

お悩み
顎が右にズレて右の耳の下がカクカク鳴る。
年齢
49歳
性別
女性
治療に用いた装置
マルチループワイヤー+下顎左右臼歯部8本冠入れ替え
治療期間
1年2か月
治療にかかった費用
治療詳細

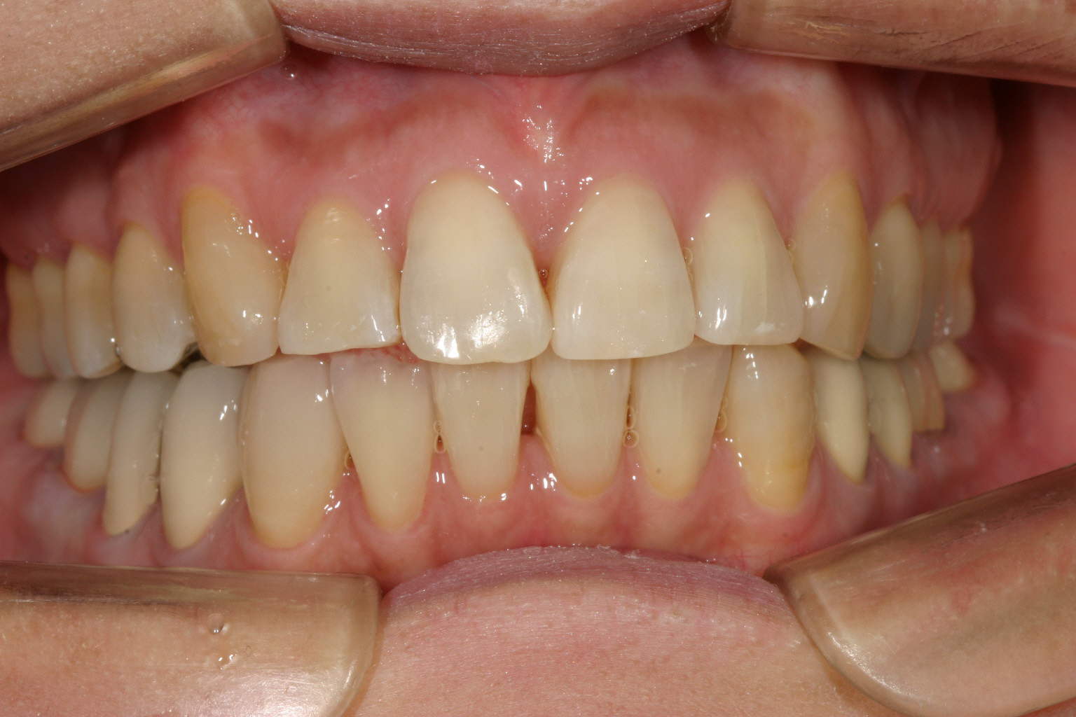
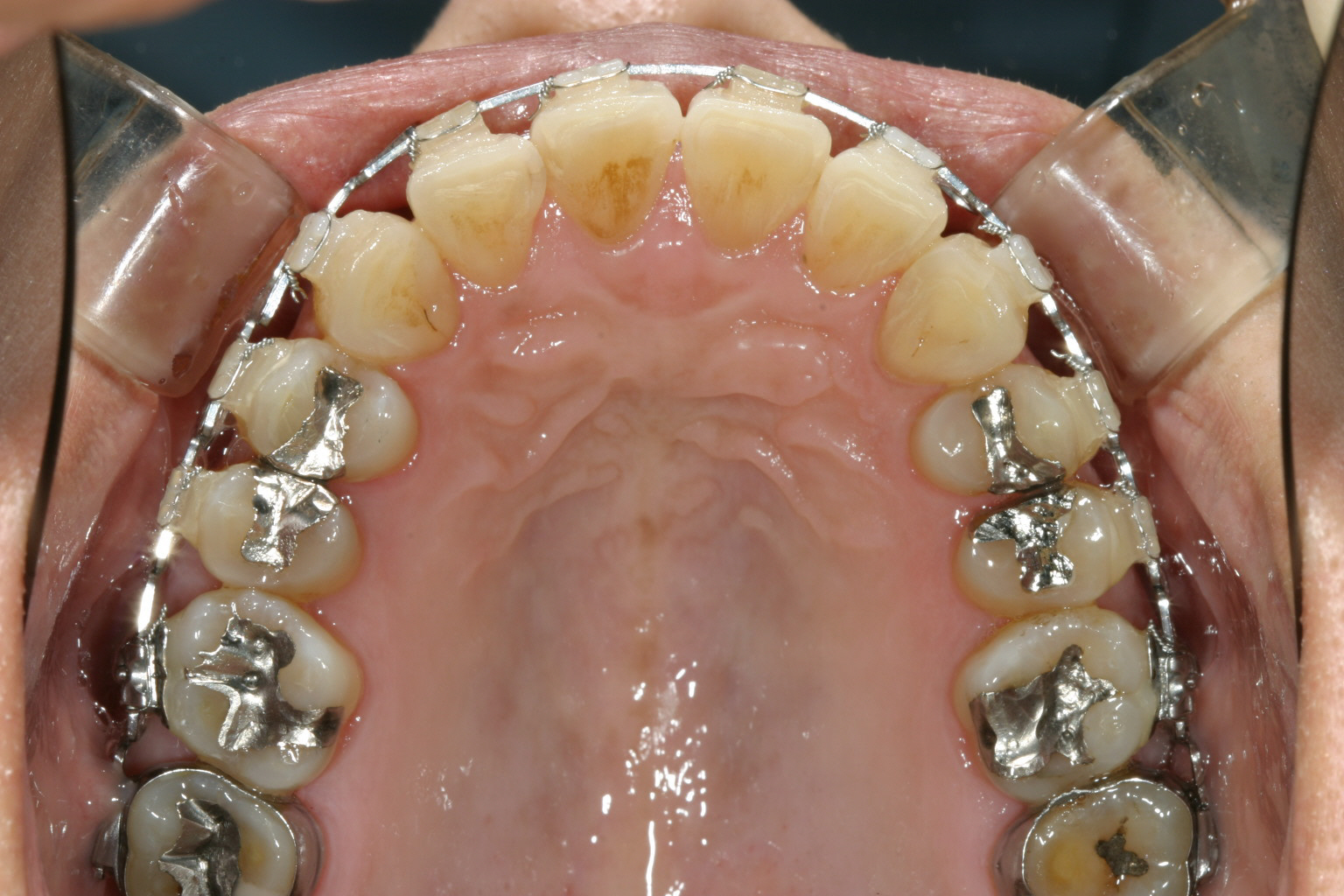
上顎にはさほど乱れを認められません。

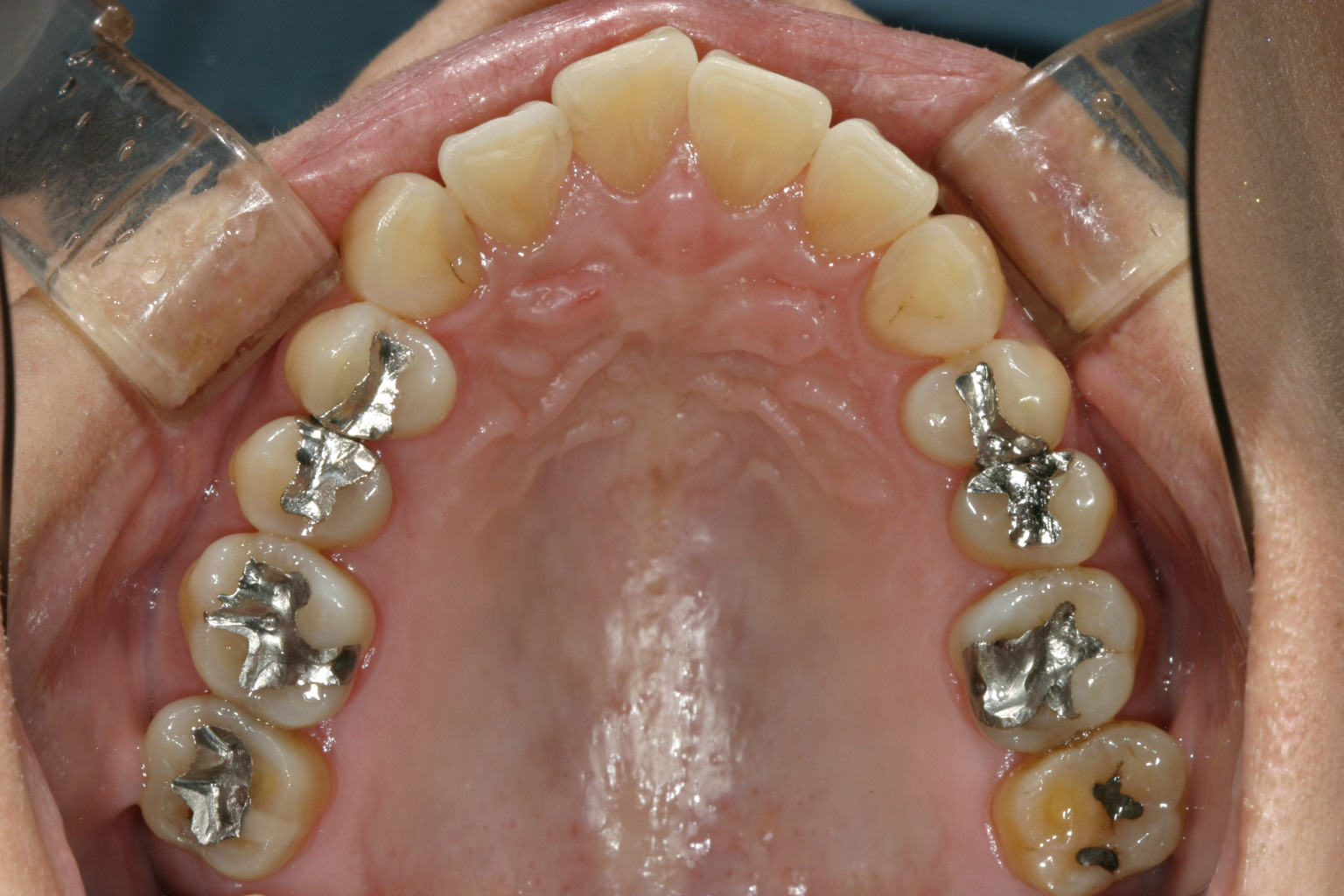
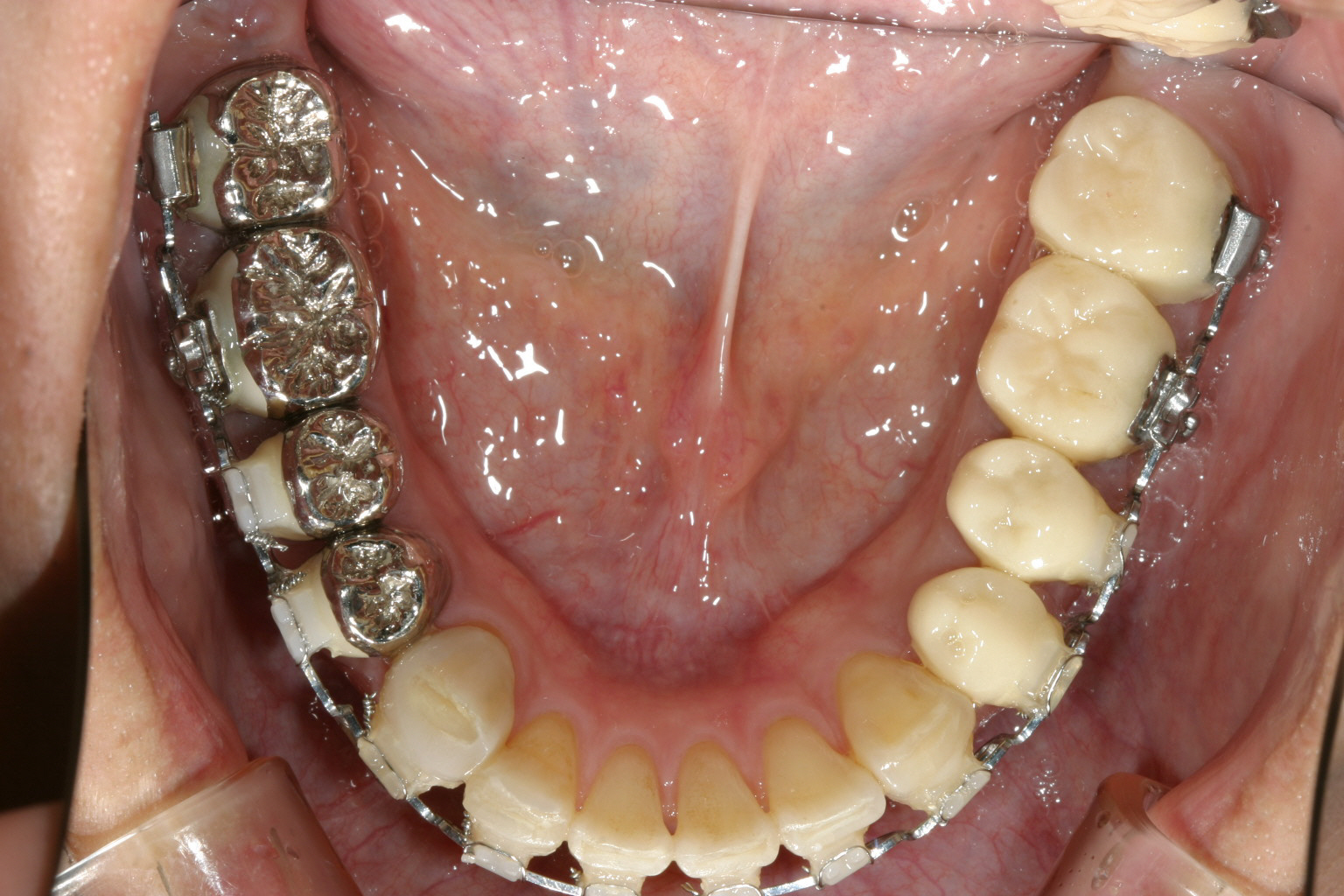
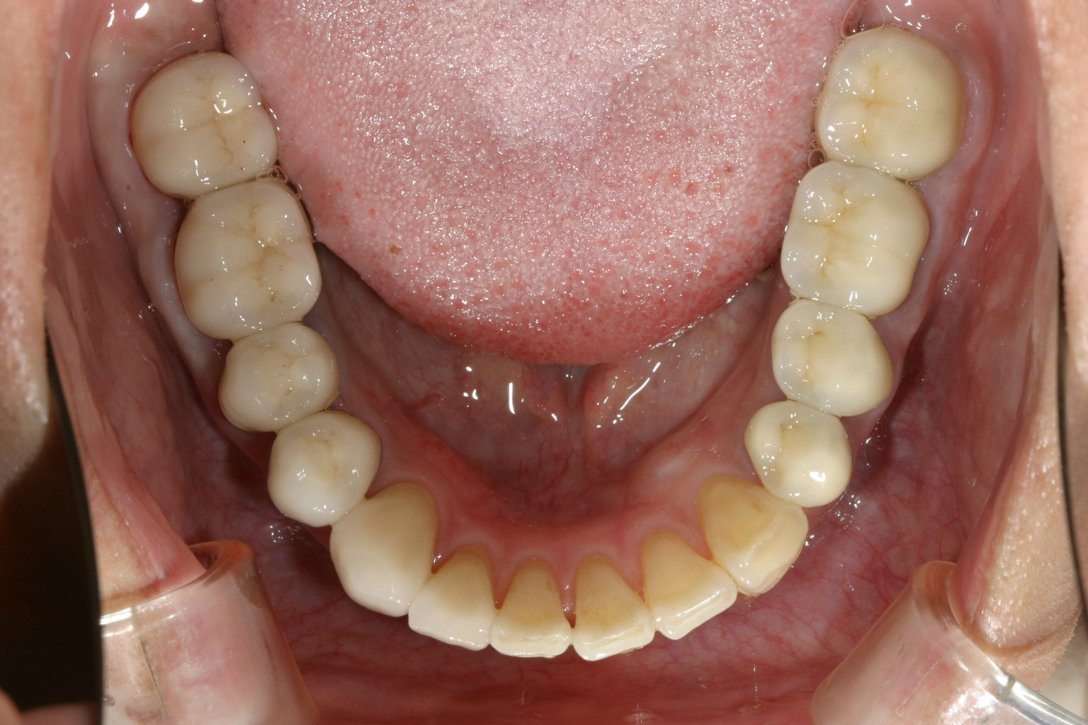
左右の臼歯部に高さの誤った冠が被っている為、後にこれを8本入れ替え正常な顎位に変更する。

多少の過度なオーバージェットが認められます。

上顎にマルチループワイヤーを入れアーチフォームを改善する。 アーチフォームもU字変更している。

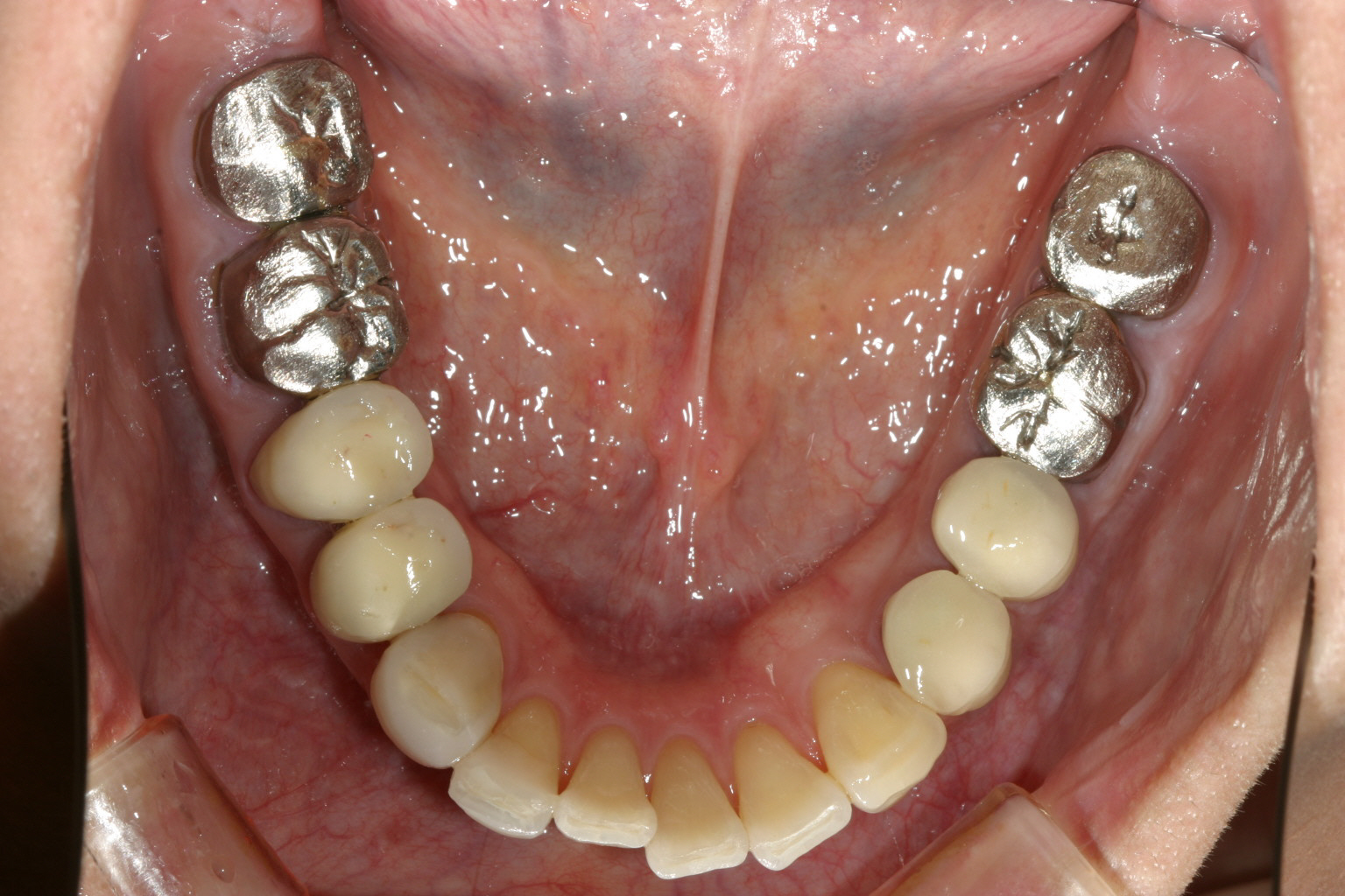
下顎は8本の臼歯を仮歯に変更して顎位を修正したのちマルチループワイヤーにてかみ合わせの調整を行う。 最初右にも左と同様のプラスティックレジン冠を入れるが顎位が右に戻る傾向があり咬耗激しく現在の様な金属冠に変更する。(全体的に少し高さを挙げて特に右側を沢山挙げる事により顎位が左へシフトさせる) アーチフォームもU字変更している。

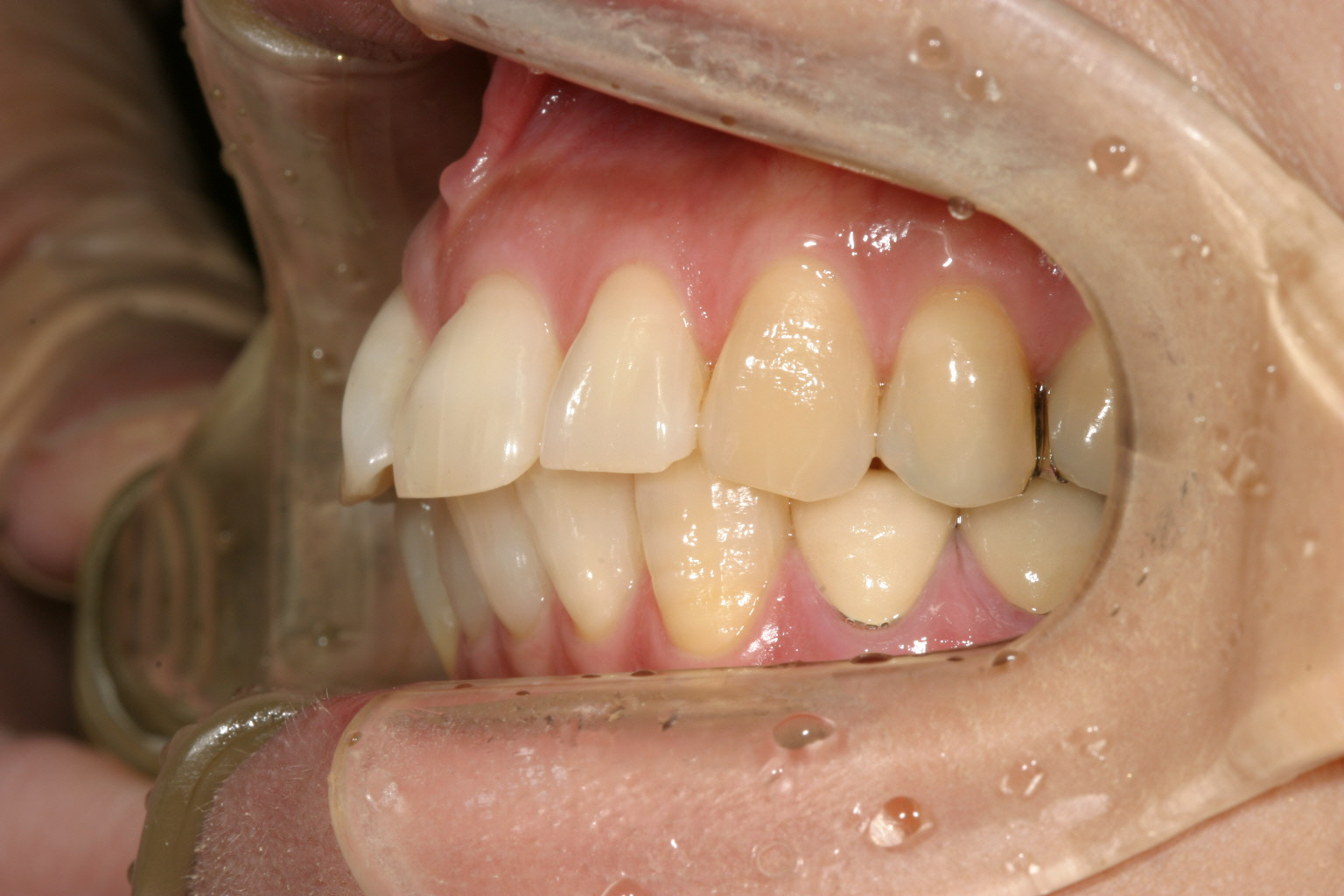
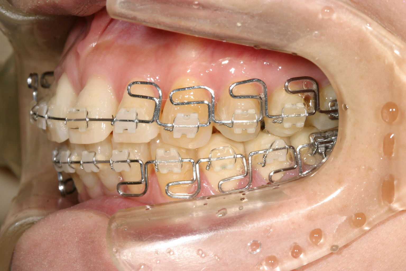
側面観はオーバージェットも改善してます。

綺麗に並びました。

下顎も矯正による咬合修正も終わり左右臼歯にジルコニア冠で8本補綴完了する

綺麗に咬合してます。 最初の正面観見て頂ければ正中が左にシフトし改善しているのが分かります。
当院からのコメント
こちらの症例は顎偏(顎偏移)に伴う顎関節症の治療例です、この様に誤った臼歯部冠補綴による顎関節症はよく見られます。
この様に補綴が原因であればその原因となる補綴物を入れ替える事で簡単に顎位の変更が出来、その後マルチループワイヤーで噛み合わせ修正しました。
と言う事で顎関節症は顎位改善により完治致しました。
この様な症状でお悩みでしたらいつでも遠慮無く当院にご相談下さい。

