

お悩み
受け口を改善したい。
年齢
25歳
性別
女性
治療に用いた装置
インビザライン
治療期間
1年4か月
治療にかかった費用
66万円
治療詳細

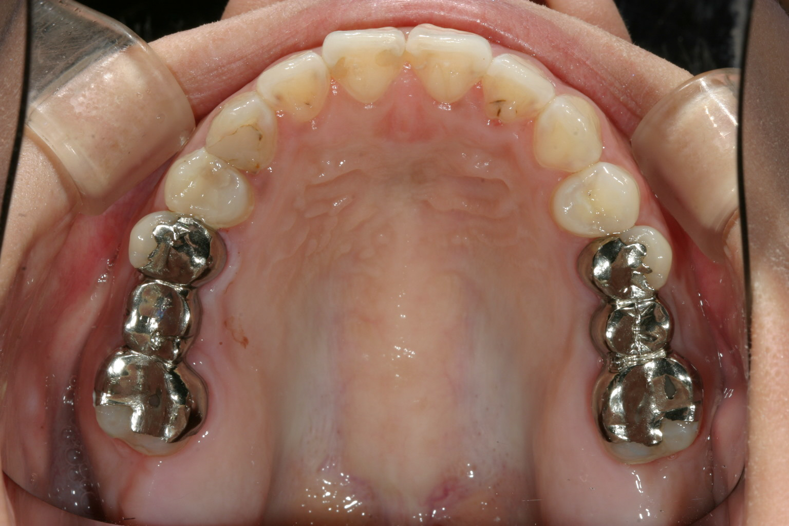
歯列としましてはそんなに問題ないのですが、、、

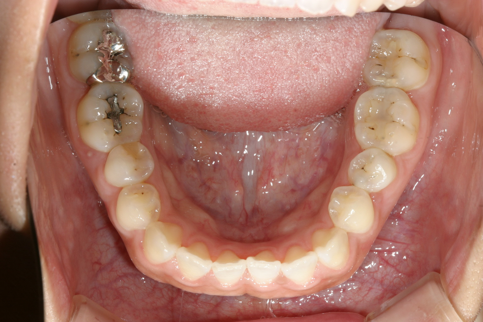
下顎の歯列もさほど乱れは見当たりません。

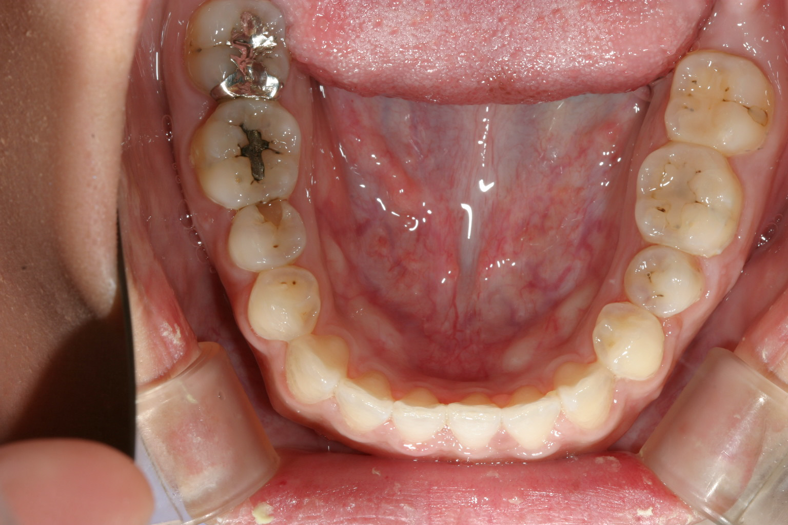
受け口が見受けられますね~

綺麗なアーチです。

下顎はIPR(少し歯と歯の隙間を削る事)を行いました。

受け口が改善されてます。
当院からのコメント
写真では確認出来ないのですが普通に奥歯で噛んで貰うと完全に受け口となっているのですが、仮性の受け口と言いまして写真の様に上下の歯の先と先が当たり運悪く下顎が前の方に滑る事により出来る受け口の事を言います。このような場合は下顎のアーチを少し小さく、つまり歯と歯の間を少し削る事によりアーチを縮めます。
そうする事により下顎のアーチが内に入り正常なかみ合わせになるのです。このように歯と歯の間を削る行為をIPRと言います。
この様な症状でお悩みでしたらいつでも遠慮無く当院にご相談下さい。

