

お悩み
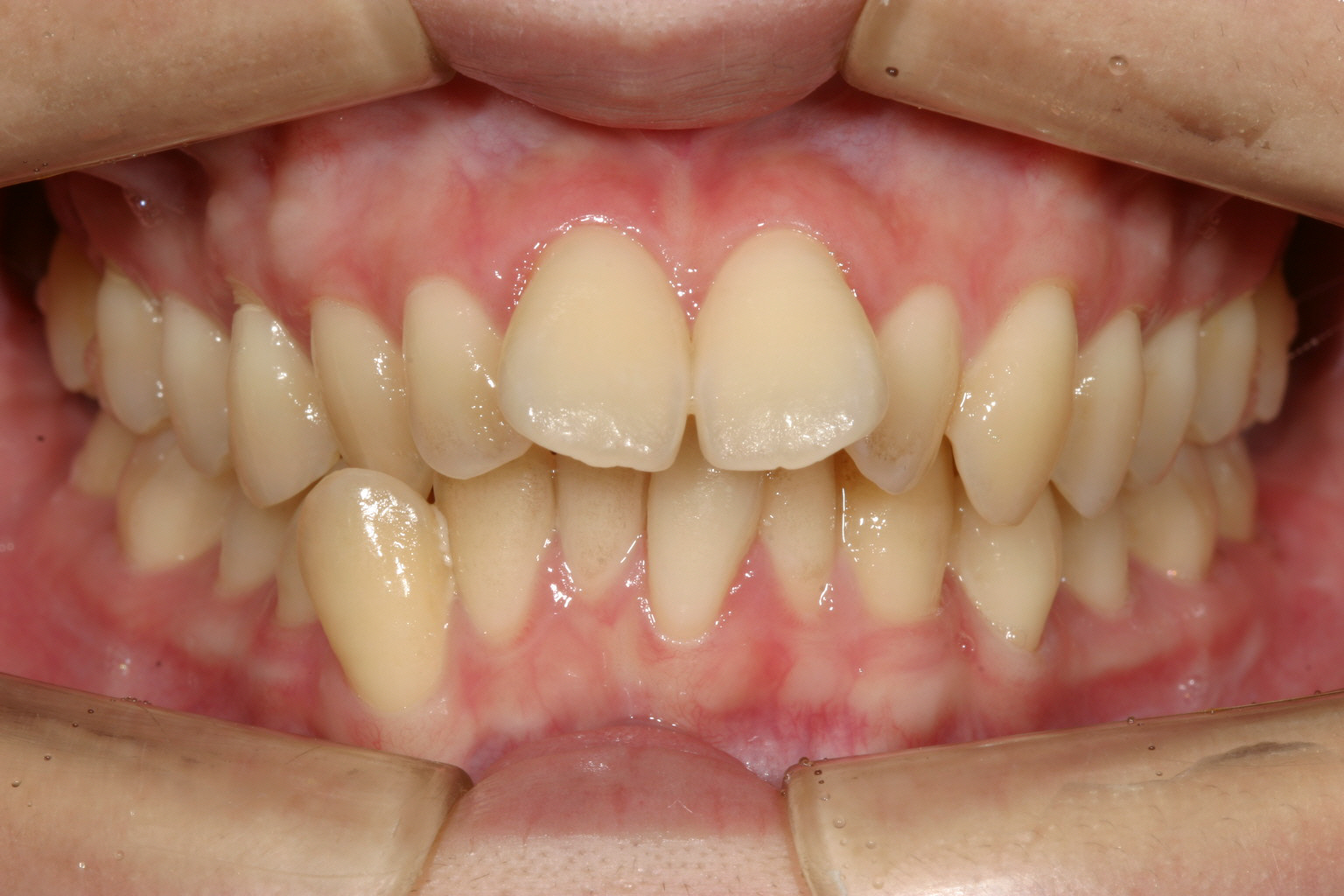
でっ歯が反り返って唇に当たって痛い。
年齢
28歳
性別
男性
治療に用いた装置
ワイヤー矯正
治療期間
1年10か月
治療にかかった費用
治療詳細

かなりヘビーな翼状捻転です。

下顎前歯の叢生もかなりのもんです。 と言う事でワイヤー矯正を選択しました。

出っ歯観が患者様が一番気になるところです。

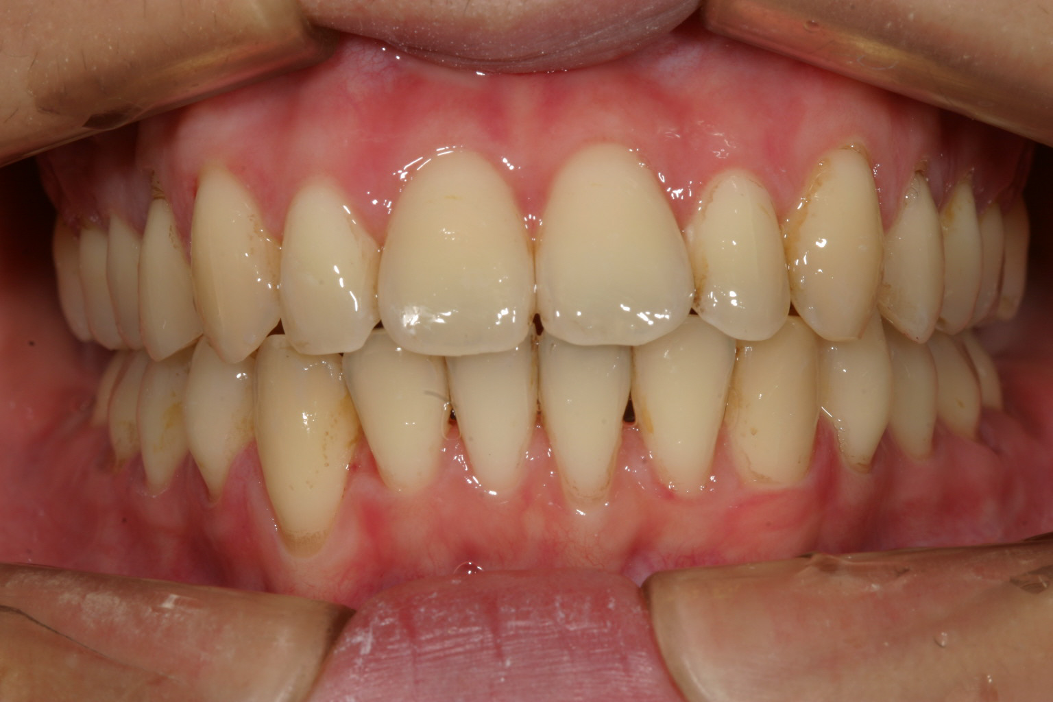
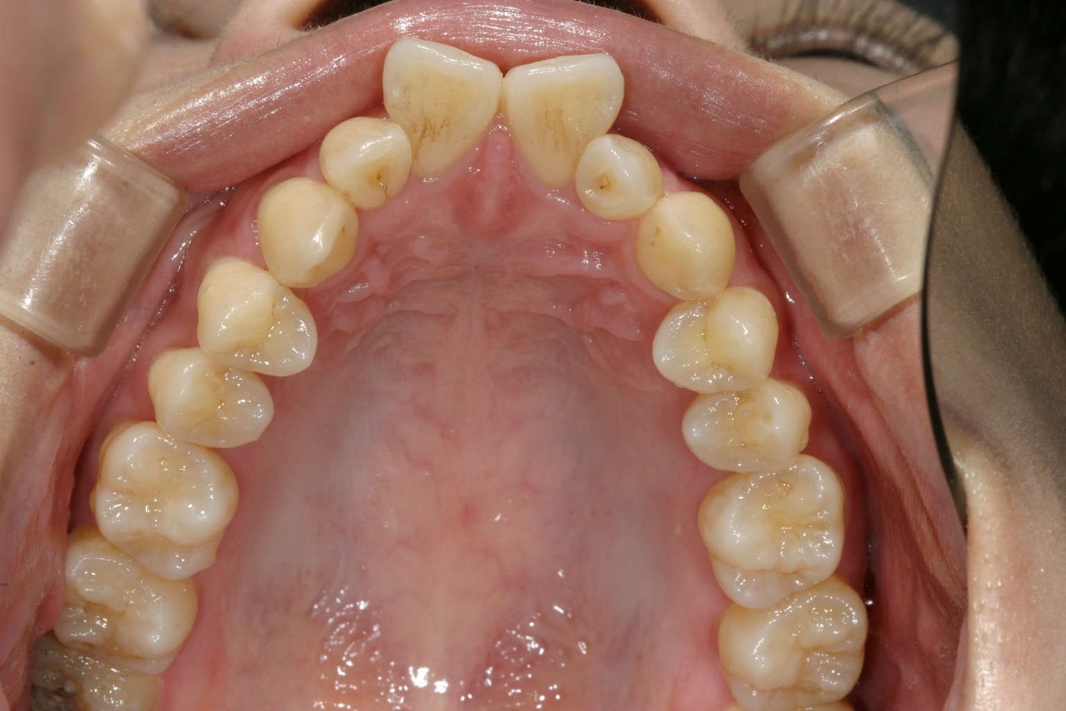
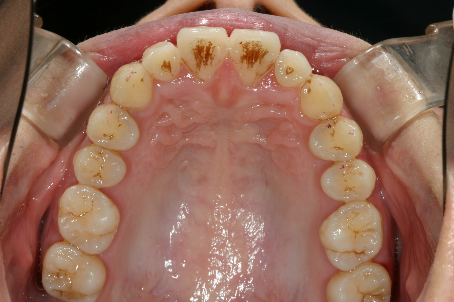
綺麗なアーチに改善いたしました。

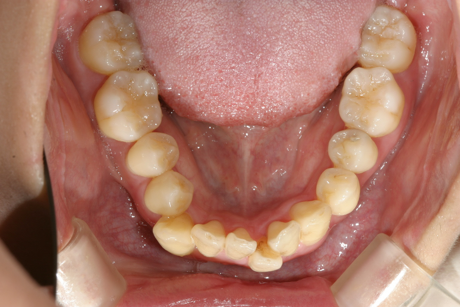
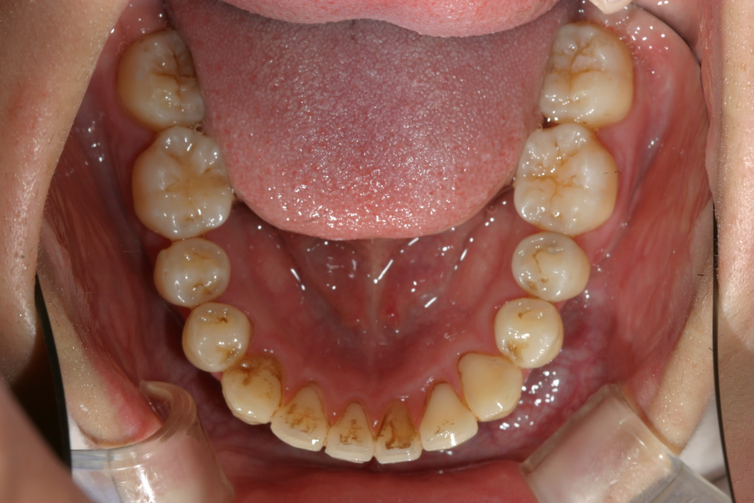
下顎のアーチも綺麗です。

出っ歯観も問題ありません。
当院からのコメント
今回は下顎の叢生がかなり酷いと言う事でワイヤー矯正の方が早いと言う事でワイヤーを選択致しました。
現在では加速矯正装置もあり又インビザラインも進化してますから今でしたらワイヤーでもインビザラインでもと選択肢は両方ありますが
以前のインビザラインはこれだけヘビーな翼状捻転にはかなりの時間を要した為ワイヤーの方がお薦めでした。
やはりこれだけ歯が出てますと見た目も違和感も大きく又何かに口をぶつけた時も唇切れたりや前歯の破折等も伴いますので早い目の処置をお薦め致します。
この様な翼状捻転症状でお悩みでしたらいつでも遠慮無く当院にご相談下さい。

