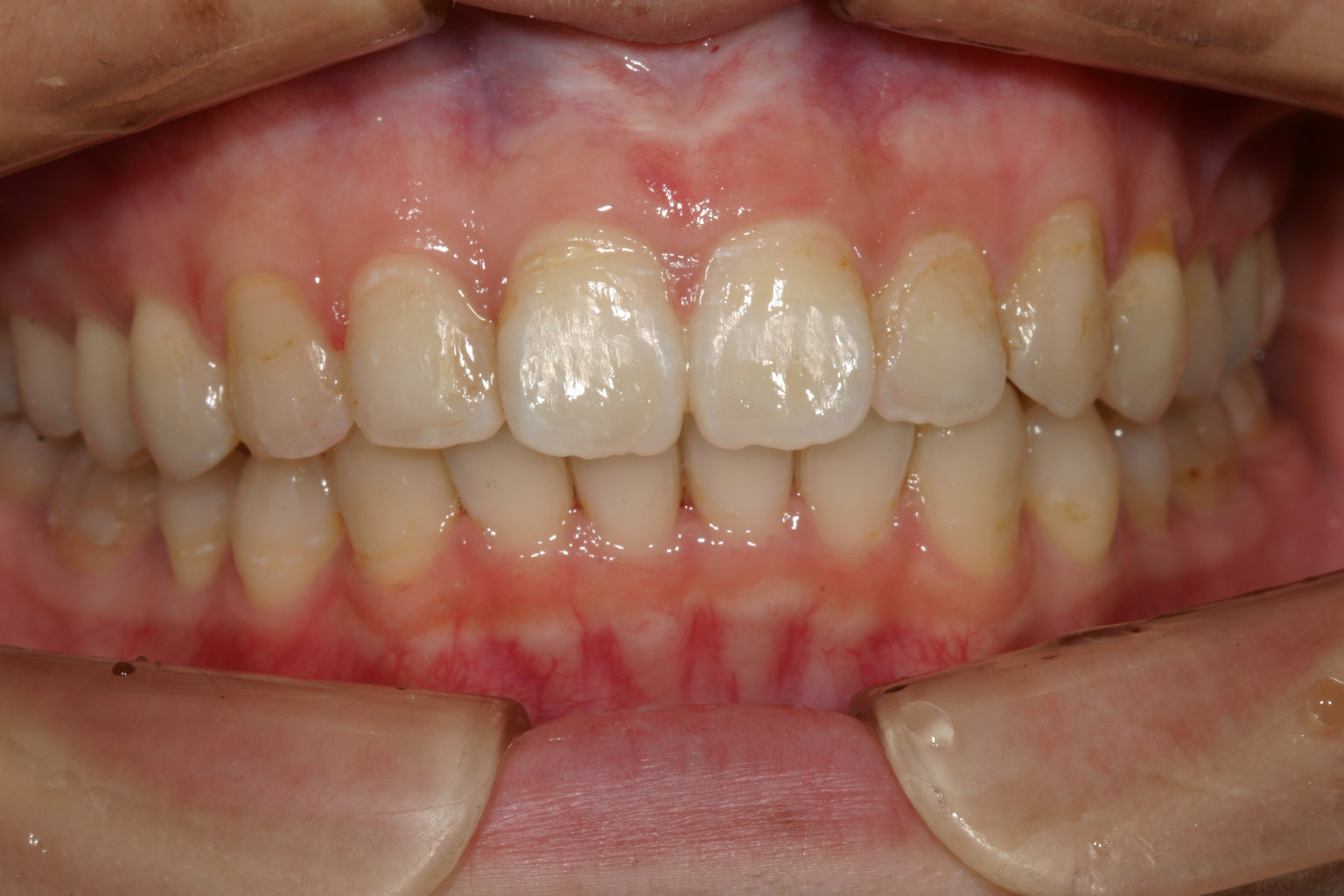
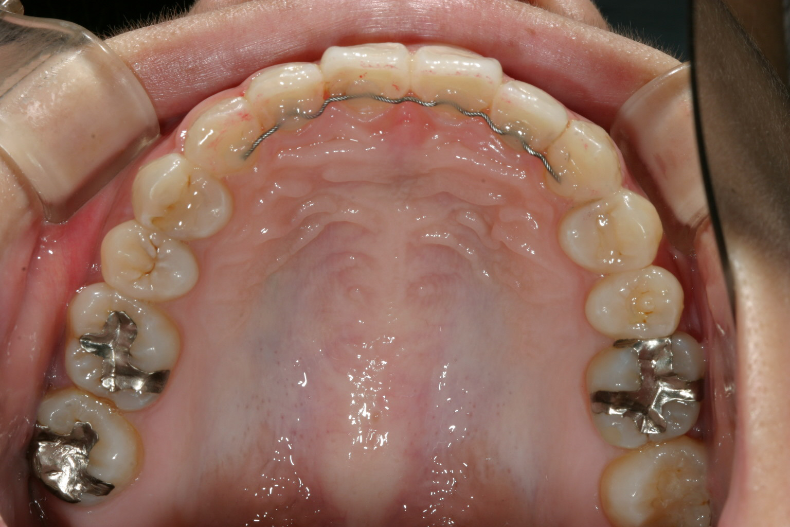
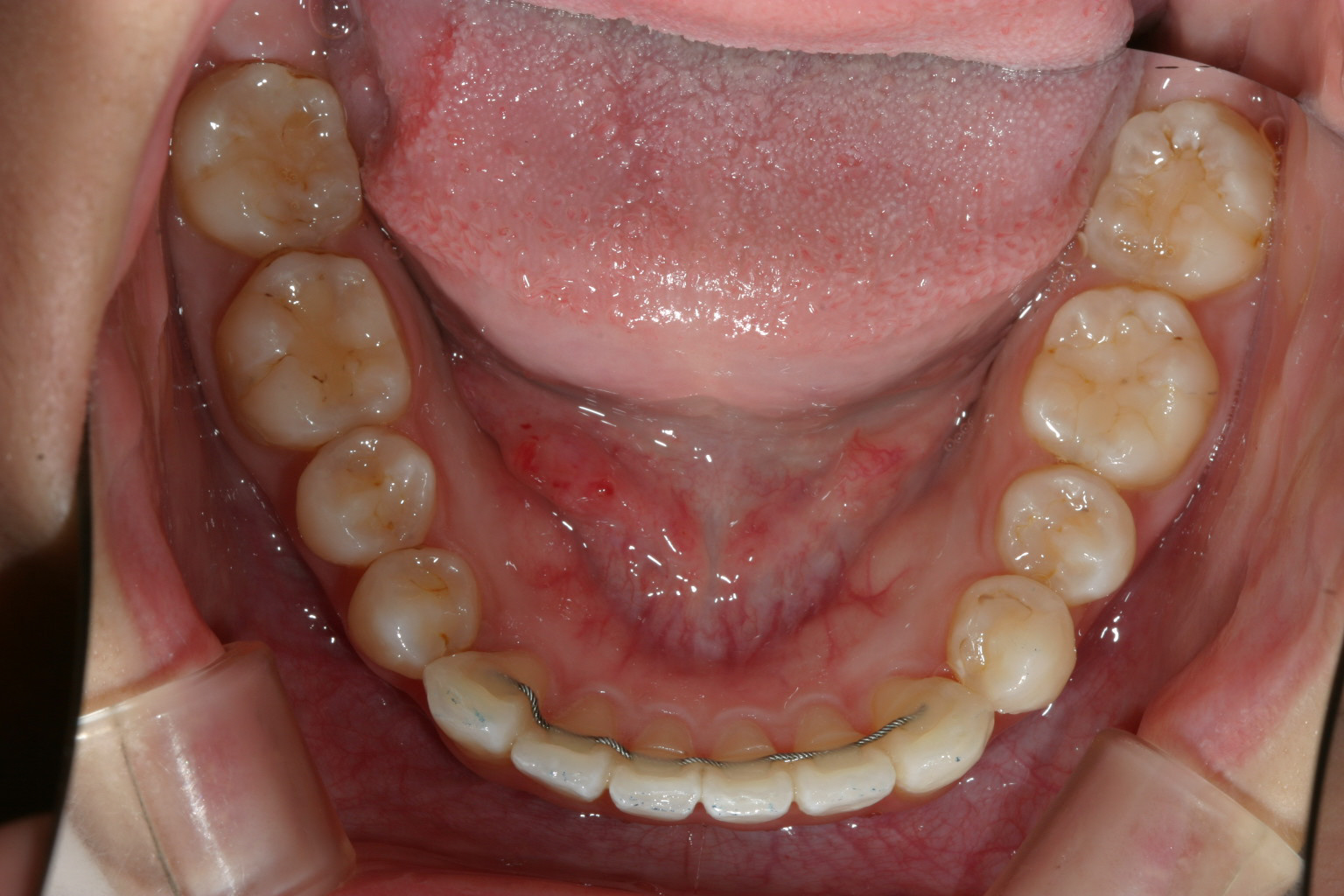
下の歯並びは矯正治療終わったかのように綺麗ですね~

凄いでっぱです。 特に歯が捻転してますから余計に出っ歯感が増します。

一生懸命インビザライン頑張って頂いたお陰で綺麗に改善致しました。

下顎は元々綺麗ですからあまり変化は無いです。

凄く綺麗に改善しました。 これは100点満点です。
当院からのコメント
大変綺麗に改善しました翼状捻転症例です。
患者様がインビザラインにどれだけ時間をかけて向き合うかによってこれだけ改善するといういい症例です。
インビザラインと言う装置は患者様自身が自分で治療して頂く装置ですから、一生懸命向き合ってもらわないとここまで到達しません。
改善のコツは2つ、決められた時間を守って装着する、もう一つはチューイを朝昼晩10分ずつしっかり噛む、これだけです。
この様な翼状捻転症状でお悩みでしたらいつでも遠慮無く当院にご相談下さい。

