お問い合わせありがとうございます。
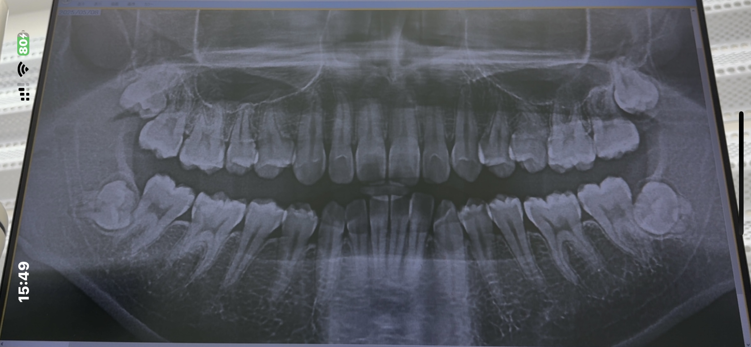
抜歯は平日の午前中となっております。
当院ではインビザライン治療(加速矯正装置込みで70万円税別)をメインに行っておりますが抜歯だけでよろしいでしょうか?
抜歯は当院では日々この様な抜歯ばかり行っておりますので大した事有りません。
ご都合よろしければお電話にてご予約ください。
抜歯は平日の午前中となっております。
当院ではインビザライン治療(加速矯正装置込みで70万円税別)をメインに行っておりますが抜歯だけでよろしいでしょうか?
抜歯は当院では日々この様な抜歯ばかり行っておりますので大した事有りません。
ご都合よろしければお電話にてご予約ください。


