

お悩み
出っ歯と前歯のねじれが気になる。
年齢
34歳
性別
女性
治療に用いた装置
インビザライン
治療期間
1年8か月
治療にかかった費用
治療詳細

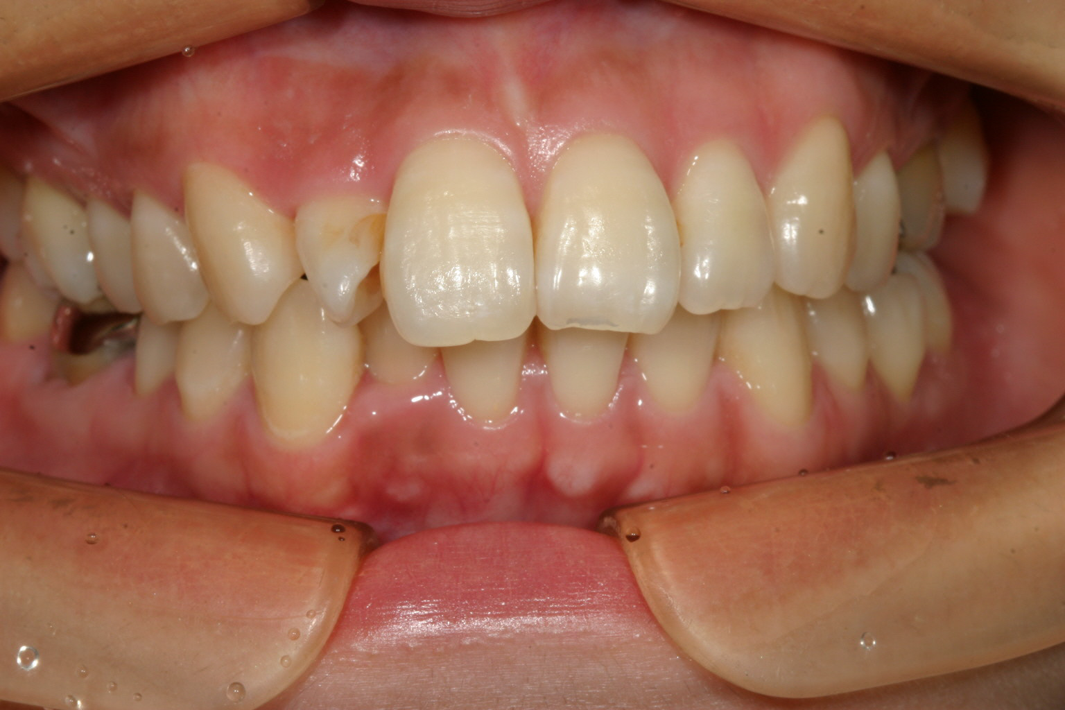
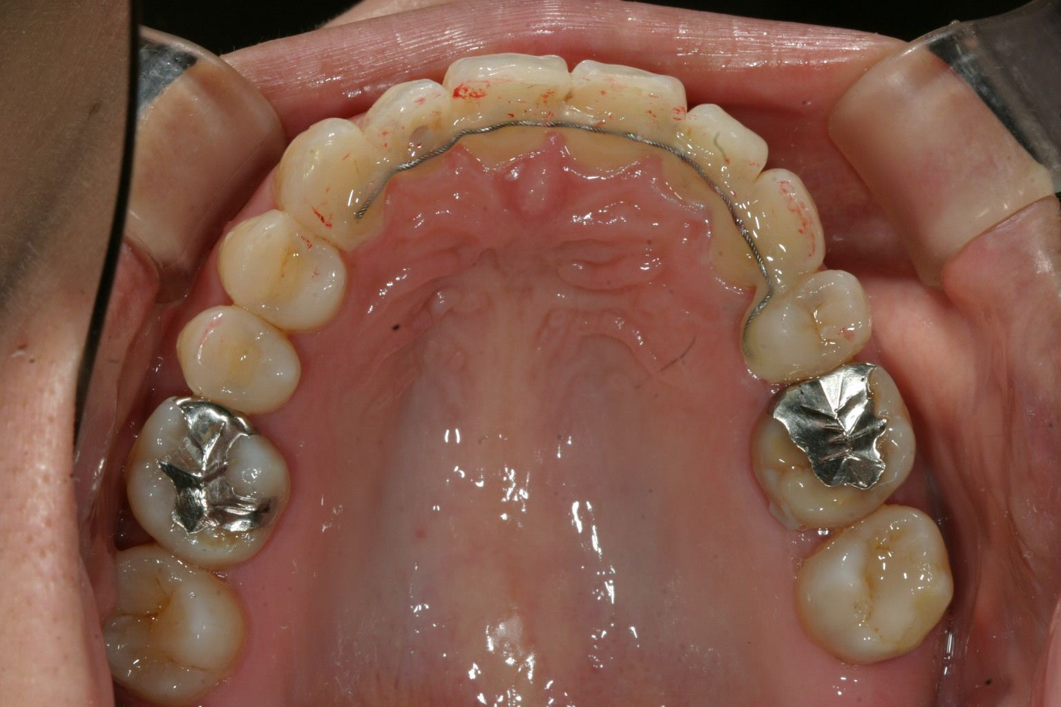
アーチフォームは綺麗ですが右上の2番目がちょっと横向いてます。

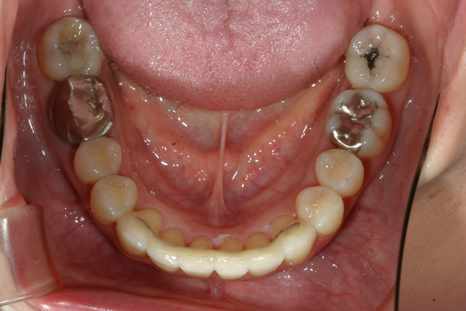
下顎の右下の2番目が少し中に入ってます。

少し出っ歯観が気になりますね~

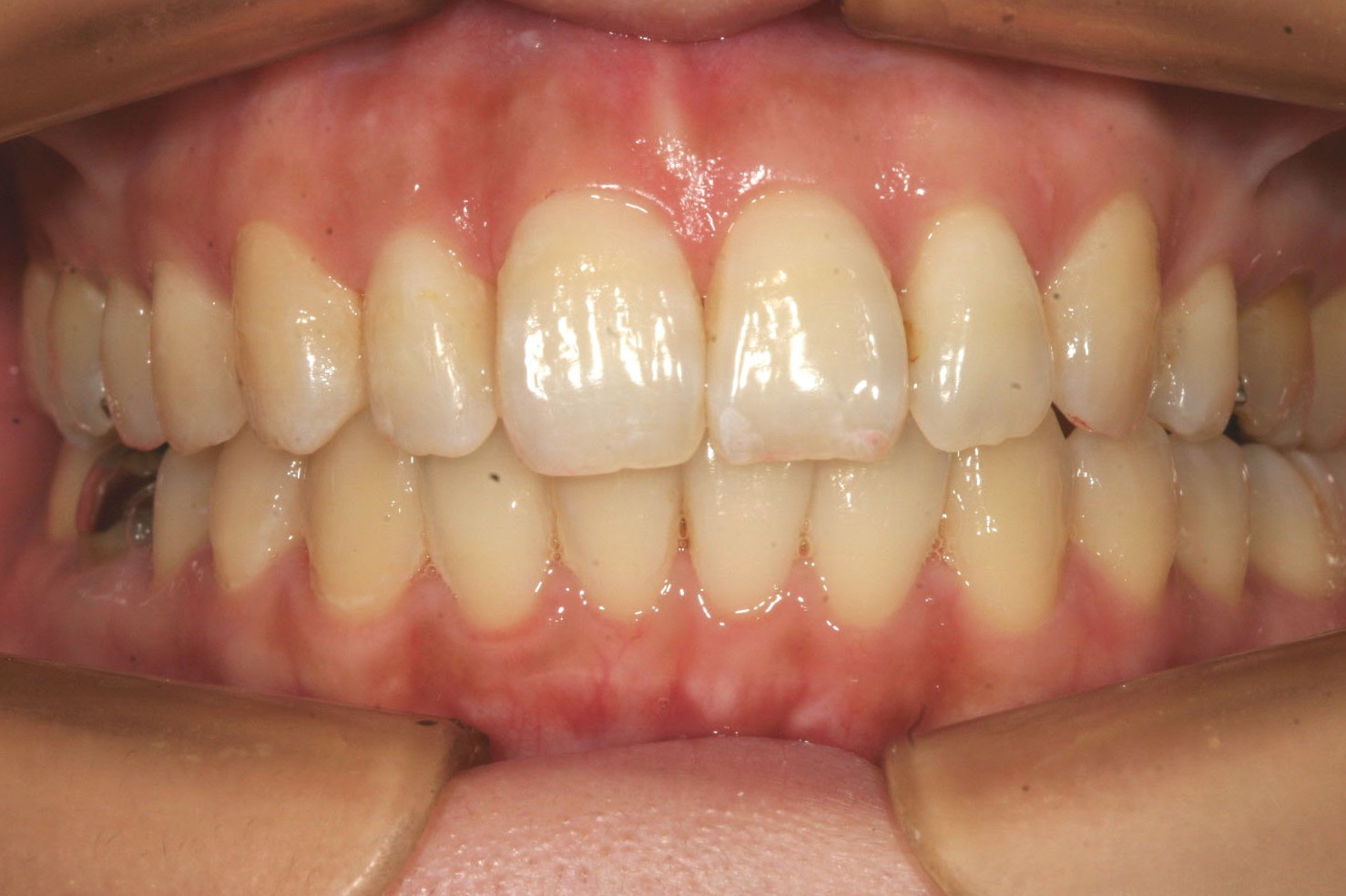
出っ歯観改善の為、左の小臼歯1本だけ抜歯して頂きました。

下顎のアーチは綺麗に並びました。

出っ歯観は完璧です。

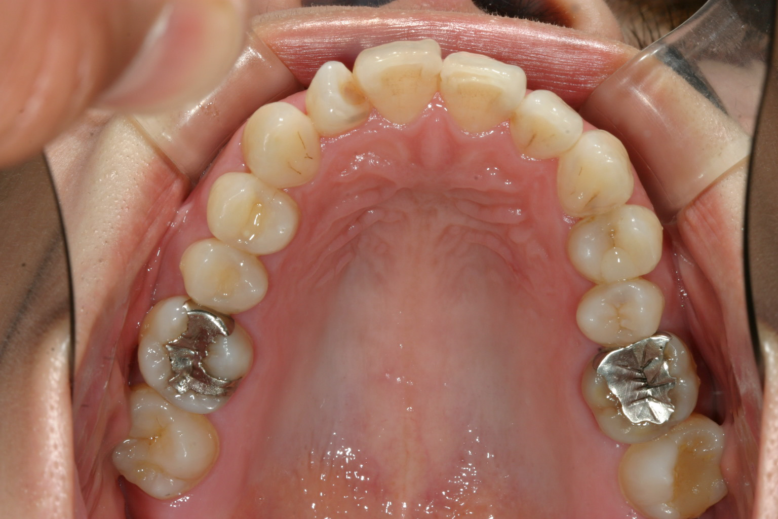
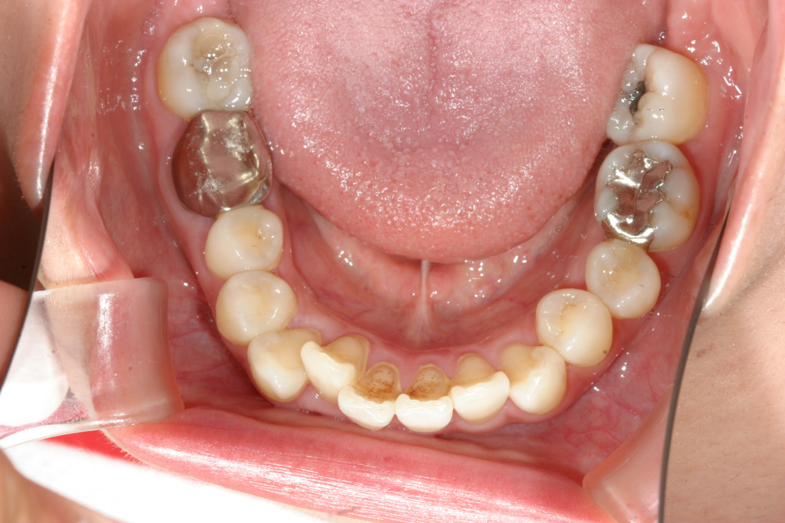
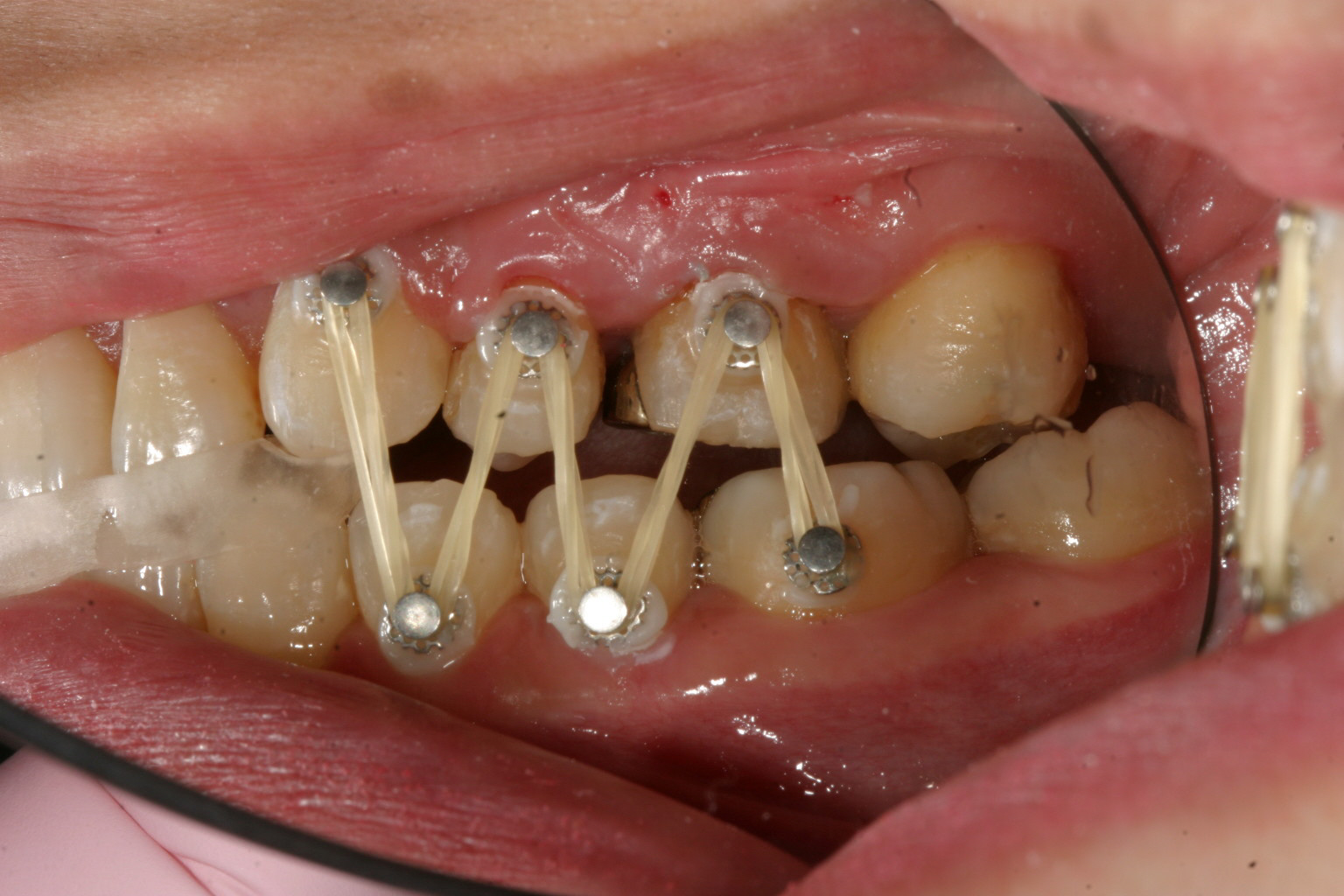
臼歯部離開の為前歯に自家製咬合閉鎖ジグを前歯に咬まして臼歯部にボタン付けてアップダウンエラスティック使用。

臼歯部離開の為前歯に自家製咬合閉鎖ジグを前歯に咬まして臼歯部にボタン付けてアップダウンエラスティック使用。
当院からのコメント
今回は出っ歯観改善の為、左側上顎小臼歯を1本だけ抜歯しました。
あとは上顎の歯のねじれ改善、下顎の舌側転移も難なく出っ歯も改善しました。
リテーナーとして裏側からワイヤーで留めています。
この様な症状でお悩みでしたらいつでも遠慮無く当院にご相談下さい。

