放置すると歯牙破折(歯の折れ)リスクも高まる理由と矯正治療の考え方
幼児期の指しゃぶりは珍しい行動ではありません。
しかし、長期間続くと歯並びや咬み合わせに悪影響を及ぼすことがあります。

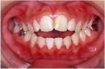
特に「出っ歯(上顎前突)」や「開咬(奥歯が噛んでも前歯が閉じない状態)」は、指しゃぶりが要因となる代表的な不正咬合です。
今回は、指しゃぶりが歯列不正を引き起こすメカニズム、放置した際のリスク、そして矯正治療のポイントをわかりやすく解説します。
指しゃぶりで出っ歯や開咬になる理由

1. 指が歯を前へ押し出す力が働く
指しゃぶり中、上の前歯は前方に押される力を受け続けます。
これにより前歯が徐々に傾き、出っ歯の形態につながります。
2. 前歯が閉じないことで開咬が形成される
指が口の中にある時間が長いほど、前歯が上下接触せず隙間が生まれるようになります。
これが開咬です。
開咬は自然に治るケースもありますが、習慣が長引くと改善しにくい不正咬合として残ることが少なくありません。
3. 舌の位置や口呼吸の癖まで影響
指しゃぶりによって舌の置き場が変わったり、口が開き気味になって口呼吸が増えることもあります。
これらは更に歯列を乱す要因となり、矯正治療が複雑化する場合があります。
指しゃぶりによる歯並びの乱れを放置するとどうなる?

転倒した際の「歯牙破折」のリスクが上昇
出っ歯になると前歯が通常より前方へ位置するため、顔面をぶつけた際にダメージを受けやすくなります。
特に子どもは転倒や衝突が多いため、前歯が折れたり欠けたりする「歯牙破折」のリスクが高まります。
咀嚼・発音への影響
開咬が続くと、前歯が噛み合わないため食べ物を前歯で噛み切りにくい、サ行やタ行が発音しづらいなど、日常生活に支障を感じることがあります。
顎の成長バランスが崩れる可能性
噛み合わせが乱れると顎の成長方向に影響し、顔貌のバランスが崩れるケースもあります。
将来的に矯正治療がより大掛かりになる可能性も否定できません。
指しゃぶりの習慣はいつまでにやめればいい?

一般的には3~4歳頃までに自然に減ることが多いとされています。
ただし、5歳を過ぎても続く場合や、既に歯列の乱れが見られる場合は、早めに歯科医院で相談することが推奨されます。
無理に叱ってやめさせるよりも、
- 指しゃぶりの代わりになる安心感を与える
- 日中の遊びを増やす
- 爪に塗る苦味剤の利用
など、年齢や性格に合わせたアプローチが効果的です。
指しゃぶりが原因の不正咬合に対する矯正治療

1. 小児矯正(Ⅰ期治療)
まだ顎が成長段階にある時期は、歯列の拡大や習癖改善装置を使い、自然な成長を促しながら歯並びを整えていきます。
2. 開咬の改善
開咬は舌や口の癖が深く関わるため、
- トレーニング(MFT:口腔筋機能療法)
- 装置による噛み合わせ誘導
を併用することが多いです。
3. 出っ歯の矯正
出っ歯が強い場合は、前歯の傾きを戻す処置や、顎の成長をコントロールする装置が使用されます。
重度の場合、成長期を過ぎてから本格矯正(Ⅱ期治療)へ進むケースもあります。
早期対応が歯の健康を守る

指しゃぶり自体は発達の過程で自然な行動ですが、長期化すると歯列不正や事故時の歯の損傷リスク につながります。
特に出っ歯や開咬は、ごく初期の段階であれば改善しやすく、矯正治療も軽度で済むことが多いため、早めのチェックが非常に重要 です。
「うちの子はまだ大丈夫かな?」
「もう出っ歯っぽく見えるけれど治るの?」
そんな不安がある場合は、まずは一度歯科医院で診てもらうことで、現状と今後の対策が明確になります。



