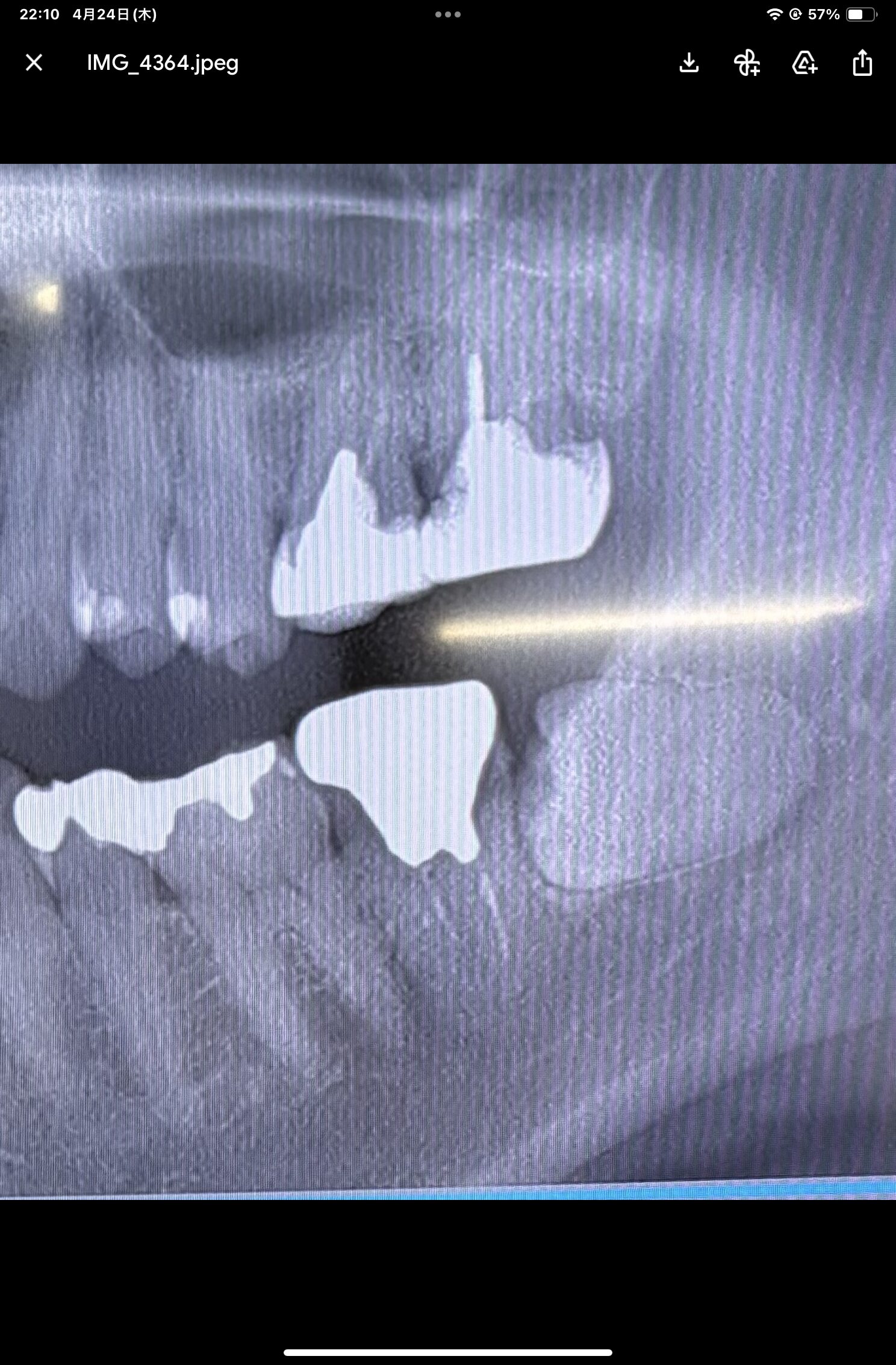
上記の様に下の親知らずが横向きに潜ってて神経が近いので、難抜歯になりますか?
麻痺が残るリスクはないでしょうか?
あと、不整脈の薬を飲んでいますが、抜歯の際に循環器内科とも連絡をとった方がいいですか?
血液サラサラの薬は飲んでいなくて、ビソプロロールフマルとフレカイニドという薬を飲んでいます。
問い合わせありがとう御座います。
当院では日々この様な抜歯ばかりしてますから10分程度で終わると思いますが他院だと多分病院紹介されると思います。
抜歯は手術ですからリスクの無い手術は有りません。
抜歯後に抗菌剤や鎮痛剤を飲んでいただくのですが、当院では今飲んでられる薬と一緒に飲んでいいのか分かりかねます。
抜歯はしてあげますから薬はかかりつけ医と相談されて処方して貰うのがいいのではと思います。
基本当院でも全身疾患お持ちの方は総合病院行かれた方が薬の問題は簡単に解決すると思いますとおすすめしています。
当院では日々この様な抜歯ばかりしてますから10分程度で終わると思いますが他院だと多分病院紹介されると思います。
抜歯は手術ですからリスクの無い手術は有りません。
抜歯後に抗菌剤や鎮痛剤を飲んでいただくのですが、当院では今飲んでられる薬と一緒に飲んでいいのか分かりかねます。
抜歯はしてあげますから薬はかかりつけ医と相談されて処方して貰うのがいいのではと思います。
基本当院でも全身疾患お持ちの方は総合病院行かれた方が薬の問題は簡単に解決すると思いますとおすすめしています。


