

お悩み
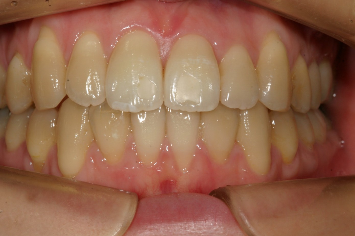
前歯が出っ張ってガタガタが気になる。
年齢
23歳
性別
女性
治療に用いた装置
インビザライン
治療期間
1年5ヵ月
治療にかかった費用
治療詳細

アーチが狭い為に前歯にガタつきが有ります。

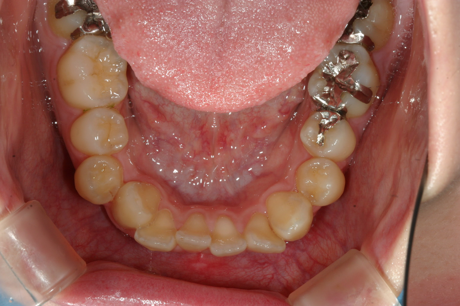
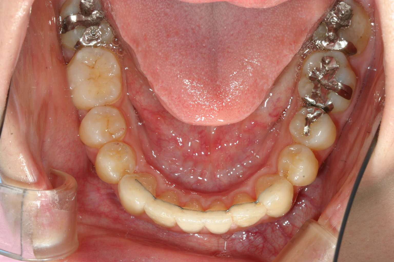
下顎も上顎同様アーチが狭く叢生が目立ちます。

かなり出ているのが目立ちますね~

アーチを拡大し綺麗に並べました。

下顎も綺麗に改善しました。

術前の写真と比べますとかなり出っ歯が改善したのが分かります。
当院からのコメント
今回のケースはよくあるケースですがアーチが狭い為にそのしわ寄せが前歯にきて叢生と
出っ歯を引き起こしている症例です。
こういった場合アーチの側方拡大とインビザラインによるIPR(歯と歯の隙間を削る)を行う事により叢生の解消と前突の改善を行っています。
こういったケースは当院でも非常に多く、かといって治療はさほど難しくなく、この様なケースでお悩みの患者様が居られましたら一度相談にお越しください。

