お悩み
前歯が閉じ無い事でずっと悩んでました。
年齢
27歳
性別
女性
治療に用いた装置
インビザライン+加速矯正装置
治療期間
1年6ヵ月
治療にかかった費用

治療詳細

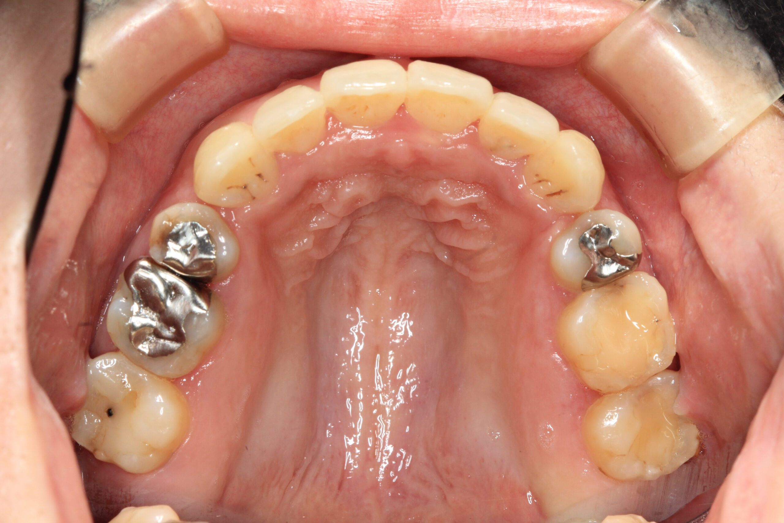
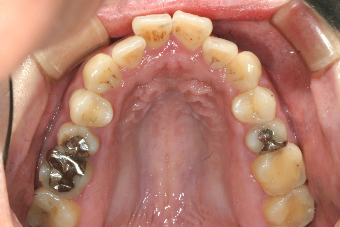
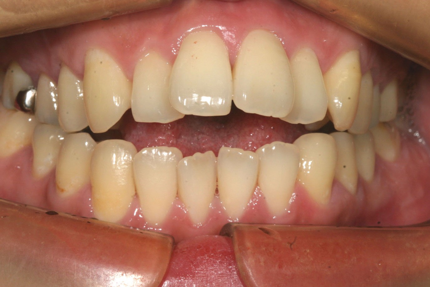
アーチが狭く前歯が出た状態です。

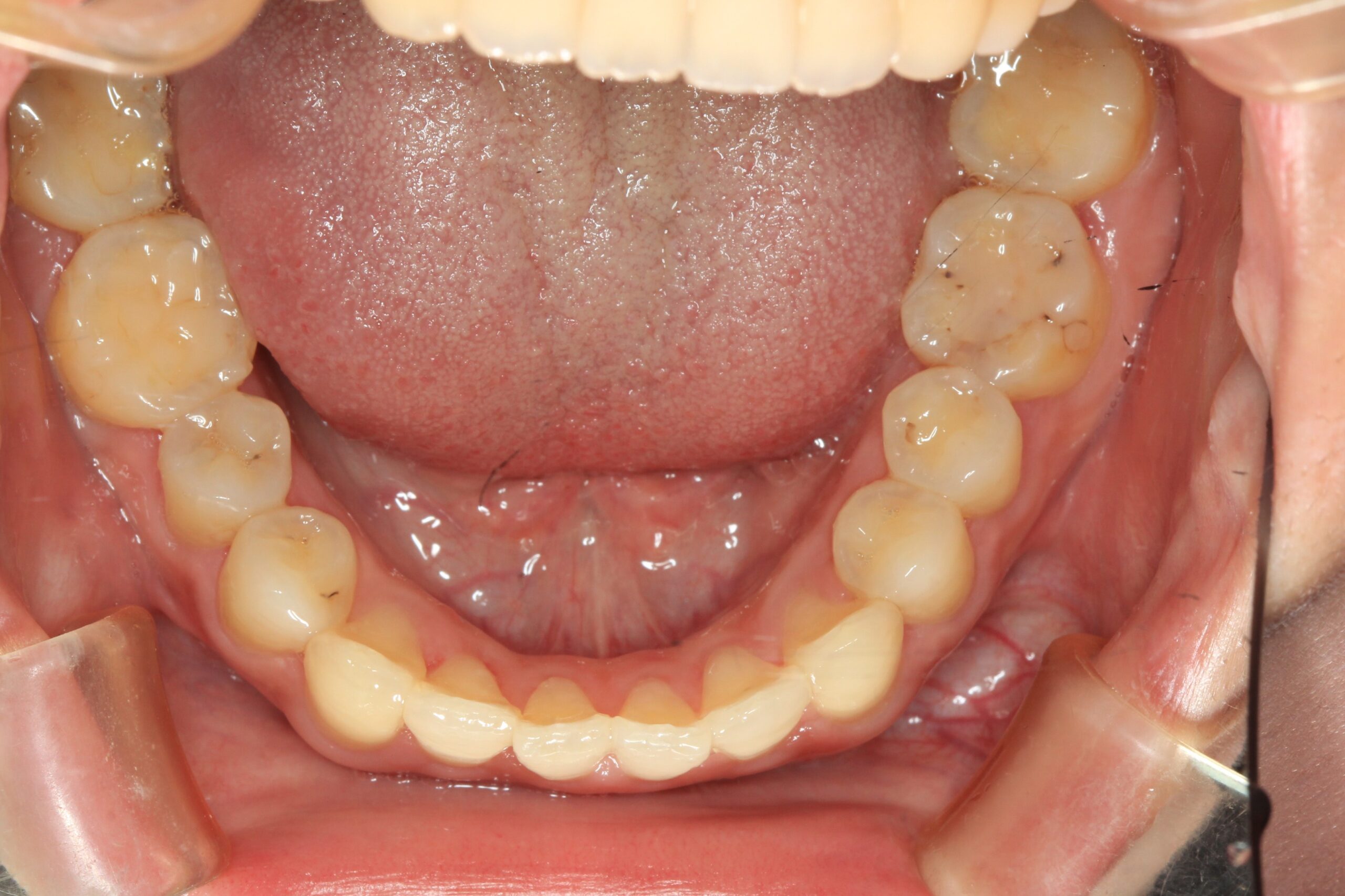
下顎もアーチが狭い為前歯にしわ寄せがきて翼状捻転していますね~

側面観も上顎が出て開咬の状態です。

小臼歯を抜きアーチを広げる事で出っ歯を引っ込めました・

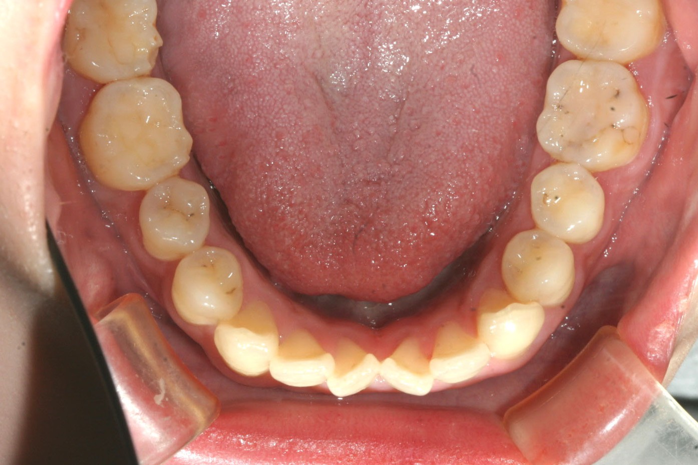
下顎もアーチを広げ綺麗に並びました。

出っ歯も綺麗に引っ込み、開咬も綺麗に改善しました。

当院からのコメント

今回のケースは出っ歯と開咬の同時改善です。

上顎左右の小臼歯を抜歯を行った関係上、通常なら3年はかかるケースですがインビザラインと加速矯正装置を使用することで約1年6ヵ月位で終了致しました。

加速矯正装置はマウスピース矯正装置と併用する事で効果を最大限に発揮できる装置であります。

この様なケースでお悩みの方が居られましたら是非一度相談にお越しください。