

お悩み
前歯で羊羹をパクリと食べてみたい。
年齢
50歳
性別
女性
治療に用いた装置
マルチループワイヤー
治療期間
1年7か月
治療にかかった費用
治療詳細

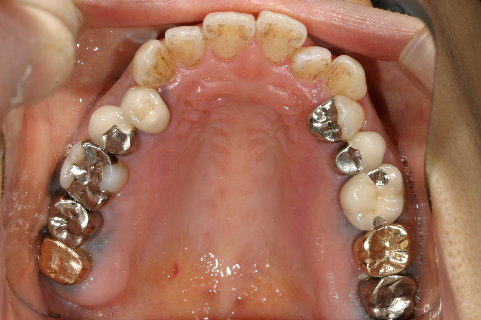
歯の乱れは大した事無いのですが補綴物が多くて治療は大変です。

下顎も補綴物が多く又前歯部にガタガタが見受けられます。

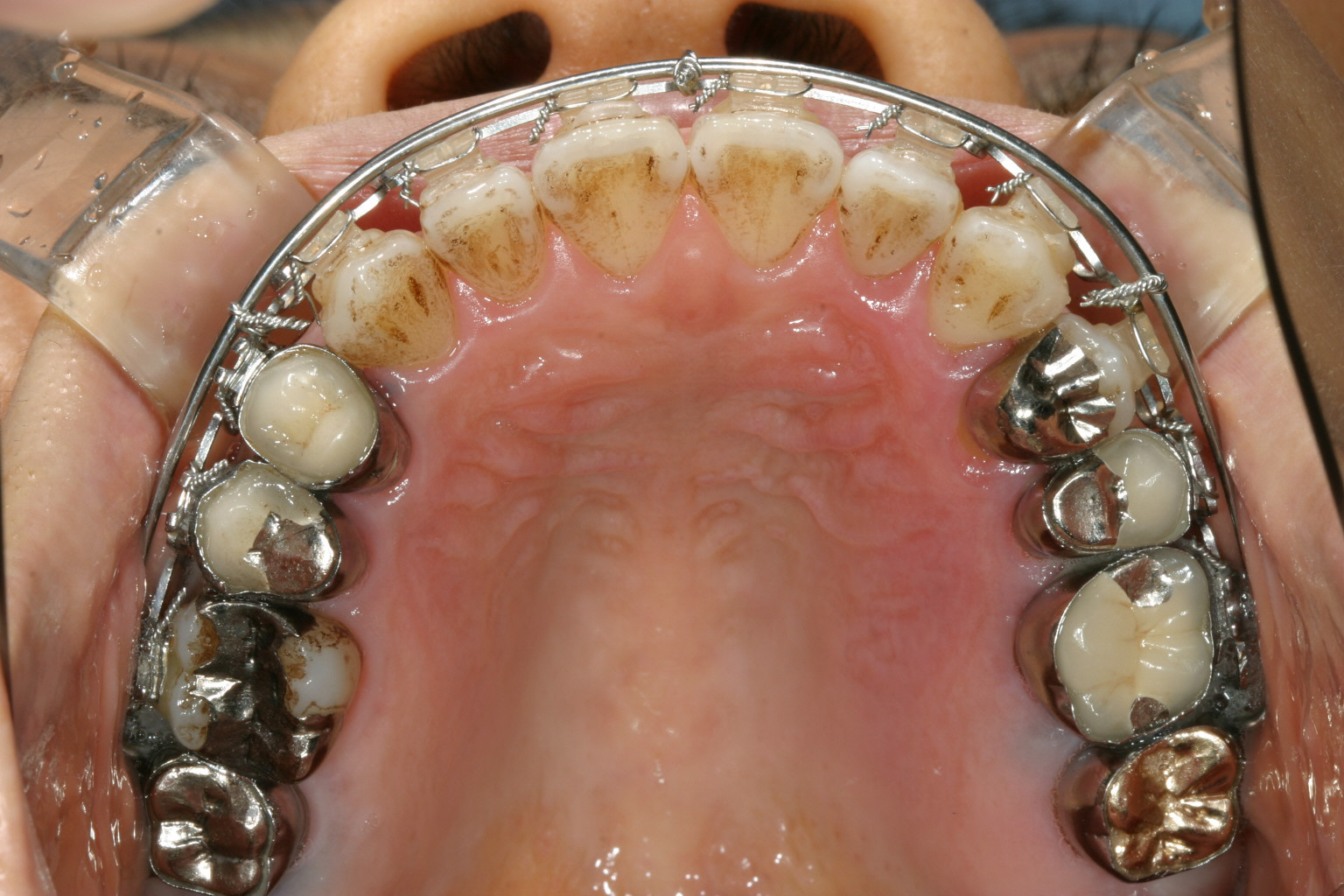
凄い開咬ですね~ この症例にはマルチループワイヤーしかありません。

マルチループワイヤーと外側にマリガンワイヤー使用して1年後です。 もう殆ど歯列は改善してます。

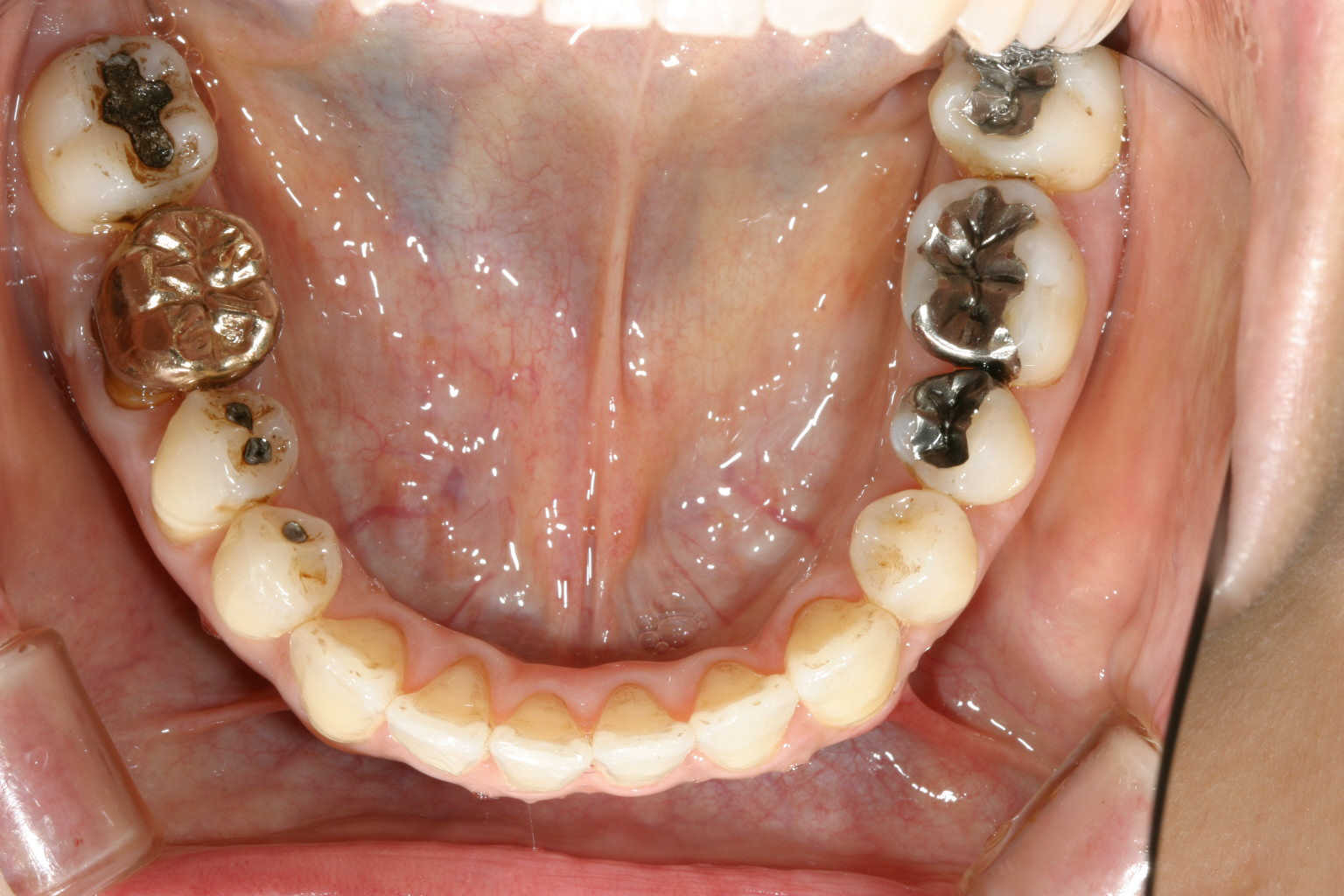
こちらもマリガンワイヤー使用です。 下顎も綺麗になってますね~

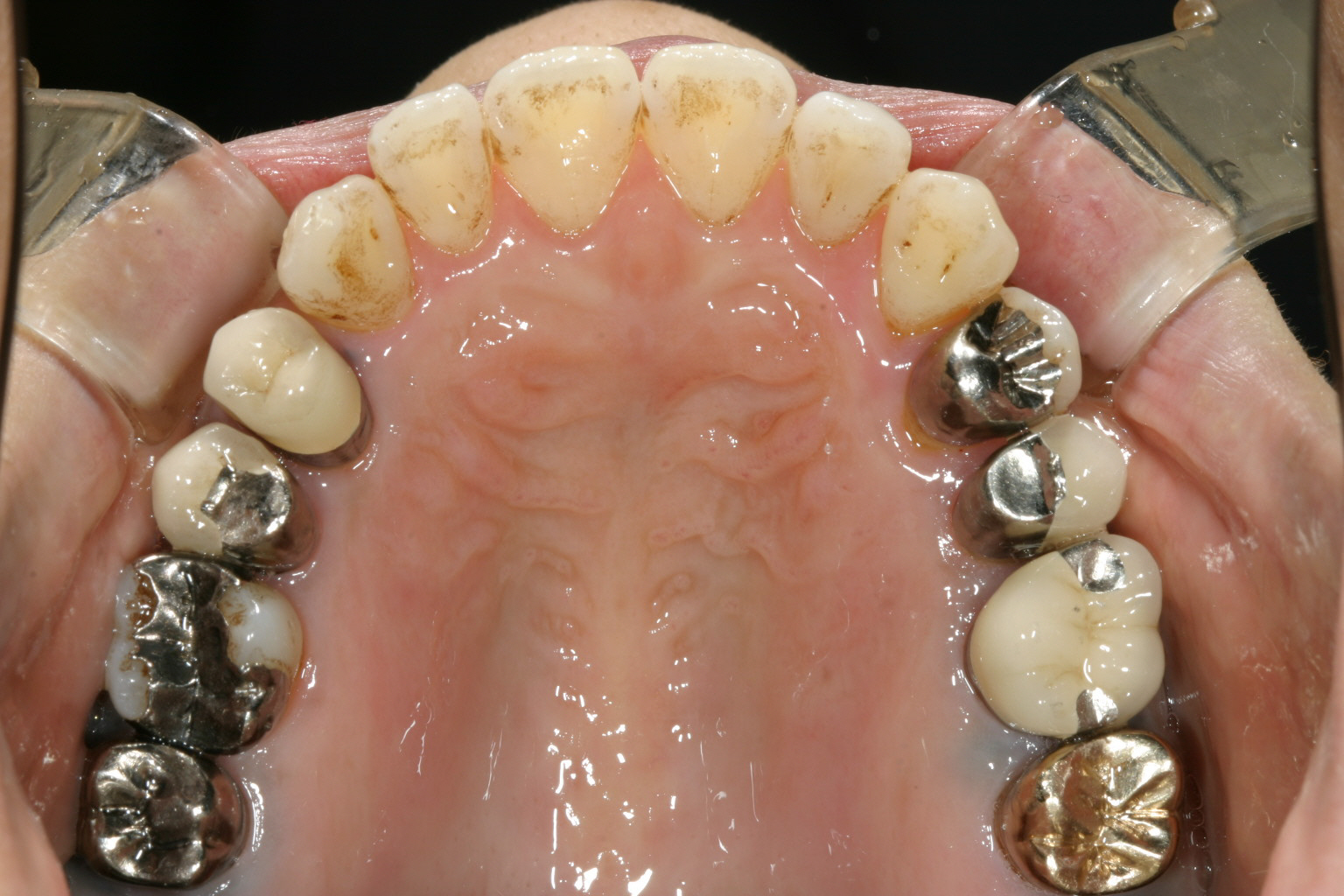
下顎マルチループワイヤー、上顎にマルチループワイヤーとマリガンワイヤー使用で殆ど上下切端の隙間も閉じてきました。

上顎も綺麗な歯列に改善しました。

綺麗な歯列になりました。

これなら羊羹もパクリと噛めそうです。
当院からのコメント
今回のような超複雑な開咬症例にはマルチループワイヤーしかないでしょう。
前歯が開いているからと言って前歯をひっぱって閉じようとすると結果的に又開いてきます。
この症例では前歯を閉じたんじゃなく当たっている奥歯を顎の中にめり込ませたって感じで矯正行いました。その様な動きを短期間で行えるのはマルチループワイヤー以外考えられません。
当医院の一番得意とする手法です。
もし他院で無理と言われた症例が御座いましたら是非とも当医院にお越しください。
この様な症状でお悩みでしたらいつでも遠慮無く当院にご相談下さい。

